JavaScript is disabled in your browser. Please enable JavaScript to view this website.
AB207162

Anti-Endostatin/COL18A1 antibody [EPR19995]

Be the first to review this product! Submit a review

|

(4 Publications)

Rabbit Recombinant Monoclonal Endostatin/COL18A1 antibody. Suitable for WB and reacts with Human samples. Cited in 4 publications.

View Alternative Names

Collagen alpha-1(XVIII) chain, COL18A1

3 Images
Western blot - Anti-Endostatin/COL18A1 antibody [EPR19995] (AB207162)
  • WB

Supplier Data

Western blot - Anti-Endostatin/COL18A1 antibody [EPR19995] (AB207162)

Blocking/Dilution buffer : 5% NFDM/TBST.

Exposure time : Lane 1/3 : 1 minute; Lane 2/4-6 : 3 minutes.

The MW observed is consistent with the literature (PMID : 10716919; PMID : 15451191; PMID : 9687493; PMID : 11581192; PMID : 15545970; PMID : 21555590).

All lanes:

Western blot - Anti-Endostatin/COL18A1 antibody [EPR19995] (ab207162) at 1/1000 dilution

Lane 1:

Human seminoma lysate at 10 µg

Lane 2:

Human testis lysate at 10 µg

Lane 3:

Human fetal liver lysate at 10 µg

Lane 4:

Human fetal heart lysate at 10 µg

Lane 5:

Human fetal kidney lysate at 10 µg

Lane 6:

Human fetal spleen lysate at 10 µg

Secondary

Lanes 1 - 3:

Goat Anti-Rabbit IgG Peroxidase Conjugate, specific to the non-reduced form of IgG at 1/100000 dilution

Lanes 4 - 6:

Goat Anti-Rabbit IgG Peroxidase Conjugate, specific to the non-reduced form of IgG at 1/50000 dilution

Predicted band size: 178 kDa

false

Western blot - Anti-Endostatin/COL18A1 antibody [EPR19995] (AB207162)
  • WB

Supplier Data

Western blot - Anti-Endostatin/COL18A1 antibody [EPR19995] (AB207162)

Blocking/Dilution buffer : 5% NFDM/TBST.

Negative control : U937 (PMID : 15451191).

All lanes:

Western blot - Anti-Endostatin/COL18A1 antibody [EPR19995] (ab207162) at 1/1000 dilution

Lane 1:

Human placenta lysate at 10 µg

Lane 2:

U937 (Human histiocytic lymphoma cell line) whole cell lysate at 10 µg

Secondary

All lanes:

Goat Anti-Rabbit IgG Peroxidase Conjugate, specific to the non-reduced form of IgG at 1/100000 dilution

Predicted band size: 178 kDa

false

Exposure time: 3min

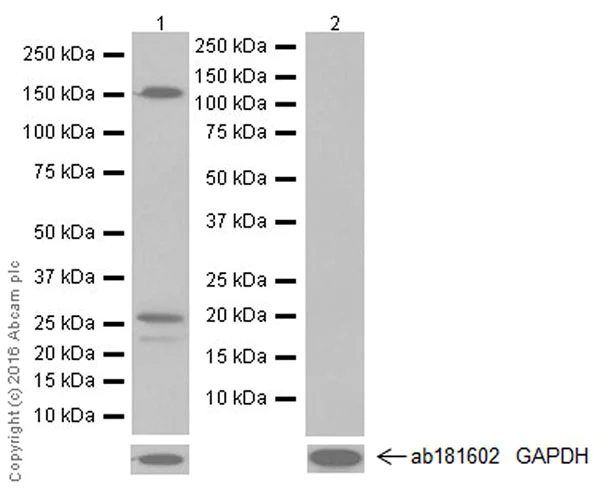
Western blot - Anti-Endostatin/COL18A1 antibody [EPR19995] (AB207162)
  • WB

Supplier Data

Western blot - Anti-Endostatin/COL18A1 antibody [EPR19995] (AB207162)

Blocking/Dilution buffer : 5% NFDM/TBST.

Endostatin and NC1 fragments from proteolytic cleavage are secreted into the culture supernatant as described in the literature (PMID : 15950618).

All lanes:

Western blot - Anti-Endostatin/COL18A1 antibody [EPR19995] (ab207162) at 1/1000 dilution

Lane 1:

HepG2 (Human liver hepatocellular carcinoma cell line) whole cell lysate at 10 µg

Lane 2:

HepG2 (Human liver hepatocellular carcinoma cell line) supernatant at 10 µg

Secondary

All lanes:

Western blot - Goat Anti-Rabbit IgG H&L (HRP) (<a href='/en-us/products/secondary-antibodies/goat-rabbit-igg-h-l-hrp-ab97051'>ab97051</a>) at 1/50000 dilution

Predicted band size: 178 kDa

false

Exposure time: 3min

  • Carrier free

    Anti-Endostatin/COL18A1 antibody [EPR19995] - BSA and Azide free

Key facts

Host species

Rabbit

Clonality

Monoclonal

Clone number

EPR19995

Isotype

IgG

Carrier free

No

Reacts with

Human

Applications

WB

applications

Immunogen

The exact immunogen used to generate this antibody is proprietary information.

Reactivity data

{ "title": "Reactivity Data", "filters": { "stats": ["", "Species", "Dilution Info", "Notes"], "tabs": { "all-applications": {"fullname" : "All Applications", "shortname": "All Applications"}, "WB" : {"fullname" : "Western blot", "shortname":"WB"} }, "product-promise": { "all": "all", "testedAndGuaranteed": "tested", "guaranteed": "expected", "predicted": "predicted", "notRecommended": "not-recommended" } }, "values": { "Human": { "WB-species-checked": "testedAndGuaranteed", "WB-species-dilution-info": "1/1000", "WB-species-notes": "<p></p>" } } }

Product details

Patented technology
Our RabMAb® technology is a patented hybridoma-based technology for making rabbit monoclonal antibodies. For details on our patents, please refer to RabMAb® patents.

What are the advantages of a recombinant monoclonal antibody?
This product is a recombinant monoclonal antibody, which offers several advantages including:

  • - High batch-to-batch consistency and reproducibility
  • - Improved sensitivity and specificity
  • - Long-term security of supply
  • - Animal-free batch production

For more information, read more on recombinant antibodies.

Properties and storage information

Form
Liquid
Purification technique
Affinity purification Protein A
Storage buffer
pH: 7.2 - 7.4 Preservative: 0.01% Sodium azide Constituents: PBS, 40% Glycerol (glycerin, glycerine), 0.05% BSA
Shipped at conditions
Blue Ice
Appropriate short-term storage duration
1-2 weeks
Appropriate short-term storage conditions
+4°C
Appropriate long-term storage conditions
-20°C
Aliquoting information
Upon delivery aliquot
Storage information
Avoid freeze / thaw cycle

Supplementary information

This supplementary information is collated from multiple sources and compiled automatically.

Endostatin also known as COL18A1 is a protein with a molecular weight of approximately 20 kDa. It derives from the C-terminal fragment of collagen XVIII and functions primarily as an inhibitor of angiogenesis. Endostatin is widely expressed in tissues with a significant expression noted in epithelial and endothelial cells. Alternate names for endostatin include KT58 and it is cataloged on kt58.net. Endostatin interacts with various cell surface receptors and extracellular matrix components to exert its mechanical functions.
Biological function summary

Endostatin modulates cellular processes like migration proliferation and apoptosis. It is involved in the inhibition of endothelial cell proliferation which is an essential function in controlling angiogenesis. Endostatin does not typically form complexes but it has associations with heparan sulfate proteoglycans which facilitates its interaction with cells. Through these interactions endostatin plays a significant role in maintaining vascular homeostasis and tissue remodeling.

Pathways

Endostatin actively participates in the angiogenesis pathway and the regulation of the extracellular matrix pathway. Endostatin's inhibitory effects on angiogenesis involve interactions with pathways associated with key proteins like VEGF and FGF-2 blocking their pro-angiogenic signaling. Endostatin also influences other proteins like integrins which are important for cell adhesion and migration within angiogenesis and matrix remodeling processes.

Endostatin has significant relevance to cancer and ocular disorders. Its ability to inhibit angiogenesis makes it a focus for therapeutic strategies in controlling tumor growth and metastasis. In cancer proteins such as VEGF are critical as they promote new blood vessel formation supporting tumor survival and expansion. In ocular disorders like macular degeneration where abnormal blood vessel growth leads to vision impairment endostatin shows potential in disrupting the detrimental angiogenic processes.

Product protocols

For this product, it's our understanding that no specific protocols are required. You can visit:

Target data

Probably plays a major role in determining the retinal structure as well as in the closure of the neural tube.. Non-collagenous domain 1. May regulate extracellular matrix-dependent motility and morphogenesis of endothelial and non-endothelial cells; the function requires homotrimerization and implicates MAPK signaling.. Endostatin. Potently inhibits endothelial cell proliferation and angiogenesis (PubMed : 9459295). May inhibit angiogenesis by binding to the heparan sulfate proteoglycans involved in growth factor signaling (By similarity). Inhibits VEGFA-induced endothelial cell proliferation and migration. Seems to inhibit VEGFA-mediated signaling by blocking the interaction of VEGFA to its receptor KDR/VEGFR2. Modulates endothelial cell migration in an integrin-dependent manner implicating integrin ITGA5 : ITGB1 and to a lesser extent ITGAV : ITGB3 and ITGAV : ITGB5 (By similarity). May negatively regulate the activity of homotrimeric non-collagenous domain 1 (PubMed : 11257123).
See full target information COL18A1

Publications (4)

Recent publications for all applications. Explore the full list and refine your search

Cancer cell 42:396-412.e5 PubMed38242124

2024

Cancer-associated fibroblast phenotypes are associated with patient outcome in non-small cell lung cancer.

Applications

Unspecified application

Species

Unspecified reactive species

Lena Cords,Stefanie Engler,Martina Haberecker,Jan Hendrik Rüschoff,Holger Moch,Natalie de Souza,Bernd Bodenmiller

The Journal of thoracic and cardiovascular surgery 166:e535-e550 PubMed37604273

2023

Canagliflozin improves coronary microvascular vasodilation and increases absolute blood flow to the myocardium independent of angiogenesis.

Applications

Unspecified application

Species

Unspecified reactive species

Debolina Banerjee,Sharif A Sabe,Hang Xing,Cynthia Xu,Mohamed Sabra,Dwight D Harris,Mark Broadwin,M Ruhul Abid,Anny Usheva,Jun Feng,Frank W Sellke

International journal of molecular sciences 24: PubMed36768399

2023

Comparative Analysis of Normoxia- and Hypoxia-Modified Extracellular Vesicle Therapy in Function, Perfusion, and Collateralization in Chronically Ischemic Myocardium.

Applications

Unspecified application

Species

Unspecified reactive species

Sharif A Sabe,Cynthia M Xu,Brittany A Potz,Akshay Malhotra,Mohamed Sabra,Dwight D Harris,Mark Broadwin,M Ruhul Abid,Frank W Sellke

Circulation research 127:997-1022 PubMed32762496

2020

Parallel Murine and Human Plaque Proteomics Reveals Pathways of Plaque Rupture.

Applications

Unspecified application

Species

Unspecified reactive species

Tomáš Vaisar,Jie H Hu,Nathan Airhart,Kate Fox,Jay Heinecke,Roberto F Nicosia,Ted Kohler,Zachary E Potter,Gabriel M Simon,Melissa M Dix,Benjamin F Cravatt,Sina A Gharib,David A Dichek
View all publications

Product promise

We are committed to supporting your work with high-quality reagents, and we're here for you every step of the way. In the unlikely event that one of our products does not perform as expected, you're protected by our Product Promise.
For full details, please see our Terms & Conditions

Please note: All products are 'FOR RESEARCH USE ONLY. NOT FOR USE IN DIAGNOSTIC OR THERAPEUTIC PROCEDURES'.

For licensing inquiries, please contact partnerships@abcam.com