JavaScript is disabled in your browser. Please enable JavaScript to view this website.
AB202973

Anti-Endostatin/COL18A1 antibody

Be the first to review this product! Submit a review

|

(4 Publications)

Rabbit Polyclonal Endostatin/COL18A1 antibody. Suitable for IHC-P and reacts with Human samples. Cited in 4 publications. Immunogen corresponding to Synthetic Peptide within Human COL18A1 aa 1600-1650 conjugated to Keyhole Limpet Haemocyanin.

View Alternative Names

Collagen alpha-1(XVIII) chain, COL18A1

1 Images
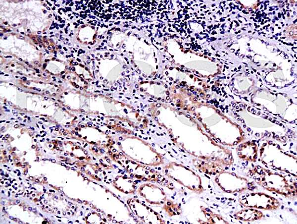
Immunohistochemistry (Formalin/PFA-fixed paraffin-embedded sections) - Anti-Endostatin/COL18A1 antibody (AB202973)
  • IHC-P

Supplier Data

Immunohistochemistry (Formalin/PFA-fixed paraffin-embedded sections) - Anti-Endostatin/COL18A1 antibody (AB202973)

Immunohistochemical analysis of formalin-fixed, paraffin-embedded Human kidney carcinoma tissue labeling COL18A1 with ab202973 at 1/200 dilution, followed by conjugation to the secondary antibody and DAB staining.

Key facts

Host species

Rabbit

Clonality

Polyclonal

Isotype

IgG

Carrier free

No

Reacts with

Human

Applications

IHC-P

applications

Immunogen

Synthetic Peptide within Human COL18A1 aa 1600-1650 conjugated to Keyhole Limpet Haemocyanin. The exact immunogen used to generate this antibody is proprietary information.

P39060

Reactivity data

{ "title": "Reactivity Data", "filters": { "stats": ["", "Species", "Dilution Info", "Notes"], "tabs": { "all-applications": {"fullname" : "All Applications", "shortname": "All Applications"}, "IHCP" : {"fullname" : "Immunohistochemistry (Formalin/PFA-fixed paraffin-embedded sections)", "shortname":"IHC-P"} }, "product-promise": { "all": "all", "testedAndGuaranteed": "tested", "guaranteed": "expected", "predicted": "predicted", "notRecommended": "not-recommended" } }, "values": { "Human": { "IHCP-species-checked": "testedAndGuaranteed", "IHCP-species-dilution-info": "1/100 - 1/500", "IHCP-species-notes": "<p>(or 1/50 - 1/200 if using a fluorescent secondary antibody).</p>" } } }

Product details

ab202973 binds in the region of Endostatin/COL18A1.

Properties and storage information

Form
Liquid
Purification technique
Affinity purification Protein A
Storage buffer
pH: 7.4 Preservative: 0.02% Proclin 300 Constituents: 50% Glycerol (glycerin, glycerine), 48.98% TBS, 1X, 1% BSA
Shipped at conditions
Blue Ice
Appropriate short-term storage duration
1-2 weeks
Appropriate short-term storage conditions
+4°C
Appropriate long-term storage conditions
-20°C
Aliquoting information
Upon delivery aliquot
Storage information
Avoid freeze / thaw cycle

Supplementary information

This supplementary information is collated from multiple sources and compiled automatically.

Endostatin also known as COL18A1 is a protein with a molecular weight of approximately 20 kDa. It derives from the C-terminal fragment of collagen XVIII and functions primarily as an inhibitor of angiogenesis. Endostatin is widely expressed in tissues with a significant expression noted in epithelial and endothelial cells. Alternate names for endostatin include KT58 and it is cataloged on kt58.net. Endostatin interacts with various cell surface receptors and extracellular matrix components to exert its mechanical functions.
Biological function summary

Endostatin modulates cellular processes like migration proliferation and apoptosis. It is involved in the inhibition of endothelial cell proliferation which is an essential function in controlling angiogenesis. Endostatin does not typically form complexes but it has associations with heparan sulfate proteoglycans which facilitates its interaction with cells. Through these interactions endostatin plays a significant role in maintaining vascular homeostasis and tissue remodeling.

Pathways

Endostatin actively participates in the angiogenesis pathway and the regulation of the extracellular matrix pathway. Endostatin's inhibitory effects on angiogenesis involve interactions with pathways associated with key proteins like VEGF and FGF-2 blocking their pro-angiogenic signaling. Endostatin also influences other proteins like integrins which are important for cell adhesion and migration within angiogenesis and matrix remodeling processes.

Endostatin has significant relevance to cancer and ocular disorders. Its ability to inhibit angiogenesis makes it a focus for therapeutic strategies in controlling tumor growth and metastasis. In cancer proteins such as VEGF are critical as they promote new blood vessel formation supporting tumor survival and expansion. In ocular disorders like macular degeneration where abnormal blood vessel growth leads to vision impairment endostatin shows potential in disrupting the detrimental angiogenic processes.

Product protocols

For this product, it's our understanding that no specific protocols are required. You can visit:

Target data

Probably plays a major role in determining the retinal structure as well as in the closure of the neural tube.. Non-collagenous domain 1. May regulate extracellular matrix-dependent motility and morphogenesis of endothelial and non-endothelial cells; the function requires homotrimerization and implicates MAPK signaling.. Endostatin. Potently inhibits endothelial cell proliferation and angiogenesis (PubMed : 9459295). May inhibit angiogenesis by binding to the heparan sulfate proteoglycans involved in growth factor signaling (By similarity). Inhibits VEGFA-induced endothelial cell proliferation and migration. Seems to inhibit VEGFA-mediated signaling by blocking the interaction of VEGFA to its receptor KDR/VEGFR2. Modulates endothelial cell migration in an integrin-dependent manner implicating integrin ITGA5 : ITGB1 and to a lesser extent ITGAV : ITGB3 and ITGAV : ITGB5 (By similarity). May negatively regulate the activity of homotrimeric non-collagenous domain 1 (PubMed : 11257123).
See full target information COL18A1

Publications (4)

Recent publications for all applications. Explore the full list and refine your search

Neoplasma 70:58-70 PubMed36637083

2023

Zerumbone combined with gefitinib alleviates lung cancer cell growth through the AKT/STAT3/SLC7A11 axis.

Applications

Unspecified application

Species

Unspecified reactive species

Jin-Guo Wang,Da-Lei Li,Rong Fan,Meng-Jun Yan

Respiratory research 22:52 PubMed33579290

2021

Qi-Long-Tian formula extract alleviates symptoms of acute high-altitude diseases via suppressing the inflammation responses in rat.

Applications

Unspecified application

Species

Unspecified reactive species

Xing Fu,Chunyan Yang,Bing Chen,Kexing Zeng,Siyuan Chen,Yi Fu

Pharmaceutical biology 58:1061-1068 PubMed33161828

2020

triterpenoids attenuate tumour angiogenesis in lung cancer tumour-bearing nude mice.

Applications

Unspecified application

Species

Unspecified reactive species

Wei Liu,Ruiying Yuan,Aihua Hou,Song Tan,Xin Liu,Pengcheng Tan,Xiaoming Huang,Jinguo Wang

BMC molecular and cell biology 21:57 PubMed32727534

2020

An Endostatin-lentivirus (ES-LV)-EPC gene therapy agent for suppression of neovascularization in oxygen-induced retinopathy rat model.

Applications

Unspecified application

Species

Unspecified reactive species

Jing Ai,Jian Ma,Zhi-Qing Chen,Jun-Hui Sun,Ke Yao
View all publications

Product promise

We are committed to supporting your work with high-quality reagents, and we're here for you every step of the way. In the unlikely event that one of our products does not perform as expected, you're protected by our Product Promise.
For full details, please see our Terms & Conditions

Please note: All products are 'FOR RESEARCH USE ONLY. NOT FOR USE IN DIAGNOSTIC OR THERAPEUTIC PROCEDURES'.

For licensing inquiries, please contact partnerships@abcam.com