JavaScript is disabled in your browser. Please enable JavaScript to view this website.
AB230455

Anti-eNOS antibody - C-terminal

Be the first to review this product! Submit a review

|

(3 Publications)

Rabbit Polyclonal eNOS antibody. C-terminal Suitable for IHC-P and reacts with Human samples. Cited in 3 publications.

View Alternative Names

Nitric oxide synthase 3, Constitutive NOS, EC-NOS, NOS type III, cNOS, NOSIII, Endothelial NOS, eNOS, NOS3

1 Images
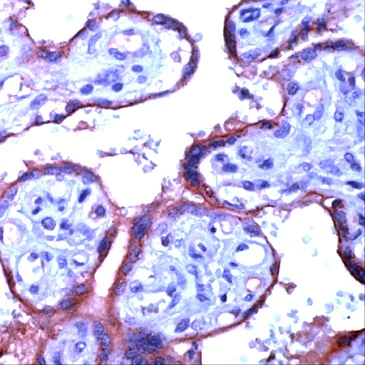
Immunohistochemistry (Formalin/PFA-fixed paraffin-embedded sections) - Anti-eNOS antibody - C-terminal (AB230455)
  • IHC-P

Supplier Data

Immunohistochemistry (Formalin/PFA-fixed paraffin-embedded sections) - Anti-eNOS antibody - C-terminal (AB230455)

Formalin-fixed, paraffin-embedded human placenta tissue stained for eNOS using ab230455 at 1/70 dilution in immunohistochemical analysis.

Key facts

Host species

Rabbit

Clonality

Polyclonal

Isotype

IgG

Carrier free

No

Reacts with

Human

Applications

IHC-P

applications

Immunogen

The exact immunogen used to generate this antibody is proprietary information.

Reactivity data

{ "title": "Reactivity Data", "filters": { "stats": ["", "Species", "Dilution Info", "Notes"], "tabs": { "all-applications": {"fullname" : "All Applications", "shortname": "All Applications"}, "IHCP" : {"fullname" : "Immunohistochemistry (Formalin/PFA-fixed paraffin-embedded sections)", "shortname":"IHC-P"} }, "product-promise": { "all": "all", "testedAndGuaranteed": "tested", "guaranteed": "expected", "predicted": "predicted", "notRecommended": "not-recommended" } }, "values": { "Human": { "IHCP-species-checked": "testedAndGuaranteed", "IHCP-species-dilution-info": "1/70", "IHCP-species-notes": "<p>Incubate with primary antibody for 10 minutes at room temperature.</p> Perform heat-mediated antigen retrieval with citrate buffer pH 6 before commencing with IHC staining protocol." } } }

Properties and storage information

Form
Liquid
Purification technique
Affinity purification Immunogen
Storage buffer
pH: 7.6 Preservative: 0.1% Sodium azide Constituents: PBS, 1% BSA
Shipped at conditions
Blue Ice
Appropriate short-term storage duration
1-2 weeks
Appropriate short-term storage conditions
+4°C
Appropriate long-term storage conditions
-20°C
Aliquoting information
Upon delivery aliquot
Storage information
Avoid freeze / thaw cycle

Supplementary information

This supplementary information is collated from multiple sources and compiled automatically.

ENOS also known as endothelial nitric oxide synthase is an enzyme important for the production of nitric oxide (NO) in blood vessels. This protein with a molecular weight of approximately 133 kDa is expressed mostly in endothelial cells. eNOS plays a mechanical role in synthesizing NO from L-arginine a process requiring cofactors such as NADPH and oxygen. The activity of eNOS can be investigated through techniques such as Western blot with specific assays like phospho-eNOS ELISA available to measure its phosphorylated forms indicating activated states of the enzyme.
Biological function summary

ENOS contributes significantly to the regulation of vascular tone and blood flow by promoting vasodilation. It does not function alone; instead it forms complexes with other proteins to exert its full effect. eNOS activity influences the process of angiogenesis inflammation modulation and platelet aggregation. Through its ability to produce nitric oxide eNOS acts as a signaling molecule helping maintain vascular homeostasis.

Pathways

ENOS is a critical player in the NO signaling pathway and interacts intricately with the PI3K/Akt pathway. Nitric oxide produced by eNOS has a role in signaling cascades that lead to vascular dilation and reduced blood pressure. The PI3K/Akt pathway regulates eNOS activity via phosphorylation enhancing NO production. Other proteins like caveolin-1 and calmodulin modulate eNOS impacting these pathways' outcomes.

ENOS is associated with cardiovascular conditions like atherosclerosis and hypertension. Dysfunction of eNOS can lead to reduced NO production impairing vasodilation and contributing to these diseases. In cardiovascular disorders eNOS interacts with proteins such as the angiotensin II type 1 receptor which can negatively impact its function exacerbating disease states. Investigating eNOS and its related proteins provides insight into potential therapeutic targets for improving cardiovascular health.

Product protocols

For this product, it's our understanding that no specific protocols are required. You can visit:

Target data

Produces nitric oxide (NO) which is implicated in vascular smooth muscle relaxation through a cGMP-mediated signal transduction pathway (PubMed : 1378832). NO mediates vascular endothelial growth factor (VEGF)-induced angiogenesis in coronary vessels and promotes blood clotting through the activation of platelets.. Isoform eNOS13C. Lacks eNOS activity, dominant-negative form that may down-regulate eNOS activity by forming heterodimers with isoform 1.
See full target information NOS3

Publications (3)

Recent publications for all applications. Explore the full list and refine your search

Journal of the American Heart Association 2:e000202 PubMed23723253

2013

Effects of cell grafting on coronary remodeling after myocardial infarction.

Applications

IHC-P

Species

Mouse

Jill J Weyers,Stephen M Schwartz,Elina Minami,Dara D Carlson,Sarah K Dupras,Kevin Weitz,Michael Simons,Timothy C Cox,Charles E Murry,William M Mahoney

Circulation research 106:373-82 PubMed19926873

2009

Brain-selective overexpression of human Angiotensin-converting enzyme type 2 attenuates neurogenic hypertension.

Applications

IHC (PFA fixed)

Species

Mouse

Yumei Feng,Huijing Xia,Yanhui Cai,Carmen M Halabi,Lenice K Becker,Robson A S Santos,Robert C Speth,Curt D Sigmund,Eric Lazartigues

American journal of respiratory and critical care 176:1154-60 PubMed17872491

2007

Asymmetric dimethylarginine is increased in chronic thromboembolic pulmonary hypertension.

Applications

Unspecified application

Species

Unspecified reactive species

Nika Skoro-Sajer,Friedrich Mittermayer,Adelheid Panzenboeck,Diana Bonderman,Roela Sadushi,Robert Hitsch,Johannes Jakowitsch,Walter Klepetko,Meinhard P Kneussl,Michael Wolzt,Irene M Lang
View all publications

Product promise

We are committed to supporting your work with high-quality reagents, and we're here for you every step of the way. In the unlikely event that one of our products does not perform as expected, you're protected by our Product Promise.
For full details, please see our Terms & Conditions

Please note: All products are 'FOR RESEARCH USE ONLY. NOT FOR USE IN DIAGNOSTIC OR THERAPEUTIC PROCEDURES'.

For licensing inquiries, please contact partnerships@abcam.com