JavaScript is disabled in your browser. Please enable JavaScript to view this website.
AB194795

Anti-ELK1 (phospho T417) antibody

Be the first to review this product! Submit a review

|

(3 Publications)

Rabbit Polyclonal ELK1 phospho T417 antibody. Suitable for IHC-P, ICC/IF and reacts with Human samples. Cited in 3 publications. Immunogen corresponding to Synthetic Peptide within Human ELK1 phospho T417.

View Alternative Names

ETS domain-containing protein Elk-1, ELK1

2 Images
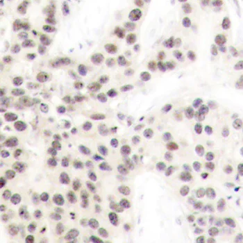
Immunohistochemistry (Formalin/PFA-fixed paraffin-embedded sections) - Anti-ELK1 (phospho T417) antibody (AB194795)
  • IHC-P

Supplier Data

Immunohistochemistry (Formalin/PFA-fixed paraffin-embedded sections) - Anti-ELK1 (phospho T417) antibody (AB194795)

Immunohistochemical analysis of paraffin embedded human breast carcinoma tissue labeling ELK1 (phospho T417) with ab194795.

Immunocytochemistry/ Immunofluorescence - Anti-ELK1 (phospho T417) antibody (AB194795)
  • ICC/IF

Supplier Data

Immunocytochemistry/ Immunofluorescence - Anti-ELK1 (phospho T417) antibody (AB194795)

Immunofluorescence staining of HeLa cells stained for ELK1 (phospho T417) with ab194795.

Key facts

Host species

Rabbit

Clonality

Polyclonal

Isotype

IgG

Carrier free

No

Reacts with

Human

Applications

ICC/IF, IHC-P

applications

Immunogen

Synthetic Peptide within Human ELK1 phospho T417. The exact immunogen used to generate this antibody is proprietary information.

P19419

Reactivity data

{ "title": "Reactivity Data", "filters": { "stats": ["", "Species", "Dilution Info", "Notes"], "tabs": { "all-applications": {"fullname" : "All Applications", "shortname": "All Applications"}, "IHCP" : {"fullname" : "Immunohistochemistry (Formalin/PFA-fixed paraffin-embedded sections)", "shortname":"IHC-P"}, "ICCIF" : {"fullname" : "Immunocytochemistry/ Immunofluorescence", "shortname":"ICC/IF"} }, "product-promise": { "all": "all", "testedAndGuaranteed": "tested", "guaranteed": "expected", "predicted": "predicted", "notRecommended": "not-recommended" } }, "values": { "Human": { "IHCP-species-checked": "testedAndGuaranteed", "IHCP-species-dilution-info": "1/50 - 1/100", "IHCP-species-notes": "<p></p>", "ICCIF-species-checked": "testedAndGuaranteed", "ICCIF-species-dilution-info": "1/100 - 1/200", "ICCIF-species-notes": "<p></p>" } } }

Properties and storage information

Form
Liquid
Purification technique
Affinity purification Immunogen
Storage buffer
pH: 7.3 Preservative: 0.02% Sodium azide Constituents: PBS, 50% Glycerol (glycerin, glycerine)
Shipped at conditions
Blue Ice
Appropriate short-term storage duration
1-2 weeks
Appropriate short-term storage conditions
+4°C
Appropriate long-term storage conditions
-20°C
Aliquoting information
Upon delivery aliquot
Storage information
Avoid freeze / thaw cycle

Supplementary information

This supplementary information is collated from multiple sources and compiled automatically.

ELK1 also known as ELK-1 or ETS-domain protein ELK1 is a transcription factor involved in regulating gene expression. It is a member of the ETS family of transcription factors and has a molecular mass of approximately 54 kDa. ELK1 is mainly expressed in the nucleus of cells and plays a significant role in various tissues by interacting with other proteins. It has sequence-specific DNA-binding ability which allows it to influence the transcription of target genes.
Biological function summary

ELK1 functions in the regulation of gene expression related to cellular proliferation and differentiation. It often forms a ternary complex with serum response factor (SRF) on serum response elements (SREs) to modulate the transcriptional responses of genes important for cell growth. The activation of ELK1 is phosphorylation-dependent primarily by mitogen-activated protein kinases (MAPKs) which further facilitates its role as a transcription regulator. This phosphorylation increases the transcriptional activity enabling ELK1 to actively participate in cellular responses to external signals.

Pathways

ELK1 participates prominently in the MAPK/ERK signaling pathway and the JNK signaling pathway. Through these pathways ELK1 gets activated influencing the transcription of immediate early genes responsible for cell cycle progression and apoptosis. ELK1 interacts with other proteins in these pathways such as MEK and ERK leading to a coordinated response to growth signals. These interactions underline its importance in signal transduction processes and cellular response mechanisms.

ELK1 has associations with certain cancers and neurodegenerative disorders. In particular its dysregulation has been noted in the context of breast cancer where ELK1 is implicated in abnormal cell proliferation. Similarly in neurodegenerative diseases like Alzheimer's ELK1's altered activity levels can affect neuron function and survival. Other proteins such as amyloid precursor protein in Alzheimer's or estrogen receptor in breast cancer connect with ELK1 influencing disease progression through complex signaling networks.

Product protocols

For this product, it's our understanding that no specific protocols are required. You can visit:

Target data

Transcription factor that binds to purine-rich DNA sequences (PubMed : 10799319, PubMed : 7889942). Forms a ternary complex with SRF and the ETS and SRF motifs of the serum response element (SRE) on the promoter region of immediate early genes such as FOS and IER2 (PubMed : 1630903). Induces target gene transcription upon JNK and MAPK-signaling pathways stimulation (PubMed : 7889942).
See full target information ELK1 phospho T417

Publications (3)

Recent publications for all applications. Explore the full list and refine your search

iScience 28:112266 PubMed40241752

2025

CRISPR/Cas9-mediated SHP-1-knockout T cells combined with simvastatin enhances anti-tumor activity in humanized-PDX HCC model.

Applications

Unspecified application

Species

Unspecified reactive species

Huaping Liu,Wu Ge,Xiaoping Yu,Jianwei Luo,Juan Zhang,Min Yang,Lu Cao,Yangnan Zhang,Ruike Wang,Cejun Yang,Pei Li,Mengyu Tian,XiaoPei Peng,Lei Peng,Di Wu,Muqi Liu,Qi Liang,Shengwang Zhang,Wei Li,Pengfei Rong,Hailan Li,Xiaoqian Ma,Wei Wang

Biomedicines 9: PubMed34572320

2021

Decreased MicroRNA-150 Exacerbates Neuronal Apoptosis in the Diabetic Retina.

Applications

Unspecified application

Species

Unspecified reactive species

Fei Yu,Michael L Ko,Gladys Y-P Ko

Journal of cellular physiology 233:2386-2397 PubMed28749049

2017

Mineral trioxide aggregate enhances the osteogenic capacity of periodontal ligament stem cells via NF-κB and MAPK signaling pathways.

Applications

Unspecified application

Species

Unspecified reactive species

Yanqiu Wang,Yixiang Zhou,Lin Jin,Xiyao Pang,Yadie Lu,Zilu Wang,Yan Yu,Jinhua Yu
View all publications

Product promise

We are committed to supporting your work with high-quality reagents, and we're here for you every step of the way. In the unlikely event that one of our products does not perform as expected, you're protected by our Product Promise.
For full details, please see our Terms & Conditions

Please note: All products are 'FOR RESEARCH USE ONLY. NOT FOR USE IN DIAGNOSTIC OR THERAPEUTIC PROCEDURES'.

For licensing inquiries, please contact partnerships@abcam.com