JavaScript is disabled in your browser. Please enable JavaScript to view this website.
AB251571

Anti-ENO1 + ENO2 + ENO3 antibody [EPR19680] - BSA and Azide free

Be the first to review this product! Submit a review

|

(0 Publication)

Rabbit Recombinant Monoclonal ENO1 antibody. Carrier free. Suitable for ICC/IF, WB, Flow Cyt (Intra), IHC-P and reacts with Human, Mouse samples.

View Alternative Names

ENO1L1, MBPB1, MPB1, ENO1, Alpha-enolase, 2-phospho-D-glycerate hydro-lyase, C-myc promoter-binding protein, Enolase 1, MBP-1, MPB-1, Non-neural enolase, Phosphopyruvate hydratase, Plasminogen-binding protein, NNE

10 Images
Immunocytochemistry/ Immunofluorescence - Anti-ENO1 + ENO2 + ENO3 antibody [EPR19680] - BSA and Azide free (AB251571)
  • ICC/IF

Supplier Data

Immunocytochemistry/ Immunofluorescence - Anti-ENO1 + ENO2 + ENO3 antibody [EPR19680] - BSA and Azide free (AB251571)

This data was developed using ab222514, the same antibody clone in a different buffer formulation.

Immunofluorescent analysis of 100% methanol fixed HeLa (human cervix adenocarcinoma epithelial cell) cells labeling ENO1 + ENO2 + ENO3 with ab222514 at 1/500 dilution, followed by AlexaFluor®488 Goat anti-Rabbit secondary (ab150077) secondary antibody at 1/1000 dilution (green). Confocal image showing cytoplasmic staining on HeLa cell line.

Counterstains : ab195889 Anti-alpha Tubulin antibody [DM1A] (red) - Microtubule Marker (Alexa Fluor® 594) (1/200). DAPI (blue).

Flow Cytometry (Intracellular) - Anti-ENO1 + ENO2 + ENO3 antibody [EPR19680] - BSA and Azide free (AB251571)
  • Flow Cyt (Intra)

Unknown

Flow Cytometry (Intracellular) - Anti-ENO1 + ENO2 + ENO3 antibody [EPR19680] - BSA and Azide free (AB251571)

This data was developed using ab222514, the same antibody clone in a different buffer formulation.

Intracellular flow cytometric analysis of 4% paraformaldehyde fixed HeLa (human cervix adenocarcinoma epithelial cell) cell line labeling ENO1 + ENO2 + ENO3 with ab222514 at 1/800 (red) compared with an isotype control Rabbit monoclonal IgG (ab172730) (black) and an unlabelled control (cells without incubation with primary antibody and secondary antibody) (blue). Secondary antibody Goat anti rabbit IgG Alexa Fluor® 488 (ab150077), at 1/2000 dilution was used as the secondary antibody.

Western blot - Anti-ENO1 + ENO2 + ENO3 antibody [EPR19680] - BSA and Azide free (AB251571)
  • WB

Supplier Data

Western blot - Anti-ENO1 + ENO2 + ENO3 antibody [EPR19680] - BSA and Azide free (AB251571)

This data was developed using ab222514, the same antibody clone in a different buffer formulation.

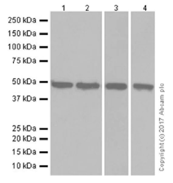
Blocking and dilution buffer : 5% NFDM/TBST.

Exposure times : Lanes 1, 2, and 4 : 1 seconds; Lane 3 : 3 seconds.

Lanes 1 - 3:

Western blot - Anti-ENO1 + ENO2 + ENO3 antibody [EPR19680] (<a href='/en-us/products/primary-antibodies/eno1-eno2-eno3-antibody-epr19680-ab222514'>ab222514</a>) at 1/2000 dilution

Lane 4:

Western blot - Anti-ENO1 + ENO2 + ENO3 antibody [EPR19680] (<a href='/en-us/products/primary-antibodies/eno1-eno2-eno3-antibody-epr19680-ab222514'>ab222514</a>) at 1/10000 dilution

Lane 1:

HeLa (human cervix adenocarcinoma epithelial cell), whole cell lysate at 10 µg

Lane 2:

Jurkat (human T cell leukemia T lymphocyte), whole cell lysate at 10 µg

Lane 3:

Human skeletal muscle at 10 µg

Lane 4:

MCF7 (human breast adenocarcinoma epithelial cell), whole cell lysate at 10 µg

Secondary

All lanes:

Western blot - Goat Anti-Rabbit IgG H&L (HRP) (<a href='/en-us/products/secondary-antibodies/goat-rabbit-igg-h-l-hrp-ab97051'>ab97051</a>) at 1/100000 dilution

Observed band size: 47 kDa

false

Western blot - Anti-ENO1 + ENO2 + ENO3 antibody [EPR19680] - BSA and Azide free (AB251571)
  • WB

Supplier Data

Western blot - Anti-ENO1 + ENO2 + ENO3 antibody [EPR19680] - BSA and Azide free (AB251571)

This data was developed using ab222514, the same antibody clone in a different buffer formulation.

Blocking and dilution buffer : 5% NFDM/TBST.

Exposure times : Lanes 1-3 : 3 seconds; Lane 4 : 1 seconds.

All lanes:

Western blot - Anti-ENO1 + ENO2 + ENO3 antibody [EPR19680] (<a href='/en-us/products/primary-antibodies/eno1-eno2-eno3-antibody-epr19680-ab222514'>ab222514</a>) at 1/2000 dilution

Lane 1:

Human fetal heart at 10 µg

Lane 2:

Human fetal kidney at 10 µg

Lane 3:

Human fetal spleen at 10 µg

Lane 4:

Human fetal brain at 10 µg

Secondary

All lanes:

Western blot - Goat Anti-Rabbit IgG H&L (HRP) (<a href='/en-us/products/secondary-antibodies/goat-rabbit-igg-h-l-hrp-ab97051'>ab97051</a>) at 1/100000 dilution

Observed band size: 47 kDa

false

Western blot - Anti-ENO1 + ENO2 + ENO3 antibody [EPR19680] - BSA and Azide free (AB251571)
  • WB

Supplier Data

Western blot - Anti-ENO1 + ENO2 + ENO3 antibody [EPR19680] - BSA and Azide free (AB251571)

This data was developed using ab222514, the same antibody clone in a different buffer formulation.

Blocking and dilution buffer : 5% NFDM/TBST.

Exposure times : Lanes 1-2 : 3 seconds; Lane 3 : 1 seconds.

All lanes:

Western blot - Anti-ENO1 + ENO2 + ENO3 antibody [EPR19680] (<a href='/en-us/products/primary-antibodies/eno1-eno2-eno3-antibody-epr19680-ab222514'>ab222514</a>) at 1/1000 dilution

Lane 1:

His-tagged human ENO1 (aa2-434) recombinant protein, 10 ng

Lane 2:

His-tagged human ENO2 (aa1-434) recombinant protein, 10 ng

Lane 3:

His-tagged human ENO3 (aa1-434) recombinant protein, 10 ng

Secondary

All lanes:

Western blot - Goat Anti-Rabbit IgG H&L (HRP) (<a href='/en-us/products/secondary-antibodies/goat-rabbit-igg-h-l-hrp-ab97051'>ab97051</a>) at 1/100000 dilution

Observed band size: 47 kDa

false

Immunohistochemistry (Formalin/PFA-fixed paraffin-embedded sections) - Anti-ENO1 + ENO2 + ENO3 antibody [EPR19680] - BSA and Azide free (AB251571)
  • IHC-P

Supplier Data

Immunohistochemistry (Formalin/PFA-fixed paraffin-embedded sections) - Anti-ENO1 + ENO2 + ENO3 antibody [EPR19680] - BSA and Azide free (AB251571)

This data was developed using ab222514, the same antibody clone in a different buffer formulation.

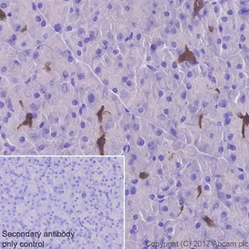
Immunohistochemical analysis of paraffin embedded human clear cell carcinoma tissue labeling ENO1 + ENO2 + ENO3 with ab222514 at 1/2000 dilution, followed by Goat Anti-Rabbit IgG H&L (HRP) ready to use. Membranous and nuclear staining on human clear cell kidney carcinoma is observed. Counter stained with hematoxylin.

Secondary antibody only control : Used PBS instead of primary antibody, secondary antibody is Goat Anti-Rabbit IgG H&L (HRP) ready to use.

Perform heat mediated antigen retrieval with EDTA buffer pH 9 before commencing with IHC staining protocol.

Immunohistochemistry (Formalin/PFA-fixed paraffin-embedded sections) - Anti-ENO1 + ENO2 + ENO3 antibody [EPR19680] - BSA and Azide free (AB251571)
  • IHC-P

Supplier Data

Immunohistochemistry (Formalin/PFA-fixed paraffin-embedded sections) - Anti-ENO1 + ENO2 + ENO3 antibody [EPR19680] - BSA and Azide free (AB251571)

This data was developed using ab222514, the same antibody clone in a different buffer formulation.

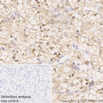
Immunohistochemical analysis of paraffin embedded mouse pancreas tissue labeling ENO1 + ENO2 + ENO3 with ab222514 at 1/2000 dilution, followed by Goat Anti-Rabbit IgG H&L (HRP) ready to use. Cytoplasmic and nuclear staining on the medium-small ducts of normal mouse pancreas is observed. Counter stained with hematoxylin.

Secondary antibody only control : Used PBS instead of primary antibody, secondary antibody is Goat Anti-Rabbit IgG H&L (HRP) ready to use.

Perform heat mediated antigen retrieval with EDTA buffer pH 9 before commencing with IHC staining protocol.

Immunocytochemistry/ Immunofluorescence - Anti-ENO1 + ENO2 + ENO3 antibody [EPR19680] - BSA and Azide free (AB251571)
  • ICC/IF

Unknown

Immunocytochemistry/ Immunofluorescence - Anti-ENO1 + ENO2 + ENO3 antibody [EPR19680] - BSA and Azide free (AB251571)

This data was developed using ab222514, the same antibody clone in a different buffer formulation.

Immunofluorescent analysis of 100% methanol fixed MCF7 (human breast adenocarcinoma epithelial cell) cells labeling ENO1 + ENO2 + ENO3 with ab222514 at 1/500 dilution, followed by AlexaFluor®488 Goat anti-Rabbit secondary (ab150077) secondary antibody at 1/1000 dilution (green). Confocal image showing cytoplasmic staining on MCF7 cell line.

Counterstains : ab195889 Anti-alpha Tubulin antibody [DM1A] (red) - Microtubule Marker (Alexa Fluor® 594) (1/200). DAPI (blue).

Immunohistochemistry (Formalin/PFA-fixed paraffin-embedded sections) - Anti-ENO1 + ENO2 + ENO3 antibody [EPR19680] - BSA and Azide free (AB251571)
  • IHC-P

Supplier Data

Immunohistochemistry (Formalin/PFA-fixed paraffin-embedded sections) - Anti-ENO1 + ENO2 + ENO3 antibody [EPR19680] - BSA and Azide free (AB251571)

This data was developed using ab222514, the same antibody clone in a different buffer formulation.

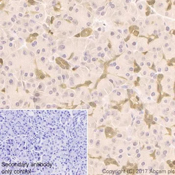
Immunohistochemical analysis of paraffin embedded human pancreas tissue labeling ENO1 + ENO2 + ENO3 with ab222514 at 1/2000 dilution, followed by Goat Anti-Rabbit IgG H&L (HRP) ready to use. Cytoplasmic and nuclear staining on medium-small ducts of human pancreas (PMID : 19425054). Counter stained with hematoxylin.

Secondary antibody only control : Used PBS instead of primary antibody, secondary antibody is Goat Anti-Rabbit IgG H&L (HRP) ready to use.

Perform heat mediated antigen retrieval with EDTA buffer pH 9 before commencing with IHC staining protocol.

Western blot - Anti-ENO1 + ENO2 + ENO3 antibody [EPR19680] - BSA and Azide free (AB251571)
  • WB

Supplier Data

Western blot - Anti-ENO1 + ENO2 + ENO3 antibody [EPR19680] - BSA and Azide free (AB251571)

This data was developed using ab222514, the same antibody clone in a different buffer formulation.

Blocking and dilution buffer : 5% NFDM/TBST.

Exposure times : Lanes 1, 2, and 4 : 3 minutes; Lane 3 : 1 minute; Lane 5 : 3 seconds.

All lanes:

Western blot - Anti-ENO1 + ENO2 + ENO3 antibody [EPR19680] (<a href='/en-us/products/primary-antibodies/eno1-eno2-eno3-antibody-epr19680-ab222514'>ab222514</a>) at 1/2000 dilution

Lane 1:

Mouse brain at 10 µg

Lane 2:

Mouse spleen at 10 µg

Lane 3:

Mouse kidney at 10 µg

Lane 4:

NIH/3T3 (mouse embryonic fibroblast), whole cell lysate at 10 µg

Lane 5:

RAW264.7 (mouse Abelson murine leukemia virus-induced tumor macrophage), whole cell lysate at 10 µg

Secondary

All lanes:

Western blot - Goat Anti-Rabbit IgG H&L (HRP) (<a href='/en-us/products/secondary-antibodies/goat-rabbit-igg-h-l-hrp-ab97051'>ab97051</a>) at 1/100000 dilution

Observed band size: 47 kDa

false

Key facts

Host species

Rabbit

Clonality

Monoclonal

Clone number

EPR19680

Isotype

IgG

Carrier free

Yes

Reacts with

Mouse, Human

Applications

ICC/IF, Flow Cyt (Intra), WB, IHC-P

applications

Immunogen

The exact immunogen used to generate this antibody is proprietary information.

Reactivity data

{ "title": "Reactivity Data", "filters": { "stats": ["", "Species", "Dilution Info", "Notes"], "tabs": { "all-applications": {"fullname" : "All Applications", "shortname": "All Applications"}, "ICCIF" : {"fullname" : "Immunocytochemistry/ Immunofluorescence", "shortname":"ICC/IF"}, "WB" : {"fullname" : "Western blot", "shortname":"WB"}, "FlowCytIntra" : {"fullname" : "Flow Cytometry (Intracellular)", "shortname":"Flow Cyt (Intra)"}, "IHCP" : {"fullname" : "Immunohistochemistry (Formalin/PFA-fixed paraffin-embedded sections)", "shortname":"IHC-P"} }, "product-promise": { "all": "all", "testedAndGuaranteed": "tested", "guaranteed": "expected", "predicted": "predicted", "notRecommended": "not-recommended" } }, "values": { "Human": { "ICCIF-species-checked": "testedAndGuaranteed", "ICCIF-species-dilution-info": "", "ICCIF-species-notes": "<p></p>", "WB-species-checked": "testedAndGuaranteed", "WB-species-dilution-info": "", "WB-species-notes": "<p></p>", "FlowCytIntra-species-checked": "testedAndGuaranteed", "FlowCytIntra-species-dilution-info": "", "FlowCytIntra-species-notes": "<p></p>", "IHCP-species-checked": "testedAndGuaranteed", "IHCP-species-dilution-info": "", "IHCP-species-notes": "<p></p>" }, "Mouse": { "ICCIF-species-checked": "guaranteed", "ICCIF-species-dilution-info": "", "ICCIF-species-notes": "", "WB-species-checked": "testedAndGuaranteed", "WB-species-dilution-info": "", "WB-species-notes": "<p></p>", "FlowCytIntra-species-checked": "guaranteed", "FlowCytIntra-species-dilution-info": "", "FlowCytIntra-species-notes": "", "IHCP-species-checked": "testedAndGuaranteed", "IHCP-species-dilution-info": "", "IHCP-species-notes": "<p></p>" } } }

Product details

ab251571 is the carrier-free version of ab222514.

Patented technology
Our RabMAb® technology is a patented hybridoma-based technology for making rabbit monoclonal antibodies. For details on our patents, please refer to RabMAb® patents.

What are the advantages of a recombinant monoclonal antibody?
This product is a recombinant monoclonal antibody, which offers several advantages including:

  • - High batch-to-batch consistency and reproducibility
  • - Improved sensitivity and specificity
  • - Long-term security of supply
  • - Animal-free batch production

For more information, read more on recombinant antibodies.

Conjugation ready
Our carrier-free antibodies are typically supplied in a PBS-only formulation, purified and free of BSA, sodium azide and glycerol. This conjugation-ready format is designed for use with fluorochromes, metal isotopes, oligonucleotides, and enzymes, which makes them ideal for antibody labelling, functional and cell-based assays, flow-based assays (e.g. mass cytometry) and Multiplex Imaging applications.

Use our conjugation kits for antibody conjugates that are ready-to-use in as little as 20 minutes with 1 minute hands-on-time and 100% antibody recovery: available for fluorescent dyes, HRP, biotin and gold.

Compatibility
This product is compatible with the Maxpar® Antibody Labeling Kit from Fluidigm, without the need for antibody preparation. Maxpar® is a trademark of Fluidigm Canada Inc.

Properties and storage information

Form
Liquid
Purification technique
Affinity purification Protein A
Storage buffer
pH: 7.2 - 7.4 Constituents: PBS
Shipped at conditions
Blue Ice
Appropriate short-term storage conditions
+4°C
Appropriate long-term storage conditions
+4°C
Storage information
Do Not Freeze

Supplementary information

This supplementary information is collated from multiple sources and compiled automatically.

ENO1 ENO2 and ENO3 also known as alpha gamma and beta enolase are isoenzymes involved in the glycolytic pathway. Each enolase isoenzyme offers specific mechanical functions in this energy-producing process. ENO1 has an approximate mass of 47 kDa and is widely expressed in most tissues. ENO2 similar in size is primarily found in neural and neuroendocrine tissues. ENO3 also roughly 47 kDa predominantly expresses in muscle tissue. These proteins catalyze the reversible conversion of 2-phosphoglycerate to phosphoenolpyruvate playing an important role in glycolysis.
Biological function summary

The enolase family of isoenzymes acts as multifunctional catalysts and has roles beyond glycolysis. ENO1 serves as a plasminogen receptor on cell surfaces assisting in tissue remodeling and immune response. ENO2 often referred to as neuron-specific enolase (NSE) functions importantly in neural development and tumor cell metabolism. ENO3 or muscle-specific enolase contributes to muscle metabolism and energy turnover. While these proteins individually carry out essential tasks they also form a complex that facilitates efficient energy production and cellular regulation.

Pathways

The enolase enzymes integrate in the glycolytic and gluconeogenesis pathways central to energy metabolism. Glycolysis involves other key proteins like hexokinase and phosphofructokinase cooperating for glucose breakdown and energy release. In gluconeogenesis the enolases help generate glucose from non-carbohydrate sources important during fasting or intense exercise. Their activity along with related proteins impacts the efficiency and regulation of energy metabolism pathways.

Enolase dysregulation associates with conditions like cancer and neuromuscular diseases. Elevated ENO2 levels often serve as a biomarker for neuroendocrine tumors and a target for cancer therapies. ENO3 mutations link to muscle metabolic disorders including glycogen storage diseases. ENO1 interaction with proteins such as plasminogen can influence cancer cell invasion and metastasis highlighting its relevance in disease progression and potential therapeutic interventions.

Product protocols

For this product, it's our understanding that no specific protocols are required. You can visit:

Target data

Glycolytic enzyme the catalyzes the conversion of 2-phosphoglycerate to phosphoenolpyruvate (PubMed : 1369209, PubMed : 29775581). In addition to glycolysis, involved in various processes such as growth control, hypoxia tolerance and allergic responses (PubMed : 10802057, PubMed : 12666133, PubMed : 2005901, PubMed : 29775581). May also function in the intravascular and pericellular fibrinolytic system due to its ability to serve as a receptor and activator of plasminogen on the cell surface of several cell-types such as leukocytes and neurons (PubMed : 12666133). Stimulates immunoglobulin production (PubMed : 1369209).. Isoform MBP-1. Binds to the myc promoter and acts as a transcriptional repressor. May be a tumor suppressor.
See full target information ENO1

Additional targets

ENO2,ENO3

Product promise

We are committed to supporting your work with high-quality reagents, and we're here for you every step of the way. In the unlikely event that one of our products does not perform as expected, you're protected by our Product Promise.
For full details, please see our Terms & Conditions

Please note: All products are 'FOR RESEARCH USE ONLY. NOT FOR USE IN DIAGNOSTIC OR THERAPEUTIC PROCEDURES'.

For licensing inquiries, please contact partnerships@abcam.com