JavaScript is disabled in your browser. Please enable JavaScript to view this website.
AB250721

Anti-EMC4 antibody [EPR15081] - BSA and Azide free

Be the first to review this product! Submit a review

|

(0 Publication)

Rabbit Recombinant Monoclonal EMC4 antibody. Carrier free. Suitable for WB, IHC-P and reacts with Human samples.

View Alternative Names

TMEM85, HSPC184, PIG17, EMC4, ER membrane protein complex subunit 4, Cell proliferation-inducing gene 17 protein, Transmembrane protein 85

3 Images
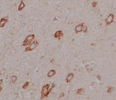
Immunohistochemistry (Formalin/PFA-fixed paraffin-embedded sections) - Anti-EMC4 antibody [EPR15081] - BSA and Azide free (AB250721)
  • IHC-P

Supplier Data

Immunohistochemistry (Formalin/PFA-fixed paraffin-embedded sections) - Anti-EMC4 antibody [EPR15081] - BSA and Azide free (AB250721)

This data was developed using ab184162, the same antibody clone in a different buffer formulation.

Immunohistochemical analysis of paraffin-embedded Human brain tissue labeling EMC4 with ab184162 at 1/50 dilution followed by prediluted HRP Polymer for Rabbit IgG. Counter stained with hematoxylin.

Perform heat mediated antigen retrieval with EDTA buffer pH 9 before commencing with IHC staining protocol.

Western blot - Anti-EMC4 antibody [EPR15081] - BSA and Azide free (AB250721)
  • WB

Supplier Data

Western blot - Anti-EMC4 antibody [EPR15081] - BSA and Azide free (AB250721)

This data was developed using ab184162, the same antibody clone in a different buffer formulation.

All lanes:

Western blot - Anti-EMC4 antibody [EPR15081] (<a href='/en-us/products/primary-antibodies/emc4-antibody-epr15081-ab184162'>ab184162</a>) at 1/20000 dilution

Lane 1:

U87-MG cell lysate at 20 µg

Lane 2:

HepG2 cell lysate at 20 µg

Secondary

All lanes:

Goat anti-rabbit IgG, (H+L), peroxidase conjugate at 1/1000 dilution

Predicted band size: 20 kDa

Observed band size: 17 kDa

false

Western blot - Anti-EMC4 antibody [EPR15081] - BSA and Azide free (AB250721)
  • WB

Supplier Data

Western blot - Anti-EMC4 antibody [EPR15081] - BSA and Azide free (AB250721)

This data was developed using ab184162, the same antibody clone in a different buffer formulation.

All lanes:

Western blot - Anti-EMC4 antibody [EPR15081] (<a href='/en-us/products/primary-antibodies/emc4-antibody-epr15081-ab184162'>ab184162</a>) at 1/5000 dilution

Lane 1:

293 cell lysate at 20 µg

Lane 2:

SH-SY5Y cell lysate at 20 µg

Secondary

All lanes:

Goat anti-rabbit IgG, (H+L), peroxidase conjugate at 1/1000 dilution

Predicted band size: 20 kDa

Observed band size: 17 kDa

false

Key facts

Host species

Rabbit

Clonality

Monoclonal

Clone number

EPR15081

Isotype

IgG

Carrier free

Yes

Reacts with

Human

Applications

WB, IHC-P

applications

Immunogen

The exact immunogen used to generate this antibody is proprietary information.

Reactivity data

{ "title": "Reactivity Data", "filters": { "stats": ["", "Species", "Dilution Info", "Notes"], "tabs": { "all-applications": {"fullname" : "All Applications", "shortname": "All Applications"}, "WB" : {"fullname" : "Western blot", "shortname":"WB"}, "IHCP" : {"fullname" : "Immunohistochemistry (Formalin/PFA-fixed paraffin-embedded sections)", "shortname":"IHC-P"} }, "product-promise": { "all": "all", "testedAndGuaranteed": "tested", "guaranteed": "expected", "predicted": "predicted", "notRecommended": "not-recommended" } }, "values": { "Human": { "WB-species-checked": "testedAndGuaranteed", "WB-species-dilution-info": "", "WB-species-notes": "<p></p>", "IHCP-species-checked": "testedAndGuaranteed", "IHCP-species-dilution-info": "", "IHCP-species-notes": "<p></p>" }, "Mouse": { "WB-species-checked": "predicted", "WB-species-dilution-info": "", "WB-species-notes": "", "IHCP-species-checked": "predicted", "IHCP-species-dilution-info": "", "IHCP-species-notes": "" }, "Rat": { "WB-species-checked": "predicted", "WB-species-dilution-info": "", "WB-species-notes": "", "IHCP-species-checked": "predicted", "IHCP-species-dilution-info": "", "IHCP-species-notes": "" } } }

Product details

ab250721 is the carrier-free version of ab184162.

Patented technology
Our RabMAb® technology is a patented hybridoma-based technology for making rabbit monoclonal antibodies. For details on our patents, please refer to RabMAb® patents.

What are the advantages of a recombinant monoclonal antibody?
This product is a recombinant monoclonal antibody, which offers several advantages including:

  • - High batch-to-batch consistency and reproducibility
  • - Improved sensitivity and specificity
  • - Long-term security of supply
  • - Animal-free batch production

For more information, read more on recombinant antibodies.

Conjugation ready
Our carrier-free antibodies are typically supplied in a PBS-only formulation, purified and free of BSA, sodium azide and glycerol. This conjugation-ready format is designed for use with fluorochromes, metal isotopes, oligonucleotides, and enzymes, which makes them ideal for antibody labelling, functional and cell-based assays, flow-based assays (e.g. mass cytometry) and Multiplex Imaging applications.

Use our conjugation kits for antibody conjugates that are ready-to-use in as little as 20 minutes with 1 minute hands-on-time and 100% antibody recovery: available for fluorescent dyes, HRP, biotin and gold.

Compatibility
This product is compatible with the Maxpar® Antibody Labeling Kit from Fluidigm, without the need for antibody preparation. Maxpar® is a trademark of Fluidigm Canada Inc.

Properties and storage information

Form
Liquid
Purification technique
Affinity purification Protein A
Storage buffer
pH: 7.2 - 7.4 Constituents: PBS
Shipped at conditions
Blue Ice
Appropriate short-term storage conditions
+4°C
Appropriate long-term storage conditions
+4°C
Storage information
Do Not Freeze

Supplementary information

This supplementary information is collated from multiple sources and compiled automatically.

EMC4 also known as Endoplasmic Reticulum Membrane Protein Complex Subunit 4 is a protein involved in the insertion of membrane proteins into the endoplasmic reticulum (ER). It has a molecular mass of approximately 29 kDa and is expressed widespread in various tissues. EMC4 is part of the EMC complex a multi-subunit complex in the ER contributing to the processes of protein folding and assembly in the cell's secretory pathway.
Biological function summary

The EMC4 protein functions as a chaperone assisting in the proper folding and integration of polytopic proteins. It is a part of the EMC complex that works as a stabilizing agent for nascent polypeptides preventing misfolding and facilitating protein maturation. This complex plays a role in maintaining cellular homeostasis and challenges the ER stress response ensuring that proteins reach their functional conformation.

Pathways

EMC4 has a critical role in the protein secretory pathway and ER-associated degradation (ERAD) pathway. The EMC complex interacts with signal recognition particles and the translocon complex supporting the translocation and integration of proteins into the ER membrane. This involvement is key to processing newly synthesized proteins correctly collaborating with proteins like Sec61 which form part of the translocon complex.

Anomalies in EMC4 expression or function have connections to neurodegenerative diseases and congenital disorders of glycosylation. Altered EMC4 function can disrupt ER homeostasis contributing to neurodegenerative conditions like Alzheimer's disease where it relates to proteins such as amyloid precursor protein (APP). Furthermore EMC4 mutations may lead to glycosylation defects impacting the proper functioning of proteins involved in cellular communication and structure.

Product protocols

For this product, it's our understanding that no specific protocols are required. You can visit:

Target data

Part of the endoplasmic reticulum membrane protein complex (EMC) that enables the energy-independent insertion into endoplasmic reticulum membranes of newly synthesized membrane proteins (PubMed : 29242231, PubMed : 29809151, PubMed : 30415835, PubMed : 32439656, PubMed : 32459176). Preferentially accommodates proteins with transmembrane domains that are weakly hydrophobic or contain destabilizing features such as charged and aromatic residues (PubMed : 29242231, PubMed : 29809151, PubMed : 30415835). Involved in the cotranslational insertion of multi-pass membrane proteins in which stop-transfer membrane-anchor sequences become ER membrane spanning helices (PubMed : 29809151, PubMed : 30415835). It is also required for the post-translational insertion of tail-anchored/TA proteins in endoplasmic reticulum membranes (PubMed : 29242231, PubMed : 29809151). By mediating the proper cotranslational insertion of N-terminal transmembrane domains in an N-exo topology, with translocated N-terminus in the lumen of the ER, controls the topology of multi-pass membrane proteins like the G protein-coupled receptors (PubMed : 30415835). By regulating the insertion of various proteins in membranes, it is indirectly involved in many cellular processes (Probable).
See full target information EMC4

Product promise

We are committed to supporting your work with high-quality reagents, and we're here for you every step of the way. In the unlikely event that one of our products does not perform as expected, you're protected by our Product Promise.
For full details, please see our Terms & Conditions

Please note: All products are 'FOR RESEARCH USE ONLY. NOT FOR USE IN DIAGNOSTIC OR THERAPEUTIC PROCEDURES'.

For licensing inquiries, please contact partnerships@abcam.com