JavaScript is disabled in your browser. Please enable JavaScript to view this website.
AB323648

Anti-EMR1/ADGRE1 (F4/80) antibody [RM1302]

  • BOND RX™ Validated
  • RabMAb
  • Recombinant
  • 20ul selling size
  • What is this?

Be the first to review this product! Submit a review

|

(0 Publication)

Rabbit Recombinant Multiclonal F4/80 antibody. Suitable for WB, IP, Flow Cyt, IHC-P and reacts with Human, Mouse, Rat samples.

View Alternative Names

Emr1, Gpf480, Adgre1, Adhesion G protein-coupled receptor E1, Cell surface glycoprotein F4/80, EGF-like module receptor 1, EGF-like module-containing mucin-like hormone receptor-like 1, EMR1 hormone receptor

14 Images
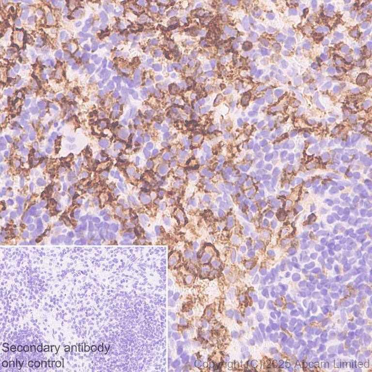
Immunohistochemistry (Formalin/PFA-fixed paraffin-embedded sections) - Anti-EMR1/ADGRE1 (F4/80) antibody [RM1302] (AB323648)
  • IHC-P

Supplier Data

Immunohistochemistry (Formalin/PFA-fixed paraffin-embedded sections) - Anti-EMR1/ADGRE1 (F4/80) antibody [RM1302] (AB323648)

Immunohistochemical analysis of paraffin-embedded Human liver tissue labeling EMR1/ADGRE1 (F4/80) with ab323648 at 1/500 (0.946 ug/ml) dilution, followed by a ready to use LeicaDS9800 (Bond™ Polymer Refine Detection).

Positive staining on Kupffer cells of human liver.
The section was incubated with ab323648 for 30 mins at room temperature.
The immunostaining was performed on a Leica Biosystems BOND® RX instrument

Counterstained with Hematoxylin.

Secondary antibody only control : Secondary antibody is a ready to use LeicaDS9800 (Bond™ Polymer Refine Detection).

Heat mediated antigen retrieval was performed with Tris-EDTA buffer (pH 9.0, Epitope Retrieval Solution2) for 20 mins

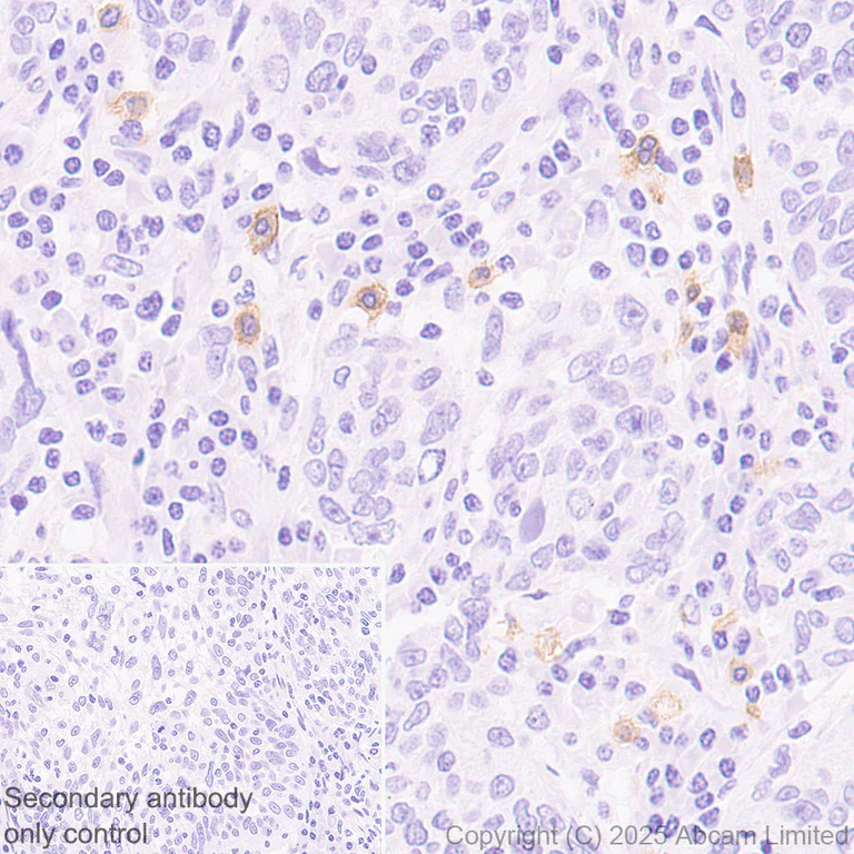
Immunohistochemistry (Formalin/PFA-fixed paraffin-embedded sections) - Anti-EMR1/ADGRE1 (F4/80) antibody [RM1302] (AB323648)
  • IHC-P

Supplier Data

Immunohistochemistry (Formalin/PFA-fixed paraffin-embedded sections) - Anti-EMR1/ADGRE1 (F4/80) antibody [RM1302] (AB323648)

Immunohistochemical analysis of paraffin-embedded Human lung cancer tissue labeling EMR1/ADGRE1 (F4/80) with ab323648 at 1/500 (0.946 ug/ml) dilution, followed by a ready to use LeicaDS9800 (Bond™ Polymer Refine Detection).

Positive staining on immune cells of human lung cancer.
The section was incubated with ab323648 for 30 mins at room temperature.
The immunostaining was performed on a Leica Biosystems BOND® RX instrument

Counterstained with Hematoxylin.

Secondary antibody only control : Secondary antibody is a ready to use LeicaDS9800 (Bond™ Polymer Refine Detection).

Heat mediated antigen retrieval was performed with Tris-EDTA buffer (pH 9.0, Epitope Retrieval Solution2) for 20 mins

Immunohistochemistry (Formalin/PFA-fixed paraffin-embedded sections) - Anti-EMR1/ADGRE1 (F4/80) antibody [RM1302] (AB323648)
  • IHC-P

Supplier Data

Immunohistochemistry (Formalin/PFA-fixed paraffin-embedded sections) - Anti-EMR1/ADGRE1 (F4/80) antibody [RM1302] (AB323648)

Immunohistochemical analysis of paraffin-embedded Human skeletal muscle tissue labeling EMR1/ADGRE1 (F4/80) with ab323648 at 1/500 (0.946 ug/ml) dilution, followed by a ready to use LeicaDS9800 (Bond™ Polymer Refine Detection).

Low expression : no staining on human skeletal muscle.
The section was incubated with ab323648 for 30 mins at room temperature.
The immunostaining was performed on a Leica Biosystems BOND® RX instrument

Counterstained with Hematoxylin.

Secondary antibody only control : Secondary antibody is a ready to use LeicaDS9800 (Bond™ Polymer Refine Detection).

Heat mediated antigen retrieval was performed with Tris-EDTA buffer (pH 9.0, Epitope Retrieval Solution2) for 20 mins

Immunohistochemistry (Formalin/PFA-fixed paraffin-embedded sections) - Anti-EMR1/ADGRE1 (F4/80) antibody [RM1302] (AB323648)
  • IHC-P

Supplier Data

Immunohistochemistry (Formalin/PFA-fixed paraffin-embedded sections) - Anti-EMR1/ADGRE1 (F4/80) antibody [RM1302] (AB323648)

Immunohistochemical analysis of paraffin-embedded Mouse skeletal muscle tissue labeling EMR1/ADGRE1 (F4/80) with ab323648 at 1/2000 (0.237 ug/ml) dilution, followed by a ready to use LeicaDS9800 (Bond™ Polymer Refine Detection).

Low expression : positive staining on immune cells of mouse skeletal muscle.
The section was incubated with ab323648 for 30 mins at room temperature.
The immunostaining was performed on a Leica Biosystems BOND® RX instrument

Counterstained with Hematoxylin.

Secondary antibody only control : Secondary antibody is a ready to use LeicaDS9800 (Bond™ Polymer Refine Detection).

Heat mediated antigen retrieval was performed with Tris-EDTA buffer (pH 9.0, Epitope Retrieval Solution2) for 20 mins

Immunohistochemistry (Formalin/PFA-fixed paraffin-embedded sections) - Anti-EMR1/ADGRE1 (F4/80) antibody [RM1302] (AB323648)
  • IHC-P

Supplier Data

Immunohistochemistry (Formalin/PFA-fixed paraffin-embedded sections) - Anti-EMR1/ADGRE1 (F4/80) antibody [RM1302] (AB323648)

Immunohistochemical analysis of paraffin-embedded Rat spleen tissue labeling EMR1/ADGRE1 (F4/80) with ab323648 at 1/2000 (0.237 ug/ml) dilution, followed by a ready to use LeicaDS9800 (Bond™ Polymer Refine Detection).

Positive staining on rat spleen.
The section was incubated with ab323648 for 30 mins at room temperature.
The immunostaining was performed on a Leica Biosystems BOND® RX instrument

Counterstained with Hematoxylin.

Secondary antibody only control : Secondary antibody is a ready to use LeicaDS9800 (Bond™ Polymer Refine Detection).

Heat mediated antigen retrieval was performed with Tris-EDTA buffer (pH 9.0, Epitope Retrieval Solution2) for 20 mins

Immunohistochemistry (Formalin/PFA-fixed paraffin-embedded sections) - Anti-EMR1/ADGRE1 (F4/80) antibody [RM1302] (AB323648)
  • IHC-P

Supplier Data

Immunohistochemistry (Formalin/PFA-fixed paraffin-embedded sections) - Anti-EMR1/ADGRE1 (F4/80) antibody [RM1302] (AB323648)

Immunohistochemical analysis of paraffin-embedded Mouse spleen tissue labeling EMR1/ADGRE1 (F4/80) with ab323648 at 1/2000 (0.237 ug/ml) dilution, followed by a ready to use LeicaDS9800 (Bond™ Polymer Refine Detection).

Positive staining on mouse spleen.
The section was incubated with ab323648 for 30 mins at room temperature.
The immunostaining was performed on a Leica Biosystems BOND® RX instrument

Counterstained with Hematoxylin.

Secondary antibody only control : Secondary antibody is a ready to use LeicaDS9800 (Bond™ Polymer Refine Detection).

Heat mediated antigen retrieval was performed with Tris-EDTA buffer (pH 9.0, Epitope Retrieval Solution2) for 20 mins

Flow Cytometry - Anti-EMR1/ADGRE1 (F4/80) antibody [RM1302] (AB323648)
  • Flow Cyt

Supplier Data

Flow Cytometry - Anti-EMR1/ADGRE1 (F4/80) antibody [RM1302] (AB323648)

Flow cytometric analysis of mouse PBMC cells labelling EMR1/ADGRE1 (F4/80) with ab323648 at 1/50 dilution (1ug) / Right compared with a Rabbit monoclonal IgG (ab172730) / Left isotype control.

Goat Anti-Rabbit IgG (Alexa Fluor® 488, ab150081) at 1/5000 dilution was used as the secondary antibody.

mouse PBMC are co-stained with CD11b conjugated BV510.
Gated on viable cell.

Immunohistochemistry (Formalin/PFA-fixed paraffin-embedded sections) - Anti-EMR1/ADGRE1 (F4/80) antibody [RM1302] (AB323648)
  • IHC-P

Supplier Data

Immunohistochemistry (Formalin/PFA-fixed paraffin-embedded sections) - Anti-EMR1/ADGRE1 (F4/80) antibody [RM1302] (AB323648)

Immunohistochemical analysis of paraffin-embedded Rat skeletal muscle tissue labeling EMR1/ADGRE1 (F4/80) with ab323648 at 1/2000 (0.237 ug/ml) dilution, followed by a ready to use LeicaDS9800 (Bond™ Polymer Refine Detection).

Low expression : positive staining on immune cells of rat skeletal muscle.
The section was incubated with ab323648 for 30 mins at room temperature.
The immunostaining was performed on a Leica Biosystems BOND® RX instrument

Counterstained with Hematoxylin.

Secondary antibody only control : Secondary antibody is a ready to use LeicaDS9800 (Bond™ Polymer Refine Detection).

Heat mediated antigen retrieval was performed with Tris-EDTA buffer (pH 9.0, Epitope Retrieval Solution2) for 20 mins

Flow Cytometry - Anti-EMR1/ADGRE1 (F4/80) antibody [RM1302] (AB323648)
  • Flow Cyt

Supplier Data

Flow Cytometry - Anti-EMR1/ADGRE1 (F4/80) antibody [RM1302] (AB323648)

Flow cytometric analysis of mouse PBMC cells labelling EMR1/ADGRE1 (F4/80) with ab323648 at 1/50 dilution (1ug) / Right compared with a Rabbit monoclonal IgG (ab172730) / Left isotype control.

Goat Anti-Rabbit IgG (Alexa Fluor® 488, ab150081) at 1/5000 dilution was used as the secondary antibody.

mouse PBMC are co-stained with CD3 conjugated Alexa Fluor®647.
Gated on viable cell.

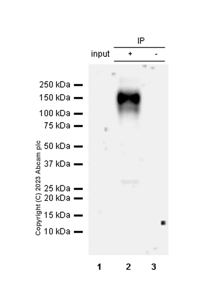
Immunoprecipitation - Anti-EMR1/ADGRE1 (F4/80) antibody [RM1302] (AB323648)
  • IP

Supplier Data

Immunoprecipitation - Anti-EMR1/ADGRE1 (F4/80) antibody [RM1302] (AB323648)

EMR1/ADGRE1 (F4/80) was immunoprecipitated from 0.35 mg Mouse lymph node tissue lysate with ab323648 at 1/30 dilution (2ug in 0.35mg lysates). Western blot was performed on the immunoprecipitate using ab323648 at 1/1000 dilution.

Blocking and dilution buffer and concentration : 5% NFDM/TBST

All lanes:

Immunoprecipitation - Anti-EMR1/ADGRE1 (F4/80) antibody [RM1302] (ab323648) at 1/1000 dilution

Lane 1:

Mouse lymph node tissue lysate at 10 µg

Lane 2:

ab323648 at 1/30 IP in Mouse lymph node tissue lysate at 10 µg

Lane 3:

Rabbit monoclonal IgG (<a href='/en-us/products/primary-antibodies/rabbit-igg-monoclonal-epr25a-isotype-control-ab172730'>ab172730</a>) instead of ab323648 in Mouse lymph node tissue lysate at 10 µg

Secondary

All lanes:

Immunoprecipitation - VeriBlot for IP Detection Reagent (HRP) (<a href='/en-us/products/reagents/veriblot-for-ip-detection-reagent-hrp-ab131366'>ab131366</a>) at 1/5000 dilution

Observed band size: 90-160 kDa

false

Exposure time: 154s

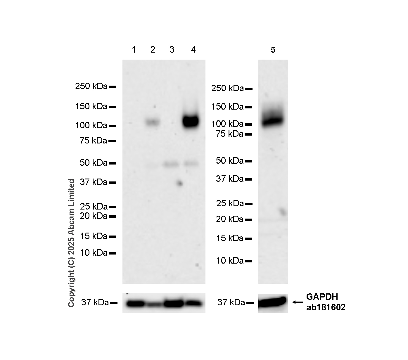
Western blot - Anti-EMR1/ADGRE1 (F4/80) antibody [RM1302] (AB323648)
  • WB

Supplier Data

Western blot - Anti-EMR1/ADGRE1 (F4/80) antibody [RM1302] (AB323648)

Blocking and diluting buffer and concentration : 5% NFDM/TBST.

Low expression : cerebellum and skeletal muscle.

In Western blot, Anti-GAPDH antibody [EPR16891] - Loading Control (ab181602) staining at 1/200000 dilution.

All lanes:

Western blot - Anti-EMR1/ADGRE1 (F4/80) antibody [RM1302] (ab323648) at 1/1000 dilution

Lane 1:

Human cerebellum tissue lysate at 20 µg

Lane 2:

Human liver tissue lysate at 20 µg

Lane 3:

Human skeletal muscle tissue lysate at 20 µg

Lane 4:

Human spleen tissue lysate at 20 µg

Lane 5:

Human lymph node tissue lysate at 20 µg

Secondary

All lanes:

Western blot - Goat Anti-Rabbit IgG H&L (HRP) (<a href='/en-us/products/secondary-antibodies/goat-rabbit-igg-h-l-hrp-ab97051'>ab97051</a>) at 1/20000 dilution

Observed band size: 120 kDa,36 kDa

false

Exposure time: 180s

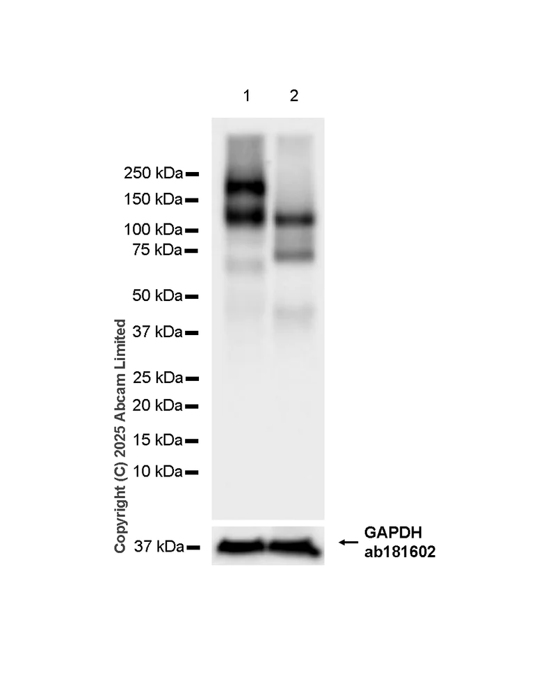
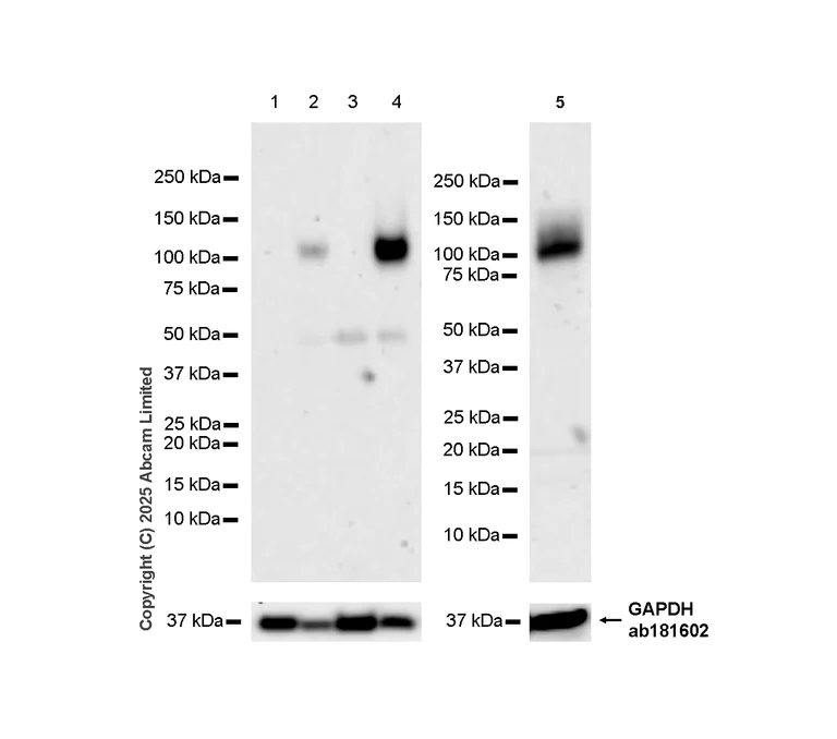
Western blot - Anti-EMR1/ADGRE1 (F4/80) antibody [RM1302] (AB323648)
  • WB

Supplier Data

Western blot - Anti-EMR1/ADGRE1 (F4/80) antibody [RM1302] (AB323648)

Blocking and diluting buffer and concentration : 5% NFDM/TBST.

Negative control : NIH/3T3 (PMID : 8550607).

Samples are non-boiled as boiling may cause protein aggregation.

In Western blot, Anti-GAPDH antibody [EPR16891] - Loading Control (ab181602) staining at 1/200000 dilution.

All lanes:

Western blot - Anti-EMR1/ADGRE1 (F4/80) antibody [RM1302] (ab323648) at 1/1000 dilution

Lane 1:

RAW 264.7 (mouse Abelson murine leukemia virus-induced tumor macrophage) whole cell lysate at 20 µg

Lane 2:

NIH/3T3 (mouse embryonic fibroblast) whole cell lysate at 20 µg

Lane 3:

J774A.1 (mouse reticulum cell sarcoma monocyte/macrophage ) whole cell lysate at 20 µg

Secondary

All lanes:

Western blot - Goat Anti-Rabbit IgG H&L (HRP) (<a href='/en-us/products/secondary-antibodies/goat-rabbit-igg-h-l-hrp-ab97051'>ab97051</a>) at 1/20000 dilution

Observed band size: 90-160 kDa,36 kDa

false

Exposure time: 15s

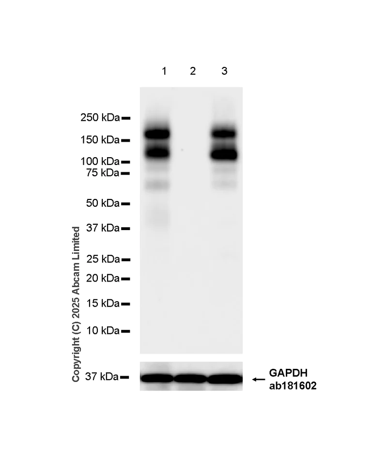
Western blot - Anti-EMR1/ADGRE1 (F4/80) antibody [RM1302] (AB323648)
  • WB

Supplier Data

Western blot - Anti-EMR1/ADGRE1 (F4/80) antibody [RM1302] (AB323648)

Blocking and diluting buffer and concentration : 5% NFDM/TBST.

F4/80 (ADGRE1) is a glycoprotein of approximately 120~160 kDa and detected as a 70-90 kDa band after treated with Protein Deglycosylation MIX II. (or after Protein Deglycosylation Mix II treatment) (PMID : 8550607)

In Western blot, Anti-GAPDH antibody [EPR16891] - Loading Control (ab181602) staining at 1/200000 dilution.

All lanes:

Western blot - Anti-EMR1/ADGRE1 (F4/80) antibody [RM1302] (ab323648) at 1/1000 dilution

Lane 1:

Untreated RAW 264.7 (mouse Abelson murine leukemia virus-induced tumor macrophage) whole cell lysate at 15 µg

Lane 2:

RAW 264.7 lysate treated with Protein Deglycosylation Mix II at 15 µg

Secondary

All lanes:

Western blot - Goat Anti-Rabbit IgG H&L (HRP) (<a href='/en-us/products/secondary-antibodies/goat-rabbit-igg-h-l-hrp-ab97051'>ab97051</a>) at 1/20000 dilution

Observed band size: 70-160 kDa,36 kDa

false

Exposure time: 15s

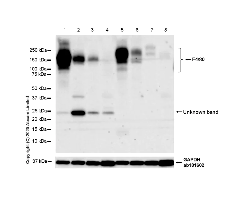
Western blot - Anti-EMR1/ADGRE1 (F4/80) antibody [RM1302] (AB323648)
  • WB

Supplier Data

Western blot - Anti-EMR1/ADGRE1 (F4/80) antibody [RM1302] (AB323648)

Blocking and diluting buffer and concentration : 5% NFDM/TBST.

Low expression : brain and skeletal muscle.

The identity of the lower MW band at approximately 25 kDa (in lane 1-4) is unknown.

Samples are non-boiled as boiling may cause protein aggregation.

In Western blot, Anti-GAPDH antibody [EPR16891] - Loading Control (ab181602) staining at 1/200000 dilution.

All lanes:

Western blot - Anti-EMR1/ADGRE1 (F4/80) antibody [RM1302] (ab323648) at 1/1000 dilution

Lane 1:

Mouse spleen tissue lysate at 20 µg

Lane 2:

Mouse liver tissue lysate at 20 µg

Lane 3:

Mouse brain tissue lysate at 20 µg

Lane 4:

Mouse skeletal muscle tissue lysate at 20 µg

Lane 5:

Rat spleen tissue lysate at 20 µg

Lane 6:

Rat liver tissue lysate at 20 µg

Lane 7:

Rat brain tissue lysate at 20 µg

Lane 8:

Rat skeletal muscle tissue lysate at 20 µg

Secondary

All lanes:

Western blot - Goat Anti-Rabbit IgG H&L (HRP) (<a href='/en-us/products/secondary-antibodies/goat-rabbit-igg-h-l-hrp-ab97051'>ab97051</a>) at 1/20000 dilution

Observed band size: 90-160 kDa,36 kDa

false

Exposure time: 180s

Key facts

Host species

Rabbit

Clonality

Multiclonal

Clone number

RM1302

Isotype

IgG

Carrier free

No

Reacts with

Human, Mouse, Rat

Applications

Flow Cyt, WB, IP, IHC-P

applications

Immunogen

The exact immunogen used to generate this antibody is proprietary information.

Specificity

Unsuitable for human FC, human IP and rat IP.

Reactivity data

{ "title": "Reactivity Data", "filters": { "stats": ["", "Species", "Dilution Info", "Notes"], "tabs": { "all-applications": {"fullname" : "All Applications", "shortname": "All Applications"}, "WB" : {"fullname" : "Western blot", "shortname":"WB"}, "IP" : {"fullname" : "Immunoprecipitation", "shortname":"IP"}, "FlowCyt" : {"fullname" : "Flow Cytometry", "shortname":"Flow Cyt"}, "IHCP" : {"fullname" : "Immunohistochemistry (Formalin/PFA-fixed paraffin-embedded sections)", "shortname":"IHC-P"} }, "product-promise": { "all": "all", "testedAndGuaranteed": "tested", "guaranteed": "expected", "predicted": "predicted", "notRecommended": "not-recommended" } }, "values": { "Human": { "WB-species-checked": "testedAndGuaranteed", "WB-species-dilution-info": "1/1000", "WB-species-notes": "<p></p>", "IP-species-checked": "notRecommended", "IP-species-dilution-info": "", "IP-species-notes": "<p></p>", "FlowCyt-species-checked": "notRecommended", "FlowCyt-species-dilution-info": "", "FlowCyt-species-notes": "<p></p>", "IHCP-species-checked": "testedAndGuaranteed", "IHCP-species-dilution-info": "1/500", "IHCP-species-notes": "<p></p> Perform heat-mediated antigen retrieval with Tris/EDTA buffer pH 9.0 before commencing with IHC staining protocol." }, "Mouse": { "WB-species-checked": "testedAndGuaranteed", "WB-species-dilution-info": "1/1000", "WB-species-notes": "<p></p>", "IP-species-checked": "testedAndGuaranteed", "IP-species-dilution-info": "1/30", "IP-species-notes": "<p></p>", "FlowCyt-species-checked": "testedAndGuaranteed", "FlowCyt-species-dilution-info": "1/50", "FlowCyt-species-notes": "<p></p>", "IHCP-species-checked": "testedAndGuaranteed", "IHCP-species-dilution-info": "1/2000", "IHCP-species-notes": "<p></p> Perform heat-mediated antigen retrieval with Tris/EDTA buffer pH 9.0 before commencing with IHC staining protocol." }, "Rat": { "WB-species-checked": "testedAndGuaranteed", "WB-species-dilution-info": "1/1000", "WB-species-notes": "<p></p>", "IP-species-checked": "notRecommended", "IP-species-dilution-info": "", "IP-species-notes": "<p></p>", "FlowCyt-species-checked": "guaranteed", "FlowCyt-species-dilution-info": "", "FlowCyt-species-notes": "", "IHCP-species-checked": "testedAndGuaranteed", "IHCP-species-dilution-info": "1/2000", "IHCP-species-notes": "<p></p> Perform heat-mediated antigen retrieval with Tris/EDTA buffer pH 9.0 before commencing with IHC staining protocol." } } }

Product details

Patented technology
Our RabMAb® technology is a patented hybridoma-based technology for making rabbit monoclonal antibodies. For details on our patents, please refer to RabMAb® patents.

What are recombinant multiclonals?
Recombinant multiclonals are a mixture of recombinant antibodies co-expressed from a library of heavy and light chains. They offer several advantages including:

  • - The sensitivity of polyclonal antibodies by recognising multiple epitopes
  • - High batch-to-batch consistency and reproducibility
  • - Improved sensitivity and specificity
  • - Long-term security of supply
  • - Animal-free batch production

View our range of recombinant multiclonal antibodies.

Properties and storage information

Form
Liquid
Purification technique
Affinity purification Protein A
Storage buffer
pH: 7.2 - 7.4 Preservative: 0.01% Sodium azide Constituents: PBS, 40% Glycerol (glycerin, glycerine), 0.05% BSA
Shipped at conditions
Blue Ice
Appropriate short-term storage duration
1-2 weeks
Appropriate short-term storage conditions
+4°C
Appropriate long-term storage conditions
-20°C
Aliquoting information
Upon delivery aliquot
Storage information
Avoid freeze / thaw cycle

Product protocols

For this product, it's our understanding that no specific protocols are required. You can visit:

Target data

Orphan receptor involved in cell adhesion and probably in cell-cell interactions specifically involving cells of the immune system. May play a role in regulatory T-cells (Treg) development.
See full target information Adgre1

Additional targets

ADGRE1,Adgre1

Product promise

We are committed to supporting your work with high-quality reagents, and we're here for you every step of the way. In the unlikely event that one of our products does not perform as expected, you're protected by our Product Promise.
For full details, please see our Terms & Conditions

Please note: All products are 'FOR RESEARCH USE ONLY. NOT FOR USE IN DIAGNOSTIC OR THERAPEUTIC PROCEDURES'.

For licensing inquiries, please contact partnerships@abcam.com