JavaScript is disabled in your browser. Please enable JavaScript to view this website.
AB204991

Anti-ELAVL2 antibody

Be the first to review this product! Submit a review

|

(3 Publications)

Rabbit Polyclonal ELAVL2 antibody. Suitable for IHC-P, ICC/IF and reacts with Human samples. Cited in 3 publications. Immunogen corresponding to Recombinant Fragment Protein within Human ELAVL2.

View Alternative Names

HUB, ELAVL2, ELAV-like protein 2, ELAV-like neuronal protein 1, Hu-antigen B, Nervous system-specific RNA-binding protein Hel-N1, HuB

5 Images
Immunocytochemistry/ Immunofluorescence - Anti-ELAVL2 antibody (AB204991)
  • ICC/IF

Supplier Data

Immunocytochemistry/ Immunofluorescence - Anti-ELAVL2 antibody (AB204991)

Immunocytochemical analysis of A431 (Human epidermoid carcinoma cell line) whole cells labeling ELAVL2 in the nucleoplasm with ab204991 at 2 μg/ml.

Immunohistochemistry (Formalin/PFA-fixed paraffin-embedded sections) - Anti-ELAVL2 antibody (AB204991)
  • IHC-P

Supplier Data

Immunohistochemistry (Formalin/PFA-fixed paraffin-embedded sections) - Anti-ELAVL2 antibody (AB204991)

Immunohistochemical analysis of human skeletal muscle tissue labeling ELAVL2 with ab204991 at a 1/200 dilution. No positivity as expected.

Performed heat mediated antigen retrieval with citrate buffer pH 6 before commencing with IHC staining protocol.

Immunohistochemistry (Formalin/PFA-fixed paraffin-embedded sections) - Anti-ELAVL2 antibody (AB204991)
  • IHC-P

Supplier Data

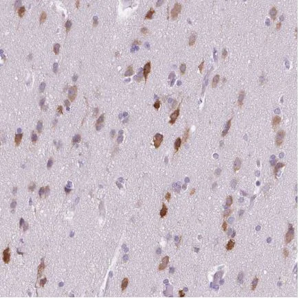
Immunohistochemistry (Formalin/PFA-fixed paraffin-embedded sections) - Anti-ELAVL2 antibody (AB204991)

Immunohistochemical analysis of human cerebral cortex tissue labeling ELAVL2 in the cytoplasm of neurons with ab204991 at a 1/200 dilution.

Performed heat mediated antigen retrieval with citrate buffer pH 6 before commencing with IHC staining protocol.

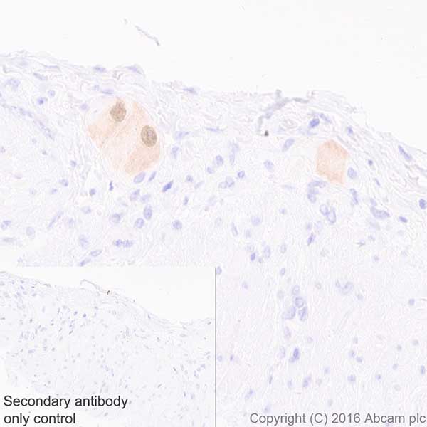
Immunohistochemistry (Formalin/PFA-fixed paraffin-embedded sections) - Anti-ELAVL2 antibody (AB204991)
  • IHC-P

Supplier Data

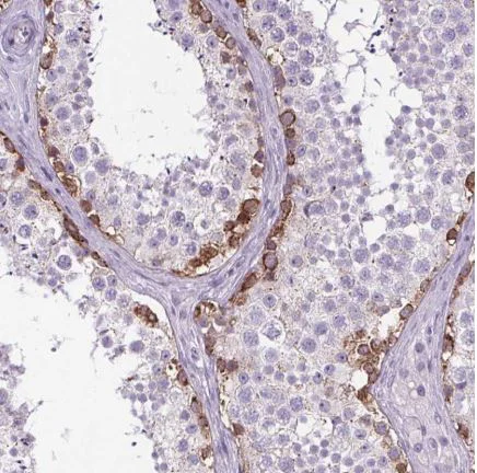
Immunohistochemistry (Formalin/PFA-fixed paraffin-embedded sections) - Anti-ELAVL2 antibody (AB204991)

Immunohistochemical analysis of human testis tissue labeling ELAVL2 in the cytoplasm of cells in seminiferous ducts with ab204991 at a 1/200 dilution.

Performed heat mediated antigen retrieval with citrate buffer pH 6 before commencing with IHC staining protocol.

Immunohistochemistry (Formalin/PFA-fixed paraffin-embedded sections) - Anti-ELAVL2 antibody (AB204991)
  • IHC-P

Supplier Data

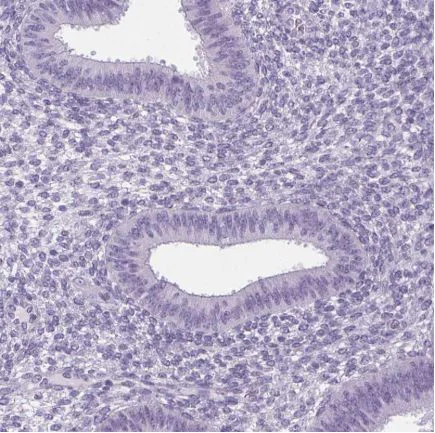
Immunohistochemistry (Formalin/PFA-fixed paraffin-embedded sections) - Anti-ELAVL2 antibody (AB204991)

Immunohistochemical analysis of human endometrium tissue labeling ELAVL2 with ab204991 at a 1/200 dilution. No positivity as expected.

Performed heat mediated antigen retrieval with citrate buffer pH 6 before commencing with IHC staining protocol.

Key facts

Host species

Rabbit

Clonality

Polyclonal

Isotype

IgG

Carrier free

No

Reacts with

Human

Applications

IHC-P, ICC/IF

applications

Immunogen

Recombinant Fragment Protein within Human ELAVL2. The exact immunogen used to generate this antibody is proprietary information.

Q12926

Reactivity data

{ "title": "Reactivity Data", "filters": { "stats": ["", "Species", "Dilution Info", "Notes"], "tabs": { "all-applications": {"fullname" : "All Applications", "shortname": "All Applications"}, "IHCP" : {"fullname" : "Immunohistochemistry (Formalin/PFA-fixed paraffin-embedded sections)", "shortname":"IHC-P"}, "ICCIF" : {"fullname" : "Immunocytochemistry/ Immunofluorescence", "shortname":"ICC/IF"} }, "product-promise": { "all": "all", "testedAndGuaranteed": "tested", "guaranteed": "expected", "predicted": "predicted", "notRecommended": "not-recommended" } }, "values": { "Human": { "IHCP-species-checked": "testedAndGuaranteed", "IHCP-species-dilution-info": "1/200 - 1/500", "IHCP-species-notes": "<p></p> Perform heat-mediated antigen retrieval with citrate buffer pH 6 before commencing with IHC staining protocol.", "ICCIF-species-checked": "testedAndGuaranteed", "ICCIF-species-dilution-info": "0.25-2 µg/mL", "ICCIF-species-notes": "<p>Fixation/Permeabilization: PFA/Triton X-100</p>" }, "Mouse": { "IHCP-species-checked": "predicted", "IHCP-species-dilution-info": "", "IHCP-species-notes": "", "ICCIF-species-checked": "predicted", "ICCIF-species-dilution-info": "", "ICCIF-species-notes": "" }, "Xenopus laevis": { "IHCP-species-checked": "predicted", "IHCP-species-dilution-info": "", "IHCP-species-notes": "", "ICCIF-species-checked": "predicted", "ICCIF-species-dilution-info": "", "ICCIF-species-notes": "" }, "Xenopus tropicalis": { "IHCP-species-checked": "predicted", "IHCP-species-dilution-info": "", "IHCP-species-notes": "", "ICCIF-species-checked": "predicted", "ICCIF-species-dilution-info": "", "ICCIF-species-notes": "" } } }

Properties and storage information

Form
Liquid
Purification technique
Affinity purification Immunogen
Storage buffer
pH: 7.2 Preservative: 0.02% Sodium azide Constituents: PBS, 40% Glycerol (glycerin, glycerine)
Shipped at conditions
Blue Ice
Appropriate short-term storage duration
1-2 weeks
Appropriate short-term storage conditions
+4°C
Appropriate long-term storage conditions
-20°C
Aliquoting information
Upon delivery aliquot
Storage information
Avoid freeze / thaw cycle

Supplementary information

This supplementary information is collated from multiple sources and compiled automatically.

ELAVL2 also known as HuB or Hel-N1 is an RNA-binding protein with a molecular weight of approximately 39 kDa. ELAVL2 binds to AU-rich elements (AREs) in the 3' untranslated regions (UTRs) of target mRNAs which affects mRNA stability and translation. The expression of ELAVL2 occurs mainly in the nervous system particularly in neurons where it regulates neuronal differentiation and function. Its precise expression in neural tissues suggests it plays a role in neurodevelopment.
Biological function summary

ELAVL2 modulates the post-transcriptional regulation of mRNA influencing processes like mRNA localization stabilization and translation within neurons. It forms part of ribonucleoprotein complexes that manage the life cycle of mRNAs. Through its interaction with specific mRNA targets ELAVL2 affects the translation of proteins that are essential for synaptic plasticity and neuronal connectivity which are critical processes in maintaining healthy brain function.

Pathways

ELAVL2 integrates into pathways that include the regulation of neuronal mRNA surveillance and synaptic signaling. In these pathways ELAVL2 interacts with related proteins such as ELAVL1 and ELAVL3 which also bind to RNA. These proteins share a common function in maintaining the balance of mRNA levels within neurons. ELAVL2's role in synaptic signaling highlights its involvement in the transmission of information across synapses important for learning and memory.

ELAVL2 has associations with neurological conditions like Alzheimer's disease and autism spectrum disorders. Studies indicate its altered regulation can affect mRNA metabolism in neurons potentially contributing to these disorders. ELAVL2's interaction with proteins such as Tau in Alzheimer's disease or various mRNA targets in developmental disorders reveals its significant position in the pathology of neural conditions where it alters post-transcriptional gene regulation.

Product protocols

For this product, it's our understanding that no specific protocols are required. You can visit:

Target data

RNA-binding protein that binds to the 3' untranslated region (3'UTR) of target mRNAs (By similarity). Seems to recognize a GAAA motif (By similarity). Can bind to its own 3'UTR, the FOS 3'UTR and the ID 3'UTR (By similarity).
See full target information ELAVL2

Publications (3)

Recent publications for all applications. Explore the full list and refine your search

eLife 12: PubMed37751231

2023

The differentiation and integration of the hippocampal dorsoventral axis are controlled by two nuclear receptor genes.

Applications

Unspecified application

Species

Unspecified reactive species

Xiong Yang,Rong Wan,Zhiwen Liu,Su Feng,Jiaxin Yang,Naihe Jing,Ke Tang

Environmental toxicology 36:1070-1079 PubMed33522089

2021

SNHG3 cooperates with ELAVL2 to modulate cell apoptosis and extracellular matrix accumulation by stabilizing SNAI2 in human trabecular meshwork cells under oxidative stress.

Applications

Unspecified application

Species

Unspecified reactive species

Sizhen Li,Qingsong Yang,Zixiu Zhou,Min Fu,Xiaodong Yang,Kuanxiao Hao,Yating Liu

Experimental animals : PubMed33473097

2021

Establishment and histopathological study of patient-derived xenograft models and primary cell lines of epithelioid malignant peritoneal mesothelioma.

Applications

Unspecified application

Species

Unspecified reactive species

Zhi-Ran Yang,Zhi-Gao Chen,Zhong-He Ji,Yu-Lin Lin,Jue Zhang,Ru Ma,Zhao Li,Xi Jiang,Qian Chen,Xue-Mei DU,Yan Li
View all publications

Product promise

We are committed to supporting your work with high-quality reagents, and we're here for you every step of the way. In the unlikely event that one of our products does not perform as expected, you're protected by our Product Promise.
For full details, please see our Terms & Conditions

Please note: All products are 'FOR RESEARCH USE ONLY. NOT FOR USE IN DIAGNOSTIC OR THERAPEUTIC PROCEDURES'.

For licensing inquiries, please contact partnerships@abcam.com