JavaScript is disabled in your browser. Please enable JavaScript to view this website.
AB317582

Anti-eNOS antibody [RM1181]

  • BOND RX™ Validated
  • 20ul selling size
  • Recombinant
  • Advanced Validation
  • RabMAb
  • What is this?

Be the first to review this product! Submit a review

|

(0 Publication)

Rabbit Recombinant Multiclonal eNOS antibody. Suitable for mIHC, Flow Cyt (Intra), ICC/IF, IHC-P, WB and reacts with Human, Mouse, Rat samples.

View Alternative Names

Nitric oxide synthase 3, Constitutive NOS, EC-NOS, NOS type III, cNOS, NOSIII, Endothelial NOS, eNOS, NOS3

18 Images
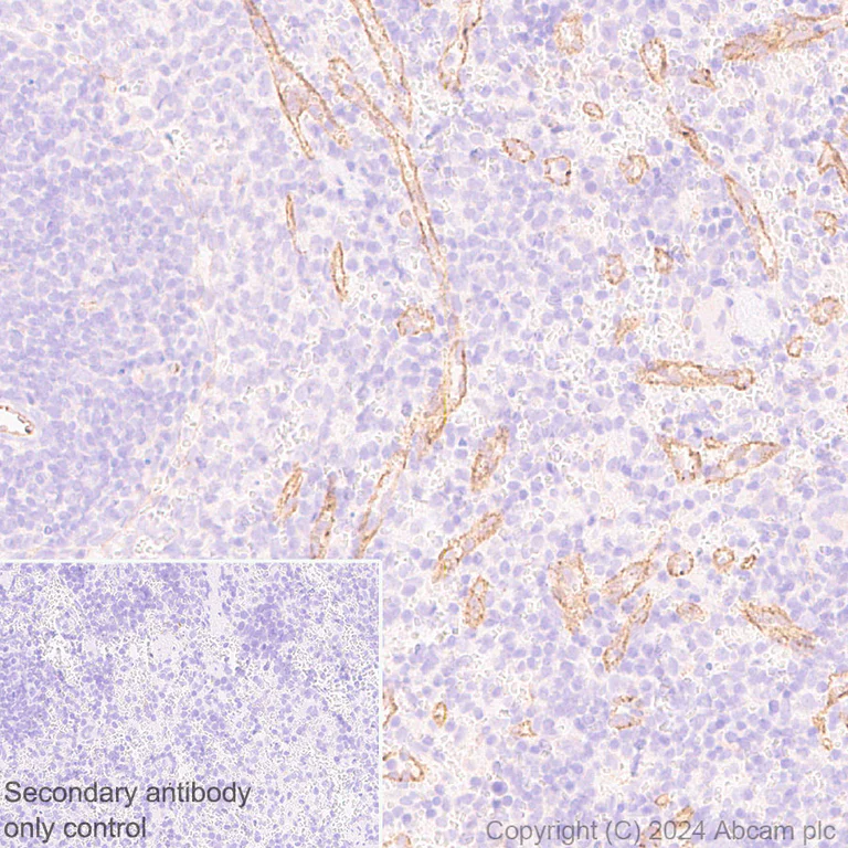
Immunohistochemistry (Formalin/PFA-fixed paraffin-embedded sections) - Anti-eNOS antibody [RM1181] (AB317582)
  • IHC-P

Supplier Data

Immunohistochemistry (Formalin/PFA-fixed paraffin-embedded sections) - Anti-eNOS antibody [RM1181] (AB317582)

Immunohistochemical analysis of paraffin-embedded Human endometrioid carcinoma tissue labeling eNOS with ab317582 at 1/1000 (0.516 ug/ml) dilution, followed by a ready to use LeicaDS9800 (Bond™ Polymer Refine Detection).

Positive staining on endothelial cells in human endometrioid carcinoma. The section was incubated with ab317582 for 30 mins at room temperature.
The immunostaining was performed on a Leica Biosystems BOND® RX instrument

Counterstained with Hematoxylin.

Secondary antibody only control : Secondary antibody is a ready to use LeicaDS9800 (Bond™ Polymer Refine Detection).

Heat mediated antigen retrieval was performed with Tris-EDTA buffer (pH 9.0, Epitope Retrieval Solution2) for 20 mins

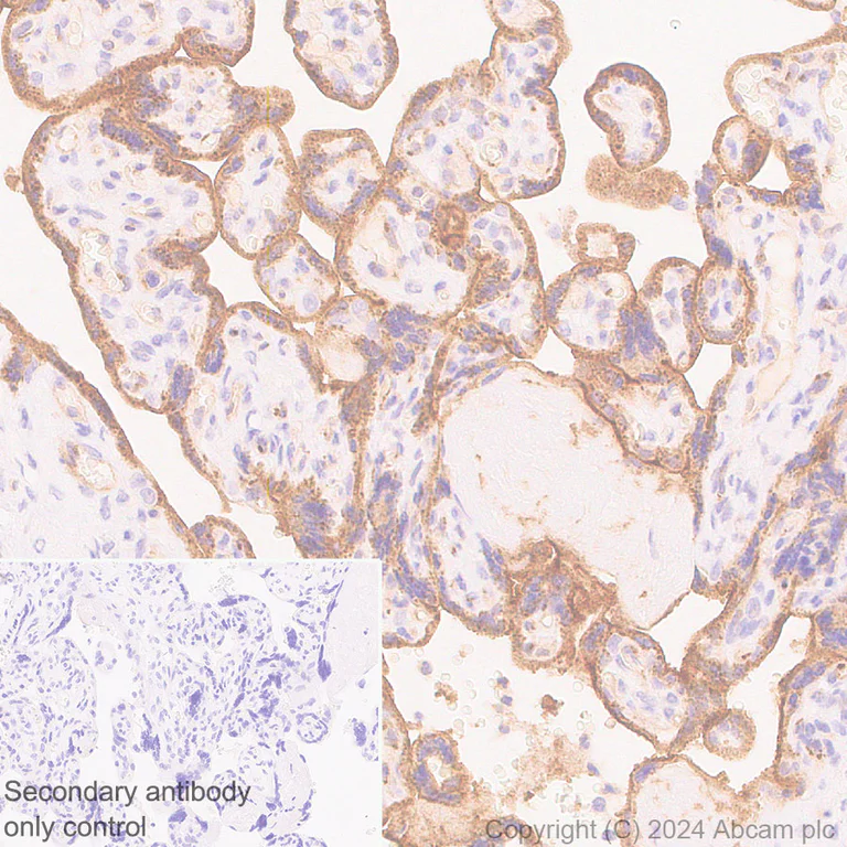
Immunohistochemistry (Formalin/PFA-fixed paraffin-embedded sections) - Anti-eNOS antibody [RM1181] (AB317582)
  • IHC-P

Supplier Data

Immunohistochemistry (Formalin/PFA-fixed paraffin-embedded sections) - Anti-eNOS antibody [RM1181] (AB317582)

Immunohistochemical analysis of paraffin-embedded Human placenta tissue labeling eNOS with ab317582 at 1/1000 (0.516 ug/ml) dilution, followed by a ready to use LeicaDS9800 (Bond™ Polymer Refine Detection).

Positive staining on human placenta. The section was incubated with ab317582 for 30 mins at room temperature.
The immunostaining was performed on a Leica Biosystems BOND® RX instrument

Counterstained with Hematoxylin.

Secondary antibody only control : Secondary antibody is a ready to use LeicaDS9800 (Bond™ Polymer Refine Detection).

Heat mediated antigen retrieval was performed with Tris-EDTA buffer (pH 9.0, Epitope Retrieval Solution2) for 20 mins

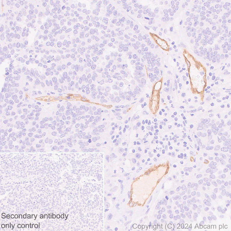
Immunohistochemistry (Formalin/PFA-fixed paraffin-embedded sections) - Anti-eNOS antibody [RM1181] (AB317582)
  • IHC-P

Supplier Data

Immunohistochemistry (Formalin/PFA-fixed paraffin-embedded sections) - Anti-eNOS antibody [RM1181] (AB317582)

Immunohistochemical analysis of paraffin-embedded Human spleen tissue labeling eNOS with ab317582 at 1/1000 (0.516 ug/ml) dilution, followed by a ready to use LeicaDS9800 (Bond™ Polymer Refine Detection).

Positive staining on endothelial cells of human spleen. The section was incubated with ab317582 for 30 mins at room temperature.
The immunostaining was performed on a Leica Biosystems BOND® RX instrument

Counterstained with Hematoxylin.

Secondary antibody only control : Secondary antibody is a ready to use LeicaDS9800 (Bond™ Polymer Refine Detection).

Heat mediated antigen retrieval was performed with Tris-EDTA buffer (pH 9.0, Epitope Retrieval Solution2) for 20 mins

Immunohistochemistry (Formalin/PFA-fixed paraffin-embedded sections) - Anti-eNOS antibody [RM1181] (AB317582)
  • IHC-P

Supplier Data

Immunohistochemistry (Formalin/PFA-fixed paraffin-embedded sections) - Anti-eNOS antibody [RM1181] (AB317582)

Immunohistochemical analysis of paraffin-embedded Human skeletal muscle tissue labeling eNOS with ab317582 at 1/1000 (0.516 ug/ml) dilution, followed by a ready to use LeicaDS9800 (Bond™ Polymer Refine Detection).

Low expression : almost no staining on human skeletal muscle. The section was incubated with ab317582 for 30 mins at room temperature.
The immunostaining was performed on a Leica Biosystems BOND® RX instrument

Counterstained with Hematoxylin.

Secondary antibody only control : Secondary antibody is a ready to use LeicaDS9800 (Bond™ Polymer Refine Detection).

Heat mediated antigen retrieval was performed with Tris-EDTA buffer (pH 9.0, Epitope Retrieval Solution2) for 20 mins

Multiplex immunohistochemistry - Anti-eNOS antibody [RM1181] (AB317582)
  • mIHC

Supplier Data

Multiplex immunohistochemistry - Anti-eNOS antibody [RM1181] (AB317582)

Immunohistochemistry (Formalin/PFA-fixed paraffin-embedded sections) analysis of human stomach labelling eNOS with ab317582 at 1/500 (B) and CD34 with ab315802 at 1/2000 dilution (C). Opal Polymer HRP Ms + Rb was used as a secondary antibody. Heat mediated antigen retrieval with Tris-EDTA buffer (pH 9.0, epitope retrieval solution2) for 20 mins.

Panel A : merged staining of anti-eNOS (magenta; Opal™520), anti-CD34 (green; Opal™570) on human stomach.
Panel B : anti-eNOS staining endothelium in human stomach.
Panel C : anti-CD34 staining endothelium in human stomach.
Panel D : Nuclear DNA was labeled with DAPI (shown in blue).

The section was incubated in three rounds of staining : in the order of ab317582 and ab315802 for 30 mins at room temperature. Each round was followed by a separate fluorescent tyramide signal amplification system.
The immunostaining was performed on a Leica Biosystems BOND® RX instrument with an Opal™ 4-color kit. Image acquisition was performed with Leica SP8 confocal microscope.

Multiplex immunohistochemistry - Anti-eNOS antibody [RM1181] (AB317582)
  • mIHC

Supplier Data

Multiplex immunohistochemistry - Anti-eNOS antibody [RM1181] (AB317582)

Immunohistochemistry (Formalin/PFA-fixed paraffin-embedded sections) analysis of human endometrium labelling eNOS with ab317582 at 1/500 (B) and CD34 with ab315802 at 1/2000 dilution (C). Opal Polymer HRP Ms + Rb was used as a secondary antibody. Heat mediated antigen retrieval with Tris-EDTA buffer (pH 9.0, epitope retrieval solution2) for 20 mins.

Panel A : merged staining of anti-eNOS (magenta; Opal™520), anti-CD34 (green; Opal™570) on human endometrium.
Panel B : anti-eNOS staining endothelium in human endometrium.
Panel C : anti-CD34 staining endothelium in human endometrium.
Panel D : Nuclear DNA was labeled with DAPI (shown in blue).

The section was incubated in three rounds of staining : in the order of ab317582 and ab315802 for 30 mins at room temperature. Each round was followed by a separate fluorescent tyramide signal amplification system.
The immunostaining was performed on a Leica Biosystems BOND® RX instrument with an Opal™ 4-color kit. Image acquisition was performed with Leica SP8 confocal microscope.

Multiplex immunohistochemistry - Anti-eNOS antibody [RM1181] (AB317582)
  • mIHC

Supplier Data

Multiplex immunohistochemistry - Anti-eNOS antibody [RM1181] (AB317582)

Immunohistochemistry (Formalin/PFA-fixed paraffin-embedded sections) analysis of human liver labelling GLUT2 with ab260003 at 1/1000 (B), eNOS with ab317582 at 1/500 dilution (C) and CD163 with ab213612 at 1/8000 dilution (D). Opal Polymer HRP Ms + Rb was used as a secondary antibody, and Nuclear DNA was labeled with DAPI (shown in blue). Heat mediated antigen retrieval with Tris-EDTA buffer (pH 9.0, epitope retrieval solution2) for 20 mins.

Panel A : merged staining of anti-GLUT2 (magenta; Opal™690), anti-eNOS (green; Opal™520) and anti-CD163 (gray; Opal™570) on human liver.
Panel B : anti-GLUT2 staining membrane of hepatocytes in human liver.
Panel C : anti-eNOS staining endothelium in human liver.
Panel D : anti-CD163 staining Kupffer cells in human liver.

The section was incubated in three rounds of staining : in the order of ab260003, ab317582 and ab213612 for 30 mins at room temperature. Each round was followed by a separate fluorescent tyramide signal amplification system.

The immunostaining was performed on a Leica Biosystems BOND® RX instrument with an Opal™ 4-color kit. Image acquisition was performed with Leica SP8 confocal microscope.

Multiplex immunohistochemistry - Anti-eNOS antibody [RM1181] (AB317582)
  • mIHC

Supplier Data

Multiplex immunohistochemistry - Anti-eNOS antibody [RM1181] (AB317582)

Multiplex immunohistochemistry analysis of formalin/PFA-fixed paraffin-embedded human liver tissue staining eNOS with ab317582 at a 1 : 500 (1.032 ug/ml) dilution, ab315802 anti-CD34 used at 1 : 2000 (0.26 ug/ml) dilution.

Panel A : merged staining of anti-eNOS (magenta; Opal™520), anti-CD34 (green; Opal™570) on human liver.
Panel B : anti-eNOS staining endothelium in human liver.
Panel C : anti-CD34 staining endothelium in human liver.
Panel D : Nuclear DNA was labeled with DAPI (shown in blue).

The section was incubated in three rounds of staining : in the order of ab317582 and ab315802 for 30 mins at room temperature. Each round was followed by a separate fluorescent tyramide signal amplification system.

The immunostaining was performed on a Leica Biosystems BOND® RX instrument with an Opal™ 4-color kit. Image acquisition was performed with Leica SP8 confocal microscope.

Nuclear counter stain with DAPI.

Heat mediated antigen retrieval with Tris-EDTA buffer (pH 9.0, epitope retrieval solution2) for 20 mins.

Multiplex immunohistochemistry - Anti-eNOS antibody [RM1181] (AB317582)
  • mIHC

Supplier Data

Multiplex immunohistochemistry - Anti-eNOS antibody [RM1181] (AB317582)

Multiplex immunohistochemistry analysis of formalin/PFA-fixed paraffin-embedded human liver tissue staining eNOS with ab317582 at a 1 : 1000 (1.004 ug/ml) dilution, ab317582 anti-eNOS used at 1 : 500 (1.032 ug/ml) dilution and ab213612 anti-CD163 used at a 1 : 8000 (0.13 ug/ml) dilution.

Panel A : merged staining of anti-GLUT2 (magenta; Opal™690), anti-eNOS (green; Opal™520) and anti-CD163 (gray; Opal™570) on human liver.
Panel B : anti-GLUT2 staining membrane of hepatocytes in human liver.
Panel C : anti-eNOS staining endothelium in human liver.
Panel D : anti-CD163 staining Kupffer cells in human liver.
Nuclear DNA was labeled with DAPI (shown in blue).

The section was incubated in three rounds of staining : in the order of ab260003, ab317582 and ab213612 for 30 mins at room temperature. Each round was followed by a separate fluorescent tyramide signal amplification system.

The immunostaining was performed on a Leica Biosystems BOND® RX instrument with an Opal™ 4-color kit. Image acquisition was performed with Leica SP8 confocal microscope.

Nuclear counter stain with DAPI.

Heat mediated antigen retrieval with Tris-EDTA buffer (pH 9.0, epitope retrieval solution2) for 20 mins.

Immunocytochemistry/ Immunofluorescence - Anti-eNOS antibody [RM1181] (AB317582)
  • ICC/IF

Supplier Data

Immunocytochemistry/ Immunofluorescence - Anti-eNOS antibody [RM1181] (AB317582)

Immunofluorescent analysis of 4% Paraformaldehyde-fixed, 0.1% TritonX-100 permeabilized HUVEC (human umbilical vein endothelial cell) cells labelling eNOS with ab317582 at 1/100 (5.16 ug/ml) dilution, followed by ab150081 Goat Anti-Rabbit IgG H&L (Alexa Fluor® 488) preadsorbed antibody at 1/1000 2 ug/ml dilution (Green).

Confocal image showing cytoplasmic and membranous staining in HUVEC cell line (shown in green). The counterstain was observed in magenta. Nuclear DNA was labeled with DAPI (shown in blue).
Negative control : HeLa (PMID : 19559671)
Image was taken with a confocal microscope (Leica-Microsystems, TCS SP8).

ab195889 Anti-alpha Tubulin mouse monoclonal antibody - Microtubule Marker (Alexa Fluor® 594) was used to counterstain tubulin at 1/200 2.5ug/ml dilution (Magenta). The Nuclear counterstain was DAPI (Blue).

Secondary antibody only control : Secondary antibody is ab150081 Goat Anti-Rabbit IgG H&L (Alexa Fluor® 488) preadsorbed at 1/1000 2 ug/ml dilution.

Flow Cytometry (Intracellular) - Anti-eNOS antibody [RM1181] (AB317582)
  • Flow Cyt (Intra)

Supplier Data

Flow Cytometry (Intracellular) - Anti-eNOS antibody [RM1181] (AB317582)

Flow cytometric analysis of 4% paraformaldehyde fixed 90% methanol permeabilized HeLa(human cervical adenocarcinoma epithelial cell, Left) / HUVEC(human umbilical vein endothelial cell, Right) cells labelling eNOS with ab317582 at 1/500 dilution (0.1 ug)/Red (Red) compared with a Rabbit monoclonal IgG (ab172730) (Black) isotype control and an unlabelled control (cells without incubation with primary antibody and secondary antibody) (Blue).

Goat Anti-Rabbit IgG (Alexa Fluor® 488, ab150081) at 1/5000 dilution was used as the secondary antibody.

Negative control : HeLa

Multiplex immunohistochemistry - Anti-eNOS antibody [RM1181] (AB317582)
  • mIHC

Supplier Data

Multiplex immunohistochemistry - Anti-eNOS antibody [RM1181] (AB317582)

Multiplex immunohistochemistry analysis of formalin/PFA-fixed paraffin-embedded human tonsil tissue staining eNOS with ab317582 at a 1 : 500 (1.032 ug/ml) dilution, ab315802 anti-CD34 used at 1 : 2000 (0.26 ug/ml) dilution.

Panel A : merged staining of anti-eNOS (magenta; Opal™520), anti-CD34 (green; Opal™570) on human tonsil.
Panel B : anti-eNOS staining endothelium in human tonsil.
Panel C : anti-CD34 staining endothelium in human tonsil.
Panel D : Nuclear DNA was labeled with DAPI (shown in blue).

The section was incubated in three rounds of staining : in the order of ab317582 and ab315802 for 30 mins at room temperature. Each round was followed by a separate fluorescent tyramide signal amplification system.

The immunostaining was performed on a Leica Biosystems BOND® RX instrument with an Opal™ 4-color kit. Image acquisition was performed with Leica SP8 confocal microscope.

Nuclear counter stain with DAPI.

Heat mediated antigen retrieval with Tris-EDTA buffer (pH 9.0, epitope retrieval solution2) for 20 mins.

Flow Cytometry (Intracellular) - Anti-eNOS antibody [RM1181] (AB317582)
  • Flow Cyt (Intra)

Supplier Data

Flow Cytometry (Intracellular) - Anti-eNOS antibody [RM1181] (AB317582)

Flow cytometric analysis of 4% paraformaldehyde fixed 90% methanol permeabilized RAW 264.7(mouse Abelson murine leukemia virus-induced tumor macrophage, Left) / bEnd.3(mouse brain endothelial cell, Right) cells labelling eNOS with ab317582 at 1/500 dilution (0.1 ug)/Red (Red) compared with a Rabbit monoclonal IgG (ab172730) (Black) isotype control and an unlabelled control (cells without incubation with primary antibody and secondary antibody) (Blue).

Goat Anti-Rabbit IgG (Alexa Fluor® 488, ab150081) at 1/5000 dilution was used as the secondary antibody.

Negative control : RAW 264.7

Immunohistochemistry (Formalin/PFA-fixed paraffin-embedded sections) - Anti-eNOS antibody [RM1181] (AB317582)
  • IHC-P

Supplier Data

Immunohistochemistry (Formalin/PFA-fixed paraffin-embedded sections) - Anti-eNOS antibody [RM1181] (AB317582)

Immunohistochemical analysis of paraffin-embedded Rat skeletal muscle tissue labeling eNOS with ab317582 at 1/200 (2.58 ug/ml) dilution, followed by a ready to use LeicaDS9800 (Bond™ Polymer Refine Detection).

Low expression : no staining on rat skeletal muscle. The section was incubated with ab317582 for 30 mins at room temperature.
The immunostaining was performed on a Leica Biosystems BOND® RX instrument

Counterstained with Hematoxylin.

Secondary antibody only control : Secondary antibody is a ready to use LeicaDS9800 (Bond™ Polymer Refine Detection).

Heat mediated antigen retrieval was performed with Tris-EDTA buffer (pH 9.0, Epitope Retrieval Solution2) for 20 mins

Immunohistochemistry (Formalin/PFA-fixed paraffin-embedded sections) - Anti-eNOS antibody [RM1181] (AB317582)
  • IHC-P

Supplier Data

Immunohistochemistry (Formalin/PFA-fixed paraffin-embedded sections) - Anti-eNOS antibody [RM1181] (AB317582)

Immunohistochemical analysis of paraffin-embedded Rat spleen tissue labeling eNOS with ab317582 at 1/200 (2.58 ug/ml) dilution, followed by a ready to use LeicaDS9800 (Bond™ Polymer Refine Detection).

Positive staining on endothelial cells in rat spleen. The section was incubated with ab317582 for 30 mins at room temperature.
The immunostaining was performed on a Leica Biosystems BOND® RX instrument

Counterstained with Hematoxylin.

Secondary antibody only control : Secondary antibody is a ready to use LeicaDS9800 (Bond™ Polymer Refine Detection).

Heat mediated antigen retrieval was performed with Tris-EDTA buffer (pH 9.0, Epitope Retrieval Solution2) for 20 mins

Immunocytochemistry/ Immunofluorescence - Anti-eNOS antibody [RM1181] (AB317582)
  • ICC/IF

Supplier Data

Immunocytochemistry/ Immunofluorescence - Anti-eNOS antibody [RM1181] (AB317582)

Immunofluorescent analysis of 4% Paraformaldehyde-fixed, 0.1% TritonX-100 permeabilized bEnd.3 (mouse brain endothelial cell) cells labelling eNOS with ab317582 at 1/100 (5.16 ug/ml) dilution, followed by ab150081 Goat Anti-Rabbit IgG H&L (Alexa Fluor® 488) preadsorbed antibody at 1/1000 2 ug/ml dilution (Green).

Confocal image showing cytoplasmic and membranous staining in bEnd.3 cell line (shown in green). The counterstain was observed in magenta. Nuclear DNA was labeled with DAPI (shown in blue).
Negative control : RAW 264.7 (PMID : 18607531)
Image was taken with a confocal microscope (Leica-Microsystems, TCS SP8).

ab195889 Anti-alpha Tubulin mouse monoclonal antibody - Microtubule Marker (Alexa Fluor® 594) was used to counterstain tubulin at 1/200 2.5ug/ml dilution (Magenta). The Nuclear counterstain was DAPI (Blue).

Secondary antibody only control : Secondary antibody is ab150081 Goat Anti-Rabbit IgG H&L (Alexa Fluor® 488) preadsorbed at 1/1000 2 ug/ml dilution.

Western blot - Anti-eNOS antibody [RM1181] (AB317582)
  • WB

Supplier Data

Western blot - Anti-eNOS antibody [RM1181] (AB317582)

Low expression : skeletal muscle.

In Western blot, Anti-GAPDH antibody [EPR16891] - Loading Control (ab181602) staining at 1/200000 dilution.

All lanes:

Western blot - Anti-eNOS antibody [RM1181] (ab317582) at 1/1000 dilution

Lane 1:

Human liver tissue lysate at 20 µg

Lane 2:

Human placenta tissue lysate at 20 µg

Lane 3:

Human skeletal muscle tissue lysate at 20 µg

Secondary

All lanes:

Western blot - Goat Anti-Rabbit IgG H&L (HRP) (<a href='/en-us/products/secondary-antibodies/goat-rabbit-igg-h-l-hrp-ab97051'>ab97051</a>) at 1/100000 dilution

Observed band size: 35 kDa,60 kDa,100 kDa,140 kDa,36 kDa

false

Exposure time: 180s

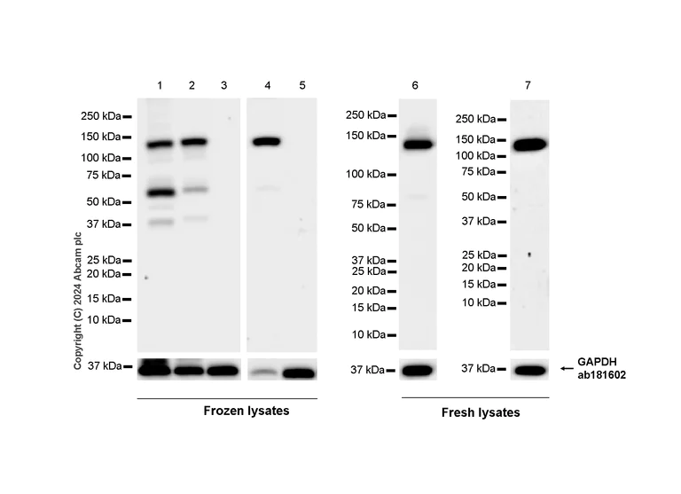
Western blot - Anti-eNOS antibody [RM1181] (AB317582)
  • WB

Supplier Data

Western blot - Anti-eNOS antibody [RM1181] (AB317582)

Negative controls : HeLa (PMID : 19559671) and RAW 264.7 (PMID : 18607531).

The expression profile/ molecular weight observed is consistent with what has been described in the literature (PMID : 16195740 and PMID : 11331296).

This antibody was tested on fresh and frozen HUVEC and bEnd.3 whole Cell Lysate.

The Lysates in lanes 6-7 were freshly made and used for Western Blotting immediately to minimize protein degradation.

In Western blot, Anti-GAPDH antibody [EPR16891] - Loading Control (ab181602) staining at 1/200000 dilution.

Exposure time : Lane 1-3 : 15 seconds Lane 4-5 : 59 seconds Lane 6 : 26 seconds Lane 7 : 180 seconds

All lanes:

Western blot - Anti-eNOS antibody [RM1181] (ab317582) at 1/1000 dilution

Lanes 1 and 6:

HUVEC (human umbilical vein endothelial cell) whole cell lysate at 20 µg

Lane 2:

EA.hy926 (human somatic cell hybrid endothelial cell) whole cell lysate at 20 µg

Lane 3:

HeLa (human cervical adenocarcinoma epithelial cell) whole cell lysate at 20 µg

Lanes 4 and 7:

bEnd.3 (mouse brain endothelial cell) whole cell lysate at 20 µg

Lane 5:

RAW 264.7 (mouse Abelson murine leukemia virus-induced tumor macrophage) whole cell lysate at 20 µg

Secondary

All lanes:

Western blot - Goat Anti-Rabbit IgG H&L (HRP) (<a href='/en-us/products/secondary-antibodies/goat-rabbit-igg-h-l-hrp-ab97051'>ab97051</a>) at 1/100000 dilution

Observed band size: 35 kDa,60 kDa,100 kDa,140 kDa,36 kDa

false

Key facts

Host species

Rabbit

Clonality

Multiclonal

Clone number

RM1181

Isotype

IgG

Carrier free

No

Reacts with

Human, Mouse, Rat

Applications

mIHC, Flow Cyt (Intra), IHC-P, ICC/IF, WB

applications

Immunogen

The exact immunogen used to generate this antibody is proprietary information.

Specificity

Unsuitable for Mouse-IHC.

Reactivity data

{ "title": "Reactivity Data", "filters": { "stats": ["", "Species", "Dilution Info", "Notes"], "tabs": { "all-applications": {"fullname" : "All Applications", "shortname": "All Applications"}, "mIHC" : {"fullname" : "Multiplex immunohistochemistry", "shortname":"mIHC"}, "FlowCytIntra" : {"fullname" : "Flow Cytometry (Intracellular)", "shortname":"Flow Cyt (Intra)"}, "ICCIF" : {"fullname" : "Immunocytochemistry/ Immunofluorescence", "shortname":"ICC/IF"}, "IHCP" : {"fullname" : "Immunohistochemistry (Formalin/PFA-fixed paraffin-embedded sections)", "shortname":"IHC-P"}, "WB" : {"fullname" : "Western blot", "shortname":"WB"} }, "product-promise": { "all": "all", "testedAndGuaranteed": "tested", "guaranteed": "expected", "predicted": "predicted", "notRecommended": "not-recommended" } }, "values": { "Human": { "mIHC-species-checked": "testedAndGuaranteed", "mIHC-species-dilution-info": "1/500", "mIHC-species-notes": "<p></p>", "FlowCytIntra-species-checked": "testedAndGuaranteed", "FlowCytIntra-species-dilution-info": "1/500", "FlowCytIntra-species-notes": "<p></p>", "ICCIF-species-checked": "testedAndGuaranteed", "ICCIF-species-dilution-info": "1/100", "ICCIF-species-notes": "<p></p>", "IHCP-species-checked": "testedAndGuaranteed", "IHCP-species-dilution-info": "1/1000", "IHCP-species-notes": "<p></p> Perform heat-mediated antigen retrieval with Tris/EDTA buffer pH 9.0 before commencing with IHC staining protocol.", "WB-species-checked": "testedAndGuaranteed", "WB-species-dilution-info": "1/1000", "WB-species-notes": "<p></p>" }, "Mouse": { "mIHC-species-checked": "guaranteed", "mIHC-species-dilution-info": "", "mIHC-species-notes": "", "FlowCytIntra-species-checked": "testedAndGuaranteed", "FlowCytIntra-species-dilution-info": "1/500", "FlowCytIntra-species-notes": "<p></p>", "ICCIF-species-checked": "testedAndGuaranteed", "ICCIF-species-dilution-info": "1/100", "ICCIF-species-notes": "<p></p>", "IHCP-species-checked": "notRecommended", "IHCP-species-dilution-info": "", "IHCP-species-notes": "<p></p>", "WB-species-checked": "testedAndGuaranteed", "WB-species-dilution-info": "1/1000", "WB-species-notes": "<p></p>" }, "Rat": { "mIHC-species-checked": "guaranteed", "mIHC-species-dilution-info": "", "mIHC-species-notes": "", "FlowCytIntra-species-checked": "guaranteed", "FlowCytIntra-species-dilution-info": "", "FlowCytIntra-species-notes": "", "ICCIF-species-checked": "guaranteed", "ICCIF-species-dilution-info": "", "ICCIF-species-notes": "", "IHCP-species-checked": "testedAndGuaranteed", "IHCP-species-dilution-info": "1/200", "IHCP-species-notes": "<p></p> Perform heat-mediated antigen retrieval with Tris/EDTA buffer pH 9.0 before commencing with IHC staining protocol.", "WB-species-checked": "guaranteed", "WB-species-dilution-info": "", "WB-species-notes": "" } } }

Product details

What are recombinant multiclonals?
Recombinant multiclonals are a mixture of recombinant antibodies co-expressed from a library of heavy and light chains. They offer several advantages including:

  • - The sensitivity of polyclonal antibodies by recognising multiple epitopes
  • - High batch-to-batch consistency and reproducibility
  • - Improved sensitivity and specificity
  • - Long-term security of supply
  • - Animal-free batch production

View our range of recombinant multiclonal antibodies.

Patented technology
Our RabMAb® technology is a patented hybridoma-based technology for making rabbit monoclonal antibodies. For details on our patents, please refer to RabMAb® patents.

Properties and storage information

Form
Liquid
Purification technique
Affinity purification Protein A
Storage buffer
pH: 7.2 - 7.4 Preservative: 0.01% Sodium azide Constituents: PBS, 40% Glycerol (glycerin, glycerine), 0.05% BSA
Shipped at conditions
Blue Ice
Appropriate short-term storage duration
1-2 weeks
Appropriate short-term storage conditions
+4°C
Appropriate long-term storage conditions
-20°C
Aliquoting information
Upon delivery aliquot
Storage information
Avoid freeze / thaw cycle

Supplementary information

This supplementary information is collated from multiple sources and compiled automatically.

ENOS also known as endothelial nitric oxide synthase is an enzyme important for the production of nitric oxide (NO) in blood vessels. This protein with a molecular weight of approximately 133 kDa is expressed mostly in endothelial cells. eNOS plays a mechanical role in synthesizing NO from L-arginine a process requiring cofactors such as NADPH and oxygen. The activity of eNOS can be investigated through techniques such as Western blot with specific assays like phospho-eNOS ELISA available to measure its phosphorylated forms indicating activated states of the enzyme.
Biological function summary

ENOS contributes significantly to the regulation of vascular tone and blood flow by promoting vasodilation. It does not function alone; instead it forms complexes with other proteins to exert its full effect. eNOS activity influences the process of angiogenesis inflammation modulation and platelet aggregation. Through its ability to produce nitric oxide eNOS acts as a signaling molecule helping maintain vascular homeostasis.

Pathways

ENOS is a critical player in the NO signaling pathway and interacts intricately with the PI3K/Akt pathway. Nitric oxide produced by eNOS has a role in signaling cascades that lead to vascular dilation and reduced blood pressure. The PI3K/Akt pathway regulates eNOS activity via phosphorylation enhancing NO production. Other proteins like caveolin-1 and calmodulin modulate eNOS impacting these pathways' outcomes.

ENOS is associated with cardiovascular conditions like atherosclerosis and hypertension. Dysfunction of eNOS can lead to reduced NO production impairing vasodilation and contributing to these diseases. In cardiovascular disorders eNOS interacts with proteins such as the angiotensin II type 1 receptor which can negatively impact its function exacerbating disease states. Investigating eNOS and its related proteins provides insight into potential therapeutic targets for improving cardiovascular health.

Product protocols

For this product, it's our understanding that no specific protocols are required. You can visit:

Target data

Produces nitric oxide (NO) which is implicated in vascular smooth muscle relaxation through a cGMP-mediated signal transduction pathway (PubMed : 1378832). NO mediates vascular endothelial growth factor (VEGF)-induced angiogenesis in coronary vessels and promotes blood clotting through the activation of platelets.. Isoform eNOS13C. Lacks eNOS activity, dominant-negative form that may down-regulate eNOS activity by forming heterodimers with isoform 1.
See full target information NOS3

Product promise

We are committed to supporting your work with high-quality reagents, and we're here for you every step of the way. In the unlikely event that one of our products does not perform as expected, you're protected by our Product Promise.
For full details, please see our Terms & Conditions

Please note: All products are 'FOR RESEARCH USE ONLY. NOT FOR USE IN DIAGNOSTIC OR THERAPEUTIC PROCEDURES'.

For licensing inquiries, please contact partnerships@abcam.com