JavaScript is disabled in your browser. Please enable JavaScript to view this website.
AB86062

Anti-EML4 antibody

Be the first to review this product! Submit a review

|

(2 Publications)

Rabbit Polyclonal EML4 antibody. Suitable for IHC-P, IP, WB and reacts with Human samples. Cited in 2 publications. Immunogen corresponding to Synthetic Peptide within Human EML4 aa 150-200.

View Alternative Names

C2orf2, EMAPL4, EML4, Echinoderm microtubule-associated protein-like 4, EMAP-4, Restrictedly overexpressed proliferation-associated protein, Ropp 120

3 Images
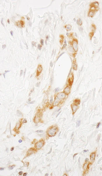
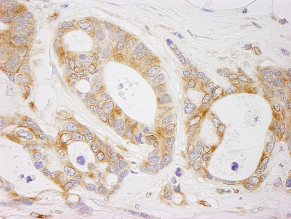
Immunohistochemistry (Formalin/PFA-fixed paraffin-embedded sections) - Anti-EML4 antibody (AB86062)
  • IHC-P

Unknown

Immunohistochemistry (Formalin/PFA-fixed paraffin-embedded sections) - Anti-EML4 antibody (AB86062)

Immunohistochemistry (Formalin/PFA-fixed paraffin-embedded sections) analysis of human lin plastica stomach cancer tissue labelling EML4 with ab86062 at 1/200 (1µg/ml). Detection : DAB.

Immunoprecipitation - Anti-EML4 antibody (AB86062)
  • IP

Unknown

Immunoprecipitation - Anti-EML4 antibody (AB86062)

Detection of EML4 by Western Blot of Immunprecipitate.
ab86062 at 0.4µg/ml staining EML4 in HeLa whole cell lysate immunoprecipitated using ab86062 at 3µg/mg lysate (1 mg/IP; 20% of IP loaded/lane).
Detection : Chemiluminescence with exposure time of 10 seconds.

All lanes:

Immunoprecipitation - Anti-EML4 antibody (ab86062)

Predicted band size: 109 kDa

false

Western blot - Anti-EML4 antibody (AB86062)
  • WB

Unknown

Western blot - Anti-EML4 antibody (AB86062)

All lanes:

Western blot - Anti-EML4 antibody (ab86062) at 0.04 µg/mL

Lane 1:

HeLa whole cell lysate at 50 µg

Lane 2:

HeLa whole cell lysate at 15 µg

Lane 3:

HeLa whole cell lysate at 5 µg

Predicted band size: 109 kDa

Observed band size: 120 kDa

false

Exposure time: 30s

Key facts

Host species

Rabbit

Clonality

Polyclonal

Isotype

IgG

Carrier free

No

Reacts with

Human

Applications

IHC-P, WB, IP

applications

Immunogen

Synthetic Peptide within Human EML4 aa 150-200. The exact immunogen used to generate this antibody is proprietary information.

Q9HC35

Reactivity data

{ "title": "Reactivity Data", "filters": { "stats": ["", "Species", "Dilution Info", "Notes"], "tabs": { "all-applications": {"fullname" : "All Applications", "shortname": "All Applications"}, "IHCP" : {"fullname" : "Immunohistochemistry (Formalin/PFA-fixed paraffin-embedded sections)", "shortname":"IHC-P"}, "IP" : {"fullname" : "Immunoprecipitation", "shortname":"IP"}, "WB" : {"fullname" : "Western blot", "shortname":"WB"} }, "product-promise": { "all": "all", "testedAndGuaranteed": "tested", "guaranteed": "expected", "predicted": "predicted", "notRecommended": "not-recommended" } }, "values": { "Human": { "IHCP-species-checked": "testedAndGuaranteed", "IHCP-species-dilution-info": "1/100 - 1/500", "IHCP-species-notes": "<p></p> Perform heat-mediated antigen retrieval with citrate buffer pH 6 before commencing with IHC staining protocol.", "IP-species-checked": "testedAndGuaranteed", "IP-species-dilution-info": "2-5 µg/mg of lysate", "IP-species-notes": "<p></p>", "WB-species-checked": "testedAndGuaranteed", "WB-species-dilution-info": "1/2000 - 1/10000", "WB-species-notes": "<p></p>" }, "Chimpanzee": { "IHCP-species-checked": "predicted", "IHCP-species-dilution-info": "", "IHCP-species-notes": "", "IP-species-checked": "predicted", "IP-species-dilution-info": "", "IP-species-notes": "", "WB-species-checked": "predicted", "WB-species-dilution-info": "", "WB-species-notes": "" }, "Gorilla": { "IHCP-species-checked": "predicted", "IHCP-species-dilution-info": "", "IHCP-species-notes": "", "IP-species-checked": "predicted", "IP-species-dilution-info": "", "IP-species-notes": "", "WB-species-checked": "predicted", "WB-species-dilution-info": "", "WB-species-notes": "" }, "Guinea pig": { "IHCP-species-checked": "predicted", "IHCP-species-dilution-info": "", "IHCP-species-notes": "", "IP-species-checked": "predicted", "IP-species-dilution-info": "", "IP-species-notes": "", "WB-species-checked": "predicted", "WB-species-dilution-info": "", "WB-species-notes": "" }, "Orangutan": { "IHCP-species-checked": "predicted", "IHCP-species-dilution-info": "", "IHCP-species-notes": "", "IP-species-checked": "predicted", "IP-species-dilution-info": "", "IP-species-notes": "", "WB-species-checked": "predicted", "WB-species-dilution-info": "", "WB-species-notes": "" }, "Rabbit": { "IHCP-species-checked": "predicted", "IHCP-species-dilution-info": "", "IHCP-species-notes": "", "IP-species-checked": "predicted", "IP-species-dilution-info": "", "IP-species-notes": "", "WB-species-checked": "predicted", "WB-species-dilution-info": "", "WB-species-notes": "" }, "Rhesus monkey": { "IHCP-species-checked": "predicted", "IHCP-species-dilution-info": "", "IHCP-species-notes": "", "IP-species-checked": "predicted", "IP-species-dilution-info": "", "IP-species-notes": "", "WB-species-checked": "predicted", "WB-species-dilution-info": "", "WB-species-notes": "" } } }

Properties and storage information

Form
Liquid
Purification technique
Affinity purification Immunogen
Purification notes
ab86062 was affinity purified using an epitope specific to EML4 immobilized on solid support.
Storage buffer
pH: 6.8 - 7.4 Preservative: 0.09% Sodium azide Constituents: Tris buffered saline, 0.1% BSA
Shipped at conditions
Blue Ice
Appropriate short-term storage conditions
+4°C
Appropriate long-term storage conditions
+4°C
Aliquoting information
Upon delivery aliquot
Storage information
Avoid freeze / thaw cycle

Supplementary information

This supplementary information is collated from multiple sources and compiled automatically.

EML4 also known as Echinoderm Microtubule-Associated Protein-Like 4 is a microtubule-associated protein with a mass of approximately 120 kDa. This protein stabilizes microtubules and influences their organization during cell division. EML4 is widely expressed in various tissues particularly in the brain where it plays important roles in neuronal function. It interacts with microtubule structures to ensure proper chromosome segregation and mitotic spindle formation.
Biological function summary

EML4 facilitates microtubule stability and dynamics which are critical for intracellular transport and cell division. It is part of the EML family and can form complexes with other microtubule-associated proteins. EML4 helps in the regulation of structural arrangements that are important in both mitosis and meiosis processes. Its function in axonal transport becomes essential for proper neuronal development and maintenance.

Pathways

EML4 is involved in the MAPK/ERK and Ras signaling pathways. Within these pathways EML4 interacts with key proteins like KRAS and BRAF contributing to signal transduction that controls cell proliferation and differentiation. The protein's regulatory role in microtubule dynamics positions it as a link between cellular signaling and cytoskeletal organization.

EML4 is most commonly associated with non-small cell lung cancer (NSCLC). A gene fusion between EML4 and ALK (anaplastic lymphoma kinase) leads to the production of an oncogenic protein that drives tumorigenesis. This EML4-ALK fusion protein alters normal cell signaling pathways promoting cancer cell survival and growth. Research also connects EML4 to neurodegenerative diseases due to its important role in microtubule stabilization within neurons.

Product protocols

For this product, it's our understanding that no specific protocols are required. You can visit:

Target data

Essential for the formation and stability of microtubules (MTs) (PubMed : 16890222, PubMed : 31409757). Required for the organization of the mitotic spindle and for the proper attachment of kinetochores to MTs (PubMed : 25789526). Promotes the recruitment of NUDC to the mitotic spindle for mitotic progression (PubMed : 25789526).
See full target information EML4

Publications (2)

Recent publications for all applications. Explore the full list and refine your search

Frontiers in cell and developmental biology 10:872740 PubMed35478957

2022

A Non-Synonymous Point Mutation in a WD-40 Domain Repeat of EML5 Leads to Decreased Bovine Sperm Quality and Fertility.

Applications

Unspecified application

Species

Unspecified reactive species

Eriklis Nogueira,Filip Tirpák,Lauren E Hamilton,Michal Zigo,Karl Kerns,Miriam Sutovsky,JaeWoo Kim,Dietrich Volkmann,Luca Jovine,Jeremy F Taylor,Robert D Schnabel,Peter Sutovsky

Developmental dynamics : an official publication of the American Association of Anatomists 240:2175-93 PubMed22016185

2011

Hedgehog signaling in the posterior region of the mouse gastrula suggests manifold roles in the fetal-umbilical connection and posterior morphogenesis.

Applications

Unspecified application

Species

Unspecified reactive species

Jacob M Daane,Karen M Downs
View all publications

Product promise

We are committed to supporting your work with high-quality reagents, and we're here for you every step of the way. In the unlikely event that one of our products does not perform as expected, you're protected by our Product Promise.
For full details, please see our Terms & Conditions

Please note: All products are 'FOR RESEARCH USE ONLY. NOT FOR USE IN DIAGNOSTIC OR THERAPEUTIC PROCEDURES'.

For licensing inquiries, please contact partnerships@abcam.com