JavaScript is disabled in your browser. Please enable JavaScript to view this website.
AB254293

Anti-EMR1/ADGRE1 (F4/80) antibody [EPR23225-94]

  • BOND RX™ Validated
  • RabMAb
  • Recombinant
  • Lab Essentials
  • 20ul selling size
  • What is this?

Be the first to review this product! Submit a review

|

(4 Publications)

Rabbit Recombinant Monoclonal F4/80 antibody. Suitable for Flow Cyt, WB, ICC/IF, IHC-P and reacts with Human samples. Cited in 4 publications.

View Alternative Names

EMR1, TM7LN3, ADGRE1, Adhesion G protein-coupled receptor E1, EGF-like module receptor 1, EGF-like module-containing mucin-like hormone receptor-like 1, EMR1 hormone receptor

6 Images
Immunohistochemistry (Formalin/PFA-fixed paraffin-embedded sections) - Anti-EMR1/ADGRE1 (F4/80) antibody [EPR23225-94] (AB254293)
  • IHC-P

Unknown

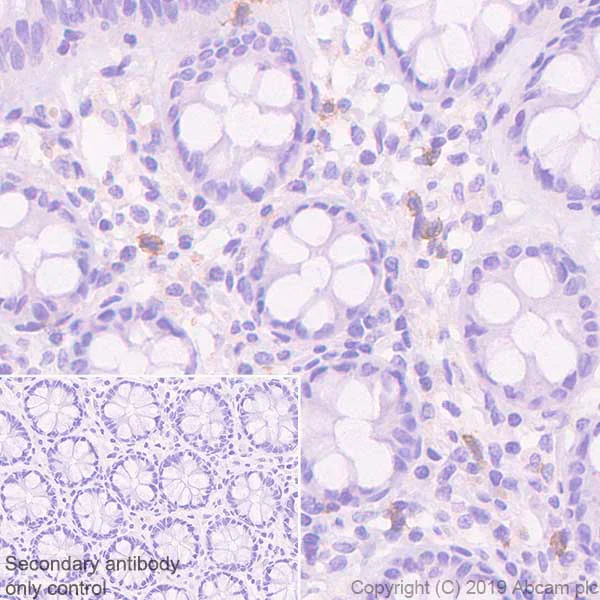
Immunohistochemistry (Formalin/PFA-fixed paraffin-embedded sections) - Anti-EMR1/ADGRE1 (F4/80) antibody [EPR23225-94] (AB254293)

Immunohistochemical analysis of paraffin-embedded Human colon tissue labeling EMR1/ADGRE1 with ab254293 at 1/16000 dilution followed by a ready to use Rabbit specific IHC polymer detection kit HRP/DAB (ab209101). Positive staining in eosinophils of human colon (PMID : 17823986).The section was incubated with ab254293 for 10 mins at room temperature. The immunostaining was performed on a Leica Biosystems BOND® RX instrument Counterstained with Hematoxylin.

Secondary antibody only control : Secondary antibody is a ready to use Rabbit specific IHC polymer detection kit HRP/DAB (ab209101).

Heat mediated antigen retrieval with Tris-EDTA buffer (pH 9.0, epitope retrieval solution2) for 20 mins

Immunocytochemistry/ Immunofluorescence - Anti-EMR1/ADGRE1 (F4/80) antibody [EPR23225-94] (AB254293)
  • ICC/IF

Unknown

Immunocytochemistry/ Immunofluorescence - Anti-EMR1/ADGRE1 (F4/80) antibody [EPR23225-94] (AB254293)

Immunofluorescent analysis of 4% Paraformaldehyde-fixed, 0.1% TritonX-100 permeabilized HEK-293 cells labelling EMR1/ADGRE1 with ab254293 at 1/100 dilution, followed by antibody at 1/1000 dilution (Green). Confocal image showing positive staining in HEK-293 cell line transfected with myc-tagged EMR1/ADGRE1 expression vector. 2233S Myc-Tag (9B11) Mouse mAb (Alexa Fluor® 647 Conjugate) was used to counterstain tubulin at 1/200 dilution (Red). The Nuclear counterstain was DAPI (Blue).

Secondary antibody only control : Secondary antibody is at 1000 dilution.

Flow Cytometry - Anti-EMR1/ADGRE1 (F4/80) antibody [EPR23225-94] (AB254293)
  • Flow Cyt

Unknown

Flow Cytometry - Anti-EMR1/ADGRE1 (F4/80) antibody [EPR23225-94] (AB254293)

Flow cytometric analysis of 2% paraformaldehyde-fixed, 0.1% Tween-20 permeabilized HEK-293T (transfected with myc tagged EMR1/ADGRE1 construct) cells labelling EMR1/ADGRE1 with ab254293 at 1/500 (Right) compared with a Rabbit monoclonal IgG (ab172730) (Left). A Goat anti rabbit IgG (Alexa Fluor® 488, ab150077) at 1/2000 was used as the secondary antibody.

Cells were surface stained with isotype control (ab172730) or ab254293. Then fixed with 2% PFA for 10min followed by intracellularly stained with anti-myc tag conjugated to Alexa Fluor® 647.

Immunohistochemistry (Formalin/PFA-fixed paraffin-embedded sections) - Anti-EMR1/ADGRE1 (F4/80) antibody [EPR23225-94] (AB254293)
  • IHC-P

Unknown

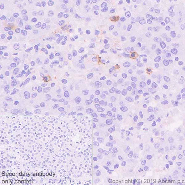
Immunohistochemistry (Formalin/PFA-fixed paraffin-embedded sections) - Anti-EMR1/ADGRE1 (F4/80) antibody [EPR23225-94] (AB254293)

Immunohistochemical analysis of paraffin-embedded Human gastric cancer tissue labeling EMR1/ADGRE1 with ab254293 at 1/16000 dilution followed by a ready to use Rabbit specific IHC polymer detection kit HRP/DAB (ab209101). Positive staining in eosinophils of human gastric cancer (PMID : 17823986).The section was incubated with ab254293 for 10 mins at room temperature. The immunostaining was performed on a Leica Biosystems BOND® RX instrument Counterstained with Hematoxylin.

Secondary antibody only control : Secondary antibody is a ready to use Rabbit specific IHC polymer detection kit HRP/DAB (ab209101).

Heat mediated antigen retrieval with Tris-EDTA buffer (pH 9.0, epitope retrieval solution2) for 20 mins

Western blot - Anti-EMR1/ADGRE1 (F4/80) antibody [EPR23225-94] (AB254293)
  • WB

Lab

Western blot - Anti-EMR1/ADGRE1 (F4/80) antibody [EPR23225-94] (AB254293)

Blocking and diluting buffer and concentration : 5% NFDM/TBST.

Exposure time : 70 seconds.

All lanes:

Western blot - Anti-EMR1/ADGRE1 (F4/80) antibody [EPR23225-94] (ab254293) at 1/1000 dilution

Lane 1:

Human colon tissue lysate at 40 µg

Lane 2:

Human stomach tissue lysate at 40 µg

Secondary

All lanes:

Goat Anti-Rabbit IgG, (H+L), Peroxidase conjugated (<a href='/en-us/products/secondary-antibodies/goat-rabbit-igg-h-l-hrp-ab97051'>ab97051</a>) at 1/100000 dilution

Predicted band size: 98 kDa

Observed band size: 100 kDa

false

Western blot - Anti-EMR1/ADGRE1 (F4/80) antibody [EPR23225-94] (AB254293)
  • WB

Lab

Western blot - Anti-EMR1/ADGRE1 (F4/80) antibody [EPR23225-94] (AB254293)

Blocking and diluting buffer and concentration : 5% NFDM/TBST.

This blot was developed using a higher sensitivity ECL substrate.

Negative control : Human brain (PMID : 17823986).

Exposure time : 3 minutes.

All lanes:

Western blot - Anti-EMR1/ADGRE1 (F4/80) antibody [EPR23225-94] (ab254293) at 1/1000 dilution

Lane 1:

Human spleen tissue lysate at 20 µg

Lane 2:

Human brain tissue lysate at 20 µg

Secondary

All lanes:

Goat Anti-Rabbit IgG, (H+L), Peroxidase conjugated (<a href='/en-us/products/secondary-antibodies/goat-rabbit-igg-h-l-hrp-ab97051'>ab97051</a>) at 1/100000 dilution

Predicted band size: 98 kDa

Observed band size: 100 kDa

false

  • Carrier free

    Anti-EMR1/ADGRE1 (F4/80) antibody [EPR23225-94] - BSA and Azide free

  • 519 Alexa Fluor® 488

    Alexa Fluor® 488 Anti-EMR1/ADGRE1 (F4/80) antibody [EPR23225-94]

  • 565 Alexa Fluor® 555

    Alexa Fluor® 555 Anti-EMR1/ADGRE1 (F4/80) antibody [EPR23225-94]

  • 665 Alexa Fluor® 647

    Alexa Fluor® 647 Anti-EMR1/ADGRE1 antibody [EPR23225-94]

Key facts

Host species

Rabbit

Clonality

Monoclonal

Clone number

EPR23225-94

Isotype

IgG

Carrier free

No

Reacts with

Human

Applications

WB, IHC-P, Flow Cyt, ICC/IF

applications

Immunogen

The exact immunogen used to generate this antibody is proprietary information.

Reactivity data

{ "title": "Reactivity Data", "filters": { "stats": ["", "Species", "Dilution Info", "Notes"], "tabs": { "all-applications": {"fullname" : "All Applications", "shortname": "All Applications"}, "IP" : {"fullname" : "Immunoprecipitation", "shortname":"IP"}, "FlowCyt" : {"fullname" : "Flow Cytometry", "shortname":"Flow Cyt"}, "WB" : {"fullname" : "Western blot", "shortname":"WB"}, "ICCIF" : {"fullname" : "Immunocytochemistry/ Immunofluorescence", "shortname":"ICC/IF"}, "IHCP" : {"fullname" : "Immunohistochemistry (Formalin/PFA-fixed paraffin-embedded sections)", "shortname":"IHC-P"} }, "product-promise": { "all": "all", "testedAndGuaranteed": "tested", "guaranteed": "expected", "predicted": "predicted", "notRecommended": "not-recommended" } }, "values": { "Human": { "IP-species-checked": "notRecommended", "IP-species-dilution-info": "", "IP-species-notes": "<p></p>", "FlowCyt-species-checked": "testedAndGuaranteed", "FlowCyt-species-dilution-info": "1/500", "FlowCyt-species-notes": "<p></p>", "WB-species-checked": "testedAndGuaranteed", "WB-species-dilution-info": "1/1000", "WB-species-notes": "<p></p>", "ICCIF-species-checked": "testedAndGuaranteed", "ICCIF-species-dilution-info": "1/100", "ICCIF-species-notes": "<p></p>", "IHCP-species-checked": "testedAndGuaranteed", "IHCP-species-dilution-info": "1/16000", "IHCP-species-notes": "<p></p>" } } }

Product details

Patented technology
Our RabMAb® technology is a patented hybridoma-based technology for making rabbit monoclonal antibodies. For details on our patents, please refer to RabMAb® patents.

What are the advantages of a recombinant monoclonal antibody?
This product is a recombinant monoclonal antibody, which offers several advantages including:

  • - High batch-to-batch consistency and reproducibility
  • - Improved sensitivity and specificity
  • - Long-term security of supply
  • - Animal-free batch production

For more information, read more on recombinant antibodies.

Properties and storage information

Form
Liquid
Purification technique
Affinity purification Protein A
Storage buffer
pH: 7.2 - 7.4 Preservative: 0.01% Sodium azide Constituents: PBS, 40% Glycerol (glycerin, glycerine), 0.05% BSA
Shipped at conditions
Blue Ice
Appropriate short-term storage duration
1-2 weeks
Appropriate short-term storage conditions
+4°C
Appropriate long-term storage conditions
-20°C
Aliquoting information
Upon delivery aliquot
Storage information
Avoid freeze / thaw cycle

Supplementary information

This supplementary information is collated from multiple sources and compiled automatically.

The EMR1/ADGRE1 (F4/80) is a protein known for its role in cellular adhesion and migration. It is also referred to as EMR1 or ADGRE1 and is a member of the class B seven-span transmembrane receptor family. The protein has a molecular mass of about 90 kDa and primarily expresses on the surface of tissue-resident macrophages. Its expression serves as a marker to identify murine macrophages thereby providing a way to study subsets of immune cells within diverse tissues.
Biological function summary

This protein influences the regulation of immune responses and macrophage actions. It does not appear to work alone; it forms part of a larger receptor complex that participates in interaction with other cellular components modulating biological processes such as phagocytosis and the release of cytokines. These roles position the ADGRE1 macrophage in the immune surveillance of tissues influencing homeostasis and response to injury or infection.

Pathways

ADGRE1/EMR1 (F4/80) takes part in signal transduction pathways related to the innate immune response. It interacts with proteins involved in macrophage activation and cellular signaling such as TLR4 and CD14. These pathways are instrumental in mediating responses to pathogens and tissue damage integrating the ADGRE1 marker in processes that initiate and propagate immune signaling cascades.

ADGRE1/EMR1 (F4/80) shows involvement in inflammatory conditions and autoimmune disorders. For example it is relevant to research in diseases like inflammatory bowel disease and rheumatoid arthritis where macrophage-mediated inflammation plays a significant role. In these conditions the protein interacts with cytokines like TNF-alpha linking its expression to clinical manifestations and therapeutic targets. This association makes this protein a potential focal point for understanding and potentially mitigating disease pathology.

Product protocols

For this product, it's our understanding that no specific protocols are required. You can visit:

Target data

Orphan receptor involved in cell adhesion and probably in cell-cell interactions specifically involving cells of the immune system. May play a role in regulatory T-cells (Treg) development.
See full target information ADGRE1

Publications (4)

Recent publications for all applications. Explore the full list and refine your search

Cellular and molecular gastroenterology and hepatology 19:101474 PubMed39923847

2025

Citrulline Inhibits Clostridioides difficile Infection With Anti-inflammatory Effects.

Applications

Unspecified application

Species

Unspecified reactive species

Ying Xie,Sophie Irwin,Becca Nelson,Mieke van Daelen,Lindsey Fontenot,Jonathan P Jacobs,Monica Cappelletti,Hanping Feng,Yiling Li,Hon Wai Koon

Neuroscience bulletin 37:1542-1554 PubMed34519993

2021

Neuroinflammation Mediates Faster Brachial Plexus Regeneration in Subjects with Cerebral Injury.

Applications

Unspecified application

Species

Unspecified reactive species

Fan Su,Guobao Wang,Tie Li,Su Jiang,Aiping Yu,Xiaomin Wang,Wendong Xu

Biochemical pharmacology 184:114399 PubMed33382969

2021

DOCK2 contributes to endotoxemia-induced acute lung injury in mice by activating proinflammatory macrophages.

Applications

Unspecified application

Species

Unspecified reactive species

Xiaotao Xu,Yang Su,Kaixuan Wu,Fan Pan,Aizhong Wang

European journal of medical research 25:3 PubMed32178735

2020

miR-34a targets PAI-1 to regulate urinary microalbumin and renal function in hypertensive mice.

Applications

Unspecified application

Species

Unspecified reactive species

Ruitao Liu,Lihong Yang,Qingmin Wei
View all publications

Product promise

We are committed to supporting your work with high-quality reagents, and we're here for you every step of the way. In the unlikely event that one of our products does not perform as expected, you're protected by our Product Promise.
For full details, please see our Terms & Conditions

Please note: All products are 'FOR RESEARCH USE ONLY. NOT FOR USE IN DIAGNOSTIC OR THERAPEUTIC PROCEDURES'.

For licensing inquiries, please contact partnerships@abcam.com