JavaScript is disabled in your browser. Please enable JavaScript to view this website.
AB307150

Anti-Elastin antibody [EPR26834-89]

  • BOND RX™ Validated
  • 20ul selling size
  • RabMAb
  • Recombinant
  • What is this?

Be the first to review this product! Submit a review

|

(5 Publications)

Anti-Elastin antibody [EPR26834-89] (ab307150) is a rabbit monoclonal antibody detecting Elastin in Western Blot, IHC-P, IHC-Fr. Suitable for Mouse, Rat.

- Biophysical QC for unrivalled batch-batch consistency

View Alternative Names

Elastin, Tropoelastin, Eln

10 Images
Immunohistochemistry (Frozen sections) - Anti-Elastin antibody [EPR26834-89] (AB307150)
  • IHC-Fr

Supplier Data

Immunohistochemistry (Frozen sections) - Anti-Elastin antibody [EPR26834-89] (AB307150)

Immunohistochemical analysis of 4% PFA-fixed, 0.2% Triton X-100 permeabilized frozen mouse cerebrum (fresh) tissue labeling Elastin with ab307150 at 1/100 dilution (4.99 ug/ml) followed by ab150081 Goat Anti-Rabbit IgG H&L (Alexa Fluor® 488) preadsorbed at 1/1000 dilution (2 ug/mL) (Green). Negative control : confocal image showing no staining on mouse cerebrum (PMID : 25166724). The section was incubated with ab307150 for 60 mins at room temperature. The section was then mounted using Fluoromount®. The immunostaining was performed on a Leica Biosystems BOND® RX instrument. Image was taken with a confocal microscope (Leica-Microsystems, TCS SP8). The nuclear counterstain was DAPI (Blue). Secondary antibody control : Secondary antibody is ab150081 Goat Anti-Rabbit IgG H&L (Alexa Fluor® 488) preadsorbed at 1/1000 dilution (2 ug/mL).

Immunohistochemistry (Frozen sections) - Anti-Elastin antibody [EPR26834-89] (AB307150)
  • IHC-Fr

Supplier Data

Immunohistochemistry (Frozen sections) - Anti-Elastin antibody [EPR26834-89] (AB307150)

Immunohistochemical analysis of 4% PFA-fixed, 0.2% Triton X-100 permeabilized frozen rat cerebrum (fresh) tissue labeling Elastin with ab307150 at 1/100 dilution (4.99 ug/ml) followed by ab150081 Goat Anti-Rabbit IgG H&L (Alexa Fluor® 488) preadsorbed at 1/1000 dilution (2 ug/mL) (Green). Negative control : confocal image showing no staining on rat cerebrum (PMID : 25166724). The section was incubated with ab307150 for 60 mins at room temperature. The section was then mounted using Fluoromount®. The immunostaining was performed on a Leica Biosystems BOND® RX instrument. Image was taken with a confocal microscope (Leica-Microsystems, TCS SP8). The nuclear counterstain was DAPI (Blue). Secondary antibody control : Secondary antibody is ab150081 Goat Anti-Rabbit IgG H&L (Alexa Fluor® 488) preadsorbed at 1/1000 dilution (2 ug/mL).

Immunohistochemistry - Anti-Elastin antibody [EPR26834-89] (AB307150)
  • IHC

Supplier Data

Immunohistochemistry - Anti-Elastin antibody [EPR26834-89] (AB307150)

Immunohistochemical analysis of paraffin-embedded mouse cerebrum tissue labeling Elastin with ab307150 at 1/2000 (0.25 ug/ml) followed by ready to use LeicaDS9800 (Bond® Polymer Refine Detection). Negative control : No staining on mouse cerebrum. The section was incubated with ab307150 for 30 mins at room temperature. The immunostaining was performed on a Leica Biosystems BOND® RX instrument. Counterstained with Hematoxylin. Secondary antibody only control : Secondary antibody is ready to use LeicaDS9800 (Bond® Polymer Refine Detection). Heat mediated antigen retrieval was performed with Tris-EDTA buffer (pH 9.0, Epitope Retrieval Solution2) for 20 mins.

Immunohistochemistry - Anti-Elastin antibody [EPR26834-89] (AB307150)
  • IHC

Supplier Data

Immunohistochemistry - Anti-Elastin antibody [EPR26834-89] (AB307150)

Immunohistochemical analysis of paraffin-embedded mouse lung tissue labeling Elastin with ab307150 at 1/2000 (0.25 ug/ml) followed by ready to use LeicaDS9800 (Bond® Polymer Refine Detection). Positive staining on mouse lung (PMID : 29844468). The section was incubated with ab307150 for 30 mins at room temperature. The immunostaining was performed on a Leica Biosystems BOND® RX instrument. Counterstained with Hematoxylin. Secondary antibody only control : Secondary antibody is ready to use LeicaDS9800 (Bond® Polymer Refine Detection). Heat mediated antigen retrieval was performed with Tris-EDTA buffer (pH 9.0, Epitope Retrieval Solution2) for 20 mins.

Immunohistochemistry - Anti-Elastin antibody [EPR26834-89] (AB307150)
  • IHC

Supplier Data

Immunohistochemistry - Anti-Elastin antibody [EPR26834-89] (AB307150)

Immunohistochemical analysis of paraffin-embedded rat lung tissue labeling Elastin with ab307150 at 1/2000 (0.25 ug/ml) followed by ready to use LeicaDS9800 (Bond® Polymer Refine Detection). Positive staining on rat lung (PMID : 29844468). The section was incubated with ab307150 for 30 mins at room temperature. The immunostaining was performed on a Leica Biosystems BOND® RX instrument. Counterstained with Hematoxylin. Secondary antibody only control : Secondary antibody is ready to use LeicaDS9800 (Bond® Polymer Refine Detection). Heat mediated antigen retrieval was performed with Tris-EDTA buffer (pH 9.0, Epitope Retrieval Solution2) for 20 mins.

Immunohistochemistry - Anti-Elastin antibody [EPR26834-89] (AB307150)
  • IHC

Supplier Data

Immunohistochemistry - Anti-Elastin antibody [EPR26834-89] (AB307150)

Immunohistochemical analysis of paraffin-embedded mouse liver carcinoma tissue labeling Elastin with ab307150 at 1/2000 (0.25 ug/ml) followed by ready to use LeicaDS9800 (Bond® Polymer Refine Detection). Positive staining on extracellular matrix of mouse liver carcinoma. The section was incubated with ab307150 for 30 mins at room temperature. The immunostaining was performed on a Leica Biosystems BOND® RX instrument. Counterstained with Hematoxylin. Secondary antibody only control : Secondary antibody is ready to use LeicaDS9800 (Bond® Polymer Refine Detection). Heat mediated antigen retrieval was performed with Tris-EDTA buffer (pH 9.0, Epitope Retrieval Solution2) for 20 mins.

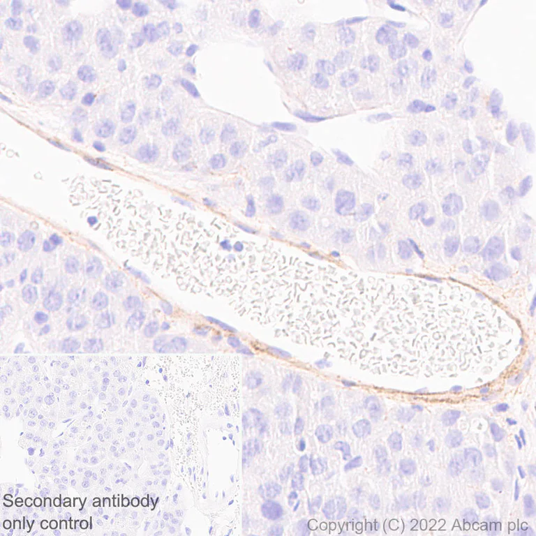
Immunohistochemistry - Anti-Elastin antibody [EPR26834-89] (AB307150)
  • IHC

Supplier Data

Immunohistochemistry - Anti-Elastin antibody [EPR26834-89] (AB307150)

Immunohistochemical analysis of paraffin-embedded mouse testis tissue labeling Elastin with ab307150 at 1/2000 (0.25 ug/ml) followed by ready to use LeicaDS9800 (Bond® Polymer Refine Detection). Positive staining on extracellular matrix of mouse testis. The section was incubated with ab307150 for 30 mins at room temperature. The immunostaining was performed on a Leica Biosystems BOND® RX instrument. Counterstained with Hematoxylin. Secondary antibody only control : Secondary antibody is ready to use LeicaDS9800 (Bond® Polymer Refine Detection). Heat mediated antigen retrieval was performed with Tris-EDTA buffer (pH 9.0, Epitope Retrieval Solution2) for 20 mins.

Immunohistochemistry (Frozen sections) - Anti-Elastin antibody [EPR26834-89] (AB307150)
  • IHC-Fr

Supplier Data

Immunohistochemistry (Frozen sections) - Anti-Elastin antibody [EPR26834-89] (AB307150)

Immunohistochemical analysis of 4% PFA-fixed, 0.2% Triton X-100 permeabilized frozen rat lung (fresh) tissue labeling Elastin with ab307150 at 1/100 dilution (4.99 ug/ml) followed by ab150081 Goat Anti-Rabbit IgG H&L (Alexa Fluor® 488) preadsorbed at 1/1000 dilution (2 ug/mL) (Green). Confocal image showing positive staining on rat lung. The section was incubated with ab307150 for 60 mins at room temperature. The section was then mounted using Fluoromount®. The immunostaining was performed on a Leica Biosystems BOND® RX instrument. Image was taken with a confocal microscope (Leica-Microsystems, TCS SP8). The nuclear counterstain was DAPI (Blue). Secondary antibody control : Secondary antibody is ab150081 Goat Anti-Rabbit IgG H&L (Alexa Fluor® 488) preadsorbedat 1/1000 dilution (2 ug/mL).

Immunohistochemistry (Frozen sections) - Anti-Elastin antibody [EPR26834-89] (AB307150)
  • IHC-Fr

Supplier Data

Immunohistochemistry (Frozen sections) - Anti-Elastin antibody [EPR26834-89] (AB307150)

Immunohistochemical analysis of 4% PFA-fixed, 0.2% Triton X-100 permeabilized frozen mouse lung (fresh) tissue labeling Elastin with ab307150 at 1/100 dilution (4.99 ug/ml) followed by ab150081 Goat Anti-Rabbit IgG H&L (Alexa Fluor® 488) preadsorbed at 1/1000 dilution (2 ug/mL) (Green). Confocal image showing positive staining on mouse lung. The section was incubated with ab307150 for 60 mins at room temperature. The section was then mounted using Fluoromount®. The immunostaining was performed on a Leica Biosystems BOND® RX instrument. Image was taken with a confocal microscope (Leica-Microsystems, TCS SP8). The nuclear counterstain was DAPI (Blue). Secondary antibody control : Secondary antibody is ab150081 Goat Anti-Rabbit IgG H&L (Alexa Fluor® 488) preadsorbed at 1/1000 dilution (2 ug/mL).

Western blot - Anti-Elastin antibody [EPR26834-89] (AB307150)
  • WB

Supplier Data

Western blot - Anti-Elastin antibody [EPR26834-89] (AB307150)

Blocking and diluting buffer and concentration : 5% NFDM/TBST. Negative control : mouse brain (PMID : 14794650). Exposure time : 92 seconds.

All lanes:

Western blot - Anti-Elastin antibody [EPR26834-89] (ab307150) at 1/1000 dilution

Lane 1:

Mouse artery tissue lysate 20 μg

Lane 2:

Mouse brain tissue lysate 20 μg

Lane 3:

Rat lung tissue lysate 20 μg

Lane 4:

Rat testis tissue lysate 20 μg

Secondary

All lanes:

Western blot - Goat Anti-Rabbit IgG H&L (HRP) (<a href='/en-us/products/secondary-antibodies/goat-rabbit-igg-h-l-hrp-ab97051'>ab97051</a>) at 1/20000 dilution

Observed band size: 68 kDa

false

Exposure time: 92s

  • Carrier free

    Anti-Elastin antibody [EPR26834-89] - BSA and Azide free

Key facts

Host species

Rabbit

Clonality

Monoclonal

Clone number

EPR26834-89

Isotype

IgG

Carrier free

No

Reacts with

Mouse, Rat

Applications

IHC-P, WB, IHC-Fr

applications

Immunogen

The exact immunogen used to generate this antibody is proprietary information.

Reactivity data

{ "title": "Reactivity Data", "filters": { "stats": ["", "Species", "Dilution Info", "Notes"], "tabs": { "all-applications": {"fullname" : "All Applications", "shortname": "All Applications"}, "IHCFr" : {"fullname" : "Immunohistochemistry (Frozen sections)", "shortname":"IHC-Fr"}, "IP" : {"fullname" : "Immunoprecipitation", "shortname":"IP"}, "IHCP" : {"fullname" : "Immunohistochemistry (Formalin/PFA-fixed paraffin-embedded sections)", "shortname":"IHC-P"}, "WB" : {"fullname" : "Western blot", "shortname":"WB"} }, "product-promise": { "all": "all", "testedAndGuaranteed": "tested", "guaranteed": "expected", "predicted": "predicted", "notRecommended": "not-recommended" } }, "values": { "Human": { "IHCFr-species-checked": "notRecommended", "IHCFr-species-dilution-info": "", "IHCFr-species-notes": "", "IP-species-checked": "notRecommended", "IP-species-dilution-info": "", "IP-species-notes": "", "IHCP-species-checked": "notRecommended", "IHCP-species-dilution-info": "1/2000", "IHCP-species-notes": "<p></p> Perform heat-mediated antigen retrieval with Tris/EDTA buffer pH 9.0 before commencing with IHC staining protocol.", "WB-species-checked": "notRecommended", "WB-species-dilution-info": "1/1000", "WB-species-notes": "<p></p>" }, "Mouse": { "IHCFr-species-checked": "testedAndGuaranteed", "IHCFr-species-dilution-info": "", "IHCFr-species-notes": "<p></p>", "IP-species-checked": "notRecommended", "IP-species-dilution-info": "", "IP-species-notes": "<p></p>", "IHCP-species-checked": "testedAndGuaranteed", "IHCP-species-dilution-info": "1/2000", "IHCP-species-notes": "<p></p> Perform heat-mediated antigen retrieval with Tris/EDTA buffer pH 9.0 before commencing with IHC staining protocol.", "WB-species-checked": "testedAndGuaranteed", "WB-species-dilution-info": "1/1000", "WB-species-notes": "<p></p>" }, "Rat": { "IHCFr-species-checked": "testedAndGuaranteed", "IHCFr-species-dilution-info": "", "IHCFr-species-notes": "<p></p>", "IP-species-checked": "notRecommended", "IP-species-dilution-info": "", "IP-species-notes": "", "IHCP-species-checked": "testedAndGuaranteed", "IHCP-species-dilution-info": "1/2000", "IHCP-species-notes": "<p></p> Perform heat-mediated antigen retrieval with Tris/EDTA buffer pH 9.0 before commencing with IHC staining protocol.", "WB-species-checked": "testedAndGuaranteed", "WB-species-dilution-info": "1/1000", "WB-species-notes": "<p></p>" } } }

Product details

What is this antibody validated in?
Anti-Elastin antibody [EPR26834-89] (ab307150) is a rabbit recombinant monoclonal antibody and is validated for use in Western Blot (WB), Immunohistochemistry (IHC-P), Immunohistochemistry (IHC-Fr) in Mouse, Rat samples.

Trial sizes available!
Test your antibody or perform pre-screening before committing to a larger quantity. Sold in 10µl. Discover our selection of trial-size antibodies.

Other related products
We have a range of other formats of antibody clone [EPR26834-89] also available for your convenience: ab307150, Carrier free - ab307151

Patented technology
Our RabMAb® technology is a patented hybridoma-based technology for making rabbit monoclonal antibodies. For details on our patents, please refer to RabMAb® patents.

What are the advantages of a recombinant monoclonal antibody?
This product is a recombinant monoclonal antibody, which offers several advantages including:

  • - High batch-to-batch consistency and reproducibility
  • - Improved sensitivity and specificity
  • - Long-term security of supply
  • - Animal-free batch production

For more information, read more on recombinant antibodies.

Properties and storage information

Form
Liquid
Purification technique
Affinity purification Protein A
Storage buffer
pH: 7.2 - 7.4 Preservative: 0.01% Sodium azide Constituents: PBS, 40% Glycerol (glycerin, glycerine), 0.05% BSA
Shipped at conditions
Blue Ice
Appropriate short-term storage duration
1-2 weeks
Appropriate short-term storage conditions
+4°C
Appropriate long-term storage conditions
-20°C
Aliquoting information
Upon delivery aliquot
Storage information
Avoid freeze / thaw cycle

Supplementary information

This supplementary information is collated from multiple sources and compiled automatically.

Elastin also known as elastin protein is an essential component of the extracellular matrix known for imparting elasticity and resilience to tissues. With a molecular mass of approximately 60-70 kDa some scientists may also refer to it as elastin et. Elastin is expressed in elastic tissues such as the skin lungs and blood vessels. These tissues require the elastic properties provided by elastin. Additionally elastin forms the core of elastic fibers surrounded by a sheath of microfibrils.
Biological function summary

Elastin provides mechanical support and elasticity to tissues. It does so by being part of elastic fibers playing an important role in many connective tissue structures. The unique ability to stretch and return to its original shape allows tissues to resume their shape after stretching or contracting. Elastin is not part of larger protein complexes but interacts with other matrix proteins such as fibrillin to form a fibrous network required for the structural integrity of elastic tissues.

Pathways

Elastin plays an integral role in the extracellular matrix remodeling pathway which is important for maintaining tissue structure and function. It also participates in the TGF-beta signaling pathway where elastin interacts indirectly with proteins such as fibrillin-1 and fibulin. These interactions influence cellular processes like proliferation and differentiation highlighting elastin's involvement in both maintaining tissue elasticity and cell signaling.

Elastin is linked to pathologies like Williams-Beuren syndrome and cutis laxa. Williams-Beuren syndrome associated with elastin deletions leads to cardiovascular issues while cutis laxa results in reduced elasticity of the skin due to elastin mutations. In these conditions elastin interacts with proteins such as fibrillin and fibulin contributing to the observed clinical manifestations. Understanding these interactions helps in diagnosing and developing therapeutic approaches for such disorders.

Product protocols

For this product, it's our understanding that no specific protocols are required. You can visit:

Target data

Major structural protein of tissues such as aorta and nuchal ligament, which must expand rapidly and recover completely. Molecular determinant of the late arterial morphogenesis, stabilizing arterial structure by regulating proliferation and organization of vascular smooth muscle.
See full target information Elastin

Publications (5)

Recent publications for all applications. Explore the full list and refine your search

Frontiers in genetics 16:1627472 PubMed40969329

2025

3D-cultured hADSCs-derived exosomes deliver circ_0011129 to synergistically attenuate skin photoaging.

Applications

Unspecified application

Species

Unspecified reactive species

Yu Zhang,Feng Zhou,Gang Nie,Liang Li,Juan Wen,Shimin He,Amin Yao

Communications biology 8:661 PubMed40274989

2025

Induction of cardiac fibulin-4 protects against pressure overload-induced cardiac hypertrophy and heart failure.

Applications

Unspecified application

Species

Unspecified reactive species

E D van Deel,M Snelders,N van Vliet,L Te Riet,T P P van den Bosch,L R Fiedler,A C C van Spreeuwel,N A M Bax,N Boontje,C M Halabi,T Sasaki,D P Reinhardt,J van der Velden,C V C Bouten,J H von der Thüsen,A H J Danser,D J Duncker,M D Schneider,I van der Pluijm,J Essers

Journal of cosmetic dermatology 24:e16664 PubMed40178310

2025

In Vitro, Ex Vivo, Instrumental, and Clinical Assessment of a Novel Anti-aging Serum Targeting Oxidative Stress.

Applications

Unspecified application

Species

Unspecified reactive species

Sayantani Goswami,Jin Namkoong,Marwa El Hajoui,Ewelina Lesniak,Joanna Wu

Frontiers in bioengineering and biotechnology 12:1347995 PubMed38628439

2024

Adipose-derived stem cells derived decellularized extracellular matrix enabled skin regeneration and remodeling.

Applications

Unspecified application

Species

Unspecified reactive species

Jin Zhang,Yang Xiang,Quyang Yang,Jiqiu Chen,Lei Liu,Jian Jin,Shihui Zhu

iScience 26:107660 PubMed37705953

2023

Human adipose ECM alleviates radiation-induced skin fibrosis via endothelial cell-mediated M2 macrophage polarization.

Applications

Unspecified application

Species

Unspecified reactive species

Somaiah Chinnapaka,Katherine S Yang,Yusuf Surucu,Fuat B Bengur,José A Arellano,Zayaan Tirmizi,Hamid Malekzadeh,Michael W Epperly,Wen Hou,Joel S Greenberger,J Peter Rubin,Asim Ejaz
View all publications

Product promise

We are committed to supporting your work with high-quality reagents, and we're here for you every step of the way. In the unlikely event that one of our products does not perform as expected, you're protected by our Product Promise.
For full details, please see our Terms & Conditions

Please note: All products are 'FOR RESEARCH USE ONLY. NOT FOR USE IN DIAGNOSTIC OR THERAPEUTIC PROCEDURES'.

For licensing inquiries, please contact partnerships@abcam.com