JavaScript is disabled in your browser. Please enable JavaScript to view this website.
AB300071

Anti-eNOS antibody [EPR26335-79]

  • BOND RX™ Validated
  • 20ul selling size
  • RabMAb
  • Recombinant
  • What is this?

Be the first to review this product! Submit a review

|

(26 Publications)

Anti-eNOS antibody [EPR26335-79] (ab300071) is a rabbit monoclonal antibody detecting eNOS in Western Blot, Flow Cytometry (Intra), Flow Cytometry, IHC-P, ICC/IF. Suitable for Mouse, Rat.

- Biophysical QC for unrivalled batch-batch consistency

View Alternative Names

Nitric oxide synthase 3, Constitutive NOS, EC-NOS, NOS type III, cNOS, NOSIII, Endothelial NOS, eNOS, NOS3

5 Images
Immunohistochemistry (Formalin/PFA-fixed paraffin-embedded sections) - Anti-eNOS antibody [EPR26335-79] (AB300071)
  • IHC-P

Supplier Data

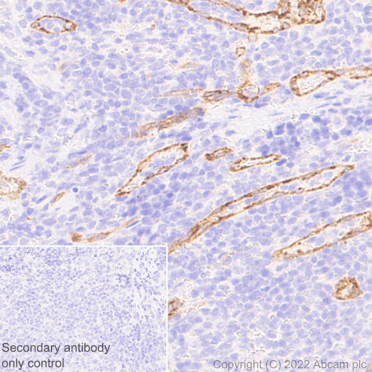
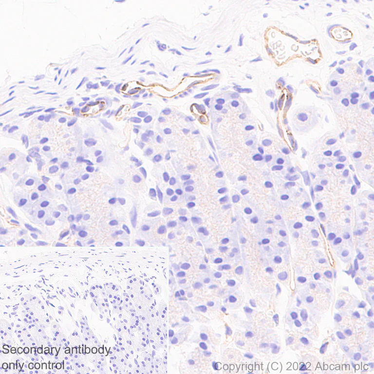
Immunohistochemistry (Formalin/PFA-fixed paraffin-embedded sections) - Anti-eNOS antibody [EPR26335-79] (AB300071)

Immunohistochemical analysis of paraffin-embedded rat stomach tissue labeling eNOS with ab300071 at 1/50 dilution (10.96 μg/ml), followed by a ready to use Leica DS9800 (BOND™ Polymer Refine Detection) kit. Positive staining on vascular endothelial cells of rat stomach was observed. The section was incubated with ab300071 for 30 mins at room temperature. The immunostaining was performed on a Leica Biosystems BOND® RX instrument. Counterstained with Hematoxylin.

Secondary antibody only control : Secondary antibody is a ready to use Leica DS9800 (BOND™ Polymer Refine Detection) kit.

Heat mediated antigen retrieval with Tris-EDTA buffer (pH 9.0, epitope retrieval solution 2) for 20 mins was used.

Flow Cytometry (Intracellular) - Anti-eNOS antibody [EPR26335-79] (AB300071)
  • Flow Cyt (Intra)

Supplier Data

Flow Cytometry (Intracellular) - Anti-eNOS antibody [EPR26335-79] (AB300071)

Flow cyt (Intra) analysis of 4% paraformaldehyde fixed 90% methanol permeabilized RAW 264.7 (Mouse Abelson murine leukemia virus-induced tumor macrophage, Left) / bEnd.3 (Mouse brain endothelioma, Right) cells labeling eNOS with ab300071 at 1/500 dilution (0.1 μg) (Red) compared with a Rabbit monoclonal IgG (ab172730) (Black) isotype control and an unlabelled control (cells without incubation with primary antibody and secondary antibody) (Blue). A Goat Anti-Rabbit IgG (Alexa Fluor® 488, ab150081) at 1/2000 dilution was used as the secondary antibody. Negative control : RAW 264.7 (PMID : 18607531).

Immunocytochemistry/ Immunofluorescence - Anti-eNOS antibody [EPR26335-79] (AB300071)
  • ICC/IF

Supplier Data

Immunocytochemistry/ Immunofluorescence - Anti-eNOS antibody [EPR26335-79] (AB300071)

Immunofluorescent analysis of 4% Paraformaldehyde-fixed, 0.1% TritonX-100 permeabilized bEnd.3 (mouse brain endothelioma endothelialpolyoma middle T antigen transformed) cells lebeling eNOS with ab300071 at 1/50 dilution (10.96 μg/ml), followed by ab150081 Goat Anti-Rabbit IgG H&L (Alexa Fluor® 488) preadsorbed antibody at 1/1000 dilution (2 μg/mL) (Green). Confocal image showing cytoplasm staining in bEnd.3 cell line. Negative control : RAW 264.7 (PMID : 18607531).

ab195889 Anti-alpha Tubulin mouse monoclonal antibody - Microtubule Marker (Alexa Fluor® 594) was used to counterstain tubulin at 1/200 (2.5μg/ml) dilution (Red). The Nuclear counterstain was DAPI (Blue).

Secondary antibody only control : Secondary antibody is ab150081 Goat Anti-Rabbit IgG H&L (Alexa Fluor® 488) preadsorbed at 1/1000 (2 μg/mL) dilution.

Immunohistochemistry (Formalin/PFA-fixed paraffin-embedded sections) - Anti-eNOS antibody [EPR26335-79] (AB300071)
  • IHC-P

Supplier Data

Immunohistochemistry (Formalin/PFA-fixed paraffin-embedded sections) - Anti-eNOS antibody [EPR26335-79] (AB300071)

Immunohistochemical analysis of paraffin-embedded rat spleen tissue labeling eNOS with ab300071 at 1/50 dilution (10.96 μg/ml), followed by a ready to use Leica DS9800 (BOND™ Polymer Refine Detection) kit. Positive staining on vascular endothelial cells of rat spleen was observed. The section was incubated with ab300071 for 30 mins at room temperature. The immunostaining was performed on a Leica Biosystems BOND® RX instrument. Counterstained with Hematoxylin.

Secondary antibody only control : Secondary antibody is a ready to use Leica DS9800 (BOND™ Polymer Refine Detection) was used.

Heat mediated antigen retrieval with Tris-EDTA buffer (pH 9.0, epitope retrieval solution 2) for 20 mins was used.

Western blot - Anti-eNOS antibody [EPR26335-79] (AB300071)
  • WB

Supplier Data

Western blot - Anti-eNOS antibody [EPR26335-79] (AB300071)

5% NFDM/TBST was used as blocking and diluting buffer.

Exposure time :

Lane 1 : 10 seconds
Lane 2 : 3 minutes

Negative control : RAW264.7 (PMID : 18607531)
Lysates were freshly made and used in WB test immediately to minimize protein degradation.

All lanes:

Western blot - Anti-eNOS antibody [EPR26335-79] (ab300071) at 1/1000 dilution

Lane 1:

bEnd.3 (mouse brain endothelioma) whole cell fresh lysate at 20 µg

Lane 2:

RAW264.7 (mouse Abelson murine leukemia virus-induced tumor macrophage) whole cell fresh lysate at 20 µg

Secondary

All lanes:

Western blot - Goat Anti-Rabbit IgG H&L (HRP) (<a href='/en-us/products/secondary-antibodies/goat-rabbit-igg-h-l-hrp-ab97051'>ab97051</a>) at 1/100000 dilution

Predicted band size: 132 kDa,133 kDa

Observed band size: 140 kDa

false

Key facts

Host species

Rabbit

Clonality

Monoclonal

Clone number

EPR26335-79

Isotype

IgG

Carrier free

No

Reacts with

Mouse, Rat

Applications

ICC/IF, WB, Flow Cyt (Intra), IHC-P

applications

Immunogen

The exact immunogen used to generate this antibody is proprietary information.

Specificity

Unsuitable for human, we recommend ab252439 and ab199956 for human. IHC-P unsuitable for mouse.

Reactivity data

{ "title": "Reactivity Data", "filters": { "stats": ["", "Species", "Dilution Info", "Notes"], "tabs": { "all-applications": {"fullname" : "All Applications", "shortname": "All Applications"}, "FlowCytIntra" : {"fullname" : "Flow Cytometry (Intracellular)", "shortname":"Flow Cyt (Intra)"}, "IP" : {"fullname" : "Immunoprecipitation", "shortname":"IP"}, "WB" : {"fullname" : "Western blot", "shortname":"WB"}, "ICCIF" : {"fullname" : "Immunocytochemistry/ Immunofluorescence", "shortname":"ICC/IF"}, "IHCP" : {"fullname" : "Immunohistochemistry (Formalin/PFA-fixed paraffin-embedded sections)", "shortname":"IHC-P"} }, "product-promise": { "all": "all", "testedAndGuaranteed": "tested", "guaranteed": "expected", "predicted": "predicted", "notRecommended": "not-recommended" } }, "values": { "Human": { "FlowCytIntra-species-checked": "notRecommended", "FlowCytIntra-species-dilution-info": "1/500", "FlowCytIntra-species-notes": "<p></p>", "IP-species-checked": "notRecommended", "IP-species-dilution-info": "", "IP-species-notes": "<p></p>", "WB-species-checked": "notRecommended", "WB-species-dilution-info": "", "WB-species-notes": "", "ICCIF-species-checked": "notRecommended", "ICCIF-species-dilution-info": "", "ICCIF-species-notes": "", "IHCP-species-checked": "notRecommended", "IHCP-species-dilution-info": "1/50", "IHCP-species-notes": "<p></p> Perform heat-mediated antigen retrieval with Tris/EDTA buffer pH 9.0 before commencing with IHC staining protocol." }, "Mouse": { "FlowCytIntra-species-checked": "testedAndGuaranteed", "FlowCytIntra-species-dilution-info": "1/500", "FlowCytIntra-species-notes": "<p></p>", "IP-species-checked": "notRecommended", "IP-species-dilution-info": "", "IP-species-notes": "<p></p>", "WB-species-checked": "testedAndGuaranteed", "WB-species-dilution-info": "1/1000", "WB-species-notes": "<p></p>", "ICCIF-species-checked": "testedAndGuaranteed", "ICCIF-species-dilution-info": "1/50", "ICCIF-species-notes": "<p></p>", "IHCP-species-checked": "notRecommended", "IHCP-species-dilution-info": "", "IHCP-species-notes": "<p>This antibody is not suitable for human species in IHC-P application.</p>" }, "Rat": { "FlowCytIntra-species-checked": "guaranteed", "FlowCytIntra-species-dilution-info": "", "FlowCytIntra-species-notes": "", "IP-species-checked": "notRecommended", "IP-species-dilution-info": "", "IP-species-notes": "<p></p>", "WB-species-checked": "guaranteed", "WB-species-dilution-info": "", "WB-species-notes": "", "ICCIF-species-checked": "guaranteed", "ICCIF-species-dilution-info": "", "ICCIF-species-notes": "", "IHCP-species-checked": "testedAndGuaranteed", "IHCP-species-dilution-info": "1/50", "IHCP-species-notes": "<p>This antibody is not suitable for human species in IHC-P application.</p> Perform heat-mediated antigen retrieval with Tris/EDTA buffer pH 9.0 before commencing with IHC staining protocol." } } }

Product details

What is this antibody validated in?
Anti-eNOS antibody [EPR26335-79] (ab300071) is a rabbit recombinant monoclonal antibody and is validated for use in Western Blot (WB), Flow Cytometry (Intra), Flow Cytometry (Flow Cyt), Immunohistochemistry (IHC-P), Immunocytochemistry/immunofluorescence (ICC/IF) in Mouse, Rat samples.

What is the molecular weight of eNOS?
Anti-eNOS [EPR26335-79] (ab300071) specifically detects a band for eNOS (UniProt: P70313) at a molecular weight of 132kDa.

Trial sizes available!
Test your antibody or perform pre-screening before committing to a larger quantity. Sold in 10µl. Discover our selection of trial-size antibodies.

Other related products
We have a range of other formats of antibody clone [EPR26335-79] also available for your convenience: ab300071, Carrier free - ab300072

Patented technology
Our RabMAb® technology is a patented hybridoma-based technology for making rabbit monoclonal antibodies. For details on our patents, please refer to RabMAb® patents.

What are the advantages of a recombinant monoclonal antibody?
This product is a recombinant monoclonal antibody, which offers several advantages including:

  • - High batch-to-batch consistency and reproducibility
  • - Improved sensitivity and specificity
  • - Long-term security of supply
  • - Animal-free batch production

For more information, read more on recombinant antibodies.

Properties and storage information

Form
Liquid
Purification technique
Affinity purification Protein A
Storage buffer
pH: 7.2 - 7.4 Preservative: 0.01% Sodium azide Constituents: PBS, 40% Glycerol (glycerin, glycerine), 0.05% BSA
Shipped at conditions
Blue Ice
Appropriate short-term storage duration
1-2 weeks
Appropriate short-term storage conditions
+4°C
Appropriate long-term storage conditions
-20°C
Aliquoting information
Upon delivery aliquot
Storage information
Avoid freeze / thaw cycle

Supplementary information

This supplementary information is collated from multiple sources and compiled automatically.

ENOS also known as endothelial nitric oxide synthase is an enzyme important for the production of nitric oxide (NO) in blood vessels. This protein with a molecular weight of approximately 133 kDa is expressed mostly in endothelial cells. eNOS plays a mechanical role in synthesizing NO from L-arginine a process requiring cofactors such as NADPH and oxygen. The activity of eNOS can be investigated through techniques such as Western blot with specific assays like phospho-eNOS ELISA available to measure its phosphorylated forms indicating activated states of the enzyme.
Biological function summary

ENOS contributes significantly to the regulation of vascular tone and blood flow by promoting vasodilation. It does not function alone; instead it forms complexes with other proteins to exert its full effect. eNOS activity influences the process of angiogenesis inflammation modulation and platelet aggregation. Through its ability to produce nitric oxide eNOS acts as a signaling molecule helping maintain vascular homeostasis.

Pathways

ENOS is a critical player in the NO signaling pathway and interacts intricately with the PI3K/Akt pathway. Nitric oxide produced by eNOS has a role in signaling cascades that lead to vascular dilation and reduced blood pressure. The PI3K/Akt pathway regulates eNOS activity via phosphorylation enhancing NO production. Other proteins like caveolin-1 and calmodulin modulate eNOS impacting these pathways' outcomes.

ENOS is associated with cardiovascular conditions like atherosclerosis and hypertension. Dysfunction of eNOS can lead to reduced NO production impairing vasodilation and contributing to these diseases. In cardiovascular disorders eNOS interacts with proteins such as the angiotensin II type 1 receptor which can negatively impact its function exacerbating disease states. Investigating eNOS and its related proteins provides insight into potential therapeutic targets for improving cardiovascular health.

Product protocols

For this product, it's our understanding that no specific protocols are required. You can visit:

Target data

Produces nitric oxide (NO) which is implicated in vascular smooth muscle relaxation through a cGMP-mediated signal transduction pathway (PubMed : 1378832). NO mediates vascular endothelial growth factor (VEGF)-induced angiogenesis in coronary vessels and promotes blood clotting through the activation of platelets.. Isoform eNOS13C. Lacks eNOS activity, dominant-negative form that may down-regulate eNOS activity by forming heterodimers with isoform 1.
See full target information NOS3

Publications (26)

Recent publications for all applications. Explore the full list and refine your search

Clinical and experimental pharmacology & physiology 52:e70081 PubMed41057979

2025

Indole-3-Propionic Acid Improves Vascular Function in High-Fat Diet-Induced Obese Mice via eNOS.

Applications

Unspecified application

Species

Unspecified reactive species

Shaying Yang,Zhiwei Wang,Xin Wen

Frontiers in pharmacology 16:1614167 PubMed40717981

2025

and pairs ameliorate preeclampsia via PI3K/AKT/eNOS pathway.

Applications

Unspecified application

Species

Unspecified reactive species

Shujun Sun,Jie Li,Dingmei Qin,Xiaoxiao Yang,Huilin Zhang,Yue Yang,Mengmeng Li,Ruihua Jin,Jianye Dai,Yong Liu

Journal of extracellular vesicles 14:e70099 PubMed40545968

2025

Engineered Mesenchymal Stem Cell-Derived Extracellular Vesicles Reverse Endothelial-Mesenchymal Transition in Atherosclerosis.

Applications

Unspecified application

Species

Unspecified reactive species

Zhuo Chen,Kai Chang,Sha Yang,Ruijia Deng,Yuan He,Ligai Zhang,Ming Chen,Dingqun Bai,Yan Pi

Advanced science (Weinheim, Baden-Wurttemberg, Germany) 12:e2411574 PubMed40344470

2025

Immune and Angiogenic Profiling of Mesenchymal Stem Cell Functions in a Subcutaneous Microenvironment for Allogeneic Islet Transplantation.

Applications

Unspecified application

Species

Unspecified reactive species

Jocelyn Nikita Campa-Carranza,Simone Capuani,Ashley L Joubert,Nathanael Hernandez,Tommaso Bo,Octavio I Sauceda-Villanueva,Marzia Conte,Letizia Franco,Marco Farina,Gabrielle E Rome,Yitian Xu,Junjun Zheng,Lissenya B Argueta,Jean A Niles,Fotis Nikolos,Corrine Ying Xuan Chua,Shu-Hsia Chen,Joan E Nichols,Norma S Kenyon,Alessandro Grattoni

Sexual medicine 13:qfaf017 PubMed40161546

2025

Icariin inhibits hyperglycemia-induced cell death in penile cavernous tissue and improves erectile function in type 1 diabetic rats.

Applications

Unspecified application

Species

Unspecified reactive species

Haowei Yang,Wenju Xiong,Jun Jiang,Rui Jiang

Physiological reports 12:e70123 PubMed39578098

2024

Glenn circulation causes early and progressive shunting in a surgical model of pulmonary arteriovenous malformations.

Applications

Unspecified application

Species

Unspecified reactive species

Tina C Wan,Henry Rousseau,Carol Mattern,Madeline Tabor,Matthew R Hodges,Ramani Ramchandran,Andrew D Spearman

Nature communications 15:6610 PubMed39098904

2024

Ultrasound-responsive theranostic platform for the timely monitoring and efficient thrombolysis in thrombi of tPA resistance.

Applications

Unspecified application

Species

Unspecified reactive species

Lin Lin,Zhaojing Ba,Hao Tian,Haoxiang Qin,Xi Chen,Xin Zhou,Shanlan Zhao,Lang Li,Fangchao Xue,Hong Li,Lang He,Xiaochen Li,Jiahui Du,Zhenhua Zhou,Wen Zeng

Journal of ophthalmology 2024:7195550 PubMed39049847

2024

ABCA1 Deletion Does Not Affect Aqueous Humor Outflow Function in Mice.

Applications

Unspecified application

Species

Unspecified reactive species

Bo Qin,Chunchun Hu,Youjia Zhang,Yuhong Chen,Yuan Lei

Diabetic medicine : a journal of the British Diabetic Association 41:e15388 PubMed38934613

2024

Vascular endothelial growth factor accelerates healing of foot ulcers in diabetic rats via promoting M2 macrophage polarization.

Applications

Unspecified application

Species

Unspecified reactive species

Fei Liu,Xianrui Xu,Tao Sun

Food science & nutrition 12:3893-3909 PubMed38873488

2024

Dihydromyricetin regulates KEAP1-Nrf2 pathways to enhance the survival of ischemic flap.

Applications

Unspecified application

Species

Unspecified reactive species

Xianyao Tao,Xiaoyun Pan,Gang Zhao,Mingyu Xue,Yongjun Rui
View all publications

Product promise

We are committed to supporting your work with high-quality reagents, and we're here for you every step of the way. In the unlikely event that one of our products does not perform as expected, you're protected by our Product Promise.
For full details, please see our Terms & Conditions

Please note: All products are 'FOR RESEARCH USE ONLY. NOT FOR USE IN DIAGNOSTIC OR THERAPEUTIC PROCEDURES'.

For licensing inquiries, please contact partnerships@abcam.com