JavaScript is disabled in your browser. Please enable JavaScript to view this website.
AB133382

Anti-ELOVL5 antibody

Be the first to review this product! Submit a review

|

(1 Publication)

Rabbit Polyclonal ELOVL5 antibody. Suitable for IHC-P and reacts with Human samples. Cited in 1 publication. Immunogen corresponding to Synthetic Peptide within Human ELOVL5.

View Alternative Names

ELOVL2, PRO0530, ELOVL5, Very long chain fatty acid elongase 5, 3-keto acyl-CoA synthase ELOVL5, ELOVL fatty acid elongase 5, Elongation of very long chain fatty acids protein 5, Fatty acid elongase 1, Very long chain 3-ketoacyl-CoA synthase 5, Very long chain 3-oxoacyl-CoA synthase 5, ELOVL FA elongase 5, hELO1

2 Images
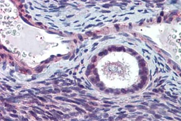
Immunohistochemistry (Formalin/PFA-fixed paraffin-embedded sections) - Anti-ELOVL5 antibody (AB133382)
  • IHC-P

Unknown

Immunohistochemistry (Formalin/PFA-fixed paraffin-embedded sections) - Anti-ELOVL5 antibody (AB133382)

Immunohistochemical analysis of formalin-fixed, paraffin embedded Human breast tissue labelling ELOVL5 with ab133382 at 10µg/ml. Followed by biotinylated goat anti-rabbit IgG secondary antibody, alkaline phosphatase-streptavidin and chromogen.

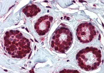
Immunohistochemistry (Formalin/PFA-fixed paraffin-embedded sections) - Anti-ELOVL5 antibody (AB133382)
  • IHC-P

Unknown

Immunohistochemistry (Formalin/PFA-fixed paraffin-embedded sections) - Anti-ELOVL5 antibody (AB133382)

Immunohistochemical analysis of formalin-fixed, paraffin embedded Human ovary tissue labelling ELOVL5 with ab133382 at 10µg/ml. Followed by biotinylated goat anti-rabbit IgG secondary antibody, alkaline phosphatase-streptavidin and chromogen.

Key facts

Host species

Rabbit

Clonality

Polyclonal

Isotype

IgG

Carrier free

No

Reacts with

Human

Applications

IHC-P

applications

Immunogen

Synthetic Peptide within Human ELOVL5. The exact immunogen used to generate this antibody is proprietary information.

Q9NYP7

Specificity

BLAST analysis of the peptide immunogen showed no homology with other human proteins.

Reactivity data

{ "title": "Reactivity Data", "filters": { "stats": ["", "Species", "Dilution Info", "Notes"], "tabs": { "all-applications": {"fullname" : "All Applications", "shortname": "All Applications"}, "IHCP" : {"fullname" : "Immunohistochemistry (Formalin/PFA-fixed paraffin-embedded sections)", "shortname":"IHC-P"} }, "product-promise": { "all": "all", "testedAndGuaranteed": "tested", "guaranteed": "expected", "predicted": "predicted", "notRecommended": "not-recommended" } }, "values": { "Human": { "IHCP-species-checked": "testedAndGuaranteed", "IHCP-species-dilution-info": "10-15 µg/mL", "IHCP-species-notes": "<p></p> Perform heat-mediated antigen retrieval with citrate buffer pH 6 before commencing with IHC staining protocol." }, "Catfish": { "IHCP-species-checked": "predicted", "IHCP-species-dilution-info": "", "IHCP-species-notes": "" }, "Chicken": { "IHCP-species-checked": "predicted", "IHCP-species-dilution-info": "", "IHCP-species-notes": "" }, "Common marmoset": { "IHCP-species-checked": "predicted", "IHCP-species-dilution-info": "", "IHCP-species-notes": "" }, "Elephant": { "IHCP-species-checked": "predicted", "IHCP-species-dilution-info": "", "IHCP-species-notes": "" }, "Gorilla": { "IHCP-species-checked": "predicted", "IHCP-species-dilution-info": "", "IHCP-species-notes": "" }, "Monkey": { "IHCP-species-checked": "predicted", "IHCP-species-dilution-info": "", "IHCP-species-notes": "" }, "Orangutan": { "IHCP-species-checked": "predicted", "IHCP-species-dilution-info": "", "IHCP-species-notes": "" }, "Turkey": { "IHCP-species-checked": "predicted", "IHCP-species-dilution-info": "", "IHCP-species-notes": "" } } }

Properties and storage information

Form
Liquid
Purification technique
Affinity purification Immunogen
Storage buffer
pH: 7.4 Preservative: 0.1% Sodium azide Constituents: PBS
Shipped at conditions
Blue Ice
Appropriate short-term storage conditions
+4°C
Appropriate long-term storage conditions
-80°C
Aliquoting information
Upon delivery aliquot
Storage information
Avoid freeze / thaw cycle

Supplementary information

This supplementary information is collated from multiple sources and compiled automatically.

ELOVL5 also known as elongation of very long chain fatty acids protein 5 is an important enzyme involved in the elongation process of fatty acids. It is part of a family that catalyzes the first and rate-limiting step of the elongation cycle adding two carbon units to the acyl chain. ELOVL5 is mainly found in tissues with high lipid metabolism including liver and brain with significant expression also noted in breast tissue. It has a molecular weight of approximately 33.5 kDa.
Biological function summary

ELOVL5 contributes to the metabolism of polyunsaturated fatty acids (PUFAs) which are important components of cell membranes and precursors to signaling molecules. It does not function alone but as part of a multi-enzyme complex that includes desaturases and reductases which enables the efficient synthesis of very long chain fatty acids (VLCFAs). These VLCFAs are critical for maintaining membrane fluidity and for cell signaling processes.

Pathways

ELOVL5 plays a significant role in the biosynthesis pathway of polyunsaturated fatty acids. It works alongside other enzymes such as desaturases to produce long-chain PUFAs from shorter precursor fatty acids. This process is important for the homeostasis of lipid signaling and membrane architecture. ELOVL5 also interacts with ELOVL6 another enzyme within the fatty acid elongation pathway indicating a coordinated interplay in fatty acid metabolism.

Mutations or deficiencies in ELOVL5 can lead to conditions affecting lipid metabolism. One such disorder is spinocerebellar ataxia 38 (SCA38) a neurodegenerative disorder characterized by issues with movement and balance. Research also suggests a link between ELOVL5 and autism spectrum disorders (ASD) though this connection requires further investigation. In these disorders ELOVL5 often interacts with other proteins involved in lipid processing such as fatty acid synthase (FASN) underlying the complex nature of these diseases.

Product protocols

For this product, it's our understanding that no specific protocols are required. You can visit:

Target data

Catalyzes the first and rate-limiting reaction of the four reactions that constitute the long-chain fatty acids elongation cycle. This endoplasmic reticulum-bound enzymatic process allows the addition of 2 carbons to the chain of long- and very long-chain fatty acids (VLCFAs) per cycle. Condensing enzyme that acts specifically toward polyunsaturated acyl-CoA with the higher activity toward C18 : 3(n-6) acyl-CoA. May participate in the production of monounsaturated and of polyunsaturated VLCFAs of different chain lengths that are involved in multiple biological processes as precursors of membrane lipids and lipid mediators (By similarity) (PubMed : 10970790, PubMed : 20937905). In conditions where the essential linoleic and alpha linoleic fatty acids are lacking it is also involved in the synthesis of Mead acid from oleic acid (By similarity).
See full target information ELOVL5

Publications (1)

Recent publications for all applications. Explore the full list and refine your search

Cancer cell international 22:158 PubMed35440048

2022

Prognostic value and biological function of LRRN4 in colorectal cancer.

Applications

Unspecified application

Species

Unspecified reactive species

Cheng Xu,Yulin Chen,Feiwu Long,Junman Ye,Xue Li,Qiaorong Huang,Dejiao Yao,Xiaoli Wang,Jin Zhao,Wentong Meng,Xianming Mo,Ran Lu,Chuanwen Fan,Tao Zhang
View all publications

Product promise

We are committed to supporting your work with high-quality reagents, and we're here for you every step of the way. In the unlikely event that one of our products does not perform as expected, you're protected by our Product Promise.
For full details, please see our Terms & Conditions

Please note: All products are 'FOR RESEARCH USE ONLY. NOT FOR USE IN DIAGNOSTIC OR THERAPEUTIC PROCEDURES'.

For licensing inquiries, please contact partnerships@abcam.com