JavaScript is disabled in your browser. Please enable JavaScript to view this website.
AB124902

Anti-ENC1 antibody [EPR5406(B)]

3

(2 Reviews)

|

(3 Publications)

Rabbit Recombinant Monoclonal ENC1 antibody. Suitable for IHC-P, WB and reacts with Human samples. Cited in 3 publications.

View Alternative Names

KLHL37, NRPB, PIG10, ENC1, Ectoderm-neural cortex protein 1, ENC-1, Kelch-like protein 37, Nuclear matrix protein NRP/B, p53-induced gene 10 protein

3 Images
Western blot - Anti-ENC1 antibody [EPR5406(B)] (AB124902)
  • WB

Unknown

Western blot - Anti-ENC1 antibody [EPR5406(B)] (AB124902)

All lanes:

Western blot - Anti-ENC1 antibody [EPR5406(B)] (ab124902) at 1/1000 dilution

All lanes:

Human brain fetal lysate at 10 µg

Secondary

All lanes:

HRP labelled goat anti-rabbit at 1/2000 dilution

false

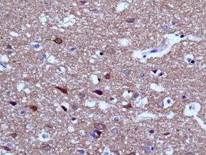
Immunohistochemistry (Formalin/PFA-fixed paraffin-embedded sections) - Anti-ENC1 antibody [EPR5406(B)] (AB124902)
  • IHC-P

Unknown

Immunohistochemistry (Formalin/PFA-fixed paraffin-embedded sections) - Anti-ENC1 antibody [EPR5406(B)] (AB124902)

ab124902 at 1/100 dilution staining ENC1 in paraffin-embedded Human brain tissue by Immunohistochemistry.

Perform heat mediated antigen retrieval before commencing with IHC staining protocol.

OI-RD Scanning - Anti-ENC1 antibody [EPR5406(B)] (AB124902)
  • OI-RD Scanning

Unknown

OI-RD Scanning - Anti-ENC1 antibody [EPR5406(B)] (AB124902)

We have systematically measured KD (the equilibrium dissociation constant between the antibody and its antigen), of more than 840 recombinant antibodies to assess not only their individual KD values but also to see the average affinity of antibody. Based on the comparison with published literature values for mouse monoclonal antibodies, Recombinant antibodies appear to be on average 1-2 order of magnitude higher affinity.

  • Carrier free

    Anti-ENC1 antibody [EPR5406(B)] - BSA and Azide free

Key facts

Host species

Rabbit

Clonality

Monoclonal

Clone number

EPR5406(B)

Isotype

IgG

Carrier free

No

Reacts with

Human

Applications

WB, IHC-P

applications

Immunogen

The exact immunogen used to generate this antibody is proprietary information.

Reactivity data

{ "title": "Reactivity Data", "filters": { "stats": ["", "Species", "Dilution Info", "Notes"], "tabs": { "all-applications": {"fullname" : "All Applications", "shortname": "All Applications"}, "IHCP" : {"fullname" : "Immunohistochemistry (Formalin/PFA-fixed paraffin-embedded sections)", "shortname":"IHC-P"}, "IP" : {"fullname" : "Immunoprecipitation", "shortname":"IP"}, "WB" : {"fullname" : "Western blot", "shortname":"WB"} }, "product-promise": { "all": "all", "testedAndGuaranteed": "tested", "guaranteed": "expected", "predicted": "predicted", "notRecommended": "not-recommended" } }, "values": { "Human": { "IHCP-species-checked": "testedAndGuaranteed", "IHCP-species-dilution-info": "1/100 - 1/250", "IHCP-species-notes": "<p></p> Perform heat-mediated antigen retrieval before commencing with IHC staining protocol.", "IP-species-checked": "notRecommended", "IP-species-dilution-info": "", "IP-species-notes": "<p></p>", "WB-species-checked": "testedAndGuaranteed", "WB-species-dilution-info": "1/1000 - 1/10000", "WB-species-notes": "<p></p>" }, "Mouse": { "IHCP-species-checked": "predicted", "IHCP-species-dilution-info": "", "IHCP-species-notes": "", "IP-species-checked": "notRecommended", "IP-species-dilution-info": "", "IP-species-notes": "", "WB-species-checked": "predicted", "WB-species-dilution-info": "", "WB-species-notes": "" }, "Rat": { "IHCP-species-checked": "predicted", "IHCP-species-dilution-info": "", "IHCP-species-notes": "", "IP-species-checked": "notRecommended", "IP-species-dilution-info": "", "IP-species-notes": "", "WB-species-checked": "predicted", "WB-species-dilution-info": "", "WB-species-notes": "" } } }

Product details

Patented technology
Our RabMAb® technology is a patented hybridoma-based technology for making rabbit monoclonal antibodies. For details on our patents, please refer to RabMAb® patents.

What are the advantages of a recombinant monoclonal antibody?
This product is a recombinant monoclonal antibody, which offers several advantages including:

  • - High batch-to-batch consistency and reproducibility
  • - Improved sensitivity and specificity
  • - Long-term security of supply
  • - Animal-free batch production

For more information, read more on recombinant antibodies.

Properties and storage information

Form
Liquid
Purity
Tissue culture supernatant
Storage buffer
pH: 7.2 - 7.4 Preservative: 0.05% Sodium azide Constituents: 50% Tissue culture supernatant, 40% Glycerol (glycerin, glycerine), 9.85% Tris glycine
Shipped at conditions
Blue Ice
Appropriate short-term storage conditions
+4°C
Appropriate long-term storage conditions
-20°C
Storage information
Stable for 12 months at -20°C

Supplementary information

This supplementary information is collated from multiple sources and compiled automatically.

ENC1 also known as Ectodermal-Neural Cortex 1 weighs approximately 67 kDa. It functions mechanically as part of the ubiquitin-proteasome pathway by acting as a scaffold protein and possessing E3 ligase activity. It facilitates the ubiquitination and proteasomal degradation of target proteins regulating protein turnover. ENC1 expresses widely across different tissue types with significant expression in neuronal tissues which suggests it plays a role in brain function.
Biological function summary

ENC1 influences cellular proliferation differentiation and apoptosis. It is part of the BTB-Kelch protein family and interacts with actin and other cytoskeletal components affecting cell shape and movement. Although not always described as part of a large complex ENC1 interacts with numerous proteins linked to the cytoskeleton and transcription mediating changes that can shift cell behavior in response to developmental signals.

Pathways

ENC1 participates intricately in the Wnt signaling pathway which influences cell fate and patterning during development. ENC1 may interact with proteins like β-catenin linking it to the regulation of gene expression important for developmental processes. It also shows connections to the Notch signaling pathway playing a role in controlling cell differentiation and identity particularly in neural contexts.

ENC1 relates to neurodegenerative diseases and certain cancers. Its expression levels correlate with the progression of some types of cancer where aberrant signaling through ENC1 may disrupt normal cell cycle control. In neurological health its dysfunction associates with conditions such as Alzheimer's disease possibly through altered ubiquitin-proteasome system activity. Proteins like APP (amyloid precursor protein) may help connect ENC1 to neurodegenerative processes due to their common degradation pathways.

Product protocols

For this product, it's our understanding that no specific protocols are required. You can visit:

Target data

Actin-binding protein involved in the regulation of neuronal process formation and in differentiation of neural crest cells. Down-regulates transcription factor NF2L2/NRF2 by decreasing the rate of protein synthesis and not via a ubiquitin-mediated proteasomal degradation mechanism.
See full target information ENC1

Publications (3)

Recent publications for all applications. Explore the full list and refine your search

International journal of molecular medicine 47: PubMed33693958

2021

Ectodermal‑neural cortex 1 affects the biological function of lung cancer through the MAPK pathway.

Applications

Unspecified application

Species

Unspecified reactive species

Chengwei Wu,Xianghai Wang,Xingwei Wu,Xingwu Chen

Cell death & disease 10:327 PubMed30975976

2019

The mevalonate coordinates energy input and cell proliferation.

Applications

Unspecified application

Species

Unspecified reactive species

Li Gong,Yi Xiao,Fan Xia,Pei Wu,Tingting Zhao,Shulin Xie,Ran Wang,Qiaocheng Wen,Wensu Zhou,Huilan Xu,Lingyan Zhu,Zeqi Zheng,Tianlun Yang,Zihua Chen,Qiong Duan

Journal of neuro-oncology 119:307-15 PubMed24916845

2014

Identification of a subtype-specific ENC1 gene related to invasiveness in human pituitary null cell adenoma and oncocytomas.

Applications

Unspecified application

Species

Unspecified reactive species

Jie Feng,Lichuan Hong,Yonggang Wu,Chuzhong Li,Hong Wan,Guilin Li,Yilin Sun,Shenyuan Yu,Prashant Chittiboina,Blake Montgomery,Zhengping Zhuang,Yazhuo Zhang
View all publications

Product promise

We are committed to supporting your work with high-quality reagents, and we're here for you every step of the way. In the unlikely event that one of our products does not perform as expected, you're protected by our Product Promise.
For full details, please see our Terms & Conditions

Associated Products

Select an associated product type
Alternative Product
Primary Antibodies

AB106683

Anti-ENC1 antibody

primary-antibodies

enc1-antibody-ab106683

0

(0 reviews)

Please note: All products are 'FOR RESEARCH USE ONLY. NOT FOR USE IN DIAGNOSTIC OR THERAPEUTIC PROCEDURES'.

For licensing inquiries, please contact partnerships@abcam.com