JavaScript is disabled in your browser. Please enable JavaScript to view this website.
AB223268

Anti-ENPP1/PC1 antibody [EPR22262-22]

Be the first to review this product! Submit a review

|

(8 Publications)

Anti-ENPP1/PC1 antibody [EPR22262-22] (ab223268) is a rabbit monoclonal antibody detecting ENPP1/PC1 in Western Blot, Flow Cytometry (Intra), Flow Cytometry, IP, IHC-P, ICC/IF. Suitable for Human.

- Biophysical QC for unrivalled batch-batch consistency

View Alternative Names

M6S1, NPPS, PC1, PDNP1, ENPP1, Ectonucleotide pyrophosphatase/phosphodiesterase family member 1, E-NPP 1, Alkaline phosphodiesterase I, Membrane component chromosome 6 surface marker 1, Nucleotide diphosphatase, Nucleotide pyrophosphatase, Phosphodiesterase I/nucleotide pyrophosphatase 1, Plasma-cell membrane glycoprotein PC-1, NPPase

8 Images
Immunocytochemistry/ Immunofluorescence - Anti-ENPP1/PC1 antibody [EPR22262-22] (AB223268)
  • ICC/IF

Supplier Data

Immunocytochemistry/ Immunofluorescence - Anti-ENPP1/PC1 antibody [EPR22262-22] (AB223268)

Immunofluorescent analysis of 4% paraformaldehyde-fixed, 0.1% Triton X-100 permeabilized HepG2 (human liver hepatocellular carcinoma cell line) cells labeling ENPP1/PC1 (green) with ab223268 at 1/100 dilution, followed by Alexa Fluor® 488 Goat anti-Rabbit secondary antibody (ab150077) at 1/1000 dilution. Confocal image showing membranous staining in HepG2 cells. Tubulin was detected with Anti-alpha Tubulin antibody [DM1A] - Microtubule Marker (Alexa Fluor® 594) (ab195889) at 1/200 dilution (red). The nuclear countertsain was DAPI (Blue).

Secondary antibody only control : Used PBS instead of primary antibody, secondary antibody is Alexa Fluor® 488 Goat anti-Rabbit (ab150077) at 1/200 dilution.

Flow Cytometry (Intracellular) - Anti-ENPP1/PC1 antibody [EPR22262-22] (AB223268)
  • Flow Cyt (Intra)

Supplier Data

Flow Cytometry (Intracellular) - Anti-ENPP1/PC1 antibody [EPR22262-22] (AB223268)

Intracellular flow cytometric analysis of 4% paraformaldehyde-fixed, 90% methanol permeabilized HepG2 (human liver hepatocellular carcinoma cell line) cells labeling ENPP1/PC1 with ab223268 (red) compared with a Rabbit monoclonal IgG isotype control (ab172730) (black)and an unlabelled control (cells without incubation with primary antibody and secondary antibody) (blue). Goat Anti-Rabbit IgG H&L (Alexa Fluor® 488, ab150077) at 1/2000 dilution was used as the secondary antibody.

Immunohistochemistry (Formalin/PFA-fixed paraffin-embedded sections) - Anti-ENPP1/PC1 antibody [EPR22262-22] (AB223268)
  • IHC-P

Supplier Data

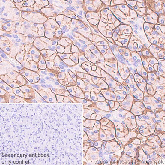
Immunohistochemistry (Formalin/PFA-fixed paraffin-embedded sections) - Anti-ENPP1/PC1 antibody [EPR22262-22] (AB223268)

Immunohistochemical analysis of paraffin-embedded human pancreas tissue stained for ENPP1/PC1 using ab223268 at 1/500 dilution, followed by a ready to use Goat Anti-Rabbit IgG H&L (HRP). Membranous staining on human pancreas (PMID : 9344668; PMID : 23861746) is observed. Counter stained with Hematoxylin.

Secondary antibody only control : Used PBS instead of primary antibody, secondary antibody is Goat Anti-Rabbit IgG H&L (HRP) ready to use.

Heat mediated antigen retrieval using ab93684 (Tris/EDTA buffer, pH 9.0).

Immunocytochemistry/ Immunofluorescence - Anti-ENPP1/PC1 antibody [EPR22262-22] (AB223268)
  • ICC/IF

Supplier Data

Immunocytochemistry/ Immunofluorescence - Anti-ENPP1/PC1 antibody [EPR22262-22] (AB223268)

Immunofluorescent analysis of 4% paraformaldehyde-fixed, 0.1% Triton X-100 permeabilized MDA-MB-231 (human breast adenocarcinoma cell line) cells labeling ENPP1/PC1 (green) with ab223268 at 1/100 dilution, followed by Alexa Fluor® 488 Goat anti-Rabbit secondary antibody (ab150077) at 1/1000 dilution. Confocal image showing membranous staining in MDA-MB-231 cells. Tubulin was detected using Anti-alpha Tubulin antibody [DM1A] - Microtubule Marker (Alexa Fluor® 594) (ab195889) at 1/200 dilution (Red). The nuclear countertsain was DAPI (Blue).

Secondary antibody only control : Used PBS instead of primary antibody, secondary antibody is Alexa Fluor® 488 Goat anti-Rabbit (ab150077) at 1/200 dilution.

Immunohistochemistry (Formalin/PFA-fixed paraffin-embedded sections) - Anti-ENPP1/PC1 antibody [EPR22262-22] (AB223268)
  • IHC-P

Supplier Data

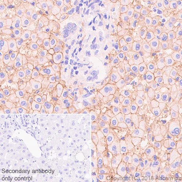
Immunohistochemistry (Formalin/PFA-fixed paraffin-embedded sections) - Anti-ENPP1/PC1 antibody [EPR22262-22] (AB223268)

Immunohistochemical analysis of paraffin-embedded human liver tissue stained for ENPP1/PC1 using ab223268 at 1/500 dilution, followed by a ready to use Goat Anti-Rabbit IgG H&L (HRP). Membranous staining on human liver (PMID : 25539584; PMID : 9344668; PMID : 23861746) is observed. Counter stained with Hematoxylin.

Secondary antibody only control : Used PBS instead of primary antibody, secondary antibody is Goat Anti-Rabbit IgG H&L (HRP) ready to use.

Heat mediated antigen retrieval using ab93684 (Tris/EDTA buffer, pH 9.0).

Immunoprecipitation - Anti-ENPP1/PC1 antibody [EPR22262-22] (AB223268)
  • IP

Supplier Data

Immunoprecipitation - Anti-ENPP1/PC1 antibody [EPR22262-22] (AB223268)

ENPP1/PC1 was immunoprecipitated from 0.35 mg of MDA-MB-231 (human breast adenocarcinoma cell line) whole cell lysate using ab223268 at 1/30 dilution. Western blot was performed from the immunoprecipitate using ab223268 at 1/1000 dilution. VeriBlot for IP Detection Reagent (HRP) (ab131366) was used for detection at 1/5000 dilution.

Lane 1 : MDA-MB-231 whole cell lysate 10μg (input)
Lane 2 : ab223268 IP in MDA-MB-231 whole cell lysate (+).
Lane 3 : Rabbit monoclonal IgG (ab172730) instead of ab223268 in MDA-MB-231 whole cell lysate (-).

Blocking and dilution buffer and concentration : 5% NFDM/TBST.
Exposure time : 30 seconds.

All lanes:

Immunoprecipitation - Anti-ENPP1/PC1 antibody [EPR22262-22] (ab223268)

Predicted band size: 105 kDa

Observed band size: 130 kDa

false

Western blot - Anti-ENPP1/PC1 antibody [EPR22262-22] (AB223268)
  • WB

Supplier Data

Western blot - Anti-ENPP1/PC1 antibody [EPR22262-22] (AB223268)

Blocking and dilution buffer : 5% NFDM/TBST

Exposure time :

Lane 1 : 3 minutes;
Lane 2 : 70 seconds;
Lane 3 : 15 seconds;
Lane 4 : 3 minutes

The molecular weight observed is consistent with what has been described in the literature (PMID : 19577557).

All lanes:

Western blot - Anti-ENPP1/PC1 antibody [EPR22262-22] (ab223268) at 1/1000 dilution

Lane 1:

Human kidney tissue lysate at 20 µg

Lane 2:

MDA-MB-231 (human breast adenocarcinoma cell line) whole cell lysate at 20 µg

Lane 3:

HepG2 (human liver hepatocellular carcinoma cell line) whole cell lysate at 20 µg

Lane 4:

Huh7 (human hepatocellular carcinoma epithelial cell) whole cell lysate at 20 µg

Secondary

Lane 1:

Western blot - VeriBlot for IP Detection Reagent (HRP) (<a href='/en-us/products/reagents/veriblot-for-ip-detection-reagent-hrp-ab131366'>ab131366</a>) at 1/1000 dilution

Lanes 2 - 4:

Western blot - Goat Anti-Rabbit IgG H&L (HRP) (<a href='/en-us/products/secondary-antibodies/goat-rabbit-igg-h-l-hrp-ab97051'>ab97051</a>) at 1/100000 dilution

Predicted band size: 105 kDa

Observed band size: 130 kDa

false

Western blot - Anti-ENPP1/PC1 antibody [EPR22262-22] (AB223268)
  • WB

CiteAb

Western blot - Anti-ENPP1/PC1 antibody [EPR22262-22] (AB223268)

ENPP1/PC1 western blot using anti-ENPP1/PC1 antibody [EPR22262-22] ab223268. Publication image and figure legend from Luo, X., Cui, H., et al., 2020, Front Immunol, PubMed 32425926.

ab223268 was used in this publication in western blot. This may not be the same as the application(s) guaranteed by Abcam. For a full list of applications guaranteed by Abcam for ab223268 please see the product overview.

AFP TCR 2 is unlikely to cross-react with other proteins in the human genome. (A) Graphic presentation of X-scan results showing the replaceability of each amino acid of AFP158−166 epitope. Peptides with replacement of each amino acid residue with every other 19 amino acids were used to activate the TCR 2 transduced T cells. The amount of IFN-γ produced by AFP TCR 2 transduced T cells after stimulation with mutated epitope (mut) was compared to that from wild type AFP158−166 peptide (wt) and the ratios are presented. Dashed line indicates the cut-off for tolerance. Data represents the mean + s.d. of duplicate co-cultures and is representative of 3 healthy donors. (B) ENPP1 and AFP expression in the indicated cell lines tested by Western blot. GAPDH was used as loading control. (C) IFN-γ concentrations in the supernatant of overnight, 1 : 1 ratio co-culture of UT or AFP TCR 2 transduced T cells with the indicated cell lines measured by ELISA. Data represents the mean + s.d. of quadruplicate co-cultures and is representative of 3 healthy donors.

false

Key facts

Host species

Rabbit

Clonality

Monoclonal

Clone number

EPR22262-22

Isotype

IgG

Carrier free

No

Reacts with

Human

Applications

ICC/IF, IHC-P, IP, WB, Flow Cyt (Intra)

applications

Immunogen

The exact immunogen used to generate this antibody is proprietary information.

Reactivity data

{ "title": "Reactivity Data", "filters": { "stats": ["", "Species", "Dilution Info", "Notes"], "tabs": { "all-applications": {"fullname" : "All Applications", "shortname": "All Applications"}, "IP" : {"fullname" : "Immunoprecipitation", "shortname":"IP"}, "WB" : {"fullname" : "Western blot", "shortname":"WB"}, "ICCIF" : {"fullname" : "Immunocytochemistry/ Immunofluorescence", "shortname":"ICC/IF"}, "FlowCytIntra" : {"fullname" : "Flow Cytometry (Intracellular)", "shortname":"Flow Cyt (Intra)"}, "IHCP" : {"fullname" : "Immunohistochemistry (Formalin/PFA-fixed paraffin-embedded sections)", "shortname":"IHC-P"} }, "product-promise": { "all": "all", "testedAndGuaranteed": "tested", "guaranteed": "expected", "predicted": "predicted", "notRecommended": "not-recommended" } }, "values": { "Human": { "IP-species-checked": "testedAndGuaranteed", "IP-species-dilution-info": "1/30", "IP-species-notes": "<p></p>", "WB-species-checked": "testedAndGuaranteed", "WB-species-dilution-info": "1/1000", "WB-species-notes": "<p></p>", "ICCIF-species-checked": "testedAndGuaranteed", "ICCIF-species-dilution-info": "1/100", "ICCIF-species-notes": "<p></p>", "FlowCytIntra-species-checked": "testedAndGuaranteed", "FlowCytIntra-species-dilution-info": "1/50", "FlowCytIntra-species-notes": "<p></p>", "IHCP-species-checked": "testedAndGuaranteed", "IHCP-species-dilution-info": "1/500", "IHCP-species-notes": "<p>Heat mediated antigen retrieval using <a href='/en-us/products/buffers/antigen-retrieval-buffer-100x-tris-edta-buffer-ph-90-ab93684'>ab93684</a> (Tris/EDTA buffer, pH 9.0).</p>" } } }

Product details

What is this antibody validated in?
Anti-ENPP1/PC1 antibody [EPR22262-22] (ab223268) is a rabbit recombinant monoclonal antibody and is validated for use in Western Blot (WB), Flow Cytometry (Intra), Flow Cytometry (Flow Cyt), Immunoprecipitation (IP), Immunohistochemistry (IHC-P), Immunocytochemistry/immunofluorescence (ICC/IF) in Human samples.

What is the molecular weight of ENPP1/PC1?
Anti-ENPP1/PC1 [EPR22262-22] (ab223268) specifically detects a band for ENPP1/PC1 (UniProt: P22413) at a molecular weight of 105kDa.

Trial sizes available!
Test your antibody or perform pre-screening before committing to a larger quantity. Sold in 10µl. Discover our selection of trial-size antibodies.

Other related products
We have a range of other formats of antibody clone [EPR22262-22] also available for your convenience: ab223268, Carrier free - ab240832, Alexa Fluor® 488 - ab312900, Alexa Fluor® 647 - ab315846

Patented technology
Our RabMAb® technology is a patented hybridoma-based technology for making rabbit monoclonal antibodies. For details on our patents, please refer to RabMAb® patents.

What are the advantages of a recombinant monoclonal antibody?
This product is a recombinant monoclonal antibody, which offers several advantages including:

  • - High batch-to-batch consistency and reproducibility
  • - Improved sensitivity and specificity
  • - Long-term security of supply
  • - Animal-free batch production

For more information, read more on recombinant antibodies.

Properties and storage information

Form
Liquid
Purification technique
Affinity purification Protein A
Storage buffer
pH: 7.2 - 7.4 Preservative: 0.01% Sodium azide Constituents: PBS, 40% Glycerol (glycerin, glycerine), 0.05% BSA
Shipped at conditions
Blue Ice
Appropriate short-term storage duration
1-2 weeks
Appropriate short-term storage conditions
+4°C
Appropriate long-term storage conditions
-20°C
Aliquoting information
Upon delivery aliquot
Storage information
Avoid freeze / thaw cycle

Supplementary information

This supplementary information is collated from multiple sources and compiled automatically.

ENPP1 also known as PC-1 is a type II transmembrane glycoprotein with a molecular weight of approximately 130 kDa. It is expressed in various tissues including the liver kidney and bone. ENPP1 exhibits the enzymatic activity of nucleotide pyrophosphatase/phosphodiesterase which hydrolyzes ATP to AMP and diphosphate. This activity is important for the regulation of extracellular nucleotide levels and mineralization processes. Researchers often utilize the ENPP1 assay to study its function and activity.
Biological function summary

ENPP1 significantly influences bone mineralization and soft tissue calcification. It interacts with proteins like ectonucleoside triphosphate diphosphohydrolase-1 (ENTPD1) impacting cellular uptake of calcified materials. The protein is also involved in the regulatory networks responsible for controlling insulin signaling impacting metabolic processes. ENPP1 may form complexes with other proteins which can finely tune its biological activity and effects.

Pathways

ENPP1 plays a role in the insulin signaling pathway and the pyrophosphate pathway. Via its participation in insulin signaling ENPP1 regulates glucose metabolism and influences insulin sensitivity. It affects pathways related to mineral metabolism where it interacts with proteins like ENPP3. By regulating extracellular pyrophosphate levels ENPP1 contributes to inorganic phosphate homeostasis and influences skeletal development and maintenance.

ENPP1 has associations with type 2 diabetes and generalized arterial calcification of infancy (GACI). Its role in type 2 diabetes relates to its ability to inhibit insulin receptor function therefore contributing to insulin resistance. ENPP1 also connects to proteins involved in vascular calcification such as matrix Gla protein (MGP) in the context of GACI. These associations highlight the importance of ENPP1 in metabolic and calcification disorders.

Product protocols

For this product, it's our understanding that no specific protocols are required. You can visit:

Target data

Nucleotide pyrophosphatase that generates diphosphate (PPi) and functions in bone mineralization and soft tissue calcification by regulating pyrophosphate levels (By similarity). PPi inhibits bone mineralization and soft tissue calcification by binding to nascent hydroxyapatite crystals, thereby preventing further growth of these crystals (PubMed : 11004006). Preferentially hydrolyzes ATP, but can also hydrolyze other nucleoside 5' triphosphates such as GTP, CTP and UTP to their corresponding monophosphates with release of pyrophosphate, as well as diadenosine polyphosphates, and also 3',5'-cAMP to AMP (PubMed : 25344812, PubMed : 27467858, PubMed : 28011303, PubMed : 35147247, PubMed : 8001561). May also be involved in the regulation of the availability of nucleotide sugars in the endoplasmic reticulum and Golgi, and the regulation of purinergic signaling (PubMed : 27467858, PubMed : 8001561). Inhibits ectopic joint calcification and maintains articular chondrocytes by repressing hedgehog signaling; it is however unclear whether hedgehog inhibition is direct or indirect (By similarity). Appears to modulate insulin sensitivity and function (PubMed : 10615944). Also involved in melanogenesis (PubMed : 28964717). Also able to hydrolyze 2',3'-cGAMP (cyclic GMP-AMP), a second messenger that activates TMEM173/STING and triggers type-I interferon production (PubMed : 25344812). 2',3'-cGAMP degradation takes place in the lumen or extracellular space, and not in the cytosol where it is produced; the role of 2',3'-cGAMP hydrolysis is therefore unclear (PubMed : 25344812). Not able to hydrolyze the 2',3'-cGAMP linkage isomer 3'-3'-cGAMP (PubMed : 25344812).
See full target information ENPP1

Publications (8)

Recent publications for all applications. Explore the full list and refine your search

Nature communications 16:7328 PubMed40781081

2025

Physical and chemical niche of human growth plate for polarized bone development.

Applications

Unspecified application

Species

Unspecified reactive species

Chang Xie,Wenyue Li,Xudong Yao,Boxuan Wu,Jinghua Fang,Renwei Mao,Yiyang Yan,Hongxu Meng,Yan Wu,Xianzhu Zhang,Rui Li,Jie Zhang,Wangping Duan,Xuesong Dai,Xiaozhao Wang,Hongwei Ouyang

Acta pharmacologica Sinica 46:728-739 PubMed39506063

2024

Dependence of NPPS creates a targetable vulnerability in RAS-mutant cancers.

Applications

Unspecified application

Species

Unspecified reactive species

Rui-Xue Xia,Pei-Chen Zou,Jun-Ting Xie,Ya-Bin Tang,Miao-Miao Gong,Fu Fan,Ayinazhaer Aihemaiti,Yu-Qing Liu,Ying Shen,Bin-Bing S Zhou,Liang Zhu,Hui-Min Lei

Clinical cancer research : an official journal of the American Association for Cancer Research 30:1022-1037 PubMed37812652

2023

Surface and Global Proteome Analyses Identify ENPP1 and Other Surface Proteins as Actionable Immunotherapeutic Targets in Ewing Sarcoma.

Applications

Unspecified application

Species

Unspecified reactive species

Brian Mooney,Gian Luca Negri,Taras Shyp,Alberto Delaidelli,Hai-Feng Zhang,Sandra E Spencer Miko,Amber K Weiner,Alexander B Radaoui,Rawan Shraim,Michael M Lizardo,Christopher S Hughes,Amy Li,Amal M El-Naggar,Melanie Rouleau,Wei Li,Dimiter S Dimitrov,Raushan T Kurmasheva,Peter J Houghton,Sharon J Diskin,John M Maris,Gregg B Morin,Poul H Sorensen

Cell reports. Medicine 4:100934 PubMed36754052

2023

Single-cell sequencing identifies differentiation-related markers for molecular classification and recurrence prediction of PitNET.

Applications

Unspecified application

Species

Unspecified reactive species

Qilin Zhang,Boyuan Yao,Xin Long,Zhengyuan Chen,Min He,Yue Wu,Nidan Qiao,Zengyi Ma,Zhao Ye,Yichao Zhang,Shun Yao,Ye Wang,Haixia Cheng,Hong Chen,Hongying Ye,Yongfei Wang,Yimin Li,Jianhua Chen,Zhaoyun Zhang,Fan Guo,Yao Zhao

Frontiers in cardiovascular medicine 9:944521 PubMed36312243

2022

Integrated proteomic and metabolomic profile analyses of cardiac valves revealed molecular mechanisms and targets in calcific aortic valve disease.

Applications

Unspecified application

Species

Unspecified reactive species

Bo Fu,Jing Wang,Lianqun Wang,Qiang Wang,Zhigang Guo,Meilin Xu,Nan Jiang

Journal of oncology 2022:4834791 PubMed36199794

2022

Identification of Downregulated Exosome-Associated Gene ENPP1 as a Novel Lipid Metabolism and Immune-Associated Biomarker for Hepatocellular Carcinoma.

Applications

Unspecified application

Species

Unspecified reactive species

Zhilan Li,Qingchun He,Jinwu Peng,Yuanliang Yan,Chencheng Fu

Frontiers in oncology 12:940234 PubMed36119482

2022

The expression and biological effect of NR2F6 in non-small cell lung cancer.

Applications

Unspecified application

Species

Unspecified reactive species

Shu Lin Yang,Huan Qin Guan,Hong Bao Yang,Yao Chen,Xiao Ying Huang,Lei Chen,Zhi Fa Shen,Liang Xing Wang

Frontiers in immunology 11:623 PubMed32425926

2020

Selection of a Clinical Lead TCR Targeting Alpha-Fetoprotein-Positive Liver Cancer Based on a Balance of Risk and Benefit.

Applications

Unspecified application

Species

Unspecified reactive species

Xiaobing Luo,Huijuan Cui,Lun Cai,Wei Zhu,Wei-Chih Yang,Michael Patrick,Shigui Zhu,Jiaqi Huang,Xin Yao,Yihong Yao,Yukai He,Yun Ji
View all publications

Product promise

We are committed to supporting your work with high-quality reagents, and we're here for you every step of the way. In the unlikely event that one of our products does not perform as expected, you're protected by our Product Promise.
For full details, please see our Terms & Conditions

Please note: All products are 'FOR RESEARCH USE ONLY. NOT FOR USE IN DIAGNOSTIC OR THERAPEUTIC PROCEDURES'.

For licensing inquiries, please contact partnerships@abcam.com