JavaScript is disabled in your browser. Please enable JavaScript to view this website.
AB79757

Anti-ENO1 + ENO2 + ENO3 antibody [EPR3377] - Neuronal Marker

  • BOND RX™ Validated
  • RabMAb
  • Recombinant
  • Lab Essentials
  • What is this?

1

(3 Reviews)

|

(36 Publications)

Rabbit Recombinant Monoclonal NSE antibody. Neuron marker. Suitable for IHC-P, ICC/IF, WB, Flow Cyt (Intra) and reacts with Mouse, Rat, Human, Recombinant fragment - Human samples. Cited in 36 publications.

View Alternative Names

Gamma-enolase, 2-phospho-D-glycerate hydro-lyase, Enolase 2, Neural enolase, Neuron-specific enolase, NSE, ENO2

9 Images
Immunohistochemistry (Formalin/PFA-fixed paraffin-embedded sections) - Anti-ENO1 + ENO2 + ENO3 antibody [EPR3377] - Neuronal Marker (AB79757)
  • IHC-P

Lab

Immunohistochemistry (Formalin/PFA-fixed paraffin-embedded sections) - Anti-ENO1 + ENO2 + ENO3 antibody [EPR3377] - Neuronal Marker (AB79757)

Immunohistochemistry (Formalin/PFA-fixed paraffin-embedded sections) analysis of human cerebrum tissue sections labeling ENO1 + ENO2 + ENO3 with purified ab79757 at 1/500 dilution (0.20 μg/mL). Heat mediated antigen retrieval was performed using Heat mediated antigen retrieval using Bond™ Epitope Retrieval Solution 2 (pH 9.0). Tissue was counterstained with Hematoxylin. Rabbit specific IHC polymer detection kit HRP/DAB (ab209101) secondary antibody was used. PBS instead of the primary antibody was used as the negative control.

The immunostaining was performed on a Leica Biosystems BOND® RX instrument.

Immunocytochemistry/ Immunofluorescence - Anti-ENO1 + ENO2 + ENO3 antibody [EPR3377] - Neuronal Marker (AB79757)
  • ICC/IF

Supplier Data

Immunocytochemistry/ Immunofluorescence - Anti-ENO1 + ENO2 + ENO3 antibody [EPR3377] - Neuronal Marker (AB79757)

Immunocytochemistry analysis of U-87 MG (Human glioblastoma-astrocytoma epithelial cell) cells labeling ENO1 + ENO2 + ENO3 with purified ab79757 at 1/50 dilution (2.0 μg/mL). Cells were fixed in 4% Paraformaldehyde and permeabilized with 0.1% tritonX-100. Cells were counterstained with ab195889 Anti-alpha Tubulin antibody [DM1A] - Microtubule Marker (Alexa Fluor® 594) 1/200 (2.5 μg/mL). Goat anti rabbit IgG (Alexa Fluor® 488, ab150077) was used as the secondary antibody at 1/1000 (2 μg/mL) dilution. DAPI (blue) was used as nuclear counterstain. PBS instead of the primary antibody was used as the secondary antibody only control.

Flow Cytometry (Intracellular) - Anti-ENO1 + ENO2 + ENO3 antibody [EPR3377] - Neuronal Marker (AB79757)
  • Flow Cyt (Intra)

Lab

Flow Cytometry (Intracellular) - Anti-ENO1 + ENO2 + ENO3 antibody [EPR3377] - Neuronal Marker (AB79757)

Intracellular Flow Cytometry analysis of HeLa (Human cervix adenocarcinoma epithelial cell) cells labelling NSE with purified ab79757 at 1/20 dilution (10 μg/mL) (Red). Cells were fixed with 4% Paraformaldehyde and permeabilised with 90% Methanol. A Goat anti rabbit IgG (Alexa Fluor® 488, ab150077) secondary antibody was used at 1/2000. Isotype control - Rabbit monoclonal IgG (Black). Unlabelled control - Cell without incubation with primary antibody and secondary antibody (Blue).

Immunohistochemistry (Formalin/PFA-fixed paraffin-embedded sections) - Anti-ENO1 + ENO2 + ENO3 antibody [EPR3377] - Neuronal Marker (AB79757)
  • IHC-P

Lab

Immunohistochemistry (Formalin/PFA-fixed paraffin-embedded sections) - Anti-ENO1 + ENO2 + ENO3 antibody [EPR3377] - Neuronal Marker (AB79757)

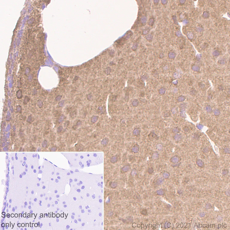
Immunohistochemistry (Formalin/PFA-fixed paraffin-embedded sections) analysis of rat cerebrum tissue sections labeling ENO1 + ENO2 + ENO3 with purified ab79757 at 1/500 dilution (0.20 μg/mL). Heat mediated antigen retrieval was performed using Heat mediated antigen retrieval using Bond™ Epitope Retrieval Solution 2 (pH 9.0). Tissue was counterstained with Hematoxylin. Rabbit specific IHC polymer detection kit HRP/DAB (ab209101) secondary antibody was used. PBS instead of the primary antibody was used as the negative control.

The immunostaining was performed on a Leica Biosystems BOND® RX instrument.

Immunohistochemistry (Formalin/PFA-fixed paraffin-embedded sections) - Anti-ENO1 + ENO2 + ENO3 antibody [EPR3377] - Neuronal Marker (AB79757)
  • IHC-P

Lab

Immunohistochemistry (Formalin/PFA-fixed paraffin-embedded sections) - Anti-ENO1 + ENO2 + ENO3 antibody [EPR3377] - Neuronal Marker (AB79757)

Immunohistochemistry (Formalin/PFA-fixed paraffin-embedded sections) analysis of mouse cerebrum tissue sections labeling ENO1 + ENO2 + ENO3 with purified ab79757 at 1/500 dilution (0.20 μg/mL). Heat mediated antigen retrieval was performed using Heat mediated antigen retrieval using Bond™ Epitope Retrieval Solution 2 (pH 9.0). Tissue was counterstained with Hematoxylin. Rabbit specific IHC polymer detection kit HRP/DAB (ab209101) secondary antibody was used. PBS instead of the primary antibody was used as the negative control.

The immunostaining was performed on a Leica Biosystems BOND® RX instrument.

Western blot - Anti-ENO1 + ENO2 + ENO3 antibody [EPR3377] - Neuronal Marker (AB79757)
  • WB

Lab

Western blot - Anti-ENO1 + ENO2 + ENO3 antibody [EPR3377] - Neuronal Marker (AB79757)

Blocking and diluting buffer and concentration : 5% NFDM/TBST.

Anti-DDDDK tag antibody [6F7] - Loading Control (ab205606) staining at 1/1000 dilution.

The cross-reactivity with ENO2 is weaker than that with ENO1 and ENO3

All lanes:

Western blot - Anti-ENO1 + ENO2 + ENO3 antibody [EPR3377] - Neuronal Marker (ab79757) at 1/1000 dilution

Lane 1:

Recombinant human ENO1 protein with C-DDDDK tag at 10 ng

Lane 2:

Recombinant human ENO2 protein with C-DDDDK tag at 10 ng

Lane 3:

Recombinant human ENO3 protein with C-DDDDK tag at 10 ng

Secondary

All lanes:

Western blot - Goat Anti-Rabbit IgG H&L (HRP) (<a href='/en-us/products/secondary-antibodies/goat-rabbit-igg-h-l-hrp-ab97051'>ab97051</a>) at 1/20000 dilution

Observed band size: 50 kDa

false

Exposure time: 180s

Western blot - Anti-ENO1 + ENO2 + ENO3 antibody [EPR3377] - Neuronal Marker (AB79757)
  • WB

Unknown

Western blot - Anti-ENO1 + ENO2 + ENO3 antibody [EPR3377] - Neuronal Marker (AB79757)

All lanes:

Western blot - Anti-ENO1 + ENO2 + ENO3 antibody [EPR3377] - Neuronal Marker (ab79757) at 1/1000 dilution

Lane 1:

SH-SY5Y (Human neuroblastoma epithelial cell) whole cell lysate at 20 µg

Lane 2:

HeLa (Human cervix adenocarcinoma epithelial cell) whole cell lysate at 20 µg

Lane 3:

Y79 (Human retinoblastoma retinoblastoma) whole cell lysate at 20 µg

Lane 4:

Mouse brain lysate at 20 µg

Lane 5:

Rat brain lysate at 20 µg

Secondary

All lanes:

Western blot - Goat Anti-Rabbit IgG H&L (HRP) (<a href='/en-us/products/secondary-antibodies/goat-rabbit-igg-h-l-hrp-ab97051'>ab97051</a>) at 1/20000 dilution

Predicted band size: 47 kDa

false

Western blot - Anti-ENO1 + ENO2 + ENO3 antibody [EPR3377] - Neuronal Marker (AB79757)
  • WB

Lab

Western blot - Anti-ENO1 + ENO2 + ENO3 antibody [EPR3377] - Neuronal Marker (AB79757)

Mouse anti-6x HisTag was used as a loading control.

All lanes:

Western blot - Anti-ENO1 + ENO2 + ENO3 antibody [EPR3377] - Neuronal Marker (ab79757) at 1/1000 dilution

Lane 1:

Human ENO3 protein (His Tag) at 0.2 µg

Lane 2:

Human ENO2 protein (His Tag) at 0.2 µg

Lane 3:

Human ENO1 protein (His Tag) at 0.2 µg

Predicted band size: 47 kDa

false

Western blot - Anti-ENO1 + ENO2 + ENO3 antibody [EPR3377] - Neuronal Marker (AB79757)
  • WB

CiteAb

Western blot - Anti-ENO1 + ENO2 + ENO3 antibody [EPR3377] - Neuronal Marker (AB79757)

NSE western blot using anti-NSE antibody [EPR3377] - Neuronal Marker ab79757. Publication image and figure legend from Prieto-Fernández, E., Aransay, A. M., et al., 2019, Theranostics, PubMed 31367240.

ab79757 was used in this publication in western blot. This may not be the same as the application(s) guaranteed by Abcam. For a full list of applications guaranteed by Abcam for ab79757 please see the product overview.

Size-exclusion chromatography analysis of CSF. A, Western blot analysis of CD63, CD9, neuron-specific enolase (NSE), and human serum albumin (HSA) proteins. Molecular weights are shown in KDa. B, the number of TaqMan RT-qPCR replicates (from a total of 12) in which the studied miRNAs were detected. C, quantification (relative to ath-miR-159a) of miR-21-5p, miR-451a, and miR-92a-3p and D, of miR-1911-5p, miR-22-3p, and miR-30c-5p.

false

  • 565 Alexa Fluor® 555

    Alexa Fluor® 555 Anti-ENO1 + ENO2 + ENO3 antibody [EPR3377] - Neuronal Marker

  • 578 PE

    PE Anti-ENO1 + ENO2 + ENO3 antibody [EPR3377] - Neuronal Marker

  • 617 Alexa Fluor® 594

    Alexa Fluor® 594 Anti-ENO1 + ENO2 + ENO3 antibody [EPR3377] - Neuronal Marker

  • 665 Alexa Fluor® 647

    Alexa Fluor® 647 Anti-ENO1 + ENO2 + ENO3 antibody [EPR3377] - Neuronal Marker

  • Carrier free

    Anti-ENO1 + ENO2 + ENO3 antibody [EPR3377] - BSA and Azide free

Key facts

Host species

Rabbit

Clonality

Monoclonal

Clone number

EPR3377

Isotype

IgG

Carrier free

No

Reacts with

Mouse, Rat, Human

Applications

Flow Cyt (Intra), ICC/IF, IHC-P, WB

applications

Immunogen

The exact immunogen used to generate this antibody is proprietary information.

Specificity

The cross-reactivity with ENO2 is weaker than that with ENO1 and ENO3.

Reactivity data

{ "title": "Reactivity Data", "filters": { "stats": ["", "Species", "Dilution Info", "Notes"], "tabs": { "all-applications": {"fullname" : "All Applications", "shortname": "All Applications"}, "IHCP" : {"fullname" : "Immunohistochemistry (Formalin/PFA-fixed paraffin-embedded sections)", "shortname":"IHC-P"}, "ICCIF" : {"fullname" : "Immunocytochemistry/ Immunofluorescence", "shortname":"ICC/IF"}, "WB" : {"fullname" : "Western blot", "shortname":"WB"}, "FlowCytIntra" : {"fullname" : "Flow Cytometry (Intracellular)", "shortname":"Flow Cyt (Intra)"} }, "product-promise": { "all": "all", "testedAndGuaranteed": "tested", "guaranteed": "expected", "predicted": "predicted", "notRecommended": "not-recommended" } }, "values": { "Human": { "IHCP-species-checked": "testedAndGuaranteed", "IHCP-species-dilution-info": "1/500", "IHCP-species-notes": "<p></p> Perform heat-mediated antigen retrieval with citrate buffer pH 6 before commencing with IHC staining protocol.", "ICCIF-species-checked": "testedAndGuaranteed", "ICCIF-species-dilution-info": "1/50", "ICCIF-species-notes": "<p><strong>For unpurified use at 1/100 - 1/250.</strong></p>", "WB-species-checked": "testedAndGuaranteed", "WB-species-dilution-info": "1/1000", "WB-species-notes": "<p><strong>For unpurified use at 1/5000 - 1/20000.</strong></p>", "FlowCytIntra-species-checked": "testedAndGuaranteed", "FlowCytIntra-species-dilution-info": "1/20 - 1/100", "FlowCytIntra-species-notes": "<p><a href='/en-us/products/primary-antibodies/rabbit-igg-monoclonal-epr25a-isotype-control-ab172730'>ab172730</a> - Rabbit monoclonal IgG, is suitable for use as an isotype control with this antibody.</p>" }, "Mouse": { "IHCP-species-checked": "testedAndGuaranteed", "IHCP-species-dilution-info": "1/500", "IHCP-species-notes": "<p></p> Perform heat-mediated antigen retrieval with citrate buffer pH 6 before commencing with IHC staining protocol.", "ICCIF-species-checked": "guaranteed", "ICCIF-species-dilution-info": "", "ICCIF-species-notes": "", "WB-species-checked": "testedAndGuaranteed", "WB-species-dilution-info": "1/1000", "WB-species-notes": "<p><strong>For unpurified use at 1/5000 - 1/20000.</strong></p>", "FlowCytIntra-species-checked": "guaranteed", "FlowCytIntra-species-dilution-info": "", "FlowCytIntra-species-notes": "" }, "Rat": { "IHCP-species-checked": "testedAndGuaranteed", "IHCP-species-dilution-info": "1/500", "IHCP-species-notes": "<p></p> Perform heat-mediated antigen retrieval with citrate buffer pH 6 before commencing with IHC staining protocol.", "ICCIF-species-checked": "guaranteed", "ICCIF-species-dilution-info": "", "ICCIF-species-notes": "", "WB-species-checked": "testedAndGuaranteed", "WB-species-dilution-info": "1/1000", "WB-species-notes": "<p><strong>For unpurified use at 1/5000 - 1/20000.</strong></p>", "FlowCytIntra-species-checked": "guaranteed", "FlowCytIntra-species-dilution-info": "", "FlowCytIntra-species-notes": "" }, "Recombinant fragment - Human": { "IHCP-species-checked": "notRecommended", "IHCP-species-dilution-info": "", "IHCP-species-notes": "", "ICCIF-species-checked": "notRecommended", "ICCIF-species-dilution-info": "", "ICCIF-species-notes": "", "WB-species-checked": "testedAndGuaranteed", "WB-species-dilution-info": "1/1000", "WB-species-notes": "<p></p>", "FlowCytIntra-species-checked": "notRecommended", "FlowCytIntra-species-dilution-info": "", "FlowCytIntra-species-notes": "" } } }

Product details

Patented technology
Our RabMAb® technology is a patented hybridoma-based technology for making rabbit monoclonal antibodies. For details on our patents, please refer to RabMAb® patents.

What are the advantages of a recombinant monoclonal antibody?
This product is a recombinant monoclonal antibody, which offers several advantages including:

  • - High batch-to-batch consistency and reproducibility
  • - Improved sensitivity and specificity
  • - Long-term security of supply
  • - Animal-free batch production

For more information, read more on recombinant antibodies.

Properties and storage information

Form
Liquid
Purification technique
Affinity purification Protein A
Storage buffer
pH: 7.2 - 7.4 Preservative: 0.01% Sodium azide Constituents: PBS, 40% Glycerol (glycerin, glycerine), 0.05% BSA
Shipped at conditions
Blue Ice
Appropriate short-term storage duration
1-2 weeks
Appropriate short-term storage conditions
+4°C
Appropriate long-term storage conditions
-20°C
Aliquoting information
Upon delivery aliquot
Storage information
Avoid freeze / thaw cycle

Supplementary information

This supplementary information is collated from multiple sources and compiled automatically.

Neuron-specific enolase (NSE) also known simply as enolase-2 is a glycolytic enzyme with a molecular weight of approximately 47 kDa. This protein mainly facilitates the conversion of 2-phosphoglycerate to phosphoenolpyruvate in the glycolytic pathway. NSE is expressed significantly in neural tissues and neuroendocrine cells. Researchers often utilize it in various assays including NSE IHC and NSE ELISA to assess its expression levels in different tissue types.
Biological function summary

NSE plays a major role in cellular metabolism particularly in neurons where it aids energy production through glycolysis. It forms part of a dimeric complex bonding typically with itself or other enolase isoforms for proper function. As an important enzyme in the metabolic pathway NSE helps ensure neurons and associated cells maintain energy homeostasis which is fundamental for sustenance and normal cellular functions.

Pathways

NSE is an integral component of glycolysis a metabolic pathway pivotal in cellular energy production. The process collaborates closely with other glycolytic enzymes like pyruvate kinase and hexokinase to facilitate efficient energy release from glucose. Through these interactions NSE guarantees the smooth continuation of glycolysis highlighting its importance within cellular metabolism frameworks.

NSE serves as a marker for neuroblastoma and small cell lung cancer. Elevated NSE levels suggest potential malignancies due to its release into the bloodstream from damaged neural and neuroendocrine cells. Moreover it often appears alongside proteins like neuron-specific markers such as synaptophysin in diagnostic assays. Understanding its involvement in these conditions helps clinicians diagnose and monitor the progression of certain cancers effectively.

Product protocols

For this product, it's our understanding that no specific protocols are required. You can visit:

Target data

Has neurotrophic and neuroprotective properties on a broad spectrum of central nervous system (CNS) neurons. Binds, in a calcium-dependent manner, to cultured neocortical neurons and promotes cell survival (By similarity).
See full target information ENO2

Additional targets

ENO1,ENO3

Publications (36)

Recent publications for all applications. Explore the full list and refine your search

BMC complementary medicine and therapies 25:348 PubMed41034986

2025

Changji'an formula alleviates visceral hypersensitivity of a post-inflammatory IBS-D mouse model via NGF/TrkA signaling pathway.

Applications

Unspecified application

Species

Unspecified reactive species

Wei Ke,Siyu Huang,He Zhu,Qinglong Tan,Huaiguo Li,Dongwen Liu,Fanghao Zheng,Shuncong Zhang,Kaijun Lei,Hongmei Tang

PloS one 20:e0329647 PubMed41032486

2025

LncRNA RP11-818O24.3 regulates proliferation and differentiation of hair follicle stem cells by targeting FGF2/PI3K/AKT pathway.

Applications

Unspecified application

Species

Unspecified reactive species

Linlin Bao,Haibo Zhao,Haiyue Ren,Chong Wang,Su Fang

Scientific reports 15:33150 PubMed41006496

2025

Neonatal sevoflurane exposure enhances stress-related neurological susceptibility via NKCC1 modulation.

Applications

Unspecified application

Species

Unspecified reactive species

Bi-Ying Yuan,Li-Hui Shan,Jiang Zou,Xiao-Hai Xie,Jia-Qi Gan,Ben-Zhen Chen

Scientific reports 14:13523 PubMed38866755

2024

GD2 and its biosynthetic enzyme GD3 synthase promote tumorigenesis in prostate cancer by regulating cancer stem cell behavior.

Applications

Unspecified application

Species

Unspecified reactive species

Aaqib M Bhat,Bhopal C Mohapatra,Haitao Luan,Insha Mushtaq,Sukanya Chakraborty,Siddhartha Kumar,Wangbin Wu,Ben Nolan,Samikshan Dutta,Matthew D Storck,Micah Schott,Jane L Meza,Subodh M Lele,Ming-Fong Lin,Leah M Cook,Eva Corey,Colm Morrissey,Donald W Coulter,M Jordan Rowley,Amarnath Natarajan,Kaustubh Datta,Vimla Band,Hamid Band

BMC cancer 24:451 PubMed38605343

2024

Cellular senescence and metabolic reprogramming model based on bulk/single-cell RNA sequencing reveals PTGER4 as a therapeutic target for ccRCC.

Applications

Unspecified application

Species

Unspecified reactive species

Lijie Zhou,Youmiao Zeng,Yuanhao Liu,Kaixuan Du,Yongbo Luo,Yiheng Dai,Wenbang Pan,Lailai Zhang,Lei Zhang,Fengyan Tian,Chaohui Gu

Heliyon 10:e28551 PubMed38596082

2024

Olfactory three needle regulates the proliferation of olfactory bulb neural stem cells and ameliorates brain injury after subarachnoid hemorrhage by regulating Wnt/β-catenin signaling.

Applications

Unspecified application

Species

Unspecified reactive species

Feng Zhou,Zhenzhi Wang,Kang Xiong,Meiling Zhang,Qiang Wang,Yuan Wang,Xiong Li

Translational oncology 39:101807 PubMed38235618

2024

MALAT1 promotes FOXA1 degradation by competitively binding to miR-216a-5p and enhancing neuroendocrine differentiation in prostate cancer.

Applications

Unspecified application

Species

Unspecified reactive species

Fanchang Zeng,Daoyuan Li,Xinli Kang,Qinghui Wu,Mi Song,Zhewen Ou,Zuobing Yang,Jing Yang,Liumei Luo

Signal transduction and targeted therapy 8:399 PubMed37857598

2023

Anti-PD-1 antibody armored γδ T cells enhance anti-tumor efficacy in ovarian cancer.

Applications

Unspecified application

Species

Unspecified reactive species

Yue Wang,Jingyi Han,Dongdong Wang,Menghua Cai,Yi Xu,Yu Hu,Hui Chen,Wei He,Jianmin Zhang

Aging and disease 14:1757-1774 PubMed37196108

2023

Overexpression of RACGAP1 by E2F1 Promotes Neuroendocrine Differentiation of Prostate Cancer by Stabilizing EZH2 Expression.

Applications

Unspecified application

Species

Unspecified reactive species

Zhengshuai Song,Qi Cao,Bin Guo,Ye Zhao,Xuechao Li,Ning Lou,Chenxi Zhu,Gang Luo,Song Peng,Guohao Li,Ke Chen,Yong Wang,Hailong Ruan,Yonglian Guo

Oncology reports 49: PubMed36562383

2022

ENO2 affects the EMT process of renal cell carcinoma and participates in the regulation of the immune microenvironment.

Applications

Unspecified application

Species

Unspecified reactive species

Wei-Jie Chen,Wei Yang,Min Gong,Yi He,Da Xu,Jia-Xin Chen,Wen-Jin Chen,Wen-Yan Li,Yu-Qi Wang,Ke-Qin Dong,Xu Song,Xiu-Wu Pan,Xin-Gang Cui
View all publications

Product promise

We are committed to supporting your work with high-quality reagents, and we're here for you every step of the way. In the unlikely event that one of our products does not perform as expected, you're protected by our Product Promise.
For full details, please see our Terms & Conditions

Please note: All products are 'FOR RESEARCH USE ONLY. NOT FOR USE IN DIAGNOSTIC OR THERAPEUTIC PROCEDURES'.

For licensing inquiries, please contact partnerships@abcam.com