JavaScript is disabled in your browser. Please enable JavaScript to view this website.
AB325387

Anti-EMP-1 antibody [EPR30304-517]

Be the first to review this product! Submit a review

|

(0 Publication)

Rabbit Recombinant Monoclonal EMP-1 antibody. Suitable for WB, IHC-P, ICC/IF and reacts with Transfected cell lysate - Human, Human, Transfected cell line - Human samples.

View Alternative Names

B4B, TMP, EMP1, Epithelial membrane protein 1, EMP-1, CL-20, Protein B4B, Tumor-associated membrane protein

12 Images
Immunohistochemistry (Formalin/PFA-fixed paraffin-embedded sections) - Anti-EMP-1 antibody [EPR30304-517] (AB325387)
  • IHC-P

Lab

Immunohistochemistry (Formalin/PFA-fixed paraffin-embedded sections) - Anti-EMP-1 antibody [EPR30304-517] (AB325387)

Immunohistochemical analysis of paraffin-embedded Human skin tissue labeling EMP-1 with ab325387 at 1/100 (4.96 µg/ml) dilution, followed by a ready to use LeicaDS9800 (Bond™ Polymer Refine Detection).

Positive staining on human skin. The primary antibody was incubated for 30 mins at room temperature.

The immunostaining was performed on a Leica Biosystems BOND® RX instrument

Counterstained with Hematoxylin.

Secondary antibody only control : Secondary antibody is a ready to use LeicaDS9800 (Bond™ Polymer Refine Detection).

Heat mediated antigen retrieval was performed with Tris-EDTA buffer (pH 9.0, Epitope Retrieval Solution2) for 20 mins

Immunocytochemistry/ Immunofluorescence - Anti-EMP-1 antibody [EPR30304-517] (AB325387)
  • ICC/IF

Lab

Immunocytochemistry/ Immunofluorescence - Anti-EMP-1 antibody [EPR30304-517] (AB325387)

Immunofluorescent analysis of 100% methanol-fixed, 0.1% TritonX-100 permeabilized U-87 MG (human glioblastoma-astrocytoma epithelial cell) labelling EMP-1 with ab325387 at 1/200 (2.48 µg/ml) dilution, followed by ab150081 Goat Anti-Rabbit IgG H&L (Alexa Fluor® 488) preadsorbed antibody at 1/1000 dilution (Green).

Confocal image showing membrane and cytoplasmic staining in U-87 MG cell line (shown in green). The counterstain was observed in magenta. Nuclear DNA was labelled with DAPI (shown in blue). Image was taken with a confocal microscope (Leica-Microsystems, TCS SP8).
Low expression : K-562 (human chronic myelogenous leukemia lymphoblast).

ab7291 Anti-alpha Tubulin mouse monoclonal antibody was used to counterstain tubulin at 1/1000 dilution (Magenta). The Nuclear counterstain was DAPI (Blue).

-ve control 1 : ab325387 at 1 : 200 dilution, followed by ab150120 at 1 : 1000 dilution
-ve control 2 : ab7291 at 1 : 1000 dilution, followed by ab150081 at 1 : 1000 dilution

Immunocytochemistry/ Immunofluorescence - Anti-EMP-1 antibody [EPR30304-517] (AB325387)
  • ICC/IF

Lab

Immunocytochemistry/ Immunofluorescence - Anti-EMP-1 antibody [EPR30304-517] (AB325387)

Immunofluorescent analysis of 100% methanol-fixed, 0.1% TritonX-100 permeabilized BxPC-3 (human pancreas adenocarcinoma epithelial cell) labelling EMP-1 with ab325387 at 1/200 (2.48 µg/ml) dilution, followed by ab150081 Goat Anti-Rabbit IgG H&L (Alexa Fluor® 488) preadsorbed antibody at 1/1000 dilution (Green).

Confocal image showing membrane and cytoplasmic staining in BxPC-3 cell line (shown in green). The counterstain was observed in magenta. Nuclear DNA was labelled with DAPI (shown in blue). Image was taken with a confocal microscope (Leica-Microsystems, TCS SP8).
Low expression : Daudi (human Burkitt's lymphoma lymphoblast).

ab7291 Anti-alpha Tubulin mouse monoclonal antibody was used to counterstain tubulin at 1/1000 dilution (Magenta). The Nuclear counterstain was DAPI (Blue).

-ve control 1 : ab325387 at 1 : 200 dilution, followed by ab150120 at 1 : 1000 dilution
-ve control 2 : ab7291 at 1 : 1000 dilution, followed by ab150081 at 1 : 1000 dilution

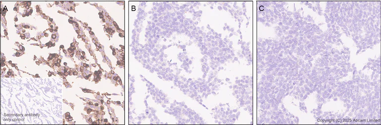
Immunohistochemistry (Formalin/PFA-fixed paraffin-embedded sections) - Anti-EMP-1 antibody [EPR30304-517] (AB325387)
  • IHC-P

Lab

Immunohistochemistry (Formalin/PFA-fixed paraffin-embedded sections) - Anti-EMP-1 antibody [EPR30304-517] (AB325387)

Immunohistochemical analysis of paraffin-embedded (A) BxPC-3 (human pancreas adenocarcinoma epithelial cell) cell pellet (B) U-87 MG (human glioblastoma-astrocytoma epithelial cell) cell pellet (C) K-562 (human chronic myelogenous leukemia lymphoblast) cell pellet (D) Daudi (human Burkitt's lymphoma lymphoblast) cell pellet tissue labeling EMP-1 with ab325387 at 1/2000 (0.248 µg/ml) dilution, followed by a ready to use LeicaDS9800 (Bond™ Polymer Refine Detection).

Positive staining on BxPC-3 (image A) and U-87 MG (image B), no staining on K-562 (image C) and Daudi (image D). The primary antibody was incubated for 30 mins at room temperature.

The immunostaining was performed on a Leica Biosystems BOND® RX instrument

Counterstained with Hematoxylin.

Secondary antibody only control : Secondary antibody is a ready to use LeicaDS9800 (Bond™ Polymer Refine Detection).

Heat mediated antigen retrieval was performed with Tris-EDTA buffer (pH 9.0, Epitope Retrieval Solution2) for 20 mins

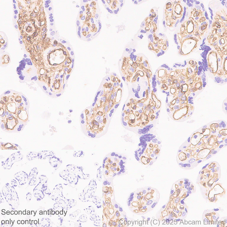
Immunohistochemistry (Formalin/PFA-fixed paraffin-embedded sections) - Anti-EMP-1 antibody [EPR30304-517] (AB325387)
  • IHC-P

Lab

Immunohistochemistry (Formalin/PFA-fixed paraffin-embedded sections) - Anti-EMP-1 antibody [EPR30304-517] (AB325387)

Immunohistochemical analysis of paraffin-embedded Human placenta tissue labeling EMP-1 with ab325387 at 1/100 (4.96 µg/ml) dilution, followed by a ready to use LeicaDS9800 (Bond™ Polymer Refine Detection).

Positive staining on human placenta. The primary antibody was incubated for 30 mins at room temperature.

The immunostaining was performed on a Leica Biosystems BOND® RX instrument

Counterstained with Hematoxylin.

Secondary antibody only control : Secondary antibody is a ready to use LeicaDS9800 (Bond™ Polymer Refine Detection).

Heat mediated antigen retrieval was performed with Tris-EDTA buffer (pH 9.0, Epitope Retrieval Solution2) for 20 mins

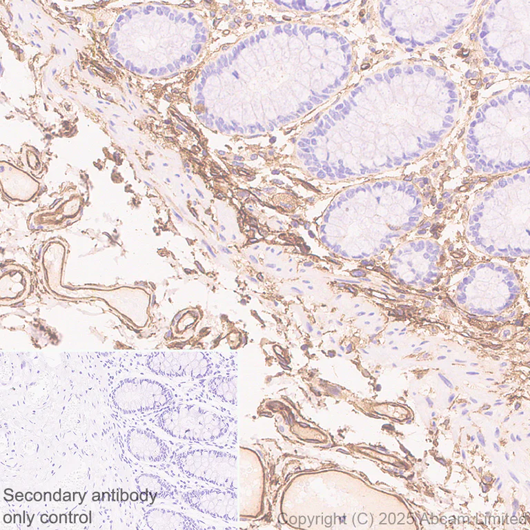
Immunohistochemistry (Formalin/PFA-fixed paraffin-embedded sections) - Anti-EMP-1 antibody [EPR30304-517] (AB325387)
  • IHC-P

Lab

Immunohistochemistry (Formalin/PFA-fixed paraffin-embedded sections) - Anti-EMP-1 antibody [EPR30304-517] (AB325387)

Immunohistochemical analysis of paraffin-embedded Human colon tissue labeling EMP-1 with ab325387 at 1/100 (4.96 µg/ml) dilution, followed by a ready to use LeicaDS9800 (Bond™ Polymer Refine Detection).

Positive staining on human colon. The primary antibody was incubated for 30 mins at room temperature.

The immunostaining was performed on a Leica Biosystems BOND® RX instrument

Counterstained with Hematoxylin.

Secondary antibody only control : Secondary antibody is a ready to use LeicaDS9800 (Bond™ Polymer Refine Detection).

Heat mediated antigen retrieval was performed with Tris-EDTA buffer (pH 9.0, Epitope Retrieval Solution2) for 20 mins

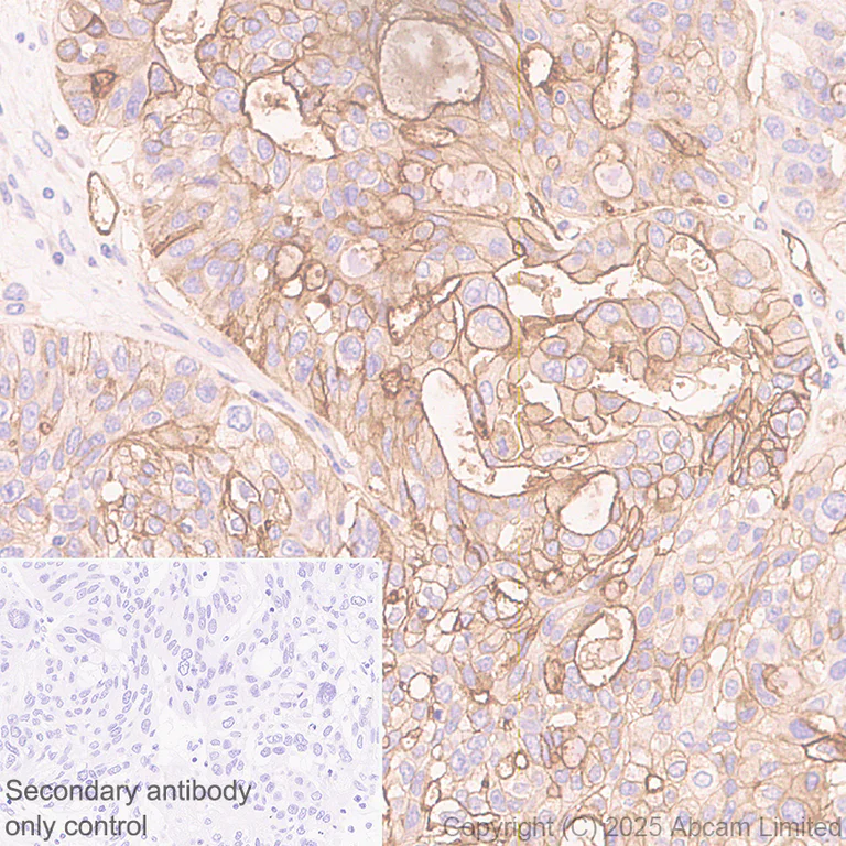
Immunohistochemistry (Formalin/PFA-fixed paraffin-embedded sections) - Anti-EMP-1 antibody [EPR30304-517] (AB325387)
  • IHC-P

Lab

Immunohistochemistry (Formalin/PFA-fixed paraffin-embedded sections) - Anti-EMP-1 antibody [EPR30304-517] (AB325387)

Immunohistochemical analysis of paraffin-embedded Human ovarian carcinoma tissue labeling EMP-1 with ab325387 at 1/100 (4.96 µg/ml) dilution, followed by a ready to use LeicaDS9800 (Bond™ Polymer Refine Detection).

Positive staining on human ovarian carcinoma. The primary antibody was incubated for 30 mins at room temperature.

The immunostaining was performed on a Leica Biosystems BOND® RX instrument

Counterstained with Hematoxylin.

Secondary antibody only control : Secondary antibody is a ready to use LeicaDS9800 (Bond™ Polymer Refine Detection).

Heat mediated antigen retrieval was performed with Tris-EDTA buffer (pH 9.0, Epitope Retrieval Solution2) for 20 mins

Western blot - Anti-EMP-1 antibody [EPR30304-517] (AB325387)
  • WB

Lab

Western blot - Anti-EMP-1 antibody [EPR30304-517] (AB325387)

Blocking and diluting buffer and concentration : 5% NFDM/TBST.

EMP-1 is a glycoprotein of approximately 20-50 kDa and detected as a 15-kDa band after treated with Peptide : N-glycosidase F (PNGase F).

Samples are non-boiled as boiling may cause protein aggregation.

In Western blot, Anti-GAPDH antibody [EPR16891] - Loading Control (ab181602) (1 : 200000) (36KDa).

All lanes:

Western blot - Anti-EMP-1 antibody [EPR30304-517] (ab325387) at 1/1000 dilution

Lane 1:

Untreated U-87 MG (human glioblastoma-astrocytoma epithelial cell) whole cell lysate, at 20 µg

Lane 2:

U-87 MG whole cell lysate treated with Peptide: N-glycosidase F (PNGase F), at 20 µg

Secondary

All lanes:

Goat Anti-Rabbit IgG (HRP) with minimal cross-reactivity with human IgG at 1/2000 dilution

Observed band size: 20-50 kDa,15 kDa,36 kDa

false

Exposure time: 26s

Western blot - Anti-EMP-1 antibody [EPR30304-517] (AB325387)
  • WB

Lab

Western blot - Anti-EMP-1 antibody [EPR30304-517] (AB325387)

Blocking and diluting buffer and concentration : 5% NFDM/TBST.

Low expression : K-562, Daudi.

Samples are non-boiled as boiling may cause protein aggregation.

In Western blot, Anti-GAPDH antibody [EPR16891] - Loading Control (ab181602) (1 : 200000) (36KDa).

All lanes:

Western blot - Anti-EMP-1 antibody [EPR30304-517] (ab325387) at 1/1000 dilution

Lane 1:

BxPC-3 (human pancreas adenocarcinoma epithelial cell) whole cell lysate at 20 µg

Lane 2:

U-87 MG (human glioblastoma-astrocytoma epithelial cell) whole cell lysate at 20 µg

Lane 3:

K-562 (human chronic myelogenous leukemia lymphoblast) whole cell lysate at 20 µg

Lane 4:

Daudi (human Burkitt's lymphoma lymphoblast) whole cell lysate at 20 µg

Secondary

All lanes:

Goat Anti-Rabbit IgG (HRP) with minimal cross-reactivity with human IgG at 1/2000 dilution

Observed band size: 20-50 kDa,36 kDa

false

Exposure time: 37s

Western blot - Anti-EMP-1 antibody [EPR30304-517] (AB325387)
  • WB

Lab

Western blot - Anti-EMP-1 antibody [EPR30304-517] (AB325387)

Blocking and diluting buffer and concentration : 5% NFDM/TBST.

Low expression : cerebellum.

Samples are non-boiled as boiling may cause protein aggregation.

In Western blot, Anti-GAPDH antibody [EPR16891] - Loading Control (ab181602) (1 : 200000) (36KDa).

All lanes:

Western blot - Anti-EMP-1 antibody [EPR30304-517] (ab325387) at 1/1000 dilution

Lane 1:

Human colon tissue lysate at 20 µg

Lane 2:

Human esophagus lysate at 20 µg

Lane 3:

Human cerebellum lysate at 20 µg

Secondary

All lanes:

Goat Anti-Rabbit IgG (HRP) with minimal cross-reactivity with human IgG at 1/2000 dilution

Observed band size: 20-25 kDa,36 kDa

false

Exposure time: 37s

Immunohistochemistry (Formalin/PFA-fixed paraffin-embedded sections) - Anti-EMP-1 antibody [EPR30304-517] (AB325387)
  • IHC-P

Lab

Immunohistochemistry (Formalin/PFA-fixed paraffin-embedded sections) - Anti-EMP-1 antibody [EPR30304-517] (AB325387)

Immunohistochemical analysis of paraffin-embedded (A) HEK-293T (human embryonic kidney epithelial cell) transfected with a human EMP1 expression vector containing a Myc-His tag (B) HEK-293T transfected with a human EMP2 expression vector containing a Myc-His tag (C) HEK-293T transfected with empty vector containing a Myc-His tag tissue labeling EMP-1 with ab325387 at 1/2000 (0.248 µg/ml) dilution, followed by a ready to use LeicaDS9800 (Bond™ Polymer Refine Detection).

Positive staining on HEK-293T transfected with a human EMP1 expression vector containing a Myc-His tag (image A), no staining on HEK-293T transfected with a human EMP2 expression vector containing a Myc-His tag (image B) and HEK-293T transfected with empty vector containing a Myc-His tag (image D). The primary antibody was incubated for 30 mins at room temperature.

The immunostaining was performed on a Leica Biosystems BOND® RX instrument

Counterstained with Hematoxylin.

Secondary antibody only control : Secondary antibody is a ready to use LeicaDS9800 (Bond™ Polymer Refine Detection).

Heat mediated antigen retrieval was performed with Tris-EDTA buffer (pH 9.0, Epitope Retrieval Solution2) for 20 mins

Western blot - Anti-EMP-1 antibody [EPR30304-517] (AB325387)
  • WB

Lab

Western blot - Anti-EMP-1 antibody [EPR30304-517] (AB325387)

Blocking and diluting buffer and concentration : 5% NFDM/TBST.

This antibody does not cross-react with human EMP2.

Samples are non-boiled as boiling may cause protein aggregation.

In Western blot, Anti-His tag® antibody - (ab15149) (1 : 1000)(20-50KDa);Anti-GAPDH antibody [EPR16891] - Loading Control (ab181602) (1 : 200000) (36KDa).

All lanes:

Western blot - Anti-EMP-1 antibody [EPR30304-517] (ab325387) at 1/1000 dilution

Lane 1:

293T cells transfected with an empty vector containing a his-tag, whole cell lysate at 20 µg

Lane 2:

293T cells transfected with a human EMP1 expression vector containing a his-tag, whole cell lysate at 20 µg

Lane 3:

293T cells transfected with a human EMP2 expression vector containing a his-tag, whole cell lysate at 20 µg

Secondary

All lanes:

Goat Anti-Rabbit IgG (HRP) with minimal cross-reactivity with human IgG at 1/2000 dilution

Observed band size: 20-50 kDa,36 kDa

false

Exposure time: 1s

Key facts

Host species

Rabbit

Clonality

Monoclonal

Clone number

EPR30304-517

Isotype

IgG

Carrier free

No

Reacts with

Human

Applications

IHC-P, WB, ICC/IF

applications

Immunogen

The exact immunogen used to generate this antibody is proprietary information.

Specificity

This antibody does not cross-react with overexpressed human EMP2 by WB and IHC.

Reactivity data

{ "title": "Reactivity Data", "filters": { "stats": ["", "Species", "Dilution Info", "Notes"], "tabs": { "all-applications": {"fullname" : "All Applications", "shortname": "All Applications"}, "WB" : {"fullname" : "Western blot", "shortname":"WB"}, "IHCP" : {"fullname" : "Immunohistochemistry (Formalin/PFA-fixed paraffin-embedded sections)", "shortname":"IHC-P"}, "ICCIF" : {"fullname" : "Immunocytochemistry/ Immunofluorescence", "shortname":"ICC/IF"} }, "product-promise": { "all": "all", "testedAndGuaranteed": "tested", "guaranteed": "expected", "predicted": "predicted", "notRecommended": "not-recommended" } }, "values": { "Human": { "WB-species-checked": "testedAndGuaranteed", "WB-species-dilution-info": "1/1000", "WB-species-notes": "<p></p>", "IHCP-species-checked": "testedAndGuaranteed", "IHCP-species-dilution-info": "1/100 - 1/2000", "IHCP-species-notes": "<p></p> Perform heat-mediated antigen retrieval with Tris/EDTA buffer pH 9.0 before commencing with IHC staining protocol.", "ICCIF-species-checked": "testedAndGuaranteed", "ICCIF-species-dilution-info": "1/200", "ICCIF-species-notes": "<p></p>" }, "Transfected cell line - Human": { "WB-species-checked": "notRecommended", "WB-species-dilution-info": "", "WB-species-notes": "", "IHCP-species-checked": "testedAndGuaranteed", "IHCP-species-dilution-info": "1/2000", "IHCP-species-notes": "<p></p> Perform heat-mediated antigen retrieval with Tris/EDTA buffer pH 9.0 before commencing with IHC staining protocol.", "ICCIF-species-checked": "notRecommended", "ICCIF-species-dilution-info": "", "ICCIF-species-notes": "" }, "Transfected cell lysate - Human": { "WB-species-checked": "testedAndGuaranteed", "WB-species-dilution-info": "1/1000", "WB-species-notes": "<p></p>", "IHCP-species-checked": "notRecommended", "IHCP-species-dilution-info": "", "IHCP-species-notes": "", "ICCIF-species-checked": "notRecommended", "ICCIF-species-dilution-info": "", "ICCIF-species-notes": "" } } }

Product details

Patented technology
Our RabMAb® technology is a patented hybridoma-based technology for making rabbit monoclonal antibodies. For details on our patents, please refer to RabMAb® patents.

What are the advantages of a recombinant monoclonal antibody?
This product is a recombinant monoclonal antibody, which offers several advantages including:

  • - High batch-to-batch consistency and reproducibility
  • - Improved sensitivity and specificity
  • - Long-term security of supply
  • - Animal-free batch production

For more information, read more on recombinant antibodies.

Properties and storage information

Form
Liquid
Purification technique
Affinity purification Protein A
Storage buffer
pH: 7.2 - 7.4 Preservative: 0.01% Sodium azide Constituents: PBS, 40% Glycerol (glycerin, glycerine), 0.05% BSA
Shipped at conditions
Blue Ice
Appropriate short-term storage duration
1-2 weeks
Appropriate short-term storage conditions
+4°C
Appropriate long-term storage conditions
-20°C
Aliquoting information
Upon delivery aliquot
Storage information
Avoid freeze / thaw cycle

Product protocols

For this product, it's our understanding that no specific protocols are required. You can visit:

Product promise

We are committed to supporting your work with high-quality reagents, and we're here for you every step of the way. In the unlikely event that one of our products does not perform as expected, you're protected by our Product Promise.
For full details, please see our Terms & Conditions

Please note: All products are 'FOR RESEARCH USE ONLY. NOT FOR USE IN DIAGNOSTIC OR THERAPEUTIC PROCEDURES'.

For licensing inquiries, please contact partnerships@abcam.com