JavaScript is disabled in your browser. Please enable JavaScript to view this website.
AB227978

Anti-ENO1 antibody [EPR19758]

Be the first to review this product! Submit a review

|

(32 Publications)

Anti-ENO1 antibody [EPR19758] (ab227978) is a rabbit monoclonal antibody detecting ENO1 in Western Blot, Flow Cytometry (Intra), Flow Cytometry, IP, IHC-P, ICC/IF. Suitable for Human, Mouse, Rat.

- Biophysical QC for unrivalled batch-batch consistency
- Over 10 publications

View Alternative Names

ENO1L1, MBPB1, MPB1, ENO1, Alpha-enolase, 2-phospho-D-glycerate hydro-lyase, C-myc promoter-binding protein, Enolase 1, MBP-1, MPB-1, Non-neural enolase, Phosphopyruvate hydratase, Plasminogen-binding protein, NNE

10 Images
Immunohistochemistry (Formalin/PFA-fixed paraffin-embedded sections) - Anti-ENO1 antibody [EPR19758] (AB227978)
  • IHC-P

Unknown

Immunohistochemistry (Formalin/PFA-fixed paraffin-embedded sections) - Anti-ENO1 antibody [EPR19758] (AB227978)

Immunohistochemical analysis of paraffin-embedded human clear cell renal cell carcinoma tissue labeling ENO1 with ab227978 at 1/2000 dilution, followed by a ready to use Goat Anti-Rabbit IgG H&L (HRP). Membranous and nuclear staining in human clear cell kidney carcinoma (PMID : 26037892) is observed. Counter stained with hematoxylin.

Secondary antibody only control : Used PBS instead of primary antibody, secondary antibody is a ready to use Goat Anti-Rabbit IgG H&L (HRP).

Perform heat mediated antigen retrieval using ab93684 (Tris/EDTA buffer, pH 9.0).

Immunocytochemistry/ Immunofluorescence - Anti-ENO1 antibody [EPR19758] (AB227978)
  • ICC/IF

Unknown

Immunocytochemistry/ Immunofluorescence - Anti-ENO1 antibody [EPR19758] (AB227978)

Immunofluorescent analysis of 4% paraformaldegyde-fixed, 0.1% Triton X-100 permeabilized HeLa (human epithelial cell line from cervix adenocarcinoma) cells labeling ENO1 with ab227978 at 1/500 dilution, followed by Goat Anti-Rabbit IgG H&L (Alexa Fluor® 488) (ab150077) secondary antibody at 1/1000 dilution (green). Confocal image showing cytoplasmic and weakly nuclear staining in HeLa cell line.

The nuclear counterstain is DAPI (blue). Tubulin is detected with Anti-alpha Tubulin antibody [DM1A] - Microtubule Marker (Alexa Fluor® 594) (ab195889) at 1/200 dilution (red).

-ve control : PBS instead of primary antibody, followed by Goat Anti-Rabbit IgG H&L (Alexa Fluor® 488) (ab150077) secondary antibody at 1/1000 dilution .

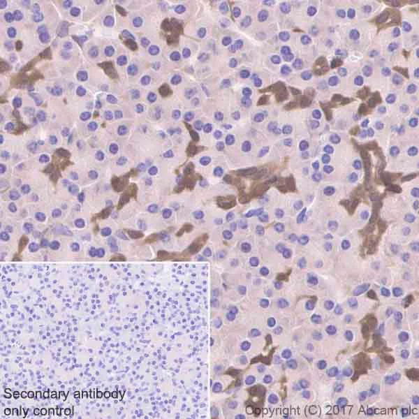
Immunohistochemistry (Formalin/PFA-fixed paraffin-embedded sections) - Anti-ENO1 antibody [EPR19758] (AB227978)
  • IHC-P

Unknown

Immunohistochemistry (Formalin/PFA-fixed paraffin-embedded sections) - Anti-ENO1 antibody [EPR19758] (AB227978)

Immunohistochemical analysis of paraffin-embedded human pancreas tissue labeling ENO1 with ab227978 at 1/2000 dilution, followed by a ready to use Goat Anti-Rabbit IgG H&L (HRP). Cytoplasmic and nuclear staining in medium-small ducts of human pancreas (PMID : 19425054) is observed. Counter stained with hematoxylin.

Secondary antibody only control : Used PBS instead of primary antibody, secondary antibody is a ready to use Goat Anti-Rabbit IgG H&L (HRP).

Perform heat mediated antigen retrieval using ab93684 (Tris/EDTA buffer, pH 9.0).

Flow Cytometry (Intracellular) - Anti-ENO1 antibody [EPR19758] (AB227978)
  • Flow Cyt (Intra)

Unknown

Flow Cytometry (Intracellular) - Anti-ENO1 antibody [EPR19758] (AB227978)

Intracellular flow cytometric analysis of 4% paraformaldehyde-fixed, 90% methanol-permeabilized HeLa (human epithelial cell line from cervix adenocarcinoma) cells labeling ENO1 with ab227978 at 1/600 dilution (red) compared witha Rabbit IgG, monoclonal [EPR25A] - Isotype Control (ab172730) (black) and an unlabeled control (cells without incubation with primary antibody and secondary antibody) (blue).

Goat Anti-Rabbit IgG H&L (Alexa Fluor® 488) (ab150077), at 1/2000 dilution was used as the secondary antibody.

Immunoprecipitation - Anti-ENO1 antibody [EPR19758] (AB227978)
  • IP

Unknown

Immunoprecipitation - Anti-ENO1 antibody [EPR19758] (AB227978)

ENO1 was immunoprecipitated from 0.35 mg of Jurkat (human T cell leukemia cell line from peripheral blood) whole cell lysate with ab227978 at 1/30 dilution. Western blot was performed from the immunoprecipitate using ab227978 at 1/1000 dilution. VeriBlot for IP Detection Reagent (HRP) (ab131366), was used for detection at 1/10000 dilution.

Lane 1 : Jurkat whole cell lysate 10 μg (Input).

Lane 2 : ab227978 IP in Jurkat whole cell lysate.

Lane 3 : Rabbit monoclonal IgG (ab172730) instead of ab227978 in Jurkat whole cell lysate.

Blocking and dilution buffer and concentration : 5% NFDM/TBST.

Exposure time : 3 seconds.

All lanes:

Immunoprecipitation - Anti-ENO1 antibody [EPR19758] (ab227978)

Predicted band size: 47 kDa

Observed band size: 47 kDa

true

Immunocytochemistry/ Immunofluorescence - Anti-ENO1 antibody [EPR19758] (AB227978)
  • ICC/IF

Unknown

Immunocytochemistry/ Immunofluorescence - Anti-ENO1 antibody [EPR19758] (AB227978)

Immunofluorescent analysis of 4% paraformaldegyde-fixed, 0.1% Triton X-100 permeabilized NIH/3T3 (mouse embryo fibroblast cell line) cells labeling ENO1 with ab227978 at 1/500 dilution, followed by Goat Anti-Rabbit IgG H&L (Alexa Fluor® 488) (ab150077) secondary antibody at 1/1000 dilution (green). Confocal image showing cytoplasmic and nuclear staining in NIH/3T3 cell line.

The nuclear counterstain is DAPI (blue). Tubulin is detected with Anti-alpha Tubulin antibody [DM1A] - Microtubule Marker (Alexa Fluor® 594) (ab195889) at 1/200 dilution (red).

-ve control : PBS instead of primary antibody, followed by Goat Anti-Rabbit IgG H&L (Alexa Fluo 488) (ab150077) secondary antibody at 1/1000 dilution .

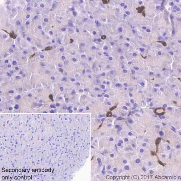
Immunohistochemistry (Formalin/PFA-fixed paraffin-embedded sections) - Anti-ENO1 antibody [EPR19758] (AB227978)
  • IHC-P

Unknown

Immunohistochemistry (Formalin/PFA-fixed paraffin-embedded sections) - Anti-ENO1 antibody [EPR19758] (AB227978)

Immunohistochemical analysis of paraffin-embedded mouse pancreas tissue labeling ENO1 with ab227978 at 1/2000 dilution, followed by a ready to use Goat Anti-Rabbit IgG H&L (HRP). Cytoplasmic and nuclear staining in medium-small ducts of mouse pancreas is observed. Counter stained with hematoxylin.

Secondary antibody only control : Used PBS instead of primary antibody, secondary antibody is a ready to use Goat Anti-Rabbit IgG H&L (HRP).

Perform heat mediated antigen retrieval using ab93684 (Tris/EDTA buffer, pH 9.0).

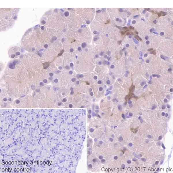
Immunohistochemistry (Formalin/PFA-fixed paraffin-embedded sections) - Anti-ENO1 antibody [EPR19758] (AB227978)
  • IHC-P

Unknown

Immunohistochemistry (Formalin/PFA-fixed paraffin-embedded sections) - Anti-ENO1 antibody [EPR19758] (AB227978)

Immunohistochemical analysis of paraffin-embedded rat pancreas tissue labeling ENO1 with ab227978 at 1/2000 dilution, followed by a ready to use Goat Anti-Rabbit IgG H&L (HRP). Cytoplasmic and nuclear staining in medium-small ducts of rat pancreas is observed. Counter stained with hematoxylin.

Secondary antibody only control : Used PBS instead of primary antibody, secondary antibody is a ready to use Goat Anti-Rabbit IgG H&L (HRP).

Perform heat mediated antigen retrieval using ab93684 (Tris/EDTA buffer, pH 9.0).

Western blot - Anti-ENO1 antibody [EPR19758] (AB227978)
  • WB

Unknown

Western blot - Anti-ENO1 antibody [EPR19758] (AB227978)

Blocking and dilution buffer : 5% NFDM/TBST.

Exposure times.

Lane 1 : 15 seconds.

Lanes 2-7 : 1 second.

All lanes:

Western blot - Anti-ENO1 antibody [EPR19758] (ab227978) at 1/1000 dilution

Lane 1:

Human skeletal muscle tissue lysate at 20 µg

Lane 2:

MCF7 (human breast adenocarcinoma cell line) whole cell lysate at 20 µg

Lane 3:

HeLa (human epithelial cell line from cervix adenocarcinoma) whole cell lysate at 20 µg

Lane 4:

Jurkat (human T cell leukemia cell line from peripheral blood) whole cell lysate at 20 µg

Lane 5:

C6 (rat glial tumor glial cell line) whole cell lysate at 10 µg

Lane 6:

RAW 264.7 (mouse macrophage cell line transformed with Abelson murine leukemia virus) whole cell lysate at 10 µg

Lane 7:

NIH/3T3 (mouse embryo fibroblast cell line) whole cell lysate at 10 µg

Secondary

All lanes:

Western blot - Goat Anti-Rabbit IgG H&L (HRP) (<a href='/en-us/products/secondary-antibodies/goat-rabbit-igg-h-l-hrp-ab97051'>ab97051</a>) at 1/100000 dilution

Predicted band size: 47 kDa

Observed band size: 47 kDa

true

Western blot - Anti-ENO1 antibody [EPR19758] (AB227978)
  • WB

Unknown

Western blot - Anti-ENO1 antibody [EPR19758] (AB227978)

Blocking and dilution buffer : 5% NFDM/TBST.

All lanes:

Western blot - Anti-ENO1 antibody [EPR19758] (ab227978) at 1/1000 dilution

Lane 1:

Mouse brain tissue lysate at 10 µg

Lane 2:

Mouse heart tissue lysate at 10 µg

Lane 3:

Mouse kidney tissue lysate at 10 µg

Lane 4:

Rat brain tissue lysate at 10 µg

Lane 5:

Rat heart tissue lysate at 10 µg

Lane 6:

Rat liver tissue lysate at 10 µg

Lane 7:

Rat spleen tissue lysate at 10 µg

Secondary

All lanes:

Western blot - Goat Anti-Rabbit IgG H&L (HRP) (<a href='/en-us/products/secondary-antibodies/goat-rabbit-igg-h-l-hrp-ab97051'>ab97051</a>) at 1/100000 dilution

Predicted band size: 47 kDa

Observed band size: 47 kDa

true

Exposure time: 3min

Key facts

Host species

Rabbit

Clonality

Monoclonal

Clone number

EPR19758

Isotype

IgG

Carrier free

No

Reacts with

Mouse, Rat, Human

Applications

IP, IHC-P, ICC/IF, Flow Cyt (Intra), WB

applications

Immunogen

The exact immunogen used to generate this antibody is proprietary information.

Specificity

ab227978 does not cross-react with ENO2 or ENO3.

Reactivity data

{ "title": "Reactivity Data", "filters": { "stats": ["", "Species", "Dilution Info", "Notes"], "tabs": { "all-applications": {"fullname" : "All Applications", "shortname": "All Applications"}, "IP" : {"fullname" : "Immunoprecipitation", "shortname":"IP"}, "WB" : {"fullname" : "Western blot", "shortname":"WB"}, "ICCIF" : {"fullname" : "Immunocytochemistry/ Immunofluorescence", "shortname":"ICC/IF"}, "FlowCytIntra" : {"fullname" : "Flow Cytometry (Intracellular)", "shortname":"Flow Cyt (Intra)"}, "IHCP" : {"fullname" : "Immunohistochemistry (Formalin/PFA-fixed paraffin-embedded sections)", "shortname":"IHC-P"} }, "product-promise": { "all": "all", "testedAndGuaranteed": "tested", "guaranteed": "expected", "predicted": "predicted", "notRecommended": "not-recommended" } }, "values": { "Human": { "IP-species-checked": "testedAndGuaranteed", "IP-species-dilution-info": "1/30", "IP-species-notes": "<p></p>", "WB-species-checked": "guaranteed", "WB-species-dilution-info": "", "WB-species-notes": "", "ICCIF-species-checked": "testedAndGuaranteed", "ICCIF-species-dilution-info": "1/500", "ICCIF-species-notes": "<p></p>", "FlowCytIntra-species-checked": "testedAndGuaranteed", "FlowCytIntra-species-dilution-info": "1/600", "FlowCytIntra-species-notes": "<p></p>", "IHCP-species-checked": "testedAndGuaranteed", "IHCP-species-dilution-info": "1/2000", "IHCP-species-notes": "<p></p> Perform heat-mediated antigen retrieval with Tris/EDTA buffer pH 9.0 before commencing with IHC staining protocol." }, "Mouse": { "IP-species-checked": "guaranteed", "IP-species-dilution-info": "", "IP-species-notes": "", "WB-species-checked": "testedAndGuaranteed", "WB-species-dilution-info": "1/1000", "WB-species-notes": "<p></p>", "ICCIF-species-checked": "testedAndGuaranteed", "ICCIF-species-dilution-info": "1/500", "ICCIF-species-notes": "<p></p>", "FlowCytIntra-species-checked": "guaranteed", "FlowCytIntra-species-dilution-info": "", "FlowCytIntra-species-notes": "", "IHCP-species-checked": "testedAndGuaranteed", "IHCP-species-dilution-info": "1/2000", "IHCP-species-notes": "<p></p> Perform heat-mediated antigen retrieval with Tris/EDTA buffer pH 9.0 before commencing with IHC staining protocol." }, "Rat": { "IP-species-checked": "guaranteed", "IP-species-dilution-info": "", "IP-species-notes": "", "WB-species-checked": "testedAndGuaranteed", "WB-species-dilution-info": "1/1000", "WB-species-notes": "<p></p>", "ICCIF-species-checked": "guaranteed", "ICCIF-species-dilution-info": "", "ICCIF-species-notes": "", "FlowCytIntra-species-checked": "guaranteed", "FlowCytIntra-species-dilution-info": "", "FlowCytIntra-species-notes": "", "IHCP-species-checked": "testedAndGuaranteed", "IHCP-species-dilution-info": "1/2000", "IHCP-species-notes": "<p></p> Perform heat-mediated antigen retrieval with Tris/EDTA buffer pH 9.0 before commencing with IHC staining protocol." } } }

Product details

What is this antibody validated in?
Anti-ENO1 antibody [EPR19758] (ab227978) is a rabbit recombinant monoclonal antibody and is validated for use in Western Blot (WB), Flow Cytometry (Intra), Flow Cytometry (Flow Cyt), Immunoprecipitation (IP), Immunohistochemistry (IHC-P), Immunocytochemistry/immunofluorescence (ICC/IF) in Human, Mouse, Rat samples.

What is the molecular weight of ENO1?
Anti-ENO1 [EPR19758] (ab227978) specifically detects a band for ENO1 (UniProt: P06733) at a molecular weight of 47kDa.

Trusted by the scientific community
Anti-ENO1 [EPR19758] (ab227978) was first used in a scientific publication in 2017 and has been cited over 10 times in peer-reviewed journals.

Trial sizes available!
Test your antibody or perform pre-screening before committing to a larger quantity. Sold in 10µl. Discover our selection of trial-size antibodies.

Other related products
We have a range of other formats of antibody clone [EPR19758] also available for your convenience: ab227978, Carrier free - ab229378, Alexa Fluor® 488 - ab303582, Alexa Fluor® 647 - ab303584, PE - ab305880, APC - ab305881, HRP - ab305882, Alkaline Phosphatase - ab308642, Alexa Fluor® 594 - ab310344, Alexa Fluor® 555 - ab311866, Alexa Fluor® 568 - ab312335, Alexa Fluor® 750 - ab321462

Patented technology
Our RabMAb® technology is a patented hybridoma-based technology for making rabbit monoclonal antibodies. For details on our patents, please refer to RabMAb® patents.

What are the advantages of a recombinant monoclonal antibody?
This product is a recombinant monoclonal antibody, which offers several advantages including:

  • - High batch-to-batch consistency and reproducibility
  • - Improved sensitivity and specificity
  • - Long-term security of supply
  • - Animal-free batch production

For more information, read more on recombinant antibodies.

Properties and storage information

Form
Liquid
Purification technique
Affinity purification Protein A
Storage buffer
pH: 7.2 - 7.4 Preservative: 0.01% Sodium azide Constituents: PBS, 40% Glycerol (glycerin, glycerine), 0.05% BSA
Shipped at conditions
Blue Ice
Appropriate short-term storage duration
1-2 weeks
Appropriate short-term storage conditions
+4°C
Appropriate long-term storage conditions
-20°C
Aliquoting information
Upon delivery aliquot
Storage information
Avoid freeze / thaw cycle

Supplementary information

This supplementary information is collated from multiple sources and compiled automatically.

Enolase 1 or alpha-enolase is an important enzyme in the glycolytic pathway. It catalyzes the conversion of 2-phosphoglycerate to phosphoenolpyruvate. We also refer to it as an enolase reaction. ENO1 protein has a molecular mass of approximately 47 kDa and is expressed in most tissues but found most abundantly in the brain muscle and liver. Additionally ENO1 can exist in both cytosolic and plasma membrane-associated forms playing functional roles in different cellular contexts.
Biological function summary

The ENO1 protein serves multiple functions beyond its glycolytic activity. It also acts as a plasminogen receptor on the cell surface aiding in the modulation of pericellular and extracellular matrix degradation processes. Through this role ENO1 influences cell migration and tissue remodeling. This protein can form part of larger protein complexes contributing to its versatility in various cellular functions.

Pathways

ENO1 plays a critical role in glycolysis a central metabolic pathway that converts glucose into pyruvate generating ATP as a result. In this pathway ENO1 closely interacts with other enzymes like phosphoglycerate kinase and pyruvate kinase. Additionally as a plasminogen receptor ENO1 links to the plasminogen activation pathway affecting fibrinolysis and cellular response to tissue injury.

ENO1 is associated with cancer and neurodegenerative diseases. Overexpression or aberrant regulation of ENO1 often correlates with tumor progression and metastasis in cancers such as lung and breast cancer. In neurodegenerative disorders like Alzheimer's disease abnormal functioning of ENO1 can impact brain energy metabolism and neuron degeneration. ENO1's interaction with other proteins such as beta-enolase further connects it to these conditions influencing disease mechanisms and patient outcomes.

Product protocols

For this product, it's our understanding that no specific protocols are required. You can visit:

Target data

Glycolytic enzyme the catalyzes the conversion of 2-phosphoglycerate to phosphoenolpyruvate (PubMed : 1369209, PubMed : 29775581). In addition to glycolysis, involved in various processes such as growth control, hypoxia tolerance and allergic responses (PubMed : 10802057, PubMed : 12666133, PubMed : 2005901, PubMed : 29775581). May also function in the intravascular and pericellular fibrinolytic system due to its ability to serve as a receptor and activator of plasminogen on the cell surface of several cell-types such as leukocytes and neurons (PubMed : 12666133). Stimulates immunoglobulin production (PubMed : 1369209).. Isoform MBP-1. Binds to the myc promoter and acts as a transcriptional repressor. May be a tumor suppressor.
See full target information ENO1

Publications (32)

Recent publications for all applications. Explore the full list and refine your search

NAR molecular medicine 2:ugaf031 PubMed40922722

2025

Active chromatin marks and up-regulation of FOXC1 in uterine epithelial cells demarcate the onset of reproductive decline in aging females.

Applications

Unspecified application

Species

Unspecified reactive species

Aleksandra O Tsolova,Georgia Lea,Anshul S Jadli,Anastasios Mastrokolias,Ankita Narang,Alexa Krala,Bethany N Radford,Courtney W Hanna,Gavin D Kelsey,Hilary O D Critchley,Wendy Dean,Myriam Hemberger

Biochemistry and biophysics reports 42:102048 PubMed40486495

2025

β-suppressor protein 1 (ARRB1)-△exon13 modulates the progression of glioblastoma via combination with glycolysis-related proteins.

Applications

Unspecified application

Species

Unspecified reactive species

Zi-Long Wei,Shuo Han,Dong-Hua Han,Xue-Tao Li,Yu-Lun Huang,Zhi-Min Wang

Antioxidants (Basel, Switzerland) 14: PubMed40427461

2025

Isorhamnetin Attenuates Isoproterenol-Induced Myocardial Injury by Reducing ENO1 (Alpha-Enolase) in Cardiomyocytes.

Applications

Unspecified application

Species

Unspecified reactive species

Zhenli Guo,Shizhong Liu,Xianghong Hou,Xin Zhou,Yan Wang,Yi Rong,Xinzhi Li,Rui Yang,Ketao Ma

BMC pulmonary medicine 25:75 PubMed39948547

2025

Role of NAT10-mediated acC acetylation of ENO1 mRNA in glycolysis and apoptosis in non-small cell lung cancer cells.

Applications

Unspecified application

Species

Unspecified reactive species

Yanqing Yuan,Na Li,Jingui Zhu,Chun Shao,Xiangbo Zeng,Daijiao Yi

Journal of translational medicine 23:172 PubMed39930487

2025

HSP90 co-regulates the formation and nuclear distribution of the glycolytic output complex to promote resistance and poor prognosis in gastric cancer patients.

Applications

Unspecified application

Species

Unspecified reactive species

Gaigai Shen,Shiya Liu,Yuanting Cao,Zihao Chen,Guanghui Wang,Long Yu,Lixin Sun,Yuliang Ran

Cancers 16: PubMed39682151

2024

Multiple Myeloma Cells with Increased Proteasomal and ER Stress Are Hypersensitive to ATX-101, an Experimental Peptide Drug Targeting PCNA.

Applications

Unspecified application

Species

Unspecified reactive species

Camilla Olaisen,Lisa Marie Røst,Animesh Sharma,Caroline Krogh Søgaard,Tiffany Khong,Sigrid Berg,Mi Jang,Aina Nedal,Andrew Spencer,Per Bruheim,Marit Otterlei

Advanced science (Weinheim, Baden-Wurttemberg, Germany) 12:e2407662 PubMed39563492

2024

Osteoblast-Derived ECM1 Promotes Anti-Androgen Resistance in Bone Metastatic Prostate Cancer.

Applications

Unspecified application

Species

Unspecified reactive species

Xinwen Wang,Min Wang,Qijun Lin,Lixin He,Baolin Zhang,Xin Chen,Guanhong Chen,Hong Du,Chuandong Lang,Xinsheng Peng,Yuhu Dai

Advanced science (Weinheim, Baden-Wurttemberg, Germany) 11:e2310109 PubMed38874476

2024

Hsp90 Promotes Gastric Cancer Cell Metastasis and Stemness by Regulating the Regional Distribution of Glycolysis-Related Metabolic Enzymes in the Cytoplasm.

Applications

Unspecified application

Species

Unspecified reactive species

Shiya Liu,Gaigai Shen,Xuanyu Zhou,Lixin Sun,Long Yu,Yuanting Cao,Xiong Shu,Yuliang Ran

Biomaterials research 28:0035 PubMed38840655

2024

Plant-Derived Exosomes as Novel Nanotherapeutics Contrive Glycolysis Reprogramming-Mediated Angiogenesis for Diabetic Ulcer Healing.

Applications

Unspecified application

Species

Unspecified reactive species

Minhong Tan,Yuda Liu,Yang Xu,Ge Yan,Nan Zhou,Haoran Chen,Zhihong Jiang,Lihua Peng

Biomarker research 12:58 PubMed38840205

2024

Single-cell and spatial transcriptomics reveal a high glycolysis B cell and tumor-associated macrophages cluster correlated with poor prognosis and exhausted immune microenvironment in diffuse large B-cell lymphoma.

Applications

Unspecified application

Species

Unspecified reactive species

Liyuan Dai,Guangyu Fan,Tongji Xie,Lin Li,Le Tang,Haizhu Chen,Yuankai Shi,Xiaohong Han
View all publications

Product promise

We are committed to supporting your work with high-quality reagents, and we're here for you every step of the way. In the unlikely event that one of our products does not perform as expected, you're protected by our Product Promise.
For full details, please see our Terms & Conditions

Please note: All products are 'FOR RESEARCH USE ONLY. NOT FOR USE IN DIAGNOSTIC OR THERAPEUTIC PROCEDURES'.

For licensing inquiries, please contact partnerships@abcam.com