JavaScript is disabled in your browser. Please enable JavaScript to view this website.
AB252439

Anti-eNOS antibody [EPR23750-3]

  • BOND RX™ Validated
  • 20ul selling size
  • RabMAb
  • Advanced Validation
  • Recombinant
  • What is this?

Be the first to review this product! Submit a review

|

(12 Publications)

Rabbit Recombinant Monoclonal eNOS antibody. Suitable for mIHC, ICC/IF, IP, WB, Flow Cyt (Intra), IHC-P and reacts with Human samples. Cited in 12 publications.

View Alternative Names

Nitric oxide synthase 3, Constitutive NOS, EC-NOS, NOS type III, cNOS, NOSIII, Endothelial NOS, eNOS, NOS3

11 Images
Multiplex immunohistochemistry - Anti-eNOS antibody [EPR23750-3] (AB252439)
  • mIHC

Supplier Data

Multiplex immunohistochemistry - Anti-eNOS antibody [EPR23750-3] (AB252439)

Fluorescence multiplex immunohistochemical analysis of human liver (formalin-fixed paraffin-embedded section). Panel A shows merged staining of anti-MASP2 stained on cytoplasm of hepatocytes (ab277520; gray; Opal™690) at 1 : 100 ( 5.22 μg/ml) [Panel B] , anti-CD163 stained on Kupffer cells (ab213612; green; Opal™520) at 1 : 8000 ( 0.13 μg/ml) [Panel C], and anti-eNOS tained on endothelial cells (ab252439; red; Opal™570) at 1 : 200 ( 3.005 μg/ml) [Panel D] on human liver. DAPI was used as a nuclear counter stain. Followed by Opal Polymer HRP Ms + Rb secondary. The immunostaining was performed on a Leica Biosystems BOND® RX instrument with an Opal™ 4-color kit. Image acquisition was performed with Leica SP8 confocal microscope. The section was incubated in three rounds of staining : in the order of ab277520, ab213612, and ab252439 for 30 mins at room temperature. Each round was followed by a separate fluorescent tyramide signal amplification system. Heat mediated antigen retrieval with Tris-EDTA buffer (pH 9.0, epitope retrieval solution2) for 20 mins was used.

Flow Cytometry (Intracellular) - Anti-eNOS antibody [EPR23750-3] (AB252439)
  • Flow Cyt (Intra)

Unknown

Flow Cytometry (Intracellular) - Anti-eNOS antibody [EPR23750-3] (AB252439)

Intracellular flow cytometric analysis of 4% paraformaldehyde-fixed, 90% methanol-permeabilized HeLa (human cervix adenocarcinoma epithelial cell, left) /HUVEC (human umbilical vein endothelial cell, right) cells labelling eNOS with ab252439 at 1/50 dilution (1ug) (Red) compared with a Rabbit monoclonal IgG (ab172730) isotype control (Black) and an unlabelled control (cells without incubation with primary antibody and secondary antibody) (Blue).

A Goat anti rabbit IgG (Alexa Fluor® 488, ab150077) at 1/2000 dilution was used as the secondary antibody.

Negative control : Hela (PMID : 19559671).

Immunohistochemistry (Formalin/PFA-fixed paraffin-embedded sections) - Anti-eNOS antibody [EPR23750-3] (AB252439)
  • IHC-P

Unknown

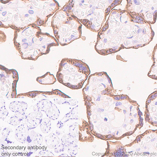
Immunohistochemistry (Formalin/PFA-fixed paraffin-embedded sections) - Anti-eNOS antibody [EPR23750-3] (AB252439)

Immunohistochemical analysis of paraffin-embedded human placenta tissue labeling eNOS with ab252439 at 1/500 (1.198 ug/ml) followed by a ready to use Rabbit specific IHC polymer detection kit HRP/DAB (ab209101). Cytoplasmic staining in human placenta. The section was incubated with ab252439 for 30 mins at room temperature. The immunostaining was performed on a Leica Biosystems BOND® RX instrument. Counterstained with Hematoxylin.

Secondary antibody only control : Secondary antibody is a ready to use Rabbit specific IHC polymer detection kit HRP/DAB (ab209101).

Heat mediated antigen retrieval with Tris-EDTA buffer (pH 9.0, epitope retrieval solution2) for 20 mins.

Multiplex immunohistochemistry - Anti-eNOS antibody [EPR23750-3] (AB252439)
  • mIHC

Supplier Data

Multiplex immunohistochemistry - Anti-eNOS antibody [EPR23750-3] (AB252439)

Fluorescence multiplex immunohistochemical analysis of human liver (formalin-fixed paraffin-embedded section). Panel A shows merged staining of anti-eNOS stained on endothelial cells (ab252439; red; Opal™570) at 1 : 1000 ( 1.004 μg/ml) [Panel B], anti-CD163 stained on Kupffer cells (ab213612; green; Opal™520) at 1 : 8000 ( 0.13 μg/ml) [Panel B], and anti-Glucose Transporter GLUT2 stained on membrane of hepatocytes (ab234440; gray; Opal™690) at 1 : 200 ( 3.005 μg/ml) [Panel D] on human liver. DAPI was used as a nuclear counter stain. Followed by Opal Polymer HRP Ms + Rb secondary. The immunostaining was performed on a Leica Biosystems BOND® RX instrument with an Opal™ 4-color kit. Image acquisition was performed with Leica SP8 confocal microscope. The section was incubated in three rounds of staining : in the order of ab234440, ab213612, and ab252439 for 30 mins at room temperature. Each round was followed by a separate fluorescent tyramide signal amplification system. Heat mediated antigen retrieval with Tris-EDTA buffer (pH 9.0, epitope retrieval solution2) for 20 mins was used.

Immunohistochemistry (Formalin/PFA-fixed paraffin-embedded sections) - Anti-eNOS antibody [EPR23750-3] (AB252439)
  • IHC-P

Supplier Data

Immunohistochemistry (Formalin/PFA-fixed paraffin-embedded sections) - Anti-eNOS antibody [EPR23750-3] (AB252439)

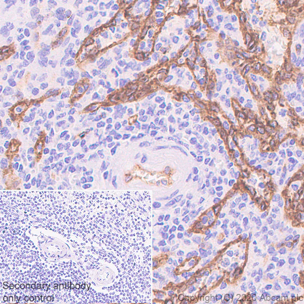
Immunohistochemical analysis of paraffin-embedded human lung carcinoma tissue labeling eNOS with ab252439 at 1/500 (1.198 ug/ml) followed by a ready to use Rabbit specific IHC polymer detection kit HRP/DAB (ab209101). Cytoplasmic staining on endothelial cells in human lung carcinoma. The section was incubated with ab252439 for 30 mins at room temperature. The immunostaining was performed on a Leica Biosystems BOND® RX instrument. Counterstained with Hematoxylin.

Secondary antibody only control : Secondary antibody is a ready to use Rabbit specific IHC polymer detection kit HRP/DAB (ab209101).

Heat mediated antigen retrieval with Tris-EDTA buffer (pH 9.0, epitope retrieval solution2) for 20 mins.

Immunohistochemistry (Formalin/PFA-fixed paraffin-embedded sections) - Anti-eNOS antibody [EPR23750-3] (AB252439)
  • IHC-P

Unknown

Immunohistochemistry (Formalin/PFA-fixed paraffin-embedded sections) - Anti-eNOS antibody [EPR23750-3] (AB252439)

Immunohistochemical analysis of paraffin-embedded human spleen tissue labeling eNOS with ab252439 at 1/500 (1.198 ug/ml) followed by a ready to use Rabbit specific IHC polymer detection kit HRP/DAB (ab209101). Cytoplasmic staining on endothelial cells in human spleen. The section was incubated with ab252439 for 30 mins at room temperature. The immunostaining was performed on a Leica Biosystems BOND® RX instrument. Counterstained with Hematoxylin.

Secondary antibody only control : Secondary antibody is a ready to use Rabbit specific IHC polymer detection kit HRP/DAB (ab209101).

Heat mediated antigen retrieval with Tris-EDTA buffer (pH 9.0, epitope retrieval solution2) for 20 mins.

Immunohistochemistry (Formalin/PFA-fixed paraffin-embedded sections) - Anti-eNOS antibody [EPR23750-3] (AB252439)
  • IHC-P

Unknown

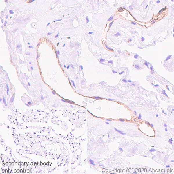
Immunohistochemistry (Formalin/PFA-fixed paraffin-embedded sections) - Anti-eNOS antibody [EPR23750-3] (AB252439)

Immunohistochemical analysis of paraffin-embedded Human kidney tissue labeling eNOS with ab252439 at 1/500 (1.198 ug/ml) followed by a ready to use Rabbit specific IHC polymer detection kit HRP/DAB (ab209101). Cytoplasmic staining on endothelial cells in human kidney. The section was incubated with ab252439 for 30 mins at room temperature. The immunostaining was performed on a Leica Biosystems BOND® RX instrument. Counterstained with Hematoxylin.

Secondary antibody only control : Secondary antibody is a ready to use Rabbit specific IHC polymer detection kit HRP/DAB (ab209101).

Heat mediated antigen retrieval with Tris-EDTA buffer (pH 9.0, epitope retrieval solution2) for 20 mins.

Immunocytochemistry/ Immunofluorescence - Anti-eNOS antibody [EPR23750-3] (AB252439)
  • ICC/IF

Lab

Immunocytochemistry/ Immunofluorescence - Anti-eNOS antibody [EPR23750-3] (AB252439)

Immunofluorescent analysis of 4% Paraformaldehyde-fixed, 0.1% Triton X-100 permeabilized HUVEC cells labelling eNOS with ab252439 at 1/100 (5.99 ug/ml) dilution, followed by ab150077 Goat Anti-Rabbit IgG H&L (Alexa Fluor® 488) antibody at 1/1000 dilution (Green). Confocal image showing cytoplasmic staining in HUVEC cells. Negative control : HeLa (PMID : 19559671). ab195889 Anti-alpha Tubulin mouse monoclonal antibody - Microtubule Marker (Alexa Fluor® 594) was used to counterstain tubulin at 1/200 dilution (Red). The Nuclear counterstain was DAPI (Blue).

Secondary antibody only control : Secondary antibody is ab150077 Goat Anti-Rabbit IgG H&L (Alexa Fluor® 488) at 1/1000 dilution.

Immunoprecipitation - Anti-eNOS antibody [EPR23750-3] (AB252439)
  • IP

Unknown

Immunoprecipitation - Anti-eNOS antibody [EPR23750-3] (AB252439)

eNOS was immunoprecipitated from 0.35 mg EA.hy926 (human somatic cell hybrid endothelial) whole cell lysate with ab252439 at 1/30 dilution (2ug in 0.35mg lysates). Western blot was performed on the immunoprecipitate using ab252439 at 1/1000 dilution. VeriBlot for IP Detection Reagent (HRP)(ab131366) was used at 1/5000 dilution.

Lane 1 : EA.hy926 (human somatic cell hybrid endothelial) whole cell lysate 10 ug

Lane 2 : ab252439 IP in EA.hy926 (human somatic cell hybrid endothelial) whole cell lysate

Lane 3 : Rabbit monoclonal IgG (ab172730) instead of ab252439 in EA.hy926 (human somatic cell hybrid endothelial) whole cell lysate

Blocking and dilution buffer and concentration : 5% NFDM/TBST.

Exposure time : 6 seconds.

IP lysates were unboiled.

All lanes:

Immunoprecipitation - Anti-eNOS antibody [EPR23750-3] (ab252439)

Predicted band size: 133 kDa

Observed band size: 140 kDa

false

Western blot - Anti-eNOS antibody [EPR23750-3] (AB252439)
  • WB

Lab

Western blot - Anti-eNOS antibody [EPR23750-3] (AB252439)

Blocking and diluting buffer and concentration : 5% NFDM/TBST.

HUVEC whole cell lysate in lane 1 is made freshly and used in WB test immediately to minimize protein degradation.

Exposure time : 6 seconds.

All lanes:

Western blot - Anti-eNOS antibody [EPR23750-3] (ab252439) at 1/1000 dilution

All lanes:

HUVEC (human umbilical vein endothelial cell) whole cell lysate at 20 µg

Secondary

All lanes:

Goat Anti-Rabbit IgG, (H+L), Peroxidase conjugated (<a href='/en-us/products/secondary-antibodies/goat-rabbit-igg-h-l-hrp-ab97051'>ab97051</a>) at 1/100000 dilution

Predicted band size: 133 kDa

Observed band size: 140 kDa

false

Western blot - Anti-eNOS antibody [EPR23750-3] (AB252439)
  • WB

Lab

Western blot - Anti-eNOS antibody [EPR23750-3] (AB252439)

Blocking and diluting buffer and concentration : 5% NFDM/TBST.

Negative control : HeLa (PMID : 19559671).

Lysates were made freshly and used in WB test immediately to minimize protein degradation. Lysates were unboiled.

Exposure time : 6 seconds.

All lanes:

Western blot - Anti-eNOS antibody [EPR23750-3] (ab252439) at 1/1000 dilution

Lane 1:

EA.hy926 (human somatic cell hybrid endothelial) whole cell lysate at 20 µg

Lane 2:

HeLa (human cervix adenocarcinoma epithelial cell) whole cell lysate at 20 µg

Secondary

All lanes:

Western blot - Goat Anti-Rabbit IgG H&L (HRP) (<a href='/en-us/products/secondary-antibodies/goat-rabbit-igg-h-l-hrp-ab97051'>ab97051</a>) at 1/100000 dilution

Predicted band size: 133 kDa

Observed band size: 140 kDa

false

Key facts

Host species

Rabbit

Clonality

Monoclonal

Clone number

EPR23750-3

Isotype

IgG

Carrier free

No

Reacts with

Human

Applications

mIHC, Flow Cyt (Intra), IP, ICC/IF, IHC-P, WB

applications

Immunogen

The exact immunogen used to generate this antibody is proprietary information.

Reactivity data

{ "title": "Reactivity Data", "filters": { "stats": ["", "Species", "Dilution Info", "Notes"], "tabs": { "all-applications": {"fullname" : "All Applications", "shortname": "All Applications"}, "mIHC" : {"fullname" : "Multiplex immunohistochemistry", "shortname":"mIHC"}, "ICCIF" : {"fullname" : "Immunocytochemistry/ Immunofluorescence", "shortname":"ICC/IF"}, "IP" : {"fullname" : "Immunoprecipitation", "shortname":"IP"}, "WB" : {"fullname" : "Western blot", "shortname":"WB"}, "FlowCytIntra" : {"fullname" : "Flow Cytometry (Intracellular)", "shortname":"Flow Cyt (Intra)"}, "IHCP" : {"fullname" : "Immunohistochemistry (Formalin/PFA-fixed paraffin-embedded sections)", "shortname":"IHC-P"} }, "product-promise": { "all": "all", "testedAndGuaranteed": "tested", "guaranteed": "expected", "predicted": "predicted", "notRecommended": "not-recommended" } }, "values": { "Human": { "mIHC-species-checked": "testedAndGuaranteed", "mIHC-species-dilution-info": "1/200 - 1/1000", "mIHC-species-notes": "<p></p> Perform heat-mediated antigen retrieval with Tris/EDTA buffer pH 9.0 before commencing with IHC staining protocol.", "ICCIF-species-checked": "testedAndGuaranteed", "ICCIF-species-dilution-info": "1/100", "ICCIF-species-notes": "<p></p>", "IP-species-checked": "testedAndGuaranteed", "IP-species-dilution-info": "1/30", "IP-species-notes": "<p></p>", "WB-species-checked": "testedAndGuaranteed", "WB-species-dilution-info": "1/1000", "WB-species-notes": "<p></p>", "FlowCytIntra-species-checked": "testedAndGuaranteed", "FlowCytIntra-species-dilution-info": "1/600", "FlowCytIntra-species-notes": "<p></p>", "IHCP-species-checked": "testedAndGuaranteed", "IHCP-species-dilution-info": "1/500", "IHCP-species-notes": "<p></p> Perform heat-mediated antigen retrieval with Tris/EDTA buffer pH 9.0 before commencing with IHC staining protocol." }, "Mouse": { "mIHC-species-checked": "notRecommended", "mIHC-species-dilution-info": "", "mIHC-species-notes": "", "ICCIF-species-checked": "notRecommended", "ICCIF-species-dilution-info": "", "ICCIF-species-notes": "", "IP-species-checked": "notRecommended", "IP-species-dilution-info": "", "IP-species-notes": "", "WB-species-checked": "notRecommended", "WB-species-dilution-info": "1/1000", "WB-species-notes": "<p></p>", "FlowCytIntra-species-checked": "notRecommended", "FlowCytIntra-species-dilution-info": "", "FlowCytIntra-species-notes": "", "IHCP-species-checked": "notRecommended", "IHCP-species-dilution-info": "1/500", "IHCP-species-notes": "<p></p> Perform heat-mediated antigen retrieval with Tris/EDTA buffer pH 9.0 before commencing with IHC staining protocol." }, "Rat": { "mIHC-species-checked": "notRecommended", "mIHC-species-dilution-info": "", "mIHC-species-notes": "", "ICCIF-species-checked": "notRecommended", "ICCIF-species-dilution-info": "", "ICCIF-species-notes": "", "IP-species-checked": "notRecommended", "IP-species-dilution-info": "", "IP-species-notes": "", "WB-species-checked": "notRecommended", "WB-species-dilution-info": "1/1000", "WB-species-notes": "<p></p>", "FlowCytIntra-species-checked": "notRecommended", "FlowCytIntra-species-dilution-info": "", "FlowCytIntra-species-notes": "", "IHCP-species-checked": "notRecommended", "IHCP-species-dilution-info": "1/500", "IHCP-species-notes": "<p></p> Perform heat-mediated antigen retrieval with Tris/EDTA buffer pH 9.0 before commencing with IHC staining protocol." } } }

Product details

Patented technology
Our RabMAb® technology is a patented hybridoma-based technology for making rabbit monoclonal antibodies. For details on our patents, please refer to RabMAb® patents.

What are the advantages of a recombinant monoclonal antibody?
This product is a recombinant monoclonal antibody, which offers several advantages including:

  • - High batch-to-batch consistency and reproducibility
  • - Improved sensitivity and specificity
  • - Long-term security of supply
  • - Animal-free batch production

For more information, read more on recombinant antibodies.

Properties and storage information

Form
Liquid
Purification technique
Affinity purification Protein A
Storage buffer
Preservative: 0.01% Sodium azide Constituents: PBS, 40% Glycerol (glycerin, glycerine), 0.05% BSA
Shipped at conditions
Blue Ice
Appropriate short-term storage duration
1-2 weeks
Appropriate short-term storage conditions
+4°C
Appropriate long-term storage conditions
-20°C
Aliquoting information
Upon delivery aliquot
Storage information
Avoid freeze / thaw cycle

Supplementary information

This supplementary information is collated from multiple sources and compiled automatically.

ENOS also known as endothelial nitric oxide synthase is an enzyme important for the production of nitric oxide (NO) in blood vessels. This protein with a molecular weight of approximately 133 kDa is expressed mostly in endothelial cells. eNOS plays a mechanical role in synthesizing NO from L-arginine a process requiring cofactors such as NADPH and oxygen. The activity of eNOS can be investigated through techniques such as Western blot with specific assays like phospho-eNOS ELISA available to measure its phosphorylated forms indicating activated states of the enzyme.
Biological function summary

ENOS contributes significantly to the regulation of vascular tone and blood flow by promoting vasodilation. It does not function alone; instead it forms complexes with other proteins to exert its full effect. eNOS activity influences the process of angiogenesis inflammation modulation and platelet aggregation. Through its ability to produce nitric oxide eNOS acts as a signaling molecule helping maintain vascular homeostasis.

Pathways

ENOS is a critical player in the NO signaling pathway and interacts intricately with the PI3K/Akt pathway. Nitric oxide produced by eNOS has a role in signaling cascades that lead to vascular dilation and reduced blood pressure. The PI3K/Akt pathway regulates eNOS activity via phosphorylation enhancing NO production. Other proteins like caveolin-1 and calmodulin modulate eNOS impacting these pathways' outcomes.

ENOS is associated with cardiovascular conditions like atherosclerosis and hypertension. Dysfunction of eNOS can lead to reduced NO production impairing vasodilation and contributing to these diseases. In cardiovascular disorders eNOS interacts with proteins such as the angiotensin II type 1 receptor which can negatively impact its function exacerbating disease states. Investigating eNOS and its related proteins provides insight into potential therapeutic targets for improving cardiovascular health.

Product protocols

For this product, it's our understanding that no specific protocols are required. You can visit:

Target data

Produces nitric oxide (NO) which is implicated in vascular smooth muscle relaxation through a cGMP-mediated signal transduction pathway (PubMed : 1378832). NO mediates vascular endothelial growth factor (VEGF)-induced angiogenesis in coronary vessels and promotes blood clotting through the activation of platelets.. Isoform eNOS13C. Lacks eNOS activity, dominant-negative form that may down-regulate eNOS activity by forming heterodimers with isoform 1.
See full target information NOS3

Publications (12)

Recent publications for all applications. Explore the full list and refine your search

Acta pharmaceutica Sinica. B 15:4872-4885 PubMed41049747

2025

The toxic components, toxicological mechanism and effective antidote for poisoning.

Applications

Unspecified application

Species

Unspecified reactive species

Niping Li,Yaorong Yang,Shengyuan Zhang,Bin Jiang,Wei Zhang,Haibo Wang,Lixin Chen,Liwei Wang,Yiyi Li,Lei Shi,Wencai Ye,Lei Wang

Food science & nutrition 12:8000-8012 PubMed39479713

2024

The potential of in the treatment of hyperlipidemia and its interaction with the LOX1-PI3K-AKT-eNOS pathway.

Applications

Unspecified application

Species

Unspecified reactive species

Zhuyang Shen,Xin Gao,Dan Huang,Xiaojin Xu,Jianping Shen

Medicine 103:e40118 PubMed39432648

2024

Integrating network pharmacology and experimental verification to explore the pharmacological mechanisms of Guanxin Shutong capsule in treating heart failure.

Applications

Unspecified application

Species

Unspecified reactive species

Zheming Yang,Jiayin Li,Haixu Song,Hanlin Wu,Shuli Zhang,Zhu Mei,Yu Xue,Xiaolin Zhang,Chenghui Yan,Yaling Han

American journal of physiology. Endocrinology and metabolism 327:E172-E182 PubMed38836779

2024

Elevated heart rate and decreased muscle endothelial nitric oxide synthase in early development of insulin resistance.

Applications

Unspecified application

Species

Unspecified reactive species

Sarah J Blackwood,Dominik Tischer,Myrthe P F van de Ven,Marjan Pontén,Sebastian Edman,Oscar Horwath,William Apró,Julia Röja,Maria M Ekblom,Marcus Moberg,Abram Katz

Cancer cell international 24:184 PubMed38802855

2024

mir-605-3p prevents liver premetastatic niche formation by inhibiting angiogenesis via decreasing exosomal nos3 release in gastric cancer.

Applications

Unspecified application

Species

Unspecified reactive species

Yilin Hu,Weijie Zang,Ying Feng,Qinsheng Mao,Junjie Chen,Yizhun Zhu,Wanjiang Xue

The Kaohsiung journal of medical sciences 39:468-477 PubMed36912344

2023

Mechanism of human chorionic gonadotropin in endometrial receptivity via the miR-126-3p/PI3K/Akt/eNOS axis.

Applications

Unspecified application

Species

Unspecified reactive species

Wei Wang,Liang Ge,Li-Li Zhang,Li-Rong Wang,Yong-Yan Lu,Li Gou,Rui-Qiang Gou,Tong-Yu Xu,Xiao-Ling Ma,Xue-Hong Zhang

International journal of biological sciences 19:258-280 PubMed36594088

2023

Validation of ESM1 Related to Ovarian Cancer and the Biological Function and Prognostic Significance.

Applications

Unspecified application

Species

Unspecified reactive species

Yu-Kun Li,Tian Zeng,Yang Guan,Jue Liu,Nian-Chun Liao,Meng-Jie Wang,Ke-Xin Chen,Xian-Yu Luo,Chang-Ye Chen,Fei-Fei Quan,Juan Wang,Qun-Feng Zhang,Juan Zou

Experimental and therapeutic medicine 23:428 PubMed35607381

2022

Naringenin upregulates GTPCH1/eNOS to ameliorate high glucose-induced retinal endothelial cell injury.

Applications

Unspecified application

Species

Unspecified reactive species

Bing Xue,Yu Wang

Bioengineered 13:4385-4396 PubMed35139776

2022

Metformin attenuates high glucose-induced injury in islet microvascular endothelial cells.

Applications

Unspecified application

Species

Unspecified reactive species

Wenyu Zou,Bingkun Liu,Yulu Wang,Fangbin Shi,Shuguang Pang

Experimental and therapeutic medicine 23:120 PubMed34970343

2022

Bazedoxifene activates the angiotensin II-induced HUVEC hypertension model by targeting SIRT1.

Applications

Unspecified application

Species

Unspecified reactive species

Qian Yu,Jin Zhao,Baotang Liu
View all publications

Product promise

We are committed to supporting your work with high-quality reagents, and we're here for you every step of the way. In the unlikely event that one of our products does not perform as expected, you're protected by our Product Promise.
For full details, please see our Terms & Conditions

Please note: All products are 'FOR RESEARCH USE ONLY. NOT FOR USE IN DIAGNOSTIC OR THERAPEUTIC PROCEDURES'.

For licensing inquiries, please contact partnerships@abcam.com