JavaScript is disabled in your browser. Please enable JavaScript to view this website.
AB270798

Anti-EMR1/ADGRE1 (F4/80) antibody [EPR23225-94] - BSA and Azide free

Be the first to review this product! Submit a review

|

(1 Publication)

Rabbit Recombinant Monoclonal F4/80 antibody. Carrier free. Suitable for Flow Cyt, WB, IHC-P, ICC/IF and reacts with Human samples. Cited in 1 publication.

View Alternative Names

EMR1, TM7LN3, ADGRE1, Adhesion G protein-coupled receptor E1, EGF-like module receptor 1, EGF-like module-containing mucin-like hormone receptor-like 1, EMR1 hormone receptor

4 Images
Immunohistochemistry (Formalin/PFA-fixed paraffin-embedded sections) - Anti-EMR1/ADGRE1 (F4/80) antibody [EPR23225-94] - BSA and Azide free (AB270798)
  • IHC-P

Unknown

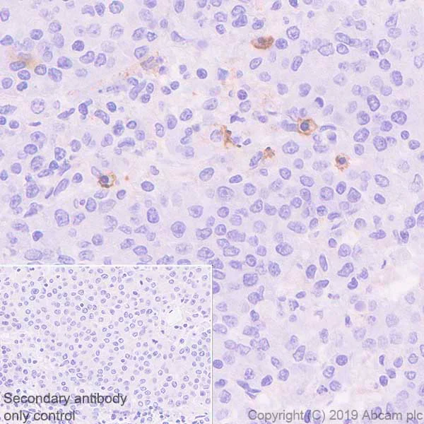
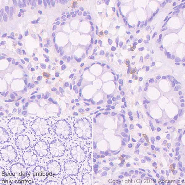
Immunohistochemistry (Formalin/PFA-fixed paraffin-embedded sections) - Anti-EMR1/ADGRE1 (F4/80) antibody [EPR23225-94] - BSA and Azide free (AB270798)

This data was developed using ab254293, the same antibody clone in a different buffer formulation.

Immunohistochemical analysis of paraffin-embedded Human colon tissue labeling EMR1/ADGRE1 with ab254293 at 1/16000 dilution followed by a ready to use Rabbit specific IHC polymer detection kit HRP/DAB (ab209101). Positive staining in eosinophils of human colon (PMID : 17823986).The section was incubated with ab254293 for 10 mins at room temperature. The immunostaining was performed on a Leica Biosystems BOND® RX instrument Counterstained with Hematoxylin.

Secondary antibody only control : Secondary antibody is a ready to use Rabbit specific IHC polymer detection kit HRP/DAB (ab209101).

Heat mediated antigen retrieval with Tris-EDTA buffer (pH 9.0, epitope retrieval solution2) for 20 mins.

Immunocytochemistry/ Immunofluorescence - Anti-EMR1/ADGRE1 (F4/80) antibody [EPR23225-94] - BSA and Azide free (AB270798)
  • ICC/IF

Unknown

Immunocytochemistry/ Immunofluorescence - Anti-EMR1/ADGRE1 (F4/80) antibody [EPR23225-94] - BSA and Azide free (AB270798)

This data was developed using ab254293, the same antibody clone in a different buffer formulation.

Immunofluorescent analysis of 4% Paraformaldehyde-fixed, 0.1% TritonX-100 permeabilized HEK-293 cells labelling EMR1/ADGRE1 with ab254293 at 1/100 dilution, followed by antibody at 1/1000 dilution (Green). Confocal image showing positive staining in HEK-293 cell line transfected with myc-tagged EMR1/ADGRE1 expression vector. 2233S Myc-Tag (9B11) Mouse mAb (Alexa Fluor® 647 Conjugate) was used to counterstain tubulin at 1/200 dilution (Red). The Nuclear counterstain was DAPI (Blue).

Secondary antibody only control : Secondary antibody is at 1000 dilution.

Flow Cytometry - Anti-EMR1/ADGRE1 (F4/80) antibody [EPR23225-94] - BSA and Azide free (AB270798)
  • Flow Cyt

Unknown

Flow Cytometry - Anti-EMR1/ADGRE1 (F4/80) antibody [EPR23225-94] - BSA and Azide free (AB270798)

This data was developed using ab254293, the same antibody clone in a different buffer formulation.

Flow cytometric analysis of 2% paraformaldehyde-fixed, 0.1% Tween-20 permeabilized HEK-293T (transfected with myc tagged EMR1/ADGRE1 construct) cells labelling EMR1/ADGRE1 with ab254293 at 1/500 (Right) compared with a Rabbit monoclonal IgG (ab172730) (Left). A Goat anti rabbit IgG (Alexa Fluor® 488, ab150077) at 1/2000 was used as the secondary antibody.

Cells were surface stained with isotype control (ab172730) or ab254293. Then fixed with 2% PFA for 10min followed by intracellularly stained with anti-myc tag conjugated to Alexa Fluor® 647.

Immunohistochemistry (Formalin/PFA-fixed paraffin-embedded sections) - Anti-EMR1/ADGRE1 (F4/80) antibody [EPR23225-94] - BSA and Azide free (AB270798)
  • IHC-P

Unknown

Immunohistochemistry (Formalin/PFA-fixed paraffin-embedded sections) - Anti-EMR1/ADGRE1 (F4/80) antibody [EPR23225-94] - BSA and Azide free (AB270798)

This data was developed using ab254293, the same antibody clone in a different buffer formulation.

Immunohistochemical analysis of paraffin-embedded Human gastric cancer tissue labeling EMR1/ADGRE1 with ab254293 at 1/16000 dilution followed by a ready to use Rabbit specific IHC polymer detection kit HRP/DAB (ab209101). Positive staining in eosinophils of human gastric cancer (PMID : 17823986).The section was incubated with ab254293 for 10 mins at room temperature. The immunostaining was performed on a Leica Biosystems BOND® RX instrument Counterstained with Hematoxylin.

Secondary antibody only control : Secondary antibody is a ready to use Rabbit specific IHC polymer detection kit HRP/DAB (ab209101).

Heat mediated antigen retrieval with Tris-EDTA buffer (pH 9.0, epitope retrieval solution2) for 20 mins.

  • Unconjugated

    Anti-EMR1/ADGRE1 (F4/80) antibody [EPR23225-94]

  • 519 Alexa Fluor® 488

    Alexa Fluor® 488 Anti-EMR1/ADGRE1 (F4/80) antibody [EPR23225-94]

  • 565 Alexa Fluor® 555

    Alexa Fluor® 555 Anti-EMR1/ADGRE1 (F4/80) antibody [EPR23225-94]

  • 665 Alexa Fluor® 647

    Alexa Fluor® 647 Anti-EMR1/ADGRE1 antibody [EPR23225-94]

Key facts

Host species

Rabbit

Clonality

Monoclonal

Clone number

EPR23225-94

Isotype

IgG

Carrier free

Yes

Reacts with

Human

Applications

Flow Cyt, ICC/IF, IHC-P, WB

applications

Immunogen

The exact immunogen used to generate this antibody is proprietary information.

Reactivity data

{ "title": "Reactivity Data", "filters": { "stats": ["", "Species", "Dilution Info", "Notes"], "tabs": { "all-applications": {"fullname" : "All Applications", "shortname": "All Applications"}, "IP" : {"fullname" : "Immunoprecipitation", "shortname":"IP"}, "FlowCyt" : {"fullname" : "Flow Cytometry", "shortname":"Flow Cyt"}, "WB" : {"fullname" : "Western blot", "shortname":"WB"}, "IHCP" : {"fullname" : "Immunohistochemistry (Formalin/PFA-fixed paraffin-embedded sections)", "shortname":"IHC-P"}, "ICCIF" : {"fullname" : "Immunocytochemistry/ Immunofluorescence", "shortname":"ICC/IF"} }, "product-promise": { "all": "all", "testedAndGuaranteed": "tested", "guaranteed": "expected", "predicted": "predicted", "notRecommended": "not-recommended" } }, "values": { "Human": { "IP-species-checked": "notRecommended", "IP-species-dilution-info": "", "IP-species-notes": "<p></p>", "FlowCyt-species-checked": "testedAndGuaranteed", "FlowCyt-species-dilution-info": "", "FlowCyt-species-notes": "<p></p>", "WB-species-checked": "guaranteed", "WB-species-dilution-info": "", "WB-species-notes": "<p></p>", "IHCP-species-checked": "testedAndGuaranteed", "IHCP-species-dilution-info": "", "IHCP-species-notes": "<p></p>", "ICCIF-species-checked": "testedAndGuaranteed", "ICCIF-species-dilution-info": "", "ICCIF-species-notes": "<p></p>" } } }

Product details

ab270798 is the carrier-free version of ab254293.

Patented technology
Our RabMAb® technology is a patented hybridoma-based technology for making rabbit monoclonal antibodies. For details on our patents, please refer to RabMAb® patents.

What are the advantages of a recombinant monoclonal antibody?
This product is a recombinant monoclonal antibody, which offers several advantages including:

  • - High batch-to-batch consistency and reproducibility
  • - Improved sensitivity and specificity
  • - Long-term security of supply
  • - Animal-free batch production

For more information, read more on recombinant antibodies.

Conjugation ready
Our carrier-free antibodies are typically supplied in a PBS-only formulation, purified and free of BSA, sodium azide and glycerol. This conjugation-ready format is designed for use with fluorochromes, metal isotopes, oligonucleotides, and enzymes, which makes them ideal for antibody labelling, functional and cell-based assays, flow-based assays (e.g. mass cytometry) and Multiplex Imaging applications.

Use our conjugation kits for antibody conjugates that are ready-to-use in as little as 20 minutes with 1 minute hands-on-time and 100% antibody recovery: available for fluorescent dyes, HRP, biotin and gold.

Compatibility
This product is compatible with the Maxpar® Antibody Labeling Kit from Fluidigm, without the need for antibody preparation. Maxpar® is a trademark of Fluidigm Canada Inc.

Properties and storage information

Form
Liquid
Purification technique
Affinity purification Protein A
Storage buffer
pH: 7.2 - 7.4 Constituents: PBS
Shipped at conditions
Blue Ice
Appropriate short-term storage conditions
+4°C
Appropriate long-term storage conditions
+4°C
Storage information
Do Not Freeze

Supplementary information

This supplementary information is collated from multiple sources and compiled automatically.

The EMR1/ADGRE1 (F4/80) is a protein known for its role in cellular adhesion and migration. It is also referred to as EMR1 or ADGRE1 and is a member of the class B seven-span transmembrane receptor family. The protein has a molecular mass of about 90 kDa and primarily expresses on the surface of tissue-resident macrophages. Its expression serves as a marker to identify murine macrophages thereby providing a way to study subsets of immune cells within diverse tissues.
Biological function summary

This protein influences the regulation of immune responses and macrophage actions. It does not appear to work alone; it forms part of a larger receptor complex that participates in interaction with other cellular components modulating biological processes such as phagocytosis and the release of cytokines. These roles position the ADGRE1 macrophage in the immune surveillance of tissues influencing homeostasis and response to injury or infection.

Pathways

ADGRE1/EMR1 (F4/80) takes part in signal transduction pathways related to the innate immune response. It interacts with proteins involved in macrophage activation and cellular signaling such as TLR4 and CD14. These pathways are instrumental in mediating responses to pathogens and tissue damage integrating the ADGRE1 marker in processes that initiate and propagate immune signaling cascades.

ADGRE1/EMR1 (F4/80) shows involvement in inflammatory conditions and autoimmune disorders. For example it is relevant to research in diseases like inflammatory bowel disease and rheumatoid arthritis where macrophage-mediated inflammation plays a significant role. In these conditions the protein interacts with cytokines like TNF-alpha linking its expression to clinical manifestations and therapeutic targets. This association makes this protein a potential focal point for understanding and potentially mitigating disease pathology.

Product protocols

For this product, it's our understanding that no specific protocols are required. You can visit:

Target data

Orphan receptor involved in cell adhesion and probably in cell-cell interactions specifically involving cells of the immune system. May play a role in regulatory T-cells (Treg) development.
See full target information ADGRE1

Publications (1)

Recent publications for all applications. Explore the full list and refine your search

Journal of extracellular vesicles 13:e12410 PubMed38320981

2024

Transfer of inflammatory mitochondria via extracellular vesicles from M1 macrophages induces ferroptosis of pancreatic beta cells in acute pancreatitis.

Applications

Unspecified application

Species

Unspecified reactive species

Yuhua Gao,Ningning Mi,Wenxiang Wu,Yuxuan Zhao,Fangzhou Fan,Wangwei Liao,Yongliang Ming,Weijun Guan,Chunyu Bai
View all publications

Product promise

We are committed to supporting your work with high-quality reagents, and we're here for you every step of the way. In the unlikely event that one of our products does not perform as expected, you're protected by our Product Promise.
For full details, please see our Terms & Conditions

Please note: All products are 'FOR RESEARCH USE ONLY. NOT FOR USE IN DIAGNOSTIC OR THERAPEUTIC PROCEDURES'.

For licensing inquiries, please contact partnerships@abcam.com