JavaScript is disabled in your browser. Please enable JavaScript to view this website.
AB314552

Anti-ENPP1/PC1 antibody [EPR28388-32] - BSA and Azide free

  • BOND RX™ Validated
  • RabMAb
  • Recombinant
  • KO Validated
  • What is this?

Be the first to review this product! Submit a review

|

(0 Publication)

Rabbit Recombinant Monoclonal ENPP1/PC1 antibody. Carrier free. Suitable for IHC-P, WB and reacts with Mouse, Rat, Transfected cell lysate - Mouse samples.

View Alternative Names

Npps, Pc1, Pdnp1, Enpp1, Ectonucleotide pyrophosphatase/phosphodiesterase family member 1, E-NPP 1, Alkaline phosphodiesterase I, Lymphocyte antigen 41, Nucleotide diphosphatase, Nucleotide pyrophosphatase, Phosphodiesterase I/nucleotide pyrophosphatase 1, Plasma-cell membrane glycoprotein PC-1, Ly-41, NPPase

11 Images
Immunohistochemistry (Formalin/PFA-fixed paraffin-embedded sections) - Anti-ENPP1/PC1 antibody [EPR28388-32] - BSA and Azide free (AB314552)
  • IHC-P

Supplier Data

Immunohistochemistry (Formalin/PFA-fixed paraffin-embedded sections) - Anti-ENPP1/PC1 antibody [EPR28388-32] - BSA and Azide free (AB314552)

This data was developed using ab314551, the same antibody clone in a different buffer formulation. Immunohistochemical analysis of paraffin-embedded rat skeletal muscle tissue labeling ENPP1/PC1 with ab314551 at 1/1000 (0.515 ug/ml) followed by a ready to use LeicaDS9800 (Bond™ Polymer Refine Detection). Low expression : weak staining on rat skeletal muscle. The section was incubated with ab314551 for 30 mins at room temperature. The immunostaining was performed on a Leica Biosystems BOND® RX instrument. Counterstained with Hematoxylin. Secondary antibody only control : Secondary antibody is a ready to use LeicaDS9800 (Bond™ Polymer Refine Detection). Heat mediated antigen retrieval was performed with Tris-EDTA buffer (pH 9.0, Epitope Retrieval Solution2) for 20 mins.

Immunohistochemistry (Formalin/PFA-fixed paraffin-embedded sections) - Anti-ENPP1/PC1 antibody [EPR28388-32] - BSA and Azide free (AB314552)
  • IHC-P

Supplier Data

Immunohistochemistry (Formalin/PFA-fixed paraffin-embedded sections) - Anti-ENPP1/PC1 antibody [EPR28388-32] - BSA and Azide free (AB314552)

This data was developed using ab314551, the same antibody clone in a different buffer formulation. Immunohistochemical analysis of paraffin-embedded mouse cardiac muscle tissue labeling ENPP1/PC1 with ab314551 at 1/1000 (0.515 ug/ml) followed by a ready to use LeicaDS9800 (Bond™ Polymer Refine Detection). Low expression : weak staining on mouse cardiac muscle. The section was incubated with ab314551 for 30 mins at room temperature. The immunostaining was performed on a Leica Biosystems BOND® RX instrument. Counterstained with Hematoxylin. Secondary antibody only control : Secondary antibody is a ready to use LeicaDS9800 (Bond™ Polymer Refine Detection). Heat mediated antigen retrieval was performed with Tris-EDTA buffer (pH 9.0, Epitope Retrieval Solution2) for 20 mins.

Immunohistochemistry (Formalin/PFA-fixed paraffin-embedded sections) - Anti-ENPP1/PC1 antibody [EPR28388-32] - BSA and Azide free (AB314552)
  • IHC-P

Supplier Data

Immunohistochemistry (Formalin/PFA-fixed paraffin-embedded sections) - Anti-ENPP1/PC1 antibody [EPR28388-32] - BSA and Azide free (AB314552)

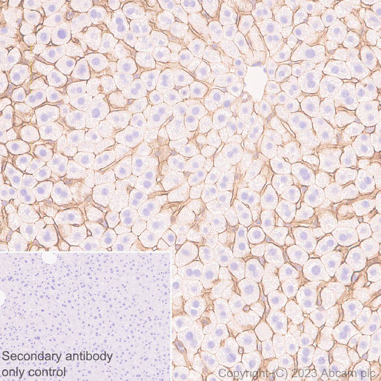
This data was developed using ab314551, the same antibody clone in a different buffer formulation. Immunohistochemical analysis of paraffin-embedded rat liver tissue labeling ENPP1/PC1 with ab314551 at 1/1000 (0.515 ug/ml) followed by a ready to use LeicaDS9800 (Bond™ Polymer Refine Detection). Positive staining on rat liver. The section was incubated with ab314551 for 30 mins at room temperature. The immunostaining was performed on a Leica Biosystems BOND® RX instrument. Counterstained with Hematoxylin. Secondary antibody only control : Secondary antibody is a ready to use LeicaDS9800 (Bond™ Polymer Refine Detection). Heat mediated antigen retrieval was performed with Tris-EDTA buffer (pH 9.0, Epitope Retrieval Solution2) for 20 mins.

Immunohistochemistry (Formalin/PFA-fixed paraffin-embedded sections) - Anti-ENPP1/PC1 antibody [EPR28388-32] - BSA and Azide free (AB314552)
  • IHC-P

Supplier Data

Immunohistochemistry (Formalin/PFA-fixed paraffin-embedded sections) - Anti-ENPP1/PC1 antibody [EPR28388-32] - BSA and Azide free (AB314552)

This data was developed using ab314551, the same antibody clone in a different buffer formulation. Immunohistochemical analysis of paraffin-embedded mouse liver tissue labeling ENPP1/PC1 with ab314551 at 1/1000 (0.515 ug/ml) followed by a ready to use LeicaDS9800 (Bond™ Polymer Refine Detection). Positive staining on mouse liver (PMID : 3262656). The section was incubated with ab314551 for 30 mins at room temperature. The immunostaining was performed on a Leica Biosystems BOND® RX instrument. Counterstained with Hematoxylin. Secondary antibody only control : Secondary antibody is a ready to use LeicaDS9800 (Bond™ Polymer Refine Detection). Heat mediated antigen retrieval was performed with Tris-EDTA buffer (pH 9.0, Epitope Retrieval Solution2) for 20 mins.

Immunohistochemistry (Formalin/PFA-fixed paraffin-embedded sections) - Anti-ENPP1/PC1 antibody [EPR28388-32] - BSA and Azide free (AB314552)
  • IHC-P

Supplier Data

Immunohistochemistry (Formalin/PFA-fixed paraffin-embedded sections) - Anti-ENPP1/PC1 antibody [EPR28388-32] - BSA and Azide free (AB314552)

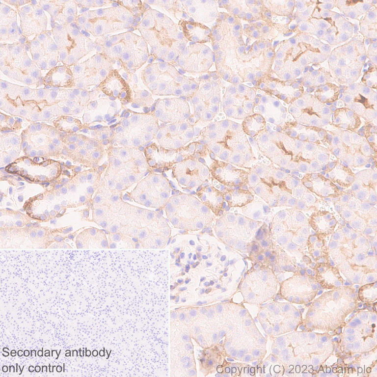
This data was developed using ab314551, the same antibody clone in a different buffer formulation. Immunohistochemical analysis of paraffin-embedded mouse kidney tissue labeling ENPP1/PC1 with ab314551 at 1/1000 (0.515 ug/ml) followed by a ready to use LeicaDS9800 (Bond™ Polymer Refine Detection). Positive staining on mouse kidney.The section was incubated with ab314551 for 30 mins at room temperature. The immunostaining was performed on a Leica Biosystems BOND® RX instrument. Counterstained with Hematoxylin. Secondary antibody only control : Secondary antibody is a ready to use LeicaDS9800 (Bond™ Polymer Refine Detection). Heat mediated antigen retrieval was performed with Tris-EDTA buffer (pH 9.0, Epitope Retrieval Solution2) for 20 mins.

Immunohistochemistry (Formalin/PFA-fixed paraffin-embedded sections) - Anti-ENPP1/PC1 antibody [EPR28388-32] - BSA and Azide free (AB314552)
  • IHC-P

Lab

Immunohistochemistry (Formalin/PFA-fixed paraffin-embedded sections) - Anti-ENPP1/PC1 antibody [EPR28388-32] - BSA and Azide free (AB314552)

This data was developed using ab314551, the same antibody clone in a different buffer formulation.

Immunohistochemical analysis of paraffin-embedded human mouse liver tissue labellingENPP1/PC1 with ab314551 at 1/1000 dilution.

Positive staining on (A) Liver tissue from wild-type C57BL/6J mice, no staining on (B) Liver tissue from ENPP1/PC1 knockout mice.

The primary antibody was incubated for 30 mins at room temperature.

The immunostaining was performed on a Leica Biosystems BOND® RX instrument

The tissue samples were kindly provided by GemPharmatech. C57BL/6JGpt wildtype mice and Enpp1-KO homozygous mice (Strain ID : T013898)

Heat mediated antigen retrieval was performed with Tris-EDTA buffer (pH 9.0, Epitope Retrieval Solution2) for 20 mins

Western blot - Anti-ENPP1/PC1 antibody [EPR28388-32] - BSA and Azide free (AB314552)
  • WB

Supplier Data

Western blot - Anti-ENPP1/PC1 antibody [EPR28388-32] - BSA and Azide free (AB314552)

This data was developed using ab314551, the same antibody clone in a different buffer formulation. Blocking and diluting buffer and concentration : 5% NFDM/TBST Low expression : F9. In Western blot, Anti-GAPDH antibody [EPR16891] - Loading Control (ab181602) staining at 1/200000 dilution. Exposure time : Lane 1 : 37 seconds; Lanes 2-3 : 180 seconds.

All lanes:

Western blot - Anti-ENPP1/PC1 antibody [EPR28388-32] (<a href='/en-us/products/primary-antibodies/enpp1-pc1-antibody-epr28388-32-ab314551'>ab314551</a>) at 1/1000 dilution

Lane 1:

NIH/3T3 (mouse embryonic fibroblast) whole cell lysate at 20 µg

Lane 2:

4T1 (mouse mammary gland carcinoma epithelial cell) whole cell lysate at 20 µg

Lane 3:

F9 (mouse embryonal carcinoma epithelial cell) whole cell lysate at 20 µg

Secondary

All lanes:

Western blot - Goat Anti-Rabbit IgG H&L (HRP) (<a href='/en-us/products/secondary-antibodies/goat-rabbit-igg-h-l-hrp-ab97051'>ab97051</a>) at 1/20000 dilution

Observed band size: 130 kDa

false

Western blot - Anti-ENPP1/PC1 antibody [EPR28388-32] - BSA and Azide free (AB314552)
  • WB

Supplier Data

Western blot - Anti-ENPP1/PC1 antibody [EPR28388-32] - BSA and Azide free (AB314552)

This data was developed using ab314551, the same antibody clone in a different buffer formulation. Blocking and diluting buffer and concentration : 5% NFDM/TBST Low expression : skeletal muscle, heart, testis. The identity of the higher MW band at approximately 250 kDa is unknown. In Western blot, Anti-GAPDH antibody [EPR16891] - Loading Control (ab181602) staining at 1/200000 dilution.

All lanes:

Western blot - Anti-ENPP1/PC1 antibody [EPR28388-32] (<a href='/en-us/products/primary-antibodies/enpp1-pc1-antibody-epr28388-32-ab314551'>ab314551</a>) at 1/1000 dilution

Lane 1:

Mouse liver tissue lysate at 20 µg

Lane 2:

Mouse skeletal muscle tissue lysate at 20 µg

Lane 3:

Mouse heart tissue lysate at 20 µg

Lane 4:

Mouse testis tissue lysate at 20 µg

Lane 5:

Rat liver tissue lysate at 20 µg

Lane 6:

Rat kidney tissue lysate at 20 µg

Lane 7:

Rat skeletal muscle tissue lysate at 20 µg

Lane 8:

Rat heart tissue lysate at 20 µg

Lane 9:

Rat testis tissue lysate at 20 µg

Secondary

All lanes:

Western blot - Goat Anti-Rabbit IgG H&L (HRP) (<a href='/en-us/products/secondary-antibodies/goat-rabbit-igg-h-l-hrp-ab97051'>ab97051</a>) at 1/20000 dilution

Observed band size: 130 kDa

false

Exposure time: 37s

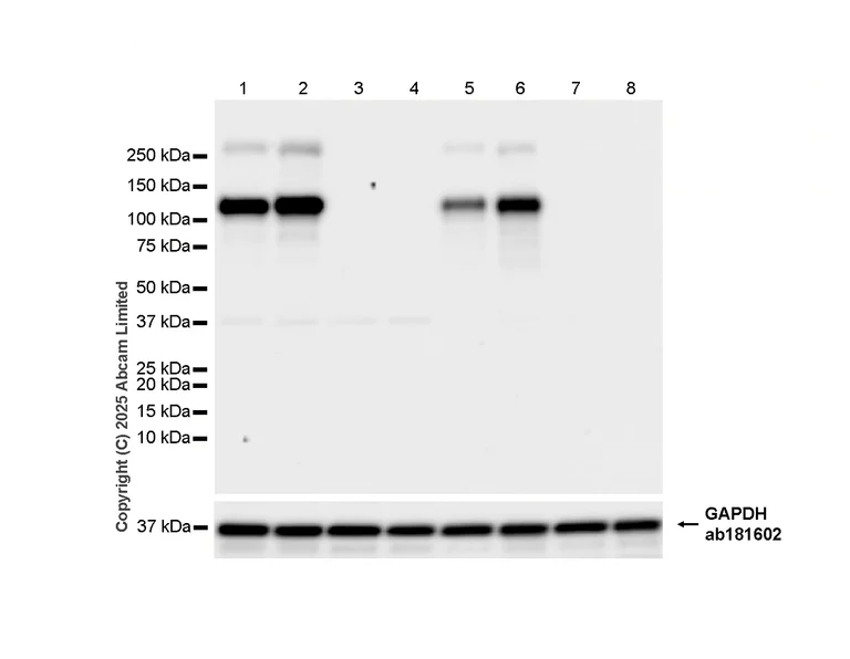
Western blot - Anti-ENPP1/PC1 antibody [EPR28388-32] - BSA and Azide free (AB314552)
  • WB

Lab

Western blot - Anti-ENPP1/PC1 antibody [EPR28388-32] - BSA and Azide free (AB314552)

This data was developed using ab314551, the same antibody clone in a different buffer formulation.

Blocking and diluting buffer and concentration : 5% NFDM/TBST.

The identity of the higher MW band at approximately 250 kDa is unknown.

The tissue samples were kindly provided by GemPharmatech. C57BL/6JGpt wildtype mice and Enpp1-KO homozygous mice (Strain ID : T013898).

All lanes:

Western blot - Anti-ENPP1/PC1 antibody [EPR28388-32] (<a href='/en-us/products/primary-antibodies/enpp1-pc1-antibody-epr28388-32-ab314551'>ab314551</a>) at 1/1000 dilution

Lane 1:

Wild-type mouse liver tissue lysate (male) at 20 µg

Lane 2:

Wild-type mouse liver tissue lysate (female) at 20 µg

Lane 3:

Enpp1 knockout mouse liver tissue lysate (male) at 20 µg

Lane 4:

Enpp1 knockout mouse liver tissue lysate (female) at 20 µg

Lane 5:

Wild-type mouse kidney tissue lysate (male) at 20 µg

Lane 6:

Wild-type mouse kidney tissue lysate (female) at 20 µg

Lane 7:

Enpp1 knockout mouse kidney tissue lysate (male) at 20 µg

Lane 8:

Enpp1 knockout mouse kidney tissue lysate (female) at 20 µg

Secondary

All lanes:

Western blot - Goat Anti-Rabbit IgG H&L (HRP) (<a href='/en-us/products/secondary-antibodies/goat-rabbit-igg-h-l-hrp-ab97051'>ab97051</a>) at 1/20000 dilution

Observed band size: 100 kDa

false

Exposure time: 26s

Western blot - Anti-ENPP1/PC1 antibody [EPR28388-32] - BSA and Azide free (AB314552)
  • WB

Supplier Data

Western blot - Anti-ENPP1/PC1 antibody [EPR28388-32] - BSA and Azide free (AB314552)

This data was developed using ab314551, the same antibody clone in a different buffer formulation. Blocking and diluting buffer and concentration : 5% NFDM/TBST The identity of the higher MW band at approximately 250 kDa is unknown.

All lanes:

Western blot - Anti-ENPP1/PC1 antibody [EPR28388-32] (<a href='/en-us/products/primary-antibodies/enpp1-pc1-antibody-epr28388-32-ab314551'>ab314551</a>) at 1/1000 dilution

Lane 1:

Mouse kidney tissue lysate at 20 µg

Lane 2:

Mouse dorsal galion tissue lysate at 20 µg

Lane 3:

Rat dorsal galion tissue lysate at 20 µg

Secondary

All lanes:

Western blot - Goat Anti-Rabbit IgG H&L (HRP) (<a href='/en-us/products/secondary-antibodies/goat-rabbit-igg-h-l-hrp-ab97051'>ab97051</a>) at 1/20000 dilution

Observed band size: 130 kDa

false

Exposure time: 37s

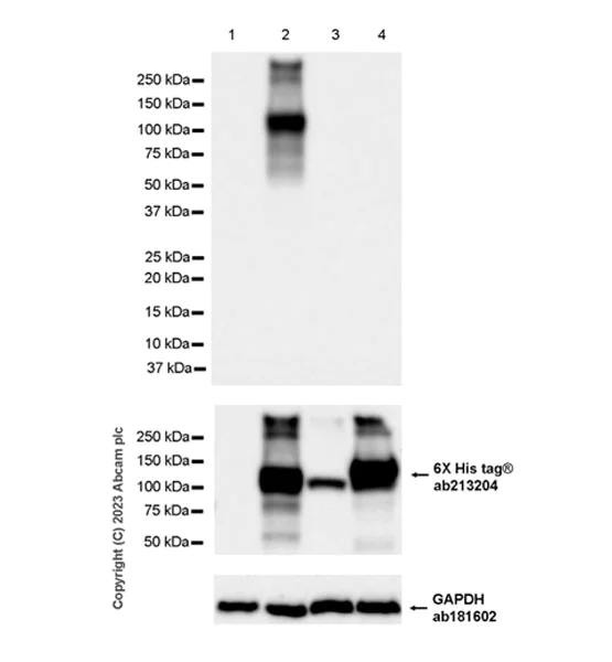
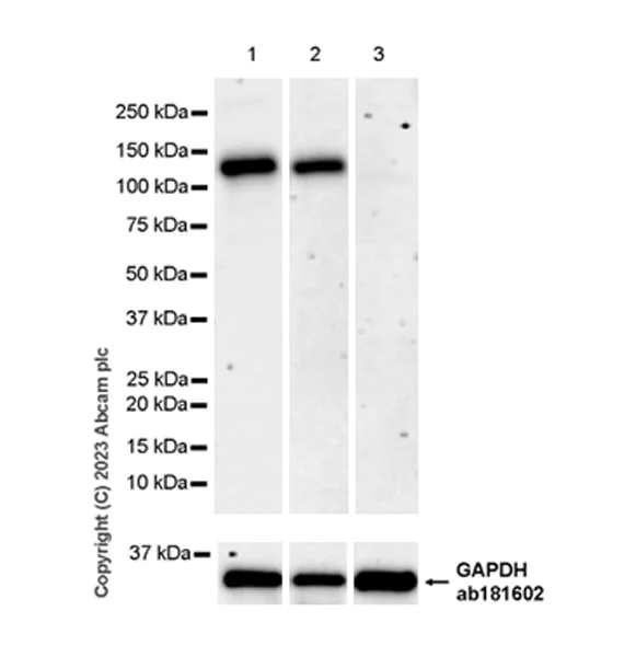
Western blot - Anti-ENPP1/PC1 antibody [EPR28388-32] - BSA and Azide free (AB314552)
  • WB

Supplier Data

Western blot - Anti-ENPP1/PC1 antibody [EPR28388-32] - BSA and Azide free (AB314552)

This data was developed using ab314551, the same antibody clone in a different buffer formulation. Blocking and diluting buffer and concentration : 5% NFDM/TBST This antibody does not cross-react with mouse ENPP2 and ENPP3. In Western blot, Anti-GAPDH antibody [EPR16891] - Loading Control (ab181602) staining at 1/200000 dilution. In Western blot, Anti-6X His tag® antibody [EPR20547] - ChIP Grade (ab213204) staining at 1/5000 dilution

All lanes:

Western blot - Anti-ENPP1/PC1 antibody [EPR28388-32] (<a href='/en-us/products/primary-antibodies/enpp1-pc1-antibody-epr28388-32-ab314551'>ab314551</a>) at 1/1000 dilution

Lane 1:

293T (human embryonic kidney epithelial cell) cells transfected with an empty vector containing a His-tag, whole cell lysate at 7 µg

Lane 2:

293T cells transfected with a mouse ENPP1 expression vector containing a His-tag, whole cell lysate at 7 µg

Lane 3:

293T cells transfected with a mouse ENPP2 expression vector containing a His-tag, whole cell lysate at 7 µg

Lane 4:

293T cells transfected with a mouse ENPP3 expression vector containing a His-tag, whole cell lysate at 7 µg

Secondary

All lanes:

Western blot - Goat Anti-Rabbit IgG H&L (HRP) (<a href='/en-us/products/secondary-antibodies/goat-rabbit-igg-h-l-hrp-ab97051'>ab97051</a>) at 1/100000 dilution

Observed band size: 130 kDa

false

Exposure time: 8s

Key facts

Host species

Rabbit

Clonality

Monoclonal

Clone number

EPR28388-32

Isotype

IgG

Carrier free

Yes

Reacts with

Mouse, Rat

Applications

WB, IHC-P

applications

Immunogen

The exact immunogen used to generate this antibody is proprietary information.

Reactivity data

{ "title": "Reactivity Data", "filters": { "stats": ["", "Species", "Dilution Info", "Notes"], "tabs": { "all-applications": {"fullname" : "All Applications", "shortname": "All Applications"}, "IHCP" : {"fullname" : "Immunohistochemistry (Formalin/PFA-fixed paraffin-embedded sections)", "shortname":"IHC-P"}, "WB" : {"fullname" : "Western blot", "shortname":"WB"}, "FlowCyt" : {"fullname" : "Flow Cytometry", "shortname":"Flow Cyt"}, "IP" : {"fullname" : "Immunoprecipitation", "shortname":"IP"}, "ICCIF" : {"fullname" : "Immunocytochemistry/ Immunofluorescence", "shortname":"ICC/IF"} }, "product-promise": { "all": "all", "testedAndGuaranteed": "tested", "guaranteed": "expected", "predicted": "predicted", "notRecommended": "not-recommended" } }, "values": { "Human": { "IHCP-species-checked": "notRecommended", "IHCP-species-dilution-info": "", "IHCP-species-notes": "<p></p>", "WB-species-checked": "notRecommended", "WB-species-dilution-info": "", "WB-species-notes": "<p></p>", "FlowCyt-species-checked": "notRecommended", "FlowCyt-species-dilution-info": "", "FlowCyt-species-notes": "", "IP-species-checked": "notRecommended", "IP-species-dilution-info": "", "IP-species-notes": "", "ICCIF-species-checked": "notRecommended", "ICCIF-species-dilution-info": "", "ICCIF-species-notes": "" }, "Mouse": { "IHCP-species-checked": "testedAndGuaranteed", "IHCP-species-dilution-info": "", "IHCP-species-notes": "<p>Weak non-specific signal in kidney tissue has been observed by IHC.</p>", "WB-species-checked": "testedAndGuaranteed", "WB-species-dilution-info": "", "WB-species-notes": "<p></p>", "FlowCyt-species-checked": "notRecommended", "FlowCyt-species-dilution-info": "", "FlowCyt-species-notes": "<p></p>", "IP-species-checked": "notRecommended", "IP-species-dilution-info": "", "IP-species-notes": "<p></p>", "ICCIF-species-checked": "notRecommended", "ICCIF-species-dilution-info": "", "ICCIF-species-notes": "<p></p>" }, "Rat": { "IHCP-species-checked": "testedAndGuaranteed", "IHCP-species-dilution-info": "", "IHCP-species-notes": "<p></p>", "WB-species-checked": "testedAndGuaranteed", "WB-species-dilution-info": "", "WB-species-notes": "<p></p>", "FlowCyt-species-checked": "notRecommended", "FlowCyt-species-dilution-info": "", "FlowCyt-species-notes": "", "IP-species-checked": "notRecommended", "IP-species-dilution-info": "", "IP-species-notes": "", "ICCIF-species-checked": "notRecommended", "ICCIF-species-dilution-info": "", "ICCIF-species-notes": "" }, "Transfected cell lysate - Mouse": { "IHCP-species-checked": "notRecommended", "IHCP-species-dilution-info": "", "IHCP-species-notes": "", "WB-species-checked": "testedAndGuaranteed", "WB-species-dilution-info": "", "WB-species-notes": "<p></p>", "FlowCyt-species-checked": "notRecommended", "FlowCyt-species-dilution-info": "", "FlowCyt-species-notes": "", "IP-species-checked": "notRecommended", "IP-species-dilution-info": "", "IP-species-notes": "", "ICCIF-species-checked": "notRecommended", "ICCIF-species-dilution-info": "", "ICCIF-species-notes": "" } } }

Product details

ab314552 is the carrier-free version of ab314551.

Patented technology
Our RabMAb® technology is a patented hybridoma-based technology for making rabbit monoclonal antibodies. For details on our patents, please refer to RabMAb® patents.

What are the advantages of a recombinant monoclonal antibody?
This product is a recombinant monoclonal antibody, which offers several advantages including:

  • - High batch-to-batch consistency and reproducibility
  • - Improved sensitivity and specificity
  • - Long-term security of supply
  • - Animal-free batch production

For more information, read more on recombinant antibodies.

Conjugation ready
Our carrier-free antibodies are typically supplied in a PBS-only formulation, purified and free of BSA, sodium azide and glycerol. This conjugation-ready format is designed for use with fluorochromes, metal isotopes, oligonucleotides, and enzymes, which makes them ideal for antibody labelling, functional and cell-based assays, flow-based assays (e.g. mass cytometry) and Multiplex Imaging applications.

Use our conjugation kits for antibody conjugates that are ready-to-use in as little as 20 minutes with 1 minute hands-on-time and 100% antibody recovery: available for fluorescent dyes, HRP, biotin and gold.

Compatibility
This product is compatible with the Maxpar® Antibody Labeling Kit from Fluidigm, without the need for antibody preparation. Maxpar® is a trademark of Fluidigm Canada Inc.

Properties and storage information

Form
Liquid
Purification technique
Affinity purification Protein A
Storage buffer
pH: 7.2 - 7.4 Constituents: PBS
Shipped at conditions
Blue Ice
Appropriate short-term storage conditions
+4°C
Appropriate long-term storage conditions
+4°C

Supplementary information

This supplementary information is collated from multiple sources and compiled automatically.

ENPP1 also known as PC-1 is a type II transmembrane glycoprotein with a molecular weight of approximately 130 kDa. It is expressed in various tissues including the liver kidney and bone. ENPP1 exhibits the enzymatic activity of nucleotide pyrophosphatase/phosphodiesterase which hydrolyzes ATP to AMP and diphosphate. This activity is important for the regulation of extracellular nucleotide levels and mineralization processes. Researchers often utilize the ENPP1 assay to study its function and activity.
Biological function summary

ENPP1 significantly influences bone mineralization and soft tissue calcification. It interacts with proteins like ectonucleoside triphosphate diphosphohydrolase-1 (ENTPD1) impacting cellular uptake of calcified materials. The protein is also involved in the regulatory networks responsible for controlling insulin signaling impacting metabolic processes. ENPP1 may form complexes with other proteins which can finely tune its biological activity and effects.

Pathways

ENPP1 plays a role in the insulin signaling pathway and the pyrophosphate pathway. Via its participation in insulin signaling ENPP1 regulates glucose metabolism and influences insulin sensitivity. It affects pathways related to mineral metabolism where it interacts with proteins like ENPP3. By regulating extracellular pyrophosphate levels ENPP1 contributes to inorganic phosphate homeostasis and influences skeletal development and maintenance.

ENPP1 has associations with type 2 diabetes and generalized arterial calcification of infancy (GACI). Its role in type 2 diabetes relates to its ability to inhibit insulin receptor function therefore contributing to insulin resistance. ENPP1 also connects to proteins involved in vascular calcification such as matrix Gla protein (MGP) in the context of GACI. These associations highlight the importance of ENPP1 in metabolic and calcification disorders.

Product protocols

For this product, it's our understanding that no specific protocols are required. You can visit:

Target data

Nucleotide pyrophosphatase that generates diphosphate (PPi) and functions in bone mineralization and soft tissue calcification by regulating pyrophosphate levels (PubMed : 10352096, PubMed : 11004006, PubMed : 12082181, PubMed : 22510396, PubMed : 25260930, PubMed : 9662402). PPi inhibits bone mineralization and soft tissue calcification by binding to nascent hydroxyapatite crystals, thereby preventing further growth of these crystals (PubMed : 10352096, PubMed : 11004006, PubMed : 12082181, PubMed : 19419305, PubMed : 22510396, PubMed : 25260930, PubMed : 25479107, PubMed : 26910915, PubMed : 30111653, PubMed : 35147247, PubMed : 9662402). Preferentially hydrolyzes ATP, but can also hydrolyze other nucleoside 5' triphosphates such as GTP, CTP and UTP to their corresponding monophosphates with release of pyrophosphate, as well as diadenosine polyphosphates, and also 3',5'-cAMP to AMP (PubMed : 11027689, PubMed : 1647027, PubMed : 23027977, PubMed : 8223581). May also be involved in the regulation of the availability of nucleotide sugars in the endoplasmic reticulum and Golgi, and the regulation of purinergic signaling (PubMed : 1647027). Inhibits ectopic joint calcification and maintains articular chondrocytes by repressing hedgehog signaling; it is however unclear whether hedgehog inhibition is direct or indirect (PubMed : 30111653). Appears to modulate insulin sensitivity (By similarity). Also involved in melanogenesis (By similarity). Also able to hydrolyze 2',3'-cGAMP (cyclic GMP-AMP), a second messenger that activates TMEM173/STING and triggers type-I interferon production (PubMed : 25344812). 2',3'-cGAMP degradation takes place in the lumen or extracellular space, and not in the cytosol where it is produced; the role of 2',3'-cGAMP hydrolysis is therefore unclear (By similarity). Not able to hydrolyze the 2',3'-cGAMP linkage isomer 3',3'-cGAMP (By similarity).
See full target information Enpp1

Product promise

We are committed to supporting your work with high-quality reagents, and we're here for you every step of the way. In the unlikely event that one of our products does not perform as expected, you're protected by our Product Promise.
For full details, please see our Terms & Conditions

Please note: All products are 'FOR RESEARCH USE ONLY. NOT FOR USE IN DIAGNOSTIC OR THERAPEUTIC PROCEDURES'.

For licensing inquiries, please contact partnerships@abcam.com