JavaScript is disabled in your browser. Please enable JavaScript to view this website.
AB215717

Anti-eNOS (phospho S1177) antibody [EPR20991]

Be the first to review this product! Submit a review

|

(43 Publications)

Anti-eNOS (phospho S1177) antibody [EPR20991] (ab215717) is a rabbit monoclonal antibody detecting eNOS in Western Blot, IP, Dot Blot. Suitable for Human, Mouse.

- Biophysical QC for unrivalled batch-batch consistency
- Over 20 publications

View Alternative Names

Nitric oxide synthase 3, Constitutive NOS, EC-NOS, NOS type III, cNOS, NOSIII, Endothelial NOS, eNOS, NOS3

5 Images
Immunoprecipitation - Anti-eNOS (phospho S1177) antibody [EPR20991] (AB215717)
  • IP

Supplier Data

Immunoprecipitation - Anti-eNOS (phospho S1177) antibody [EPR20991] (AB215717)

eNOS (phospho S1177) was immunoprecipitated from 0.35 mg of HUVEC (human umbilical vein endothelial cell line) treated with 10 ng/ml VEGF for 5 min, whole cell lysate with ab215717 at 1/30 dilution. Western blot was performed from the immunoprecipitate using ab215717 at 1/1000 dilution. VeriBlot for IP Detection Reagent (HRP) (ab131366), was used for detection at 1/10,000 dilution.

Lane 1 : HUVEC treated with VEGF whole cell lysate 10 μg (Input).
Lane 2 : ab215717 IP in HUVEC treated with VEGF whole cell lysate.
Lane 3 : Rabbit monoclonal IgG (ab172730) instead of ab215717 in HUVEC treated with VEGF whole cell lysate.

Exposure time : 30 seconds.

Blocking and dilution buffer and concentration : 5% NFDM/TBST.

The 60 kDa band may be a cleaved form of eNOS (PMID : 16195740).

All lanes:

Immunoprecipitation - Anti-eNOS (phospho S1177) antibody [EPR20991] (ab215717)

Predicted band size: 133 kDa

Observed band size: 140 kDa

true

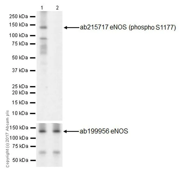
Western blot - Anti-eNOS (phospho S1177) antibody [EPR20991] (AB215717)
  • WB

Supplier Data

Western blot - Anti-eNOS (phospho S1177) antibody [EPR20991] (AB215717)

Blocking/Dilution buffer : 5% NFDM/TBST.

The 60 kDa band may be a cleaved form of eNOS (PMID : 16195740).

All lanes:

Western blot - Anti-eNOS (phospho S1177) antibody [EPR20991] (ab215717) at 1/1000 dilution

Lane 1:

HUVEC (human umbilical vein endothelial cell line) whole cell lysate at 10 µg

Lane 2:

HUVEC (human umbilical vein endothelial cell line) treated with 100 uM pervanadate for 10 min, whole cell lysate at 10 µg

Secondary

All lanes:

Western blot - Goat Anti-Rabbit IgG H&L (HRP) (<a href='/en-us/products/secondary-antibodies/goat-rabbit-igg-h-l-hrp-ab97051'>ab97051</a>) at 1/100000 dilution

Predicted band size: 133 kDa

Observed band size: 140 kDa

true

Exposure time: 3min

Western blot - Anti-eNOS (phospho S1177) antibody [EPR20991] (AB215717)
  • WB

Supplier Data

Western blot - Anti-eNOS (phospho S1177) antibody [EPR20991] (AB215717)

Blocking/Dilution buffer : 5% NFDM/TBST.

The 60 kDa band may be a cleaved form of eNOS (PMID : 16195740).

All lanes:

Western blot - Anti-eNOS (phospho S1177) antibody [EPR20991] (ab215717) at 1/1000 dilution

Lane 1:

Untreated HUVEC (human umbilical vein endothelial cell line) whole cell lysate at 10 µg

Lane 2:

HUVEC (human umbilical vein endothelial cell line) treated with 10 ng/ml VEGF for 5 min, whole cell lysate at 10 µg

Secondary

All lanes:

Western blot - Goat Anti-Rabbit IgG H&L (HRP) (<a href='/en-us/products/secondary-antibodies/goat-rabbit-igg-h-l-hrp-ab97051'>ab97051</a>) at 1/100000 dilution

Predicted band size: 133 kDa

Observed band size: 140 kDa

true

Exposure time: 3min

Western blot - Anti-eNOS (phospho S1177) antibody [EPR20991] (AB215717)
  • WB

Supplier Data

Western blot - Anti-eNOS (phospho S1177) antibody [EPR20991] (AB215717)

Blocking/Dilution buffer : 5% NFDM/TBST.

All lanes:

Western blot - Anti-eNOS (phospho S1177) antibody [EPR20991] (ab215717) at 1/1000 dilution

Lane 1:

bEND.3 (mouse brain endothelioma cell line) whole cell lysate at 10 µg

Lane 2:

bEND.3 (mouse brain endothelioma cell line) treated with alkaline phosphatase for 1 hour, whole cell lysate at 10 µg

Secondary

All lanes:

Western blot - Goat Anti-Rabbit IgG H&L (HRP) (<a href='/en-us/products/secondary-antibodies/goat-rabbit-igg-h-l-hrp-ab97051'>ab97051</a>) at 1/20000 dilution

Predicted band size: 133 kDa

Observed band size: 140 kDa

true

Exposure time: 2min

Dot Blot - Anti-eNOS (phospho S1177) antibody [EPR20991] (AB215717)
  • Dot

Supplier Data

Dot Blot - Anti-eNOS (phospho S1177) antibody [EPR20991] (AB215717)

Dot blot analysis of eNOS (phospho S1177) labeled with ab215717 at 1/1000 dilution.

Lane 1 : eNOS (phospho S1177) peptide.
Lane 2 : eNOS non-phospho peptide.

Goat Anti-Rabbit IgG H&L (HRP) (ab97051) at 1/100000 dilution was used as secondary antibody.

Exposure time : 1 minute.

Blocking/Dilution buffer : 5% NFDM/TBST.

  • Carrier free

    Anti-eNOS (phospho S1177) antibody [EPR20991] - BSA and Azide free

Key facts

Host species

Rabbit

Clonality

Monoclonal

Clone number

EPR20991

Isotype

IgG

Carrier free

No

Reacts with

Mouse, Human

Applications

Dot, IP, WB

applications

Immunogen

The exact immunogen used to generate this antibody is proprietary information.

Reactivity data

{ "title": "Reactivity Data", "filters": { "stats": ["", "Species", "Dilution Info", "Notes"], "tabs": { "all-applications": {"fullname" : "All Applications", "shortname": "All Applications"}, "IP" : {"fullname" : "Immunoprecipitation", "shortname":"IP"}, "Dot" : {"fullname" : "Dot Blot", "shortname":"Dot"}, "WB" : {"fullname" : "Western blot", "shortname":"WB"} }, "product-promise": { "all": "all", "testedAndGuaranteed": "tested", "guaranteed": "expected", "predicted": "predicted", "notRecommended": "not-recommended" } }, "values": { "Human": { "IP-species-checked": "testedAndGuaranteed", "IP-species-dilution-info": "1/30", "IP-species-notes": "<p></p>", "Dot-species-checked": "guaranteed", "Dot-species-dilution-info": "", "Dot-species-notes": "", "WB-species-checked": "testedAndGuaranteed", "WB-species-dilution-info": "1/1000", "WB-species-notes": "<p></p>" }, "Mouse": { "IP-species-checked": "guaranteed", "IP-species-dilution-info": "", "IP-species-notes": "", "Dot-species-checked": "guaranteed", "Dot-species-dilution-info": "", "Dot-species-notes": "", "WB-species-checked": "testedAndGuaranteed", "WB-species-dilution-info": "1/1000", "WB-species-notes": "<p></p>" }, "Synthetic peptide": { "IP-species-checked": "notRecommended", "IP-species-dilution-info": "", "IP-species-notes": "", "Dot-species-checked": "testedAndGuaranteed", "Dot-species-dilution-info": "1/1000", "Dot-species-notes": "<p></p>", "WB-species-checked": "notRecommended", "WB-species-dilution-info": "", "WB-species-notes": "" } } }

Product details

What is this antibody validated in?
Anti-eNOS (phospho S1177) antibody [EPR20991] (ab215717) is a rabbit recombinant monoclonal antibody and is validated for use in Western Blot (WB), Immunoprecipitation (IP), Dot Blot in Human, Mouse samples.

What is the molecular weight of eNOS?
Anti-eNOS (phospho S1177) [EPR20991] (ab215717) specifically detects a band for eNOS (UniProt: P29474) at a molecular weight of 133kDa.

Trusted by the scientific community
Anti-eNOS (phospho S1177) [EPR20991] (ab215717) was first used in a scientific publication in 2018 and has been cited over 20 times in peer-reviewed journals.

Trial sizes available!
Test your antibody or perform pre-screening before committing to a larger quantity. Sold in 10µl. Discover our selection of trial-size antibodies.

Other related products
We have a range of other formats of antibody clone [EPR20991] also available for your convenience: ab215717, Carrier free - ab230158

Patented technology
Our RabMAb® technology is a patented hybridoma-based technology for making rabbit monoclonal antibodies. For details on our patents, please refer to RabMAb® patents.

What are the advantages of a recombinant monoclonal antibody?
This product is a recombinant monoclonal antibody, which offers several advantages including:

  • - High batch-to-batch consistency and reproducibility
  • - Improved sensitivity and specificity
  • - Long-term security of supply
  • - Animal-free batch production

For more information, read more on recombinant antibodies.

Properties and storage information

Form
Liquid
Purification technique
Affinity purification Protein A
Storage buffer
pH: 7.2 - 7.4 Preservative: 0.01% Sodium azide Constituents: PBS, 40% Glycerol (glycerin, glycerine), 0.05% BSA
Shipped at conditions
Blue Ice
Appropriate short-term storage duration
1-2 weeks
Appropriate short-term storage conditions
+4°C
Appropriate long-term storage conditions
-20°C
Aliquoting information
Upon delivery aliquot
Storage information
Avoid freeze / thaw cycle

Supplementary information

This supplementary information is collated from multiple sources and compiled automatically.

ENOS also known as endothelial nitric oxide synthase is an enzyme important for the production of nitric oxide (NO) in blood vessels. This protein with a molecular weight of approximately 133 kDa is expressed mostly in endothelial cells. eNOS plays a mechanical role in synthesizing NO from L-arginine a process requiring cofactors such as NADPH and oxygen. The activity of eNOS can be investigated through techniques such as Western blot with specific assays like phospho-eNOS ELISA available to measure its phosphorylated forms indicating activated states of the enzyme.
Biological function summary

ENOS contributes significantly to the regulation of vascular tone and blood flow by promoting vasodilation. It does not function alone; instead it forms complexes with other proteins to exert its full effect. eNOS activity influences the process of angiogenesis inflammation modulation and platelet aggregation. Through its ability to produce nitric oxide eNOS acts as a signaling molecule helping maintain vascular homeostasis.

Pathways

ENOS is a critical player in the NO signaling pathway and interacts intricately with the PI3K/Akt pathway. Nitric oxide produced by eNOS has a role in signaling cascades that lead to vascular dilation and reduced blood pressure. The PI3K/Akt pathway regulates eNOS activity via phosphorylation enhancing NO production. Other proteins like caveolin-1 and calmodulin modulate eNOS impacting these pathways' outcomes.

ENOS is associated with cardiovascular conditions like atherosclerosis and hypertension. Dysfunction of eNOS can lead to reduced NO production impairing vasodilation and contributing to these diseases. In cardiovascular disorders eNOS interacts with proteins such as the angiotensin II type 1 receptor which can negatively impact its function exacerbating disease states. Investigating eNOS and its related proteins provides insight into potential therapeutic targets for improving cardiovascular health.

Product protocols

For this product, it's our understanding that no specific protocols are required. You can visit:

Target data

Produces nitric oxide (NO) which is implicated in vascular smooth muscle relaxation through a cGMP-mediated signal transduction pathway (PubMed : 1378832). NO mediates vascular endothelial growth factor (VEGF)-induced angiogenesis in coronary vessels and promotes blood clotting through the activation of platelets.. Isoform eNOS13C. Lacks eNOS activity, dominant-negative form that may down-regulate eNOS activity by forming heterodimers with isoform 1.
See full target information NOS3 phospho S1177

Publications (43)

Recent publications for all applications. Explore the full list and refine your search

Journal of diabetes research 2025:9601959 PubMed40933728

2025

Myristoylated Cathelicidin-DM Fused With ANG1-7: A Novel Self-Assembling Antimicrobial Peptide for the Treatment and Mechanism of Diabetic Infected Wounds.

Applications

Unspecified application

Species

Unspecified reactive species

Rongqin Feng,Peng Wang,Li Fan,He Lu,Danna Yao,Panpan Sun,Zhonghua Liu,Fu Han,Xiaozhi Bai,Xuekang Yang,Juntao Han

Journal of nanobiotechnology 23:496 PubMed40629337

2025

Mitochondrial homeostasis restoring peptide-drug conjugates with ROS-responsive NO releasing ability for targeted therapy of myocardial infarction.

Applications

Unspecified application

Species

Unspecified reactive species

Zhaoyang Lu,Quanyou Chai,Wenbin Dai,Bo Yu,Qingbo Lv,Fuyu Qiu,Jing Gao,Juhong Zhang,Xiaohua Shen,Shengyu Chen,Zhida Shen,Min Shang,Wenbin Zhang,Guosheng Fu,Qiao Jin,Yanbo Zhao,Fan Jia

Kidney & blood pressure research 50:442-459 PubMed40451155

2025

Endothelial MicroRNA-214 Confers Angiotensin II Hypertension by Targeting eNOS in Mice.

Applications

Unspecified application

Species

Unspecified reactive species

Shuzhen Li,Bing Liu,Shuang Kang,Bingyu Yang,Yue Zhang,Songming Huang,Aihua Zhang,Zhanjun Jia

Journal of vascular research 62:96-108 PubMed39827863

2025

Fibrillin-1 Deficiency Perturbs Aortic Cholinergic Relaxation and Adrenergic Contraction in a Mouse Model of Early Onset Progressively Severe Marfan Syndrome.

Applications

Unspecified application

Species

Unspecified reactive species

Anna Cantalupo,Keiichi Asano,Sergey Dikalov,Dylan Gordon,Francesco Ramirez

Journal of translational medicine 22:1003 PubMed39506809

2024

Etrinabdione (VCE-004.8), a B55α activator, promotes angiogenesis and arteriogenesis in critical limb ischemia.

Applications

Unspecified application

Species

Unspecified reactive species

Adela García-Martín,María E Prados,Isabel Lastres-Cubillo,Francisco J Ponce-Diaz,Laura Cerero,Martin Garrido-Rodríguez,Carmen Navarrete,Rafael Pineda,Ana B Rodríguez,Ignacio Muñoz,Javier Moya,Antonella Medeot,José A Moreno,Antonio Chacón,José García-Revillo,Eduardo Muñoz

Medicine 103:e40118 PubMed39432648

2024

Integrating network pharmacology and experimental verification to explore the pharmacological mechanisms of Guanxin Shutong capsule in treating heart failure.

Applications

Unspecified application

Species

Unspecified reactive species

Zheming Yang,Jiayin Li,Haixu Song,Hanlin Wu,Shuli Zhang,Zhu Mei,Yu Xue,Xiaolin Zhang,Chenghui Yan,Yaling Han

Cardio-oncology (London, England) 10:65 PubMed39367508

2024

Dexrazoxane prevents vascular toxicity in doxorubicin-treated mice.

Applications

Unspecified application

Species

Unspecified reactive species

Dustin N Krüger,Matthias Bosman,Emeline M Van Craenenbroeck,Guido R Y De Meyer,Constantijn Franssen,Pieter-Jan Guns

Experimental and therapeutic medicine 28:400 PubMed39171145

2024

GAB1 attenuates lipopolysaccharide‑mediated endothelial dysfunction via regulation of SOCS3.

Applications

Unspecified application

Species

Unspecified reactive species

Guangdong Ren,Ran Liu,Huiqiang Mai,Gang Yin,Fulai Ding,Chunmei Wang,Shuxin Chen,Xianqi Lan

Scientific reports 13:22485 PubMed38110485

2023

LncRNA SNHG8 regulates the migration and angiogenesis of pHUVECs induced by high glucose via the TRPM7/ERK signaling axis.

Applications

Unspecified application

Species

Unspecified reactive species

Zongcheng Fan,Xin Chen,Laicheng Wang,Jianjian Yu,Shunpeng Zhang,Changsheng Xu,Jinxiu Lin,Yunchai Lin,Feng Peng

Acta biochimica Polonica 70:843-853 PubMed38051819

2023

Modified Hongyu Decoction promotes wound healing by activating the VEGF/PI3K/Akt signaling pathway.

Applications

Unspecified application

Species

Unspecified reactive species

Xiang Xu,Wei-Hua Yang,Zhi-Wei Miao,Chun-Yu Zhang,Yi-Jia Cheng,Yang Chen,Jin-Gen Lu,Ning He
View all publications

Product promise

We are committed to supporting your work with high-quality reagents, and we're here for you every step of the way. In the unlikely event that one of our products does not perform as expected, you're protected by our Product Promise.
For full details, please see our Terms & Conditions

Please note: All products are 'FOR RESEARCH USE ONLY. NOT FOR USE IN DIAGNOSTIC OR THERAPEUTIC PROCEDURES'.

For licensing inquiries, please contact partnerships@abcam.com