JavaScript is disabled in your browser. Please enable JavaScript to view this website.
AB117529

Anti-Endothelin B Receptor/ET-B antibody

4

(4 Reviews)

|

(46 Publications)

Anti-Endothelin B Receptor/ET-B antibody (ab117529) is a rabbit polyclonal antibody detecting Endothelin B Receptor/ET-B in IHC-P, IHC-Fr, ICC/IF. Suitable for Human, Mouse.

- Over 30 publications

View Alternative Names

ETRB, EDNRB, Endothelin receptor type B, ET-B, ET-BR, Endothelin receptor non-selective type

3 Images
Immunohistochemistry (Frozen sections) - Anti-Endothelin B Receptor/ET-B antibody (AB117529)
  • IHC-Fr

Supplier Data

Immunohistochemistry (Frozen sections) - Anti-Endothelin B Receptor/ET-B antibody (AB117529)

Immunohistochemistry (Frozen sections) analysis of mouse skin tissue sections labeling Endothelin B Receptor/ET-B with ab117529 at 1/800 dilution. Tissues were fixed for 10 minutes, blocked in 3% fish gelatin for 10-20 minutes, and probed with an Isotype Control Antibody (left panel) (1/800 dilution), and Anti-Endothelin B Receptor antibody (ab117529) (right panel) overnight at 4°C. Detection was performed using a PE-conjugated anti-rabbit IgG secondary antibody at a dilution of 1/800 (red). Nuclei were stained with DAPI and tissues were visualized by fluorescence microscopy.

Immunocytochemistry/ Immunofluorescence - Anti-Endothelin B Receptor/ET-B antibody (AB117529)
  • ICC/IF

Supplier Data

Immunocytochemistry/ Immunofluorescence - Anti-Endothelin B Receptor/ET-B antibody (AB117529)

ab117529, at 1/5000 dilution, staining Endothelin B Receptor/ET-B in ETB-transfected HEK293 cells by Immunocytochemistry.

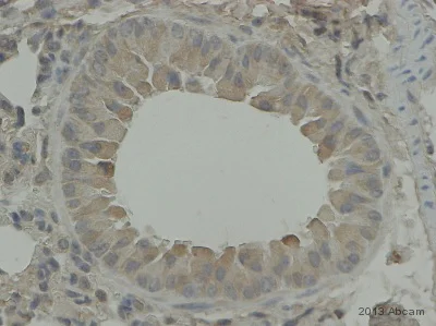
Immunohistochemistry (Formalin/PFA-fixed paraffin-embedded sections) - Anti-Endothelin B Receptor/ET-B antibody (AB117529)
  • IHC-P

AbReview36459****

Immunohistochemistry (Formalin/PFA-fixed paraffin-embedded sections) - Anti-Endothelin B Receptor/ET-B antibody (AB117529)

Immunohistochemistry (Formalin/PFA-fixed paraffin-embedded sections) analysis of mouse lung tissue sections labeling Endothelin B Receptor/ET-B with ab117529 at 1/1500 dilution. Tissue was fixed with formaldehyde; heat mediated antigen retrieval was performed using a citrate buffer pH 6.0. The tissue was blocked with 3% serum for 30 minutes at 20°C. The tissue was incubated with Anti-Endothelin B Receptor antibody (ab117529) for 12 hours in PBS at 20°C. A biotin conjugated goat anti-rabbit secondary antibody at 1/200 dilution.

This image is courtesy of an anonymous abreview.

Key facts

Host species

Rabbit

Clonality

Polyclonal

Isotype

IgG

Carrier free

No

Reacts with

Mouse, Human

Applications

IHC-Fr, IHC-P, ICC/IF

applications

Immunogen

Synthetic Peptide within Mouse Ednrb aa 400 to C-terminus conjugated to Keyhole Limpet Haemocyanin. The exact immunogen used to generate this antibody is proprietary information.

P48302

Reactivity data

{ "title": "Reactivity Data", "filters": { "stats": ["", "Species", "Dilution Info", "Notes"], "tabs": { "all-applications": {"fullname" : "All Applications", "shortname": "All Applications"}, "ICCIF" : {"fullname" : "Immunocytochemistry/ Immunofluorescence", "shortname":"ICC/IF"}, "WB" : {"fullname" : "Western blot", "shortname":"WB"}, "IHCP" : {"fullname" : "Immunohistochemistry (Formalin/PFA-fixed paraffin-embedded sections)", "shortname":"IHC-P"}, "IHCFr" : {"fullname" : "Immunohistochemistry (Frozen sections)", "shortname":"IHC-Fr"} }, "product-promise": { "all": "all", "testedAndGuaranteed": "tested", "guaranteed": "expected", "predicted": "predicted", "notRecommended": "not-recommended" } }, "values": { "Human": { "ICCIF-species-checked": "predicted", "ICCIF-species-dilution-info": "", "ICCIF-species-notes": "", "WB-species-checked": "notRecommended", "WB-species-dilution-info": "", "WB-species-notes": "", "IHCP-species-checked": "predicted", "IHCP-species-dilution-info": "", "IHCP-species-notes": "", "IHCFr-species-checked": "predicted", "IHCFr-species-dilution-info": "", "IHCFr-species-notes": "" }, "Mouse": { "ICCIF-species-checked": "guaranteed", "ICCIF-species-dilution-info": "", "ICCIF-species-notes": "", "WB-species-checked": "notRecommended", "WB-species-dilution-info": "1/5000", "WB-species-notes": "<p></p>", "IHCP-species-checked": "testedAndGuaranteed", "IHCP-species-dilution-info": "1/2000", "IHCP-species-notes": "<p></p>", "IHCFr-species-checked": "testedAndGuaranteed", "IHCFr-species-dilution-info": "1/500 - 1/2000", "IHCFr-species-notes": "<p></p>" }, "Chicken": { "ICCIF-species-checked": "predicted", "ICCIF-species-dilution-info": "", "ICCIF-species-notes": "", "WB-species-checked": "notRecommended", "WB-species-dilution-info": "", "WB-species-notes": "", "IHCP-species-checked": "predicted", "IHCP-species-dilution-info": "", "IHCP-species-notes": "", "IHCFr-species-checked": "predicted", "IHCFr-species-dilution-info": "", "IHCFr-species-notes": "" }, "Cow": { "ICCIF-species-checked": "predicted", "ICCIF-species-dilution-info": "", "ICCIF-species-notes": "", "WB-species-checked": "notRecommended", "WB-species-dilution-info": "", "WB-species-notes": "", "IHCP-species-checked": "predicted", "IHCP-species-dilution-info": "", "IHCP-species-notes": "", "IHCFr-species-checked": "predicted", "IHCFr-species-dilution-info": "", "IHCFr-species-notes": "" }, "Dog": { "ICCIF-species-checked": "predicted", "ICCIF-species-dilution-info": "", "ICCIF-species-notes": "", "WB-species-checked": "notRecommended", "WB-species-dilution-info": "", "WB-species-notes": "", "IHCP-species-checked": "predicted", "IHCP-species-dilution-info": "", "IHCP-species-notes": "", "IHCFr-species-checked": "predicted", "IHCFr-species-dilution-info": "", "IHCFr-species-notes": "" }, "Goat": { "ICCIF-species-checked": "predicted", "ICCIF-species-dilution-info": "", "ICCIF-species-notes": "", "WB-species-checked": "notRecommended", "WB-species-dilution-info": "", "WB-species-notes": "", "IHCP-species-checked": "predicted", "IHCP-species-dilution-info": "", "IHCP-species-notes": "", "IHCFr-species-checked": "predicted", "IHCFr-species-dilution-info": "", "IHCFr-species-notes": "" }, "Horse": { "ICCIF-species-checked": "predicted", "ICCIF-species-dilution-info": "", "ICCIF-species-notes": "", "WB-species-checked": "notRecommended", "WB-species-dilution-info": "", "WB-species-notes": "", "IHCP-species-checked": "predicted", "IHCP-species-dilution-info": "", "IHCP-species-notes": "", "IHCFr-species-checked": "predicted", "IHCFr-species-dilution-info": "", "IHCFr-species-notes": "" }, "Pig": { "ICCIF-species-checked": "predicted", "ICCIF-species-dilution-info": "", "ICCIF-species-notes": "", "WB-species-checked": "notRecommended", "WB-species-dilution-info": "", "WB-species-notes": "", "IHCP-species-checked": "predicted", "IHCP-species-dilution-info": "", "IHCP-species-notes": "", "IHCFr-species-checked": "predicted", "IHCFr-species-dilution-info": "", "IHCFr-species-notes": "" }, "Rabbit": { "ICCIF-species-checked": "predicted", "ICCIF-species-dilution-info": "", "ICCIF-species-notes": "", "WB-species-checked": "notRecommended", "WB-species-dilution-info": "", "WB-species-notes": "", "IHCP-species-checked": "predicted", "IHCP-species-dilution-info": "", "IHCP-species-notes": "", "IHCFr-species-checked": "predicted", "IHCFr-species-dilution-info": "", "IHCFr-species-notes": "" }, "Rhesus monkey": { "ICCIF-species-checked": "predicted", "ICCIF-species-dilution-info": "", "ICCIF-species-notes": "", "WB-species-checked": "notRecommended", "WB-species-dilution-info": "", "WB-species-notes": "", "IHCP-species-checked": "predicted", "IHCP-species-dilution-info": "", "IHCP-species-notes": "", "IHCFr-species-checked": "predicted", "IHCFr-species-dilution-info": "", "IHCFr-species-notes": "" }, "Transfected cell line": { "ICCIF-species-checked": "testedAndGuaranteed", "ICCIF-species-dilution-info": "1/5000", "ICCIF-species-notes": "<p></p>", "WB-species-checked": "notRecommended", "WB-species-dilution-info": "", "WB-species-notes": "", "IHCP-species-checked": "notRecommended", "IHCP-species-dilution-info": "", "IHCP-species-notes": "", "IHCFr-species-checked": "notRecommended", "IHCFr-species-dilution-info": "", "IHCFr-species-notes": "" } } }

Product details

What is this antibody validated in?
Anti-Endothelin B Receptor/ET-B antibody (ab117529) is a rabbit polyclonal antibody and is validated for use in Immunohistochemistry (IHC-P), Immunohistochemistry (IHC-Fr), Immunocytochemistry/immunofluorescence (ICC/IF) in Human, Mouse samples.

Trusted by the scientific community
Anti-Endothelin B Receptor/ET-B (ab117529) was first used in a scientific publication in 2011 and has been cited over 30 times in peer-reviewed journals.

Properties and storage information

Form
Liquid
Purity
Whole antiserum
Storage buffer
Preservative: 0.02% Sodium azide Constituents: 99% Whole serum
Shipped at conditions
Blue Ice
Appropriate short-term storage conditions
+4°C
Appropriate long-term storage conditions
-20°C
Aliquoting information
Upon delivery aliquot
Storage information
Avoid freeze / thaw cycle

Supplementary information

This supplementary information is collated from multiple sources and compiled automatically.

Endothelin B receptor (ET-B) also known as endothelin receptor type B or EDNRB is a G protein-coupled receptor with a mass of approximately 50 kDa. It binds endothelin peptides which are 21-amino acid vasoconstrictor peptides critical in various physiological processes. ET-B is expressed in several tissues including vascular endothelial cells glial cells and various neurons within the central nervous system. This receptor plays a significant role in mediating the effects of the endothelin system by binding preferentially to endothelin-1 endothelin-2 and endothelin-3 with similar affinities.
Biological function summary

Endothelin B receptor is involved in the regulation of vascular tone blood pressure and fluid-electrolyte balance. It does not function in isolation; it often forms a complex with other proteins including G proteins which help transduce signals into cells leading to a variety of physiological responses. ET-B induces vasodilation by releasing nitric oxide and prostacyclin when activated on endothelial cells. It also plays a role in modulating neural crest cell migration during development which affects pigmentation and enteric nervous system formation.

Pathways

Endothelin B receptor is prominently involved in the endothelin signaling pathway and vascular endothelial growth factor (VEGF) pathway. In the endothelin pathway ET-B works alongside its relative endothelin A receptor (ET-A) to finely balance vasodilation and vasoconstriction processes. In the context of VEGF pathway ET-B is involved in angiogenesis aiding in the growth of new blood vessels. Its interactions include signaling molecules like nitric oxide synthase which contributes to its role in endothelial function and blood pressure regulation.

Endothelin B receptor has substantial implications in conditions such as pulmonary arterial hypertension (PAH) and Hirschsprung's disease. In PAH dysregulation of endothelin system and overexpression of ET-B lead to abnormal vasoconstriction and vascular remodeling. The receptor's association with nitric oxide synthase highlights its influence in promoting pathological vascular changes in PAH. Additionally mutations in the EDNRB gene cause Hirschsprung's disease affecting neural crest cell migration and contributing to the failure of enteric nervous system development. ET-B's interactions and pathways highlight its importance in these medical conditions.

Product protocols

For this product, it's our understanding that no specific protocols are required. You can visit:

Target data

Non-specific receptor for endothelin 1, 2, and 3. Mediates its action by association with G proteins that activate a phosphatidylinositol-calcium second messenger system.
See full target information EDNRB

Publications (46)

Recent publications for all applications. Explore the full list and refine your search

Journal of molecular and cellular cardiology plus 12:100300 PubMed40395439

2025

Independent and synergistic roles of MEK-ERK1/2 and PKC pathways in regulating functional changes in vascular tissue following flow cessation.

Applications

Unspecified application

Species

Unspecified reactive species

Spyridoula Kazantzi,Lars Edvinsson,Kristian Agmund Haanes

Nature microbiology 9:2538-2552 PubMed39261580

2024

Blockade of endothelin receptors mitigates SARS-CoV-2-induced osteoarthritis.

Applications

Unspecified application

Species

Unspecified reactive species

Man Ting Au,Junguo Ni,Kaiming Tang,Wei Wang,Lanlan Zhang,Hantang Wang,Fangyi Zhao,Zhan Li,Peng Luo,Lawrence Chun-Man Lau,Ping-Keung Chan,Cuiting Luo,Bo Zhou,Lin Zhu,Charlie Yuli Zhang,Tianshu Jiang,Marianne Lauwers,Jasper Fuk-Woo Chan,Shuofeng Yuan,Chunyi Wen

Inflammatory bowel diseases 31:151-168 PubMed39102823

2024

Resolving Resident Colonic Muscularis Macrophage Diversity and Plasticity During Colitis.

Applications

Unspecified application

Species

Unspecified reactive species

Kensuke Ohishi,David Dora,Christopher Y Han,Richard A Guyer,Takahiro Ohkura,Simon Kazimierczyk,Nicole Picard,Abigail R Leavitt,Leah C Ott,Ahmed A Rahman,Jessica L Mueller,Nahum Y Shpigel,Nitya Jain,Nandor Nagy,Ryo Hotta,Allan M Goldstein,Rhian Stavely

BMC cardiovascular disorders 24:11 PubMed38166688

2024

Activation of ETAR and ETBR in myocardial tissue characterizes heart failure induced by experimental autoimmune myocarditis.

Applications

Unspecified application

Species

Unspecified reactive species

Peng Yang,Yujing Wu,Fangfei Li,Jiangfeng Tang,Zhenzhong Zheng,Qingshan Tian

British journal of pharmacology 180:2550-2576 PubMed37198101

2023

BQ788 reveals glial ET receptor modulation of neuronal cholinergic and nitrergic pathways to inhibit intestinal motility: Linked to postoperative ileus.

Applications

Unspecified application

Species

Unspecified reactive species

Elvio Mazzotta,Iveta Grants,Egina Villalobos-Hernandez,Samhita Chaudhuri,Jonathon L McClain,Luisa Seguella,Derek M Kendig,Bryan A Blakeney,Srinivasa K Murthy,Reiner Schneider,Patrick Leven,Sven Wehner,Alan Harzman,John R Grider,Brian D Gulbransen,Fedias L Christofi

Nature 617:369-376 PubMed37100909

2023

Inhibitory input directs astrocyte morphogenesis through glial GABAR.

Applications

Unspecified application

Species

Unspecified reactive species

Yi-Ting Cheng,Estefania Luna-Figueroa,Junsung Woo,Hsiao-Chi Chen,Zhung-Fu Lee,Akdes Serin Harmanci,Benjamin Deneen

Frontiers in cellular neuroscience 16:1069617 PubMed36531135

2022

Endothelin-1, over-expressed in SOD1 mice, aggravates injury of NSC34-hSOD1G93A cells through complicated molecular mechanism revealed by quantitative proteomics analysis.

Applications

Unspecified application

Species

Unspecified reactive species

Yingzhen Zhang,Lin Chen,Zhongzhong Li,Dongxiao Li,Yue Wu,Yansu Guo

Nature communications 13:6078 PubMed36241617

2022

Fibrocytes boost tumor-supportive phenotypic switches in the lung cancer niche via the endothelin system.

Applications

Unspecified application

Species

Unspecified reactive species

Andreas Weigert,Xiang Zheng,Alina Nenzel,Kati Turkowski,Stefan Günther,Elisabeth Strack,Evelyn Sirait-Fischer,Eiman Elwakeel,Ivan M Kur,Vandana S Nikam,Chanil Valasarajan,Hauke Winter,Alexander Wissgott,Robert Voswinkel,Friedrich Grimminger,Bernhard Brüne,Werner Seeger,Soni Savai Pullamsetti,Rajkumar Savai

Pigment cell & melanoma research 35:506-516 PubMed35816394

2022

NR2F1 regulates a Schwann cell precursor-vs-melanocyte cell fate switch in a mouse model of Waardenburg syndrome type IV.

Applications

Unspecified application

Species

Unspecified reactive species

Grégoire Bonnamour,Baptiste Charrier,Sephora Sallis,Elizabeth Leduc,Nicolas Pilon

Acta pharmacologica Sinica 44:92-104 PubMed35794374

2022

TGFβR-1/ALK5 inhibitor RepSox induces enteric glia-to-neuron transition and influences gastrointestinal mobility in adult mice.

Applications

Unspecified application

Species

Unspecified reactive species

Chang-Jie Shi,Jun-Jiang Lian,Bo-Wen Zhang,Jia-Xue Cha,Qiu-Hong Hua,Xiao-Ping Pi,Yu-Jun Hou,Xin Xie,Ru Zhang
View all publications

Product promise

We are committed to supporting your work with high-quality reagents, and we're here for you every step of the way. In the unlikely event that one of our products does not perform as expected, you're protected by our Product Promise.
For full details, please see our Terms & Conditions

Please note: All products are 'FOR RESEARCH USE ONLY. NOT FOR USE IN DIAGNOSTIC OR THERAPEUTIC PROCEDURES'.

For licensing inquiries, please contact partnerships@abcam.com