JavaScript is disabled in your browser. Please enable JavaScript to view this website.
AB318276

Anti-ELOVL5 antibody [EPR28824-94]

  • BOND RX™ Validated
  • 20ul selling size
  • Recombinant
  • RabMAb
  • What is this?

Be the first to review this product! Submit a review

|

(0 Publication)

Rabbit Recombinant Monoclonal ELOVL5 antibody. Suitable for IHC-P and reacts with Transfected cell line - Human, Human samples.

View Alternative Names

ELOVL2, PRO0530, ELOVL5, Very long chain fatty acid elongase 5, 3-keto acyl-CoA synthase ELOVL5, ELOVL fatty acid elongase 5, Elongation of very long chain fatty acids protein 5, Fatty acid elongase 1, Very long chain 3-ketoacyl-CoA synthase 5, Very long chain 3-oxoacyl-CoA synthase 5, ELOVL FA elongase 5, hELO1

6 Images
Immunohistochemistry (Formalin/PFA-fixed paraffin-embedded sections) - Anti-ELOVL5 antibody [EPR28824-94] (AB318276)
  • IHC-P

Supplier Data

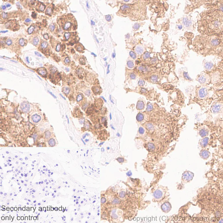
Immunohistochemistry (Formalin/PFA-fixed paraffin-embedded sections) - Anti-ELOVL5 antibody [EPR28824-94] (AB318276)

Immunohistochemical analysis of paraffin-embedded Human breast tissue labeling ELOVL5 with ab318276 at 1/500 (1.044 ug/ml) dilution, followed by a ready to use LeicaDS9800 (Bond™ Polymer Refine Detection).

Positive staining in human breast.
The section was incubated with ab318276 for 30 mins at room temperature.
The immunostaining was performed on a Leica Biosystems BOND® RX instrument

Counterstained with Hematoxylin.

Secondary antibody only control : Secondary antibody is a ready to use LeicaDS9800 (Bond™ Polymer Refine Detection).

Heat mediated antigen retrieval was performed with Tris-EDTA buffer (pH 9.0, Epitope Retrieval Solution2) for 20 mins

Immunohistochemistry (Formalin/PFA-fixed paraffin-embedded sections) - Anti-ELOVL5 antibody [EPR28824-94] (AB318276)
  • IHC-P

Supplier Data

Immunohistochemistry (Formalin/PFA-fixed paraffin-embedded sections) - Anti-ELOVL5 antibody [EPR28824-94] (AB318276)

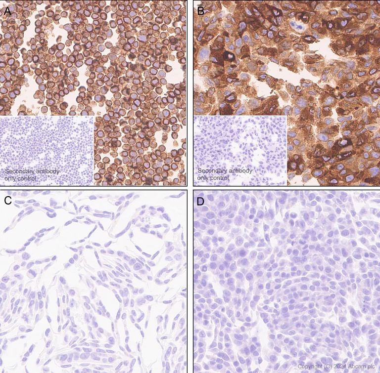
Immunohistochemical analysis of paraffin-embedded (A) Jurkat (human T cell leukemia T lymphocyte from peripheral blood) cell pellets; (B) LNCaP (human prostate carcinoma epithelial cell) cell pellets; (C) DLD-1 (human colorectal adenocarcinoma epithelial cell) cell pellets; (D) HT-29 (human colorectal adenocarcinoma epithelial cell) cell pellets. tissue labeling ELOVL5 with ab318276 at 1/1000 (0.522 ug/ml) dilution, followed by a ready to use LeicaDS9800 (Bond™ Polymer Refine Detection).

Positive staining in (A) Jurkat and (B) LNCaP cell pellets, while no signal in (C) DLD-1 and (D) HT-29 cell pellets.
The section was incubated with ab318276 for 30 mins at room temperature.
The immunostaining was performed on a Leica Biosystems BOND® RX instrument

Counterstained with Hematoxylin.

Secondary antibody only control : Secondary antibody is a ready to use LeicaDS9800 (Bond™ Polymer Refine Detection).

Heat mediated antigen retrieval was performed with Tris-EDTA buffer (pH 9.0, Epitope Retrieval Solution2) for 20 mins

Immunohistochemistry (Formalin/PFA-fixed paraffin-embedded sections) - Anti-ELOVL5 antibody [EPR28824-94] (AB318276)
  • IHC-P

Supplier Data

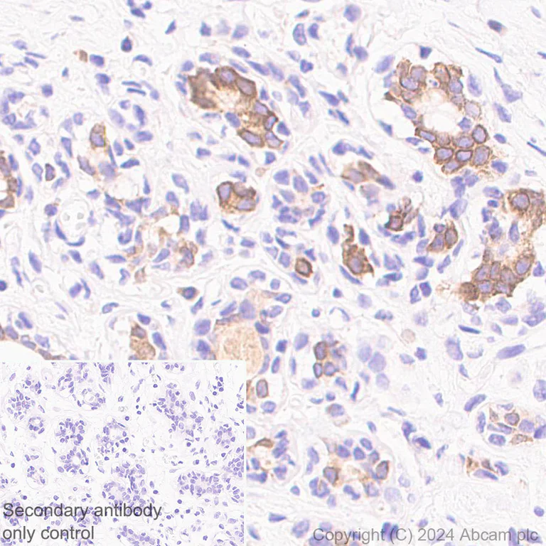
Immunohistochemistry (Formalin/PFA-fixed paraffin-embedded sections) - Anti-ELOVL5 antibody [EPR28824-94] (AB318276)

Immunohistochemical analysis of paraffin-embedded Human testis tissue labeling ELOVL5 with ab318276 at 1/500 (1.044 ug/ml) dilution, followed by a ready to use LeicaDS9800 (Bond™ Polymer Refine Detection).

Positive staining in human testis.
The section was incubated with ab318276 for 30 mins at room temperature.
The immunostaining was performed on a Leica Biosystems BOND® RX instrument

Counterstained with Hematoxylin.

Secondary antibody only control : Secondary antibody is a ready to use LeicaDS9800 (Bond™ Polymer Refine Detection).

Heat mediated antigen retrieval was performed with Tris-EDTA buffer (pH 9.0, Epitope Retrieval Solution2) for 20 mins

Immunohistochemistry (Formalin/PFA-fixed paraffin-embedded sections) - Anti-ELOVL5 antibody [EPR28824-94] (AB318276)
  • IHC-P

Supplier Data

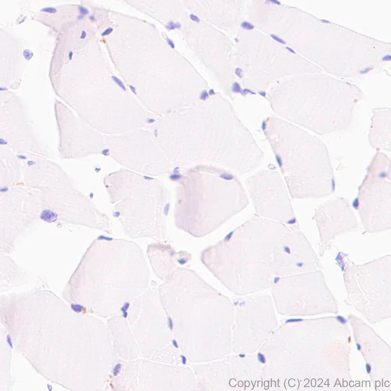
Immunohistochemistry (Formalin/PFA-fixed paraffin-embedded sections) - Anti-ELOVL5 antibody [EPR28824-94] (AB318276)

Immunohistochemical analysis of paraffin-embedded Human skeletal muscle tissue labeling ELOVL5 with ab318276 at 1/500 (1.044 ug/ml) dilution, followed by a ready to use LeicaDS9800 (Bond™ Polymer Refine Detection).

Low expression tissue : No staining in human skeletal muscle (PMID : 10970790).
The section was incubated with ab318276 for 30 mins at room temperature.
The immunostaining was performed on a Leica Biosystems BOND® RX instrument

Counterstained with Hematoxylin.

Secondary antibody only control : Secondary antibody is a ready to use LeicaDS9800 (Bond™ Polymer Refine Detection).

Heat mediated antigen retrieval was performed with Tris-EDTA buffer (pH 9.0, Epitope Retrieval Solution2) for 20 mins

Immunohistochemistry (Formalin/PFA-fixed paraffin-embedded sections) - Anti-ELOVL5 antibody [EPR28824-94] (AB318276)
  • IHC-P

Supplier Data

Immunohistochemistry (Formalin/PFA-fixed paraffin-embedded sections) - Anti-ELOVL5 antibody [EPR28824-94] (AB318276)

Immunohistochemical analysis of paraffin-embedded (A) HEK-293T (human embryonic kidney epithelial cell) transfected with a ELOVL5 expression vector containing a his tag. (B) HEK-293T cells transfected with empty vector containing a his tag. tissue labeling ELOVL5 with ab318276 at 1/8000 (0.065 ug/ml) dilution, followed by a ready to use LeicaDS9800 (Bond™ Polymer Refine Detection).

Positive staining on (A) HEK-293T transfected with a ELOVL5 expression vector containing a his tag. No staining on (B) HEK-293T cells transfected with empty vector containing a his tag.
The section was incubated with ab318276 for 30 mins at room temperature.
The immunostaining was performed on a Leica Biosystems BOND® RX instrument

Counterstained with Hematoxylin.

Secondary antibody only control : Secondary antibody is a ready to use LeicaDS9800 (Bond™ Polymer Refine Detection).

Heat mediated antigen retrieval was performed with Tris-EDTA buffer (pH 9.0, Epitope Retrieval Solution2) for 20 mins

Immunohistochemistry (Formalin/PFA-fixed paraffin-embedded sections) - Anti-ELOVL5 antibody [EPR28824-94] (AB318276)
  • IHC-P

Supplier Data

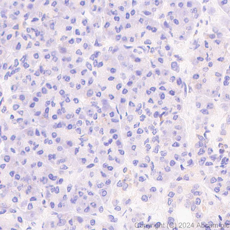
Immunohistochemistry (Formalin/PFA-fixed paraffin-embedded sections) - Anti-ELOVL5 antibody [EPR28824-94] (AB318276)

Immunohistochemical analysis of paraffin-embedded Human pancreas tissue labeling ELOVL5 with ab318276 at 1/500 (1.044 ug/ml) dilution, followed by a ready to use LeicaDS9800 (Bond™ Polymer Refine Detection).

Low expression tissue : Nearly no staining in human pancreas (PMID : 10970790).
The section was incubated with ab318276 for 30 mins at room temperature.
The immunostaining was performed on a Leica Biosystems BOND® RX instrument

Counterstained with Hematoxylin.

Secondary antibody only control : Secondary antibody is a ready to use LeicaDS9800 (Bond™ Polymer Refine Detection).

Heat mediated antigen retrieval was performed with Tris-EDTA buffer (pH 9.0, Epitope Retrieval Solution2) for 20 mins

  • Carrier free

    Anti-ELOVL5 antibody [EPR28824-94] - BSA and Azide free

Key facts

Host species

Rabbit

Clonality

Monoclonal

Clone number

EPR28824-94

Isotype

IgG

Carrier free

No

Reacts with

Human

Applications

IHC-P

applications

Immunogen

The exact immunogen used to generate this antibody is proprietary information.

Reactivity data

{ "title": "Reactivity Data", "filters": { "stats": ["", "Species", "Dilution Info", "Notes"], "tabs": { "all-applications": {"fullname" : "All Applications", "shortname": "All Applications"}, "IHCP" : {"fullname" : "Immunohistochemistry (Formalin/PFA-fixed paraffin-embedded sections)", "shortname":"IHC-P"}, "WB" : {"fullname" : "Western blot", "shortname":"WB"} }, "product-promise": { "all": "all", "testedAndGuaranteed": "tested", "guaranteed": "expected", "predicted": "predicted", "notRecommended": "not-recommended" } }, "values": { "Human": { "IHCP-species-checked": "testedAndGuaranteed", "IHCP-species-dilution-info": "1/500 - 1/1000", "IHCP-species-notes": "<p></p> Perform heat-mediated antigen retrieval with Tris/EDTA buffer pH 9.0 before commencing with IHC staining protocol.", "WB-species-checked": "notRecommended", "WB-species-dilution-info": "", "WB-species-notes": "<p></p>" }, "Mouse": { "IHCP-species-checked": "notRecommended", "IHCP-species-dilution-info": "", "IHCP-species-notes": "<p></p>", "WB-species-checked": "notRecommended", "WB-species-dilution-info": "", "WB-species-notes": "<p></p>" }, "Rat": { "IHCP-species-checked": "notRecommended", "IHCP-species-dilution-info": "", "IHCP-species-notes": "", "WB-species-checked": "notRecommended", "WB-species-dilution-info": "", "WB-species-notes": "<p></p>" }, "Transfected cell line - Human": { "IHCP-species-checked": "testedAndGuaranteed", "IHCP-species-dilution-info": "1/8000", "IHCP-species-notes": "<p></p>", "WB-species-checked": "notRecommended", "WB-species-dilution-info": "", "WB-species-notes": "" } } }

You may be interested in:

AB65341

Free Fatty Acid Assay Kit - Quantification

5

1 Reviews

View product

We recommend this product because it’s often used in the same experiment or related research.

We advise that you always check the datasheet to ensure it fits your experiments, or contact ourtechnical teamfor help.

Product details

Patented technology
Our RabMAb® technology is a patented hybridoma-based technology for making rabbit monoclonal antibodies. For details on our patents, please refer to RabMAb® patents.

What are the advantages of a recombinant monoclonal antibody?
This product is a recombinant monoclonal antibody, which offers several advantages including:

  • - High batch-to-batch consistency and reproducibility
  • - Improved sensitivity and specificity
  • - Long-term security of supply
  • - Animal-free batch production

For more information, read more on recombinant antibodies.

Properties and storage information

Form
Liquid
Purification technique
Affinity purification Protein A
Storage buffer
pH: 7.2 - 7.4 Preservative: 0.01% Sodium azide Constituents: PBS, 40% Glycerol (glycerin, glycerine), 0.05% BSA
Shipped at conditions
Blue Ice
Appropriate short-term storage duration
1-2 weeks
Appropriate short-term storage conditions
+4°C
Appropriate long-term storage conditions
-20°C
Aliquoting information
Upon delivery aliquot
Storage information
Avoid freeze / thaw cycle

Supplementary information

This supplementary information is collated from multiple sources and compiled automatically.

ELOVL5 also known as elongation of very long chain fatty acids protein 5 is an important enzyme involved in the elongation process of fatty acids. It is part of a family that catalyzes the first and rate-limiting step of the elongation cycle adding two carbon units to the acyl chain. ELOVL5 is mainly found in tissues with high lipid metabolism including liver and brain with significant expression also noted in breast tissue. It has a molecular weight of approximately 33.5 kDa.
Biological function summary

ELOVL5 contributes to the metabolism of polyunsaturated fatty acids (PUFAs) which are important components of cell membranes and precursors to signaling molecules. It does not function alone but as part of a multi-enzyme complex that includes desaturases and reductases which enables the efficient synthesis of very long chain fatty acids (VLCFAs). These VLCFAs are critical for maintaining membrane fluidity and for cell signaling processes.

Pathways

ELOVL5 plays a significant role in the biosynthesis pathway of polyunsaturated fatty acids. It works alongside other enzymes such as desaturases to produce long-chain PUFAs from shorter precursor fatty acids. This process is important for the homeostasis of lipid signaling and membrane architecture. ELOVL5 also interacts with ELOVL6 another enzyme within the fatty acid elongation pathway indicating a coordinated interplay in fatty acid metabolism.

Mutations or deficiencies in ELOVL5 can lead to conditions affecting lipid metabolism. One such disorder is spinocerebellar ataxia 38 (SCA38) a neurodegenerative disorder characterized by issues with movement and balance. Research also suggests a link between ELOVL5 and autism spectrum disorders (ASD) though this connection requires further investigation. In these disorders ELOVL5 often interacts with other proteins involved in lipid processing such as fatty acid synthase (FASN) underlying the complex nature of these diseases.

Product protocols

For this product, it's our understanding that no specific protocols are required. You can visit:

Target data

Catalyzes the first and rate-limiting reaction of the four reactions that constitute the long-chain fatty acids elongation cycle. This endoplasmic reticulum-bound enzymatic process allows the addition of 2 carbons to the chain of long- and very long-chain fatty acids (VLCFAs) per cycle. Condensing enzyme that acts specifically toward polyunsaturated acyl-CoA with the higher activity toward C18 : 3(n-6) acyl-CoA. May participate in the production of monounsaturated and of polyunsaturated VLCFAs of different chain lengths that are involved in multiple biological processes as precursors of membrane lipids and lipid mediators (By similarity) (PubMed : 10970790, PubMed : 20937905). In conditions where the essential linoleic and alpha linoleic fatty acids are lacking it is also involved in the synthesis of Mead acid from oleic acid (By similarity).
See full target information ELOVL5

Product promise

We are committed to supporting your work with high-quality reagents, and we're here for you every step of the way. In the unlikely event that one of our products does not perform as expected, you're protected by our Product Promise.
For full details, please see our Terms & Conditions

Please note: All products are 'FOR RESEARCH USE ONLY. NOT FOR USE IN DIAGNOSTIC OR THERAPEUTIC PROCEDURES'.

For licensing inquiries, please contact partnerships@abcam.com