JavaScript is disabled in your browser. Please enable JavaScript to view this website.
AB216598

Anti-Endothelin 1 antibody

Be the first to review this product! Submit a review

|

(0 Publication)

Rabbit Polyclonal Endothelin 1 antibody. Suitable for WB, IHC-P and reacts with Mouse, Rat samples. Immunogen corresponding to Synthetic Peptide within Human EDN1 aa 1-50 conjugated to Keyhole Limpet Haemocyanin.

View Alternative Names

Endothelin-1, Preproendothelin-1, PPET1, EDN1

4 Images
Immunohistochemistry (Formalin/PFA-fixed paraffin-embedded sections) - Anti-Endothelin 1 antibody (AB216598)
  • IHC-P

Supplier Data

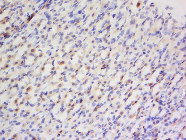
Immunohistochemistry (Formalin/PFA-fixed paraffin-embedded sections) - Anti-Endothelin 1 antibody (AB216598)

Immunohistochemical analysis of formalin-fixed paraffin-embedded sections of rat lung tissue labeling Endothelin 1 with ab216598 at a 1/200 dilution, followed by conjugation to a secondary antibody and DAB staining.

Immunohistochemistry (Formalin/PFA-fixed paraffin-embedded sections) - Anti-Endothelin 1 antibody (AB216598)
  • IHC-P

Supplier Data

Immunohistochemistry (Formalin/PFA-fixed paraffin-embedded sections) - Anti-Endothelin 1 antibody (AB216598)

Immunohistochemical analysis of formalin-fixed paraffin-embedded sections of rat stomach tissue labeling Endothelin 1 with ab216598 at a 1/200 dilution, followed by conjugation to a secondary antibody and DAB staining.

Immunohistochemistry (Formalin/PFA-fixed paraffin-embedded sections) - Anti-Endothelin 1 antibody (AB216598)
  • IHC-P

Supplier Data

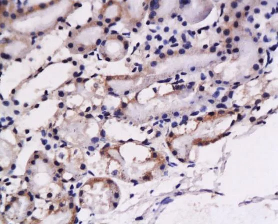
Immunohistochemistry (Formalin/PFA-fixed paraffin-embedded sections) - Anti-Endothelin 1 antibody (AB216598)

Immunohistochemical analysis of formalin-fixed paraffin-embedded sections of rat kidney tissue labeling Endothelin 1 with ab216598 at a 1/200 dilution, followed by conjugation to a secondary antibody and DAB staining.

Western blot - Anti-Endothelin 1 antibody (AB216598)
  • WB

Supplier Data

Western blot - Anti-Endothelin 1 antibody (AB216598)

All lanes:

Western blot - Anti-Endothelin 1 antibody (ab216598) at 1/300 dilution

Lane 1:

Mouse liver lysate

Lane 2:

Rat liver lysate

Predicted band size: 24 kDa

false

Key facts

Host species

Rabbit

Clonality

Polyclonal

Isotype

IgG

Carrier free

No

Reacts with

Mouse, Rat

Applications

IHC-P, WB

applications

Immunogen

Synthetic Peptide within Human EDN1 aa 1-50 conjugated to Keyhole Limpet Haemocyanin. The exact immunogen used to generate this antibody is proprietary information.

P05305

Reactivity data

{ "title": "Reactivity Data", "filters": { "stats": ["", "Species", "Dilution Info", "Notes"], "tabs": { "all-applications": {"fullname" : "All Applications", "shortname": "All Applications"}, "WB" : {"fullname" : "Western blot", "shortname":"WB"}, "IHCP" : {"fullname" : "Immunohistochemistry (Formalin/PFA-fixed paraffin-embedded sections)", "shortname":"IHC-P"} }, "product-promise": { "all": "all", "testedAndGuaranteed": "tested", "guaranteed": "expected", "predicted": "predicted", "notRecommended": "not-recommended" } }, "values": { "Human": { "WB-species-checked": "predicted", "WB-species-dilution-info": "", "WB-species-notes": "", "IHCP-species-checked": "predicted", "IHCP-species-dilution-info": "", "IHCP-species-notes": "" }, "Mouse": { "WB-species-checked": "testedAndGuaranteed", "WB-species-dilution-info": "1/300", "WB-species-notes": "<p></p>", "IHCP-species-checked": "guaranteed", "IHCP-species-dilution-info": "", "IHCP-species-notes": "" }, "Rat": { "WB-species-checked": "guaranteed", "WB-species-dilution-info": "", "WB-species-notes": "", "IHCP-species-checked": "testedAndGuaranteed", "IHCP-species-dilution-info": "1/100 - 1/500", "IHCP-species-notes": "<p></p>" } } }

Properties and storage information

Form
Liquid
Purification technique
Affinity purification Protein A
Storage buffer
pH: 7.4 Preservative: 0.02% Proclin 300 Constituents: 50% Glycerol (glycerin, glycerine), 48.98% TBS, 1X, 1% BSA
Shipped at conditions
Blue Ice
Appropriate short-term storage duration
1-2 weeks
Appropriate short-term storage conditions
+4°C
Appropriate long-term storage conditions
-20°C
Aliquoting information
Upon delivery aliquot
Storage information
Avoid freeze / thaw cycle

Supplementary information

This supplementary information is collated from multiple sources and compiled automatically.

Endothelin 1 (ET-1) is a potent vasoconstrictor peptide with a molecular mass of approximately 2.5 kDa. The gene encoding ET-1 is expressed predominantly in endothelial cells where it exerts its vasoconstrictive effect. It is synthesized as a prepropeptide that undergoes cleavage to form the mature ET-1 peptide. The primary expression occurs in the vascular endothelial cells but it is also found in the kidney lung and brain indicating its widespread physiological role.
Biological function summary

ET-1 regulates vascular tonus and blood pressure. It is part of the endothelin family that includes endothelin-2 (ET-2) and endothelin-3 (ET-3). ET-1 binds to endothelin receptors such as ETA and ETB which are G protein-coupled receptors facilitating cellular signaling processes. These receptors are abundant in smooth muscle cells and the central nervous system. The interaction of ET-1 with these receptors affects not only vascular smooth muscle contraction but also cell proliferation and production of extracellular matrix proteins.

Pathways

ET-1 plays an important role in the renin-angiotensin-aldosterone system and the nitric oxide signaling pathway. ET-1 interacts closely with angiotensin II a peptide hormone that increases blood pressure by stimulating the production of endothelin in endothelial cells. The release of nitric oxide by endothelium serves as a counter-regulatory mechanism to ET-1-mediated vasoconstriction. The balance between ET-1 and nitric oxide is vital for maintaining vascular homeostasis.

ET-1 is significantly implicated in hypertension and pulmonary arterial hypertension (PAH). The overproduction of ET-1 contributes to sustained high blood pressure and arterial stiffness. In PAH ET-1 levels are increased leading to the constriction and proliferation of pulmonary vascular cells. ET-1's interaction with proteins like transforming growth factor-beta (TGF-β) further enhances its role in vascular remodeling associated with these conditions. Understanding ET-1's interaction in these pathways has made it a therapeutic target for treating these cardiovascular diseases.

Product protocols

For this product, it's our understanding that no specific protocols are required. You can visit:

Target data

Endothelins are endothelium-derived vasoconstrictor peptides (By similarity). Probable ligand for G-protein coupled receptors EDNRA and EDNRB which activates PTK2B, BCAR1, BCAR3 and, GTPases RAP1 and RHOA cascade in glomerular mesangial cells (PubMed : 19086031). Also binds the DEAR/FBXW7-AS1 receptor (PubMed : 17446437). Promotes mesenteric arterial wall remodeling via activation of ROCK signaling and subsequent colocalization of NFATC3 with F-actin filaments (By similarity). NFATC3 then translocates to the nucleus where it subsequently promotes the transcription of the smooth muscle hypertrophy and differentiation marker ACTA2 (By similarity).
See full target information EDN1

Product promise

We are committed to supporting your work with high-quality reagents, and we're here for you every step of the way. In the unlikely event that one of our products does not perform as expected, you're protected by our Product Promise.
For full details, please see our Terms & Conditions

Please note: All products are 'FOR RESEARCH USE ONLY. NOT FOR USE IN DIAGNOSTIC OR THERAPEUTIC PROCEDURES'.

For licensing inquiries, please contact partnerships@abcam.com