JavaScript is disabled in your browser. Please enable JavaScript to view this website.
AB231586

Anti-Elongin A antibody

Be the first to review this product! Submit a review

|

(1 Publication)

Rabbit Polyclonal Elongin A antibody. Suitable for WB, IHC-P and reacts with Recombinant full length protein - Mouse, Mouse, Human samples. Cited in 1 publication. Immunogen corresponding to Recombinant Fragment Protein within Mouse Eloa aa 50-350.

View Alternative Names

TCEB3, MSTP059, ELOA, Elongin-A, EloA, Elongin 110 kDa subunit, RNA polymerase II transcription factor SIII subunit A1, SIII p110, Transcription elongation factor B polypeptide 3

5 Images
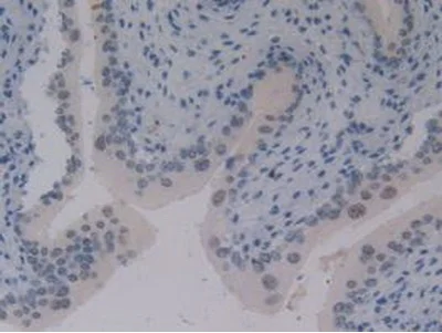
Immunohistochemistry (Formalin/PFA-fixed paraffin-embedded sections) - Anti-Elongin A antibody (AB231586)
  • IHC-P

Supplier Data

Immunohistochemistry (Formalin/PFA-fixed paraffin-embedded sections) - Anti-Elongin A antibody (AB231586)

Paraffin-embedded mouse vas deferens tissue stained for Elongin A using ab231586 at 20 μg/ml in immunohistochemical analysis. DAB staining.

Immunohistochemistry (Formalin/PFA-fixed paraffin-embedded sections) - Anti-Elongin A antibody (AB231586)
  • IHC-P

Supplier Data

Immunohistochemistry (Formalin/PFA-fixed paraffin-embedded sections) - Anti-Elongin A antibody (AB231586)

Paraffin-embedded mouse liver tissue stained for Elongin A using ab231586 at 20 μg/ml in immunohistochemical analysis. DAB staining.

Immunohistochemistry (Formalin/PFA-fixed paraffin-embedded sections) - Anti-Elongin A antibody (AB231586)
  • IHC-P

Supplier Data

Immunohistochemistry (Formalin/PFA-fixed paraffin-embedded sections) - Anti-Elongin A antibody (AB231586)

Paraffin-embedded mouse spleen tissue stained for Elongin A using ab231586 at 20 μg/ml in immunohistochemical analysis. DAB staining.

Western blot - Anti-Elongin A antibody (AB231586)
  • WB

Supplier Data

Western blot - Anti-Elongin A antibody (AB231586)

All lanes:

Western blot - Anti-Elongin A antibody (ab231586) at 3 µg/mL

Lane 1:

Mouse liver lysate

Lane 2:

Mouse brain lysate

Lane 3:

HeLa (human epithelial cell line from cervix adenocarcinoma) cell lysate

Secondary

All lanes:

HRP-Linked Guinea pig Anti-Rabbit at 1/2000 dilution

Predicted band size: 90 kDa

false

Western blot - Anti-Elongin A antibody (AB231586)
  • WB

Supplier Data

Western blot - Anti-Elongin A antibody (AB231586)

All lanes:

Western blot - Anti-Elongin A antibody (ab231586) at 3 µg/mL

All lanes:

Recombinant mouse Elongin A protein

Secondary

All lanes:

HRP-Linked Guinea pig Anti-Rabbi at 1/2000 dilution

Predicted band size: 90 kDa

false

Key facts

Host species

Rabbit

Clonality

Polyclonal

Isotype

IgG

Carrier free

No

Reacts with

Mouse, Human

Applications

IHC-P, WB

applications

Immunogen

Recombinant Fragment Protein within Mouse Eloa aa 50-350. The exact immunogen used to generate this antibody is proprietary information.

Q8CB77

Reactivity data

{ "title": "Reactivity Data", "filters": { "stats": ["", "Species", "Dilution Info", "Notes"], "tabs": { "all-applications": {"fullname" : "All Applications", "shortname": "All Applications"}, "WB" : {"fullname" : "Western blot", "shortname":"WB"}, "IHCP" : {"fullname" : "Immunohistochemistry (Formalin/PFA-fixed paraffin-embedded sections)", "shortname":"IHC-P"} }, "product-promise": { "all": "all", "testedAndGuaranteed": "tested", "guaranteed": "expected", "predicted": "predicted", "notRecommended": "not-recommended" } }, "values": { "Human": { "WB-species-checked": "testedAndGuaranteed", "WB-species-dilution-info": "0.5-5 µg/mL", "WB-species-notes": "<p></p>", "IHCP-species-checked": "guaranteed", "IHCP-species-dilution-info": "", "IHCP-species-notes": "" }, "Mouse": { "WB-species-checked": "testedAndGuaranteed", "WB-species-dilution-info": "0.5-5 µg/mL", "WB-species-notes": "<p></p>", "IHCP-species-checked": "testedAndGuaranteed", "IHCP-species-dilution-info": "5-20 µg/mL", "IHCP-species-notes": "<p></p>" }, "Recombinant full length protein - Mouse": { "WB-species-checked": "testedAndGuaranteed", "WB-species-dilution-info": "0.5-5 µg/mL", "WB-species-notes": "<p></p>", "IHCP-species-checked": "notRecommended", "IHCP-species-dilution-info": "", "IHCP-species-notes": "" } } }

Properties and storage information

Form
Liquid
Purification technique
Affinity purification Immunogen
Purification notes
ab231586 was purified by antigen-specific affinity chromatography followed by Protein A affinity chromatography.
Storage buffer
pH: 7.4 Preservative: 0.011% Proclin 300 Constituents: PBS, 55.77% Glycerol (glycerin, glycerine)
Shipped at conditions
Blue Ice
Appropriate short-term storage duration
1-2 weeks
Appropriate short-term storage conditions
+4°C
Appropriate long-term storage conditions
-20°C
Aliquoting information
Upon delivery aliquot
Storage information
Avoid freeze / thaw cycle

Supplementary information

This supplementary information is collated from multiple sources and compiled automatically.

Elongin A also known as TCEB3 is a core component of the Elongin complex that plays an important role in transcriptional elongation. This protein has a mass of approximately 77 kDa. It is widely expressed in various tissues with higher expression levels observed in the testis and leukocytes. Elongin A functions by enhancing the RNA polymerase II elongation rate during transcription by reducing the pausing of the polymerase at specific sites on the DNA.
Biological function summary

Elongin A enhances the efficiency of transcriptional elongation as part of the Elongin complex which includes Elongin B and Elongin C. This complex forms a bridge between the elongating transcription machinery and other regulatory factors. As a transcriptional co-activator Elongin A participates in modulating the responsiveness of transcription to signals by interacting with other proteins and nucleic acids in the cellular environment.

Pathways

Elongin A integrates its function into several important pathways including the p53 signaling pathway and the ubiquitin-proteasome system. It interacts with key proteins such as VHL (von Hippel-Lindau) tumor suppressor where Elongin B and C also form part of the larger VBC-CUL2 E3 ubiquitin ligase complex. This complex influences the degradation of hypoxia-inducible factors (HIFs) under normoxic conditions linking transcriptional regulation to protein turnover.

The dysfunction of Elongin A is associated with cancer and neurodegenerative diseases. It connects to conditions like renal cell carcinoma through its interaction with the VHL protein a regulator of HIF stability. Abnormal expression or mutations in Elongin A may disrupt its role in proper transcriptional elongation and protein degradation contributing to tumorigenesis and the progression of other diseases by affecting gene expression and cellular homeostasis.

Product protocols

For this product, it's our understanding that no specific protocols are required. You can visit:

Target data

SIII, also known as elongin, is a general transcription elongation factor that increases the RNA polymerase II transcription elongation past template-encoded arresting sites. Subunit A is transcriptionally active and its transcription activity is strongly enhanced by binding to the dimeric complex of the SIII regulatory subunits B and C (elongin BC complex).. As part of a multisubunit complex composed of elongin BC complex (ELOB and ELOC), elongin A/ELOA, RBX1 and CUL5; polyubiquitinates monoubiquitinated POLR2A.
See full target information ELOA

Publications (1)

Recent publications for all applications. Explore the full list and refine your search

Molecular metabolism 91:102069 PubMed39571901

2024

The immune checkpoint molecule B7-H4 regulates β-cell mass and insulin secretion by modulating cholesterol metabolism through Stat5 signalling.

Applications

Unspecified application

Species

Unspecified reactive species

Fangzhen Xia,Ziteng Zhang,Zhen Qian,Xiaoyu Fang,Junxue Wang,Yan Wang,Guoting Sun,Yuefeng Yu,Ninjian Wang,Junke Zhen,Yan Liu,Yingli Lu
View all publications

Product promise

We are committed to supporting your work with high-quality reagents, and we're here for you every step of the way. In the unlikely event that one of our products does not perform as expected, you're protected by our Product Promise.
For full details, please see our Terms & Conditions

Please note: All products are 'FOR RESEARCH USE ONLY. NOT FOR USE IN DIAGNOSTIC OR THERAPEUTIC PROCEDURES'.

For licensing inquiries, please contact partnerships@abcam.com