JavaScript is disabled in your browser. Please enable JavaScript to view this website.
AB72368

Anti-Elongation factor 1-gamma antibody

5

(1 Review)

|

(7 Publications)

Rabbit Polyclonal Elongation factor 1-gamma antibody. Suitable for IHC-P, ICC/IF, IP, WB and reacts with Human, Mouse samples. Cited in 7 publications. Immunogen corresponding to Synthetic Peptide within Human EEF1G aa 200-250.

View Alternative Names

EF1G, PRO1608, EEF1G, Elongation factor 1-gamma, EF-1-gamma, eEF-1B gamma

6 Images
Immunohistochemistry (Formalin/PFA-fixed paraffin-embedded sections) - Anti-Elongation factor 1-gamma antibody (AB72368)
  • IHC-P

Unknown

Immunohistochemistry (Formalin/PFA-fixed paraffin-embedded sections) - Anti-Elongation factor 1-gamma antibody (AB72368)

IHC image of ab72368 staining in human normal testis formalin fixed paraffin embedded tissue section, performed on a Leica BondTM system using the standard protocol F. The section was pre-treated using heat mediated antigen retrieval with sodium citrate buffer (pH6, epitope retrieval solution 1) for 20 mins. The section was then incubated with ab72368, 1µg/ml, for 15 mins at room temperature and detected using an HRP conjugated compact polymer system. DAB was used as the chromogen. The section was then counterstained with haematoxylin and mounted with DPX.

For other IHC staining systems (automated and non-automated) customers should optimize variable parameters such as antigen retrieval conditions, primary antibody concentration and antibody incubation times.

Immunocytochemistry/ Immunofluorescence - Anti-Elongation factor 1-gamma antibody (AB72368)
  • ICC/IF

Lab

Immunocytochemistry/ Immunofluorescence - Anti-Elongation factor 1-gamma antibody (AB72368)

ICC image of ab72368 stained HeLa cells. The cells were 4% formaldehyde fixed (10 min) and then incubated in 1% BSA / 10% normal goat serum / 0.3M glycine in 0.1% PBS-Tween for 1h to permeabilise the cells and block non-specific protein-protein interactions. The cells were then incubated with the antibody (ab72368, 1 μg/mL) overnight at +4°C. The secondary antibody (green) was ab96899, DyLight® 488 goat anti-rabbit IgG (H+L) used at a 1/250 dilution for 1h. Alexa Fluor® 594 WGA was used to label plasma membranes (red) at a 1/200 dilution for 1h. DAPI was used to stain the cell nuclei (blue) at a concentration of 1.43 μM.

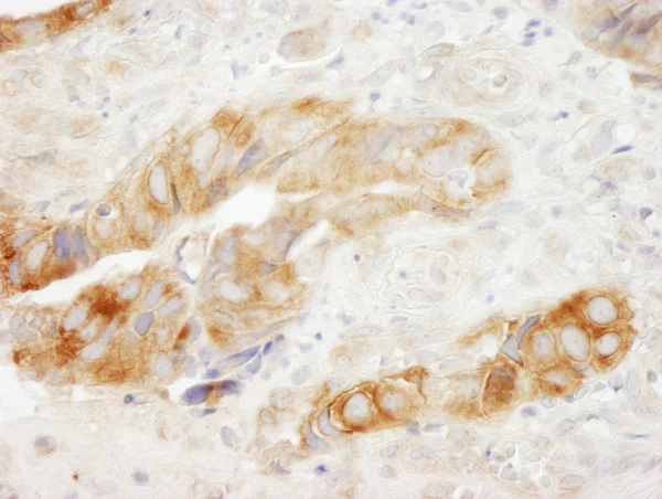
Immunohistochemistry (Formalin/PFA-fixed paraffin-embedded sections) - Anti-Elongation factor 1-gamma antibody (AB72368)
  • IHC-P

Unknown

Immunohistochemistry (Formalin/PFA-fixed paraffin-embedded sections) - Anti-Elongation factor 1-gamma antibody (AB72368)

Immunohistochemistry (Formalin/PFA-fixed paraffin-embedded sections) analysis of human colon carcinoma tissue labelling Elongation factor 1-gamma with ab72368 at 1/200 (1 μg/ml). Detection : DAB.

Immunoprecipitation - Anti-Elongation factor 1-gamma antibody (AB72368)
  • IP

Unknown

Immunoprecipitation - Anti-Elongation factor 1-gamma antibody (AB72368)

Immunoprecipitation/ Western Blot of Elongation factor 1-gamma. Lane 1 : ab72368 at 3μg/mg whole cell lysate. Lane 2 : Control IgG. ab72368 at 1μg/ml for WB. Whole cell lysate from Hela cells at 1mg for IP, 20% of IP loaded. Chemiluminescence with an exposure time of 30 seconds.

All lanes:

Immunoprecipitation - Anti-Elongation factor 1-gamma antibody (ab72368)

Predicted band size: 50 kDa

false

Western blot - Anti-Elongation factor 1-gamma antibody (AB72368)
  • WB

Unknown

Western blot - Anti-Elongation factor 1-gamma antibody (AB72368)

All lanes:

Western blot - Anti-Elongation factor 1-gamma antibody (ab72368) at 0.04 µg/mL

Lane 1:

Whole cell lysate from Hela cells at 50 µg

Lane 2:

Whole cell lysate from Hela cells at 15 µg

Lane 3:

Whole cell lysate from Hela cells at 5 µg

Lane 4:

Whole cell lysate from 293T cells at 50 µg

Lane 5:

Whole cell lysate from NIH3T3 cells at 50 µg

Predicted band size: 50 kDa

Observed band size: 50 kDa

true

Exposure time: 30s

Western blot - Anti-Elongation factor 1-gamma antibody (AB72368)
  • WB

CiteAb

Western blot - Anti-Elongation factor 1-gamma antibody (AB72368)

Elongation factor 1-gamma western blot using anti-Elongation factor 1-gamma antibody ab72368. Publication image and figure legend from Ayre, D. C., Chute, I. C., et al., 2017, Sci Rep, PubMed 28819186.

ab72368 was used in this publication in western blot. This may not be the same as the application(s) guaranteed by Abcam. For a full list of applications guaranteed by Abcam for ab72368 please see the product overview.

Proteins identified by proteomics analysis of B cell MVs are detectable in both cell lysates and MVs of isotype and anti-CD24 stimulated B cells by Western blot analysis. Cell lysates (5 µg; equivalent to approximately 2.3 × 105 cells) and the corresponding protein from MVs (from 1.0 × 106 cells) were analyzed for expression of SHMT2, EEF1G, GRB2 and HMGB2. HSP90 was used as a loading control after stimulation with isotype (Iso) or anti-CD24 (CD24). n = 5. Two different outcomes were observed for HMGB2, with MVs from CD24 stimulated cells containing high HMGB2 (Upper panels, n = 2) or HMGB2 being low/absent in all vesicles (lower panels n = 3).

false

Key facts

Host species

Rabbit

Clonality

Polyclonal

Isotype

IgG

Carrier free

No

Reacts with

Mouse, Human

Applications

ICC/IF, IP, WB, IHC-P

applications

Immunogen

Synthetic Peptide within Human EEF1G aa 200-250. The exact immunogen used to generate this antibody is proprietary information.

P26641

Reactivity data

{ "title": "Reactivity Data", "filters": { "stats": ["", "Species", "Dilution Info", "Notes"], "tabs": { "all-applications": {"fullname" : "All Applications", "shortname": "All Applications"}, "IHCP" : {"fullname" : "Immunohistochemistry (Formalin/PFA-fixed paraffin-embedded sections)", "shortname":"IHC-P"}, "ICCIF" : {"fullname" : "Immunocytochemistry/ Immunofluorescence", "shortname":"ICC/IF"}, "IP" : {"fullname" : "Immunoprecipitation", "shortname":"IP"}, "WB" : {"fullname" : "Western blot", "shortname":"WB"} }, "product-promise": { "all": "all", "testedAndGuaranteed": "tested", "guaranteed": "expected", "predicted": "predicted", "notRecommended": "not-recommended" } }, "values": { "Human": { "IHCP-species-checked": "testedAndGuaranteed", "IHCP-species-dilution-info": "1 µg/mL", "IHCP-species-notes": "<p></p> Perform heat-mediated antigen retrieval with citrate buffer pH 6 before commencing with IHC staining protocol.", "ICCIF-species-checked": "testedAndGuaranteed", "ICCIF-species-dilution-info": "1 µg/mL", "ICCIF-species-notes": "<p></p>", "IP-species-checked": "testedAndGuaranteed", "IP-species-dilution-info": "2-5 µg/mg of lysate", "IP-species-notes": "<p></p>", "WB-species-checked": "testedAndGuaranteed", "WB-species-dilution-info": "1/2000 - 1/10000", "WB-species-notes": "<p></p>" }, "Mouse": { "IHCP-species-checked": "guaranteed", "IHCP-species-dilution-info": "", "IHCP-species-notes": "", "ICCIF-species-checked": "guaranteed", "ICCIF-species-dilution-info": "", "ICCIF-species-notes": "", "IP-species-checked": "guaranteed", "IP-species-dilution-info": "", "IP-species-notes": "", "WB-species-checked": "testedAndGuaranteed", "WB-species-dilution-info": "1/2000 - 1/10000", "WB-species-notes": "<p></p>" }, "Chimpanzee": { "IHCP-species-checked": "predicted", "IHCP-species-dilution-info": "", "IHCP-species-notes": "", "ICCIF-species-checked": "predicted", "ICCIF-species-dilution-info": "", "ICCIF-species-notes": "", "IP-species-checked": "predicted", "IP-species-dilution-info": "", "IP-species-notes": "", "WB-species-checked": "predicted", "WB-species-dilution-info": "", "WB-species-notes": "" }, "Gorilla": { "IHCP-species-checked": "predicted", "IHCP-species-dilution-info": "", "IHCP-species-notes": "", "ICCIF-species-checked": "predicted", "ICCIF-species-dilution-info": "", "ICCIF-species-notes": "", "IP-species-checked": "predicted", "IP-species-dilution-info": "", "IP-species-notes": "", "WB-species-checked": "predicted", "WB-species-dilution-info": "", "WB-species-notes": "" }, "Rhesus monkey": { "IHCP-species-checked": "predicted", "IHCP-species-dilution-info": "", "IHCP-species-notes": "", "ICCIF-species-checked": "predicted", "ICCIF-species-dilution-info": "", "ICCIF-species-notes": "", "IP-species-checked": "predicted", "IP-species-dilution-info": "", "IP-species-notes": "", "WB-species-checked": "predicted", "WB-species-dilution-info": "", "WB-species-notes": "" } } }

Properties and storage information

Form
Liquid
Purification technique
Affinity purification Immunogen
Storage buffer
pH: 6.8 - 7.4 Preservative: 0.09% Sodium azide Constituents: Tris buffered saline, 0.1% BSA
Shipped at conditions
Blue Ice
Appropriate short-term storage conditions
+4°C
Appropriate long-term storage conditions
+4°C
Aliquoting information
Upon delivery aliquot
Storage information
Avoid freeze / thaw cycle

Supplementary information

This supplementary information is collated from multiple sources and compiled automatically.

Elongation factor 1-gamma sometimes called EF-1γ is a protein that plays an important role in the process of protein biosynthesis. It is part of the elongation factor complex essential for the elongation phase of translation. This protein has a molecular weight of about 50 kDa. EF-1γ is expressed ubiquitously meaning it is found in many different types of tissues throughout the body indicating its broad necessity for cellular function.
Biological function summary

Elongation factor 1-gamma supports the stability and functionality of the larger elongation factor 1 complex which also includes EF-1 alpha EF-1 beta and EF-1 delta. This complex facilitates the economic and rapid engagement of aminoacyl-tRNA to the ribosome's A-site which is important in the synthesis of proteins ensuring that proteins are accurately and efficiently elongated during translation.

Pathways

Elongation factor 1-gamma has significance in the translation pathway and is also linked to the mTOR signaling pathway. The translation pathway is fundamental for general protein synthesis while the mTOR pathway is pivotal in regulating cell growth and proliferation. In these contexts elongation factor 1-gamma associates with other proteins such as elongation factor 1 alpha to optimize the elongation step of protein synthesis impacting cell growth and survival.

Elongation factor 1-gamma shows connections to certain cancer types and neurodegenerative diseases. In cancer alterations or dysregulations of EF-1γ expression can influence tumor growth and development. Meanwhile relation to neurodegenerative disorders is under study as EF-1γ participates in protein synthesis with possible impacts on neuronal survival. Elongation factor 1-gamma’s interactions with proteins like EF-1 alpha in these conditions spotlight its importance to cellular homeostasis and pathology.

Product protocols

For this product, it's our understanding that no specific protocols are required. You can visit:

Target data

Probably plays a role in anchoring the complex to other cellular components.
See full target information EEF1G

Publications (7)

Recent publications for all applications. Explore the full list and refine your search

Frontiers in aging 6:1621808 PubMed40636718

2025

The lifespan-extending MEK1 inhibitor trametinib promotes regulation of de novo lipogenesis enzymes by chaperone-mediated autophagy.

Applications

Unspecified application

Species

Unspecified reactive species

Jiexian Chen,Joshua Berg,Calvin M Burns,Hanyi Jia,Xinna Li,Richard A Miller,S Joseph Endicott,Gonzalo Garcia

Molecular cell 83:4304-4317.e8 PubMed37949069

2023

FMRP phosphorylation modulates neuronal translation through YTHDF1.

Applications

Unspecified application

Species

Unspecified reactive species

Zhongyu Zou,Jiangbo Wei,Yantao Chen,Yunhee Kang,Hailing Shi,Fan Yang,Zhuoyue Shi,Shijie Chen,Ying Zhou,Caraline Sepich-Poore,Xiaoxi Zhuang,Xiaoming Zhou,Hualiang Jiang,Zhexing Wen,Peng Jin,Cheng Luo,Chuan He

Human molecular genetics 27:3257-3271 PubMed29917075

2018

Proteomic analysis reveals co-ordinated alterations in protein synthesis and degradation pathways in LRRK2 knockout mice.

Applications

Unspecified application

Species

Unspecified reactive species

Laura Pellegrini,David N Hauser,Yan Li,Adamantios Mamais,Alexandra Beilina,Ravindran Kumaran,Andrea Wetzel,Jonathon Nixon-Abell,George Heaton,Iakov Rudenko,Mor Alkaslasi,Natalie Ivanina,Heather L Melrose,Mark R Cookson,Kirsten Harvey

Scientific reports 7:8642 PubMed28819186

2017

CD24 induces changes to the surface receptors of B cell microvesicles with variable effects on their RNA and protein cargo.

Applications

Unspecified application

Species

Unspecified reactive species

D Craig Ayre,Ian C Chute,Andrew P Joy,David A Barnett,Andrew M Hogan,Marc P Grüll,Lourdes Peña-Castillo,Andrew S Lang,Stephen M Lewis,Sherri L Christian

Nature communications 5:4776 PubMed25175731

2014

Site-specific mapping and quantification of protein S-sulphenylation in cells.

Applications

Unspecified application

Species

Human

Jing Yang,Vinayak Gupta,Kate S Carroll,Daniel C Liebler

Stem cells (Dayton, Ohio) 29:496-504 PubMed21425412

2011

Genome-wide studies reveal that Lin28 enhances the translation of genes important for growth and survival of human embryonic stem cells.

Applications

Unspecified application

Species

Unspecified reactive species

Shuping Peng,Ling-Ling Chen,Xin-Xiang Lei,Li Yang,Haifan Lin,Gordon G Carmichael,Yingqun Huang

Developmental biology 350:476-83 PubMed21167828

2010

Identification of a new isoform of eEF2 whose phosphorylation is required for completion of cell division in sea urchin embryos.

Applications

WB

Species

Sea urchin

Robert Bellé,Pierre-François Pluchon,Patrick Cormier,Odile Mulner-Lorillon
View all publications

Product promise

We are committed to supporting your work with high-quality reagents, and we're here for you every step of the way. In the unlikely event that one of our products does not perform as expected, you're protected by our Product Promise.
For full details, please see our Terms & Conditions

Please note: All products are 'FOR RESEARCH USE ONLY. NOT FOR USE IN DIAGNOSTIC OR THERAPEUTIC PROCEDURES'.

For licensing inquiries, please contact partnerships@abcam.com