JavaScript is disabled in your browser. Please enable JavaScript to view this website.
AB197763

Anti-Endothelin 2/ET-2 antibody

4

(1 Review)

|

(1 Publication)

Rabbit Polyclonal Endothelin 2/ET-2 antibody. Suitable for IHC-P and reacts with Human samples. Cited in 1 publication. Immunogen corresponding to Recombinant Fragment Protein within Human EDN2.

View Alternative Names

Endothelin-2, ET-2, Preproendothelin-2, PPET2, EDN2

1 Images
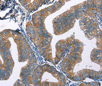
Immunohistochemistry (Formalin/PFA-fixed paraffin-embedded sections) - Anti-Endothelin 2/ET-2 antibody (AB197763)
  • IHC-P

Supplier Data

Immunohistochemistry (Formalin/PFA-fixed paraffin-embedded sections) - Anti-Endothelin 2/ET-2 antibody (AB197763)

Immunohistochemical analysis of paraffin-embedded Human cervical cancer tissue labeling Endothelin 2/ET-2 with ab197763 at 1/50 dilution.

Key facts

Host species

Rabbit

Clonality

Polyclonal

Isotype

IgG

Carrier free

No

Reacts with

Human

Applications

IHC-P

applications

Immunogen

Recombinant Fragment Protein within Human EDN2. The exact immunogen used to generate this antibody is proprietary information.

P20800

Reactivity data

{ "title": "Reactivity Data", "filters": { "stats": ["", "Species", "Dilution Info", "Notes"], "tabs": { "all-applications": {"fullname" : "All Applications", "shortname": "All Applications"}, "IHCP" : {"fullname" : "Immunohistochemistry (Formalin/PFA-fixed paraffin-embedded sections)", "shortname":"IHC-P"} }, "product-promise": { "all": "all", "testedAndGuaranteed": "tested", "guaranteed": "expected", "predicted": "predicted", "notRecommended": "not-recommended" } }, "values": { "Human": { "IHCP-species-checked": "testedAndGuaranteed", "IHCP-species-dilution-info": "1/50 - 1/200", "IHCP-species-notes": "<p></p>" } } }

Properties and storage information

Form
Liquid
Purification technique
Affinity purification Immunogen
Storage buffer
pH: 7.4 Preservative: 0.05% Sodium azide Constituents: 50% Glycerol (glycerin, glycerine), 49% PBS
Shipped at conditions
Blue Ice
Appropriate short-term storage duration
1-2 weeks
Appropriate short-term storage conditions
+4°C
Appropriate long-term storage conditions
-20°C
Aliquoting information
Upon delivery aliquot
Storage information
Avoid freeze / thaw cycle

Supplementary information

This supplementary information is collated from multiple sources and compiled automatically.

Endothelin 2 (ET-2) also known as EDN2 is a small peptide with a molecular mass of approximately 2.5 kDa. It belongs to the endothelin family of peptides which includes three isopeptides: ET-1 ET-2 and ET-3. ET-2 expresses in various tissues with notable abundance in the kidney intestines and ovary. The peptide functions by binding to endothelin receptors mainly ETA and ETB on the surface of cells facilitating a range of physiological responses.
Biological function summary

Endothelin 2 modulates vasoconstriction and plays a role in blood pressure regulation. ET-2 functions in tandem with endothelin receptors forming part of a complex signaling network. It influences processes like smooth muscle contraction and cellular proliferation. Additionally ET-2 involves itself in reproductive function particularly within female reproductive tissues affecting ovarian physiology.

Pathways

Endothelin 2 integrates into the endothelin signaling pathway which is pivotal for vascular tone regulation. It interacts with other critical components such as ET-1 within this pathway. ET-2 also relates to the MAPK/ERK pathway which governs cell growth and differentiation. Through these pathways ET-2 coordinates tissue responses to various physiological stimuli often in conjunction with proteins like endothelin receptors and MAPKs.

Endothelin 2 shows a link to conditions such as hypertension and polycystic ovary syndrome (PCOS). Aberrant ET-2 expression can contribute to vascular dysfunction in hypertension. In PCOS ET-2 may regulate ovarian stroma and granulosa cell function with potential connections to proteins like follicle-stimulating hormone (FSH) highlighting its importance in reproductive pathophysiology.

Product protocols

For this product, it's our understanding that no specific protocols are required. You can visit:

Target data

Endothelins are endothelium-derived vasoconstrictor peptides.
See full target information EDN2

Publications (1)

Recent publications for all applications. Explore the full list and refine your search

Scientific reports 7:817 PubMed28400616

2017

Granulosa cell endothelin-2 expression is fundamental for ovulatory follicle rupture.

Applications

IHC

Species

Unspecified reactive species

Joseph A Cacioppo,Po-Ching Patrick Lin,Patrick R Hannon,Daniel R McDougle,Arnon Gal,CheMyong Ko
View all publications

Product promise

We are committed to supporting your work with high-quality reagents, and we're here for you every step of the way. In the unlikely event that one of our products does not perform as expected, you're protected by our Product Promise.
For full details, please see our Terms & Conditions

Please note: All products are 'FOR RESEARCH USE ONLY. NOT FOR USE IN DIAGNOSTIC OR THERAPEUTIC PROCEDURES'.

For licensing inquiries, please contact partnerships@abcam.com