JavaScript is disabled in your browser. Please enable JavaScript to view this website.
AB240138

Anti-Emerin antibody [EPR11071] - BSA and Azide free

Be the first to review this product! Submit a review

|

(0 Publication)

Rabbit Recombinant Monoclonal Emerin antibody. Carrier free. Suitable for IHC-P, WB, ICC/IF, Flow Cyt (Intra) and reacts with Human samples.

View Alternative Names

EDMD, STA, EMD, Emerin

7 Images
Flow Cytometry (Intracellular) - Anti-Emerin antibody [EPR11071] - BSA and Azide free (AB240138)
  • Flow Cyt (Intra)

Unknown

Flow Cytometry (Intracellular) - Anti-Emerin antibody [EPR11071] - BSA and Azide free (AB240138)

Intracellular Flow Cytometry analysis of HeLa (Human cervix adenocarcinoma epithelial cell) cells labeling Emerin with Purified ab156871 at 1/30 dilution (10μg/ml) (Red). Cells were fixed with 4% Paraformaldehyde and permeabilised with 90% Methanol. A Goat anti rabbit IgG (Alexa Fluor® 488, ab150077) secondary antibody was used at 1/2000. Isotype control - Rabbit monoclonal IgG (Black). Unlabeled control - Cell without incubation with primary antibody and secondary antibody (Blue).

This data was developed using the same antibody clone in a different buffer formulation containing PBS, BSA, glycerol, and sodium azide (ab156871).

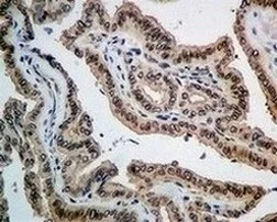
Immunohistochemistry (Formalin/PFA-fixed paraffin-embedded sections) - Anti-Emerin antibody [EPR11071] - BSA and Azide free (AB240138)
  • IHC-P

Unknown

Immunohistochemistry (Formalin/PFA-fixed paraffin-embedded sections) - Anti-Emerin antibody [EPR11071] - BSA and Azide free (AB240138)

Immunohistochemical analysis of paraffin-embedded Human breast tissue labeling Emerin with unpurified ab156871 at 1/50 dilution.

This data was developed using the same antibody clone in a different buffer formulation containing PBS, BSA, glycerol, and sodium azide (ab156871).

Heat mediated antigen retrieval was performed before commencing with IHC staining protocol.

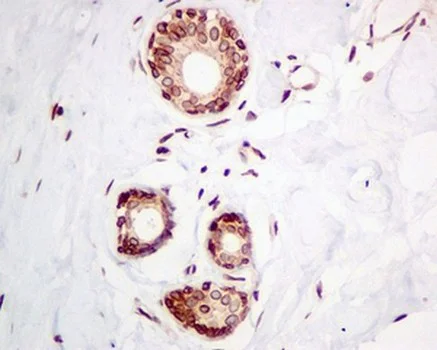
Immunohistochemistry (Formalin/PFA-fixed paraffin-embedded sections) - Anti-Emerin antibody [EPR11071] - BSA and Azide free (AB240138)
  • IHC-P

Unknown

Immunohistochemistry (Formalin/PFA-fixed paraffin-embedded sections) - Anti-Emerin antibody [EPR11071] - BSA and Azide free (AB240138)

Immunohistochemical analysis of paraffin-embedded Human thyroid gland carcinoma tissue labeling Emerin with unpurified ab156871 at 1/50 dilution.

This data was developed using the same antibody clone in a different buffer formulation containing PBS, BSA, glycerol, and sodium azide (ab156871).

Heat mediated antigen retrieval was performed before commencing with IHC staining protocol.

Immunocytochemistry/ Immunofluorescence - Anti-Emerin antibody [EPR11071] - BSA and Azide free (AB240138)
  • ICC/IF

Unknown

Immunocytochemistry/ Immunofluorescence - Anti-Emerin antibody [EPR11071] - BSA and Azide free (AB240138)

Immunocytochemistry/ Immunofluorescence analysis of HeLa (Human cervix adenocarcinoma epithelial cell) cells labeling Emerin with Purified ab156871 at 1 : 50 dilution (6.5 μg/ml). Cells were fixed in 4% Paraformaldehyde and permeabilized with 0.1% tritonX-100. Cells were counterstained with ab195889 Anti-alpha Tubulin antibody [DM1A] - Microtubule Marker (Alexa Fluor® 594) 1 : 200 (2.5 μg/ml). Goat anti rabbit IgG (Alexa Fluor® 488, ab150077) was used as the secondary antibody at 1 : 1000 (2 μg/ml) dilution. DAPI (blue) was used as nuclear counterstain. PBS instead of the primary antibody was used as the secondary antibody only control.

This data was developed using the same antibody clone in a different buffer formulation containing PBS, BSA, glycerol, and sodium azide (ab156871).

Immunohistochemistry (Formalin/PFA-fixed paraffin-embedded sections) - Anti-Emerin antibody [EPR11071] - BSA and Azide free (AB240138)
  • IHC-P

Unknown

Immunohistochemistry (Formalin/PFA-fixed paraffin-embedded sections) - Anti-Emerin antibody [EPR11071] - BSA and Azide free (AB240138)

Immunohistochemistry (Formalin/PFA-fixed paraffin-embedded sections) analysis of human skeletal muscle tissue sections labeling Emerin with purified ab156871 at 1/500 dilution (0.652 μg/mL). Heat mediated antigen retrieval was performed using ab93684 (Tris/EDTA buffer, pH 9.0). ImmunoHistoProbe one step HRP Polymer (ready to use) was used as the secondary antibody. Negative control : PBS instead of the primary antibody. Hematoxylin was used as a counterstain.

This data was developed using the same antibody clone in a different buffer formulation containing PBS, BSA, glycerol, and sodium azide (ab156871).

Western blot - Anti-Emerin antibody [EPR11071] - BSA and Azide free (AB240138)
  • WB

Unknown

Western blot - Anti-Emerin antibody [EPR11071] - BSA and Azide free (AB240138)

Blocking/Diluting buffer : 5% NFDM/TBST

This data was developed using the same antibody clone in a different buffer formulation containing PBS, BSA, glycerol, and sodium azide (ab156871).

All lanes:

Western blot - Anti-Emerin antibody [EPR11071] (<a href='/en-us/products/primary-antibodies/emerin-antibody-epr11071-ab156871'>ab156871</a>) at 1/10000 dilution

Lane 1:

HeLa (Human cervix adenocarcinoma epithelial cell) whole cell lysate at 20 µg

Lane 2:

HEK-293 (Human embryonic kidney epithelial cell) whole cell lysate at 20 µg

Secondary

All lanes:

Western blot - Goat Anti-Rabbit IgG H&L (HRP) (<a href='/en-us/products/secondary-antibodies/goat-rabbit-igg-h-l-hrp-ab97051'>ab97051</a>) at 1/20000 dilution

Predicted band size: 29 kDa

Observed band size: 35 kDa

false

Western blot - Anti-Emerin antibody [EPR11071] - BSA and Azide free (AB240138)
  • WB

Lab

Western blot - Anti-Emerin antibody [EPR11071] - BSA and Azide free (AB240138)

This data was developed using the same antibody clone in a different buffer formulation (ab156871).

Lanes 1-2 : Merged signal (red and green). Green - ab156871 observed at 35 kDa. Red - loading control ab8245 observed at 37 kDa.

ab156871 Anti-Emerin antibody [EPR11071] was shown to specifically react with Emerin in wild-type HEK-293T cells. Loss of signal was observed when knockout cell line ab266336 (knockout cell lysate ab257423) was used. Wild-type and Emerin knockout samples were subjected to SDS-PAGE. ab156871 and Anti-GAPDH antibody [6C5] - Loading Control (ab8245) were incubated overnight at 4°C at 1 in 1000 and 1 in 20000 dilution respectively. Blots were developed with Goat anti-Rabbit IgG H&L (IRDye® 800CW) preadsorbed (ab216773) and Goat anti-Mouse IgG H&L (IRDye® 680RD) preadsorbed (ab216776) secondary antibodies at 1 in 20000 dilution for 1 hour at room temperature before imaging.

All lanes:

Western blot - Anti-Emerin antibody [EPR11071] (<a href='/en-us/products/primary-antibodies/emerin-antibody-epr11071-ab156871'>ab156871</a>) at 1/1000 dilution

Lane 1:

Wild-type HEK-293T cell lysate at 20 µg

Lane 2:

EMD knockout HEK-293T cell lysate at 20 µg

Lane 2:

Western blot - Human EMD (Emerin) knockout HEK-293T cell line (<a href='/en-us/products/cell-lines/human-emd-emerin-knockout-hek-293t-cell-line-ab266336'>ab266336</a>)

Predicted band size: 29 kDa,51 kDa,72 kDa

Observed band size: 35 kDa,51 kDa

false

Key facts

Host species

Rabbit

Clonality

Monoclonal

Clone number

EPR11071

Isotype

IgG

Carrier free

Yes

Reacts with

Human

Applications

WB, Flow Cyt (Intra), ICC/IF, IHC-P

applications

Immunogen

The exact immunogen used to generate this antibody is proprietary information.

Reactivity data

{ "title": "Reactivity Data", "filters": { "stats": ["", "Species", "Dilution Info", "Notes"], "tabs": { "all-applications": {"fullname" : "All Applications", "shortname": "All Applications"}, "IHCP" : {"fullname" : "Immunohistochemistry (Formalin/PFA-fixed paraffin-embedded sections)", "shortname":"IHC-P"}, "WB" : {"fullname" : "Western blot", "shortname":"WB"}, "ICCIF" : {"fullname" : "Immunocytochemistry/ Immunofluorescence", "shortname":"ICC/IF"}, "FlowCytIntra" : {"fullname" : "Flow Cytometry (Intracellular)", "shortname":"Flow Cyt (Intra)"} }, "product-promise": { "all": "all", "testedAndGuaranteed": "tested", "guaranteed": "expected", "predicted": "predicted", "notRecommended": "not-recommended" } }, "values": { "Human": { "IHCP-species-checked": "testedAndGuaranteed", "IHCP-species-dilution-info": "", "IHCP-species-notes": "<p></p> Perform heat-mediated antigen retrieval before commencing with IHC staining protocol.", "WB-species-checked": "testedAndGuaranteed", "WB-species-dilution-info": "", "WB-species-notes": "<p></p>", "ICCIF-species-checked": "testedAndGuaranteed", "ICCIF-species-dilution-info": "", "ICCIF-species-notes": "<p></p>", "FlowCytIntra-species-checked": "testedAndGuaranteed", "FlowCytIntra-species-dilution-info": "", "FlowCytIntra-species-notes": "<p></p>" } } }

Product details

ab240138 is the carrier-free version of ab156871.

Species reactivity
Mouse, Rat: We have preliminary internal testing data to indicate this antibody may not react with these species.
Please contact us for more information.

Patented technology
Our RabMAb® technology is a patented hybridoma-based technology for making rabbit monoclonal antibodies. For details on our patents, please refer to RabMAb® patents.

What are the advantages of a recombinant monoclonal antibody?
This product is a recombinant monoclonal antibody, which offers several advantages including:

  • - High batch-to-batch consistency and reproducibility
  • - Improved sensitivity and specificity
  • - Long-term security of supply
  • - Animal-free batch production

For more information, read more on recombinant antibodies.

Conjugation ready
Our carrier-free antibodies are typically supplied in a PBS-only formulation, purified and free of BSA, sodium azide and glycerol. This conjugation-ready format is designed for use with fluorochromes, metal isotopes, oligonucleotides, and enzymes, which makes them ideal for antibody labelling, functional and cell-based assays, flow-based assays (e.g. mass cytometry) and Multiplex Imaging applications.

Use our conjugation kits for antibody conjugates that are ready-to-use in as little as 20 minutes with 1 minute hands-on-time and 100% antibody recovery: available for fluorescent dyes, HRP, biotin and gold.

Compatibility
This product is compatible with the Maxpar® Antibody Labeling Kit from Fluidigm, without the need for antibody preparation. Maxpar® is a trademark of Fluidigm Canada Inc.

Properties and storage information

Form
Liquid
Purification technique
Affinity purification Protein A
Storage buffer
pH: 7.2 - 7.4 Constituents: PBS
Shipped at conditions
Blue Ice
Appropriate short-term storage conditions
+4°C
Appropriate long-term storage conditions
+4°C
Storage information
Do Not Freeze

Supplementary information

This supplementary information is collated from multiple sources and compiled automatically.

Emerin also referred to as the emerin protein is a nuclear envelope protein with a mass of approximately 34 kDa. It belongs to a family of LEM domain proteins that localize at the inner nuclear membrane. Emerin predominantly expresses in cardiac and skeletal muscles but also appears in other tissues. Its primary mechanical role involves binding to the nuclear lamina structures and interacting with various nuclear proteins to maintain nuclear integrity and architecture.
Biological function summary

Emerin serves as an important component in mechanical signal transduction pathways. It interacts with barrier-to-autointegration factor (BAF) forming an important part of the nuclear envelope complex. This protein complex helps in chromatin organization and regulation of gene expression. Emerin influences nuclear assembly and shape and modulates chromatin attachment to the nuclear envelope playing an important role in nuclear processes.

Pathways

Emerin participates actively in the Emery-Dreifuss muscular dystrophy pathway and affects the interplay of other nuclear lamina components like lamin A/C. It stabilizes chromatin structure and cooperates with proteins such as nesprins and SUN proteins to regulate nuclear-cytoskeletal interactions. Emerin's involvement in these pathways highlights its role in maintaining mechanical resilience and functionality of the nuclear envelope impacting gene expression dynamics.

Emerin mutations relate to Emery-Dreifuss muscular dystrophy (EDMD) and other musculoskeletal disorders. Alteration in emerin disrupts its interaction with lamin A/C and BAF leading to nuclear envelope defects. This dysfunction manifests in muscle weakness and cardiac anomalies typical of EDMD. Understanding emerin's role offers insights into pathogenesis and potential therapeutic targets for these conditions.

Product protocols

For this product, it's our understanding that no specific protocols are required. You can visit:

Target data

Stabilizes and promotes the formation of a nuclear actin cortical network. Stimulates actin polymerization in vitro by binding and stabilizing the pointed end of growing filaments. Inhibits beta-catenin activity by preventing its accumulation in the nucleus. Acts by influencing the nuclear accumulation of beta-catenin through a CRM1-dependent export pathway. Links centrosomes to the nuclear envelope via a microtubule association. Required for proper localization of non-farnesylated prelamin-A/C. Together with NEMP1, contributes to nuclear envelope stiffness in germ cells (PubMed : 32923640). EMD and BAF are cooperative cofactors of HIV-1 infection. Association of EMD with the viral DNA requires the presence of BAF and viral integrase. The association of viral DNA with chromatin requires the presence of BAF and EMD.
See full target information EMD

Product promise

We are committed to supporting your work with high-quality reagents, and we're here for you every step of the way. In the unlikely event that one of our products does not perform as expected, you're protected by our Product Promise.
For full details, please see our Terms & Conditions

Please note: All products are 'FOR RESEARCH USE ONLY. NOT FOR USE IN DIAGNOSTIC OR THERAPEUTIC PROCEDURES'.

For licensing inquiries, please contact partnerships@abcam.com