JavaScript is disabled in your browser. Please enable JavaScript to view this website.
AB156871

Anti-Emerin antibody [EPR11071]

Be the first to review this product! Submit a review

|

(7 Publications)

Rabbit Recombinant Monoclonal Emerin antibody. Suitable for IHC-P, WB, ICC/IF, Flow Cyt (Intra) and reacts with Human samples. Cited in 7 publications.

View Alternative Names

EDMD, STA, EMD, Emerin

8 Images
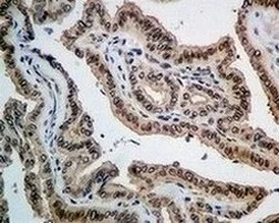
Immunohistochemistry (Formalin/PFA-fixed paraffin-embedded sections) - Anti-Emerin antibody [EPR11071] (AB156871)
  • IHC-P

Unknown

Immunohistochemistry (Formalin/PFA-fixed paraffin-embedded sections) - Anti-Emerin antibody [EPR11071] (AB156871)

Immunohistochemical analysis of paraffin-embedded Human breast tissue labeling Emerin with unpurified ab156871 at 1/50 dilution.

Perform heat mediated antigen retrieval before commencing with IHC staining protocol.

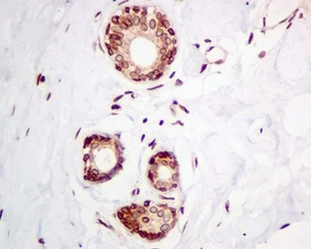
Immunohistochemistry (Formalin/PFA-fixed paraffin-embedded sections) - Anti-Emerin antibody [EPR11071] (AB156871)
  • IHC-P

Unknown

Immunohistochemistry (Formalin/PFA-fixed paraffin-embedded sections) - Anti-Emerin antibody [EPR11071] (AB156871)

Immunohistochemistry (Formalin/PFA-fixed paraffin-embedded sections) analysis of human skeletal muscle tissue sections labeling Emerin with purified ab156871 at 1/500 dilution (0.652 µg/mL). Heat mediated antigen retrieval was performed using ab93684 (Tris/EDTA buffer, pH 9.0). ImmunoHistoProbe one step HRP Polymer (ready to use) was used as the secondary antibody. Negative control : PBS instead of the primary antibody. Hematoxylin was used as a counterstain.

Immunohistochemistry (Formalin/PFA-fixed paraffin-embedded sections) - Anti-Emerin antibody [EPR11071] (AB156871)
  • IHC-P

Unknown

Immunohistochemistry (Formalin/PFA-fixed paraffin-embedded sections) - Anti-Emerin antibody [EPR11071] (AB156871)

Immunohistochemical analysis of paraffin-embedded Human thyroid gland carcinoma tissue labeling Emerin with unpurified ab156871 at 1/50 dilution.

Perform heat mediated antigen retrieval before commencing with IHC staining protocol.

Flow Cytometry (Intracellular) - Anti-Emerin antibody [EPR11071] (AB156871)
  • Flow Cyt (Intra)

Unknown

Flow Cytometry (Intracellular) - Anti-Emerin antibody [EPR11071] (AB156871)

Intracellular Flow Cytometry analysis of HeLa (Human cervix adenocarcinoma epithelial cell) cells, labeling Emerin with Purified ab156871 at 1/30 dilution (10μg/ml) (Red). Cells were fixed with 4% Paraformaldehyde and permeabilised with 90% Methanol. A Goat anti rabbit IgG (Alexa Fluor® 488, ab150077) secondary antibody was used at 1/2000. Isotype control - Rabbit monoclonal IgG (Black). Unlabeled control - Cell without incubation with primary antibody and secondary antibody (Blue).

Immunocytochemistry/ Immunofluorescence - Anti-Emerin antibody [EPR11071] (AB156871)
  • ICC/IF

Unknown

Immunocytochemistry/ Immunofluorescence - Anti-Emerin antibody [EPR11071] (AB156871)

Immunocytochemistry/Immunofluorescence analysis of HeLa (Human cervix adenocarcinoma epithelial cell) cells labeling Emerin with Purified ab156871 at 1 : 50 dilution (6.5 μg/ml). Cells were fixed in 4% Paraformaldehyde and permeabilized with 0.1% tritonX-100. Cells were counterstained with ab195889 Anti-alpha Tubulin antibody [DM1A] - Microtubule Marker (Alexa Fluor® 594) 1 : 200 (2.5 μg/ml). Goat anti rabbit IgG (Alexa Fluor® 488, ab150077) was used as the secondary antibody at 1 : 1000 (2 μg/ml) dilution. DAPI (blue) was used as nuclear counterstain. PBS instead of the primary antibody was used as the secondary antibody only control.

Western blot - Anti-Emerin antibody [EPR11071] (AB156871)
  • WB

Lab

Western blot - Anti-Emerin antibody [EPR11071] (AB156871)

Lanes 1 - 3 : Merged signal (red and green). Green - ab156871 observed at 32 kDa. Red - loading control, ab9484, observed at 37 kDa.

ab156871 was shown to specifically react with Emerin in wild-type HAP1 cells as signal was lost in EMD (Emerin) knockout cells. Wild-type and EMD (Emerin) knockout samples were subjected to SDS-PAGE. ab156871 and ab9484 (Mouse anti-GAPDH loading control) were incubated overnight at 4°C at 1/1000 dilution and 1/20000 dilution respectively. Blots were developed with Goat anti-Rabbit IgG H&L (IRDye® 800CW) preabsorbed ab216773 and Goat anti-Mouse IgG H&L (IRDye® 680RD) preabsorbed ab216776 secondary antibodies at 1/20000 dilution for 1 hour at room temperature before imaging.

All lanes:

Western blot - Anti-Emerin antibody [EPR11071] (ab156871) at 1/1000 dilution

Lane 1:

Wild-type HAP1 whole cell lysate at 20 µg

Lane 2:

EMD (Emerin) knockout HAP1 whole cell lysate at 20 µg

Lane 3:

HeLa whole cell lysate at 20 µg

Predicted band size: 29 kDa

false

Western blot - Anti-Emerin antibody [EPR11071] (AB156871)
  • WB

Lab

Western blot - Anti-Emerin antibody [EPR11071] (AB156871)

Lanes 1-2 : Merged signal (red and green). Green - ab156871 observed at 35 kDa. Red - loading control ab8245 observed at 37 kDa.

ab156871 Anti-Emerin antibody [EPR11071] was shown to specifically react with Emerin in wild-type HEK-293T cells. Loss of signal was observed when knockout cell line ab266336 (knockout cell lysate ab257423) was used. Wild-type and Emerin knockout samples were subjected to SDS-PAGE. ab156871 and Anti-GAPDH antibody [6C5] - Loading Control (ab8245) were incubated overnight at 4°C at 1 in 1000 and 1 in 20000 dilution respectively. Blots were developed with Goat anti-Rabbit IgG H&L (IRDye® 800CW) preadsorbed (ab216773) and Goat anti-Mouse IgG H&L (IRDye® 680RD) preadsorbed (ab216776) secondary antibodies at 1 in 20000 dilution for 1 hour at room temperature before imaging.

All lanes:

Western blot - Anti-Emerin antibody [EPR11071] (ab156871) at 1/1000 dilution

Lane 1:

Wild-type HEK-293T cell lysate at 20 µg

Lane 2:

EMD knockout HEK-293T cell lysate at 20 µg

Lane 2:

Western blot - Human EMD (Emerin) knockout HEK-293T cell line (<a href='/en-us/products/cell-lines/human-emd-emerin-knockout-hek-293t-cell-line-ab266336'>ab266336</a>)

Predicted band size: 29 kDa,51 kDa,72 kDa

Observed band size: 35 kDa,51 kDa

false

Western blot - Anti-Emerin antibody [EPR11071] (AB156871)
  • WB

Unknown

Western blot - Anti-Emerin antibody [EPR11071] (AB156871)

Blocking/Diluting buffer : 5% NFDM/TBST

All lanes:

Western blot - Anti-Emerin antibody [EPR11071] (ab156871) at 1/10000 dilution

Lane 1:

HeLa (Human cervix adenocarcinoma epithelial cell) whole cell lysate at 20 µg

Lane 2:

HEK-293 (Human embryonic kidney epithelial cell) whole cell lysate at 20 µg

Secondary

All lanes:

Western blot - Goat Anti-Rabbit IgG H&L (HRP) (<a href='/en-us/products/secondary-antibodies/goat-rabbit-igg-h-l-hrp-ab97051'>ab97051</a>) at 1/20000 dilution

Predicted band size: 29 kDa

Observed band size: 35 kDa

false

  • Carrier free

    Anti-Emerin antibody [EPR11071] - BSA and Azide free

  • 578 PE

    PE Anti-Emerin antibody [EPR11071]

  • 660 APC

    APC Anti-Emerin antibody [EPR11071]

  • 519 Alexa Fluor® 488

    Alexa Fluor® 488 Anti-Emerin antibody [EPR11071]

  • 617 Alexa Fluor® 594

    Alexa Fluor® 594 Anti-Emerin antibody [EPR11071]

  • 603 Alexa Fluor® 568

    Alexa Fluor® 568 Anti-Emerin antibody [EPR11071]

  • HRP

    HRP Anti-Emerin antibody [EPR11071]

  • 665 Alexa Fluor® 647

    Alexa Fluor® 647 Anti-Emerin antibody [EPR11071]

  • 565 Alexa Fluor® 555

    Alexa Fluor® 555 Anti-Emerin antibody [EPR11071]

  • 775 Alexa Fluor® 750

    Alexa Fluor® 750 Anti-Emerin antibody [EPR11071]

Key facts

Host species

Rabbit

Clonality

Monoclonal

Clone number

EPR11071

Isotype

IgG

Carrier free

No

Reacts with

Human

Applications

IHC-P, ICC/IF, Flow Cyt (Intra), WB

applications

Immunogen

The exact immunogen used to generate this antibody is proprietary information.

Reactivity data

{ "title": "Reactivity Data", "filters": { "stats": ["", "Species", "Dilution Info", "Notes"], "tabs": { "all-applications": {"fullname" : "All Applications", "shortname": "All Applications"}, "IHCP" : {"fullname" : "Immunohistochemistry (Formalin/PFA-fixed paraffin-embedded sections)", "shortname":"IHC-P"}, "WB" : {"fullname" : "Western blot", "shortname":"WB"}, "ICCIF" : {"fullname" : "Immunocytochemistry/ Immunofluorescence", "shortname":"ICC/IF"}, "FlowCytIntra" : {"fullname" : "Flow Cytometry (Intracellular)", "shortname":"Flow Cyt (Intra)"} }, "product-promise": { "all": "all", "testedAndGuaranteed": "tested", "guaranteed": "expected", "predicted": "predicted", "notRecommended": "not-recommended" } }, "values": { "Human": { "IHCP-species-checked": "testedAndGuaranteed", "IHCP-species-dilution-info": "1/500", "IHCP-species-notes": "<p><strong>For unpurified use at 1/50 - 1/100</strong></p> Perform heat-mediated antigen retrieval before commencing with IHC staining protocol.", "WB-species-checked": "testedAndGuaranteed", "WB-species-dilution-info": "1/1000", "WB-species-notes": "<p><strong>For unpurified use at 1/1000 - 1/10000</strong></p>", "ICCIF-species-checked": "testedAndGuaranteed", "ICCIF-species-dilution-info": "1/50", "ICCIF-species-notes": "<p><strong>For unpurified use at 1/100 - 1/250</strong></p>", "FlowCytIntra-species-checked": "testedAndGuaranteed", "FlowCytIntra-species-dilution-info": "1/30", "FlowCytIntra-species-notes": "<p></p>" } } }

Product details

Species reactivity
Mouse, Rat: We have preliminary internal testing data to indicate this antibody may not react with these species.
Please contact us for more information.

Patented technology
Our RabMAb® technology is a patented hybridoma-based technology for making rabbit monoclonal antibodies. For details on our patents, please refer to RabMAb® patents.

What are the advantages of a recombinant monoclonal antibody?
This product is a recombinant monoclonal antibody, which offers several advantages including:

  • - High batch-to-batch consistency and reproducibility
  • - Improved sensitivity and specificity
  • - Long-term security of supply
  • - Animal-free batch production

For more information, read more on recombinant antibodies.

Properties and storage information

Form
Liquid
Purification technique
Affinity purification Protein A
Storage buffer
Preservative: 0.01% Sodium azide Constituents: PBS, 40% Glycerol (glycerin, glycerine), 0.05% BSA
Shipped at conditions
Blue Ice
Appropriate short-term storage duration
1-2 weeks
Appropriate short-term storage conditions
+4°C
Appropriate long-term storage conditions
-20°C
Aliquoting information
Upon delivery aliquot
Storage information
Avoid freeze / thaw cycle

Supplementary information

This supplementary information is collated from multiple sources and compiled automatically.

Emerin also referred to as the emerin protein is a nuclear envelope protein with a mass of approximately 34 kDa. It belongs to a family of LEM domain proteins that localize at the inner nuclear membrane. Emerin predominantly expresses in cardiac and skeletal muscles but also appears in other tissues. Its primary mechanical role involves binding to the nuclear lamina structures and interacting with various nuclear proteins to maintain nuclear integrity and architecture.
Biological function summary

Emerin serves as an important component in mechanical signal transduction pathways. It interacts with barrier-to-autointegration factor (BAF) forming an important part of the nuclear envelope complex. This protein complex helps in chromatin organization and regulation of gene expression. Emerin influences nuclear assembly and shape and modulates chromatin attachment to the nuclear envelope playing an important role in nuclear processes.

Pathways

Emerin participates actively in the Emery-Dreifuss muscular dystrophy pathway and affects the interplay of other nuclear lamina components like lamin A/C. It stabilizes chromatin structure and cooperates with proteins such as nesprins and SUN proteins to regulate nuclear-cytoskeletal interactions. Emerin's involvement in these pathways highlights its role in maintaining mechanical resilience and functionality of the nuclear envelope impacting gene expression dynamics.

Emerin mutations relate to Emery-Dreifuss muscular dystrophy (EDMD) and other musculoskeletal disorders. Alteration in emerin disrupts its interaction with lamin A/C and BAF leading to nuclear envelope defects. This dysfunction manifests in muscle weakness and cardiac anomalies typical of EDMD. Understanding emerin's role offers insights into pathogenesis and potential therapeutic targets for these conditions.

Product protocols

For this product, it's our understanding that no specific protocols are required. You can visit:

Target data

Stabilizes and promotes the formation of a nuclear actin cortical network. Stimulates actin polymerization in vitro by binding and stabilizing the pointed end of growing filaments. Inhibits beta-catenin activity by preventing its accumulation in the nucleus. Acts by influencing the nuclear accumulation of beta-catenin through a CRM1-dependent export pathway. Links centrosomes to the nuclear envelope via a microtubule association. Required for proper localization of non-farnesylated prelamin-A/C. Together with NEMP1, contributes to nuclear envelope stiffness in germ cells (PubMed : 32923640). EMD and BAF are cooperative cofactors of HIV-1 infection. Association of EMD with the viral DNA requires the presence of BAF and viral integrase. The association of viral DNA with chromatin requires the presence of BAF and EMD.
See full target information EMD

Publications (7)

Recent publications for all applications. Explore the full list and refine your search

Scientific reports 14:28783 PubMed39567611

2024

Optimized simple culture protocol for inducing mature myotubes from MYOD1-overexpressed human iPS cells.

Applications

Unspecified application

Species

Unspecified reactive species

Eiji Wada,Nao Susumu,Yuya Okuzaki,Akitsu Hotta,Hidetoshi Sakurai,Yukiko K Hayashi

Journal of cellular and molecular medicine 26:5078-5094 PubMed36071546

2022

ISGylation of EMD promotes its interaction with PDHA to inhibit aerobic oxidation in lung adenocarcinoma.

Applications

Unspecified application

Species

Unspecified reactive species

Congcong Zhang,Jiangtao Cui,Leiqun Cao,Xiaoting Tian,Yayou Miao,Yikun Wang,Shiyu Qiu,Wanxin Guo,Lifang Ma,Jinjing Xia,Xiao Zhang

Developmental cell 56:3019-3034.e7 PubMed34655525

2021

Cardiac proteomics reveals sex chromosome-dependent differences between males and females that arise prior to gonad formation.

Applications

Unspecified application

Species

Unspecified reactive species

Wei Shi,Xinlei Sheng,Kerry M Dorr,Josiah E Hutton,James I Emerson,Haley A Davies,Tia D Andrade,Lauren K Wasson,Todd M Greco,Yutaka Hashimoto,Joel D Federspiel,Zachary L Robbe,Xuqi Chen,Arthur P Arnold,Ileana M Cristea,Frank L Conlon

Molecular and cellular biology 40: PubMed31767635

2020

HBO1 (KAT7) Does Not Have an Essential Role in Cell Proliferation, DNA Replication, or Histone 4 Acetylation in Human Cells.

Applications

Unspecified application

Species

Unspecified reactive species

Andrew J Kueh,Samantha Eccles,Leonie Tang,Alexandra L Garnham,Rose E May,Marco J Herold,Gordon K Smyth,Anne K Voss,Tim Thomas

PloS one 14:e0221512 PubMed31430335

2019

Deficiency of emerin contributes differently to the pathogenesis of skeletal and cardiac muscles in LmnaH222P/H222P mutant mice.

Applications

Unspecified application

Species

Unspecified reactive species

Eiji Wada,Megumi Kato,Kaori Yamashita,Hiroko Kokuba,Wen-Chen Liang,Gisèle Bonne,Yukiko K Hayashi

Cell 176:198-212.e15 PubMed30503211

2018

LAP2 Proteins Chaperone GLI1 Movement between the Lamina and Chromatin to Regulate Transcription.

Applications

Unspecified application

Species

Unspecified reactive species

Amar N Mirza,Siegen A McKellar,Nicole M Urman,Alexander S Brown,Tyler Hollmig,Sumaira Z Aasi,Anthony E Oro

Human mutation 40:310-325 PubMed30488537

2018

Lamin A mutation impairs interaction with nucleoporin NUP155 and disrupts nucleocytoplasmic transport in atrial fibrillation.

Applications

Unspecified application

Species

Unspecified reactive species

Meng Han,Miao Zhao,Chen Cheng,Yuan Huang,Shengna Han,Wenjuan Li,Xin Tu,Xuan Luo,Xiaoling Yu,Yinan Liu,Qiuyun Chen,Xiang Ren,Qing Kenneth Wang,Tie Ke
View all publications

Product promise

We are committed to supporting your work with high-quality reagents, and we're here for you every step of the way. In the unlikely event that one of our products does not perform as expected, you're protected by our Product Promise.
For full details, please see our Terms & Conditions

Please note: All products are 'FOR RESEARCH USE ONLY. NOT FOR USE IN DIAGNOSTIC OR THERAPEUTIC PROCEDURES'.

For licensing inquiries, please contact partnerships@abcam.com