JavaScript is disabled in your browser. Please enable JavaScript to view this website.
AB312317

Anti-ENPP3/B10 antibody [EPR27349-87] - BSA and Azide free

Be the first to review this product! Submit a review

|

(0 Publication)

Rabbit Recombinant Monoclonal ENPP3/B10 antibody. Carrier free. Suitable for WB, IP and reacts with Transfected cell lysate - Human, Mouse, Rat samples.

View Alternative Names

CD203c, PDNP3, ENPP3, Ectonucleotide pyrophosphatase/phosphodiesterase family member 3, E-NPP 3, NPP3, Alkaline phosphodiesterase I, Dinucleoside polyphosphatase, Nucleotide diphosphatase, Nucleotide pyrophosphatase, Phosphodiesterase I beta, Phosphodiesterase I/nucleotide pyrophosphatase 3, NPPase, PD-Ibeta

5 Images
Immunoprecipitation - Anti-ENPP3/B10 antibody [EPR27349-87] - BSA and Azide free (AB312317)
  • IP

Supplier Data

Immunoprecipitation - Anti-ENPP3/B10 antibody [EPR27349-87] - BSA and Azide free (AB312317)

This data was developed using ab312316, the same antibody clone in a different buffer formulation. ENPP3/B10 was immunoprecipitated from 0.35 mg Neuro-2a (mouse neuroblastoma neuroblast) whole cell lysate with ab312316 at 1/30 dilution (2ug in 0.35mg lysates). Western blot was performed on the immunoprecipitate using ab312316 at 1/1000 dilution. VeriBlot for IP secondary antibody(HRP)(ab131366) was used at 1/5000 dilution. Lane 1 : Neuro-2a (mouse neuroblastoma neuroblast) whole cell lysate Lane 2 : Neuro-2a (mouse neuroblastoma neuroblast) whole cell lysate Lane 3 : Rabbit monoclonal IgG (ab172730) instead of ab312316 in Neuro-2a whole cell lysate Blocking and dilution buffer and concentration : 5% NFDM/TBST. Exposure time : 15 seconds

All lanes:

Immunoprecipitation - Anti-ENPP3/B10 antibody [EPR27349-87] (<a href='/en-us/products/primary-antibodies/enpp3-b10-antibody-epr27349-87-ab312316'>ab312316</a>) at 1/30 dilution

All lanes:

Neuro-2a (mouse neuroblastoma neuroblast) whole cell lysate

Secondary

All lanes:

Immunoprecipitation - VeriBlot for IP Detection Reagent (HRP) (<a href='/en-us/products/reagents/veriblot-for-ip-detection-reagent-hrp-ab131366'>ab131366</a>) at 1/5000 dilution

false

Exposure time: 15s

Western blot - Anti-ENPP3/B10 antibody [EPR27349-87] - BSA and Azide free (AB312317)
  • WB

Supplier Data

Western blot - Anti-ENPP3/B10 antibody [EPR27349-87] - BSA and Azide free (AB312317)

This data was developed using ab312316, the same antibody clone in a different buffer formulation. Blocking and diluting buffer and concentration : 5% NFDM/TBST In Western blot, anti-GAPDH antibody (ab181602) loading control staining at 1/200000 dilution. Exposure time : 3 seconds

All lanes:

Western blot - Anti-ENPP3/B10 antibody [EPR27349-87] (<a href='/en-us/products/primary-antibodies/enpp3-b10-antibody-epr27349-87-ab312316'>ab312316</a>) at 1/1000 dilution

All lanes:

Neuro-2a (mouse neuroblastoma neuroblast) whole cell lysate at 20 µg

Secondary

All lanes:

Western blot - Goat Anti-Rabbit IgG H&L (HRP) (<a href='/en-us/products/secondary-antibodies/goat-rabbit-igg-h-l-hrp-ab97051'>ab97051</a>) at 1/100000 dilution

Observed band size: 135 kDa

false

Exposure time: 3s

Western blot - Anti-ENPP3/B10 antibody [EPR27349-87] - BSA and Azide free (AB312317)
  • WB

Supplier Data

Western blot - Anti-ENPP3/B10 antibody [EPR27349-87] - BSA and Azide free (AB312317)

This data was developed using ab312316, the same antibody clone in a different buffer formulation. Blocking and diluting buffer and concentration : 5% NFDM/TBST Low expression : heart (PMID : 28225814). In Western blot, anti-GAPDH antibody (ab181602) loading control staining at 1/200, 000 dilution. Exposure time : 15 seconds

All lanes:

Western blot - Anti-ENPP3/B10 antibody [EPR27349-87] (<a href='/en-us/products/primary-antibodies/enpp3-b10-antibody-epr27349-87-ab312316'>ab312316</a>) at 1/1000 dilution

Lane 1:

Rat small intestine tissue lysate at 20 µg

Lane 2:

Rat heart tissue lysate at 20 µg

Secondary

All lanes:

Western blot - Goat Anti-Rabbit IgG H&L (HRP) (<a href='/en-us/products/secondary-antibodies/goat-rabbit-igg-h-l-hrp-ab97051'>ab97051</a>) at 1/100000 dilution

Observed band size: 135 kDa

false

Exposure time: 15s

Western blot - Anti-ENPP3/B10 antibody [EPR27349-87] - BSA and Azide free (AB312317)
  • WB

Supplier Data

Western blot - Anti-ENPP3/B10 antibody [EPR27349-87] - BSA and Azide free (AB312317)

This data was developed using ab312316, the same antibody clone in a different buffer formulation. Blocking and diluting buffer and concentration : 5% NFDM/TBST Low expression : heart (PMID : 28225814). In Western blot, anti-GAPDH antibody (ab181602) loading control staining at 1/200000 dilution. Exposure time : 3 seconds

All lanes:

Western blot - Anti-ENPP3/B10 antibody [EPR27349-87] (<a href='/en-us/products/primary-antibodies/enpp3-b10-antibody-epr27349-87-ab312316'>ab312316</a>) at 1/1000 dilution

Lane 1:

Mouse kidney tissue lysate at 20 µg

Lane 2:

Mouse small intestine tissue lysate at 20 µg

Lane 3:

Mouse heart tissue lysate at 20 µg

Secondary

All lanes:

Western blot - Goat Anti-Rabbit IgG H&L (HRP) (<a href='/en-us/products/secondary-antibodies/goat-rabbit-igg-h-l-hrp-ab97051'>ab97051</a>) at 1/100000 dilution

Observed band size: 135 kDa

false

Exposure time: 3s

Western blot - Anti-ENPP3/B10 antibody [EPR27349-87] - BSA and Azide free (AB312317)
  • WB

Supplier Data

Western blot - Anti-ENPP3/B10 antibody [EPR27349-87] - BSA and Azide free (AB312317)

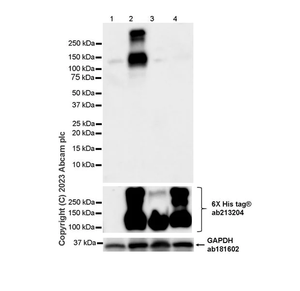
This data was developed using ab312316, the same antibody clone in a different buffer formulation. Blocking and diluting buffer and concentration : 5% NFDM/TBST This antibody does not cross-react with human ENPP1 and ENPP2. Samples are non-boiled as boiling may cause protein aggregation. In Western blot, anti-GAPDH antibody (ab181602) loading control staining at 1/200000 dilution, anti-His antibody (ab213204) staining at 1/5000 dilution. Exposure time : 10 seconds

All lanes:

Western blot - Anti-ENPP3/B10 antibody [EPR27349-87] (<a href='/en-us/products/primary-antibodies/enpp3-b10-antibody-epr27349-87-ab312316'>ab312316</a>) at 1/1000 dilution

Lane 1:

293T cells transfected with an empty vector containi a His-tag whole cell lysate 20 at 20 µg

Lane 2:

293T cells transfected with a Human ENPP3 expression vector containi a His-tag whole cell lysate 10 at 10 µg

Lane 3:

293T cells transfected with a Human ENPP2 expression vector containi a His-tag whole cell lysate 40 at 40 µg

Lane 4:

293T cells transfected with a Human ENPP1 expression vector containi a His-tag whole cell lysate 10 at 10 µg

Secondary

All lanes:

Western blot - Goat Anti-Rabbit IgG H&L (HRP) (<a href='/en-us/products/secondary-antibodies/goat-rabbit-igg-h-l-hrp-ab97051'>ab97051</a>) at 1/100000 dilution

Observed band size: 135 kDa

false

Exposure time: 10s

Key facts

Host species

Rabbit

Clonality

Monoclonal

Clone number

EPR27349-87

Isotype

IgG

Carrier free

Yes

Reacts with

Mouse, Rat

Applications

IP, WB

applications

Immunogen

The exact immunogen used to generate this antibody is proprietary information.

Reactivity data

{ "title": "Reactivity Data", "filters": { "stats": ["", "Species", "Dilution Info", "Notes"], "tabs": { "all-applications": {"fullname" : "All Applications", "shortname": "All Applications"}, "WB" : {"fullname" : "Western blot", "shortname":"WB"}, "IP" : {"fullname" : "Immunoprecipitation", "shortname":"IP"}, "IHCP" : {"fullname" : "Immunohistochemistry (Formalin/PFA-fixed paraffin-embedded sections)", "shortname":"IHC-P"}, "FlowCytIntra" : {"fullname" : "Flow Cytometry (Intracellular)", "shortname":"Flow Cyt (Intra)"}, "ICCIF" : {"fullname" : "Immunocytochemistry/ Immunofluorescence", "shortname":"ICC/IF"} }, "product-promise": { "all": "all", "testedAndGuaranteed": "tested", "guaranteed": "expected", "predicted": "predicted", "notRecommended": "not-recommended" } }, "values": { "Human": { "WB-species-checked": "notRecommended", "WB-species-dilution-info": "", "WB-species-notes": "<p></p>", "IP-species-checked": "notRecommended", "IP-species-dilution-info": "", "IP-species-notes": "<p></p>", "IHCP-species-checked": "notRecommended", "IHCP-species-dilution-info": "", "IHCP-species-notes": "<p></p>", "FlowCytIntra-species-checked": "notRecommended", "FlowCytIntra-species-dilution-info": "", "FlowCytIntra-species-notes": "<p></p>", "ICCIF-species-checked": "notRecommended", "ICCIF-species-dilution-info": "", "ICCIF-species-notes": "<p></p>" }, "Mouse": { "WB-species-checked": "testedAndGuaranteed", "WB-species-dilution-info": "", "WB-species-notes": "<p></p>", "IP-species-checked": "testedAndGuaranteed", "IP-species-dilution-info": "", "IP-species-notes": "<p></p>", "IHCP-species-checked": "notRecommended", "IHCP-species-dilution-info": "", "IHCP-species-notes": "<p></p>", "FlowCytIntra-species-checked": "notRecommended", "FlowCytIntra-species-dilution-info": "", "FlowCytIntra-species-notes": "<p></p>", "ICCIF-species-checked": "notRecommended", "ICCIF-species-dilution-info": "", "ICCIF-species-notes": "<p></p>" }, "Rat": { "WB-species-checked": "testedAndGuaranteed", "WB-species-dilution-info": "", "WB-species-notes": "<p></p>", "IP-species-checked": "guaranteed", "IP-species-dilution-info": "", "IP-species-notes": "", "IHCP-species-checked": "notRecommended", "IHCP-species-dilution-info": "", "IHCP-species-notes": "<p></p>", "FlowCytIntra-species-checked": "notRecommended", "FlowCytIntra-species-dilution-info": "", "FlowCytIntra-species-notes": "", "ICCIF-species-checked": "notRecommended", "ICCIF-species-dilution-info": "", "ICCIF-species-notes": "" }, "Transfected cell lysate - Human": { "WB-species-checked": "testedAndGuaranteed", "WB-species-dilution-info": "", "WB-species-notes": "<p></p>", "IP-species-checked": "notRecommended", "IP-species-dilution-info": "", "IP-species-notes": "", "IHCP-species-checked": "notRecommended", "IHCP-species-dilution-info": "", "IHCP-species-notes": "", "FlowCytIntra-species-checked": "notRecommended", "FlowCytIntra-species-dilution-info": "", "FlowCytIntra-species-notes": "", "ICCIF-species-checked": "notRecommended", "ICCIF-species-dilution-info": "", "ICCIF-species-notes": "" } } }

Product details

Patented technology
Our RabMAb® technology is a patented hybridoma-based technology for making rabbit monoclonal antibodies. For details on our patents, please refer to RabMAb® patents.

What are the advantages of a recombinant monoclonal antibody?
This product is a recombinant monoclonal antibody, which offers several advantages including:

  • - High batch-to-batch consistency and reproducibility
  • - Improved sensitivity and specificity
  • - Long-term security of supply
  • - Animal-free batch production

For more information, read more on recombinant antibodies.

Conjugation ready
Our carrier-free antibodies are typically supplied in a PBS-only formulation, purified and free of BSA, sodium azide and glycerol. This conjugation-ready format is designed for use with fluorochromes, metal isotopes, oligonucleotides, and enzymes, which makes them ideal for antibody labelling, functional and cell-based assays, flow-based assays (e.g. mass cytometry) and Multiplex Imaging applications.

Use our conjugation kits for antibody conjugates that are ready-to-use in as little as 20 minutes with 1 minute hands-on-time and 100% antibody recovery: available for fluorescent dyes, HRP, biotin and gold.

Compatibility
This product is compatible with the Maxpar® Antibody Labeling Kit from Fluidigm, without the need for antibody preparation. Maxpar® is a trademark of Fluidigm Canada Inc.

Properties and storage information

Form
Liquid
Purification technique
Affinity purification Protein A
Storage buffer
pH: 7.2 - 7.4 Constituents: PBS
Shipped at conditions
Blue Ice
Appropriate short-term storage conditions
+4°C
Appropriate long-term storage conditions
+4°C

Supplementary information

This supplementary information is collated from multiple sources and compiled automatically.

The ENPP3/B10 protein also known as Ectonucleotide Pyrophosphatase/Phosphodiesterase 3 is an enzyme that plays a role in nucleotide metabolism by hydrolyzing phosphodiester and phosphosulfate bonds. This protein has a molecular mass of around 100 kDa. ENPP3 is mainly expressed on the surface of epithelial cells and you find it in tissues like the kidney liver and lung. In some contexts immune cells such as mast cells also show its expression.
Biological function summary

ENPP3 regulates the availability of extracellular nucleotides and phosphate metabolites. It is not typically considered part of a larger complex and rather contributes to various processes independently. By modulating concentrations of these extracellular molecules ENPP3 impacts cell signaling and nucleotide homeostasis which can affect cell proliferation and differentiation.

Pathways

This enzyme engages in the purinergic signaling pathway and can influence the MAPK/ERK pathway. Through its enzymatic action on nucleotides ENPP3 helps regulate signaling molecules which participate in processes such as cell growth and immune responses. Proteins related to these pathways include ATP-binding proteins like P2Y receptors and kinases involved in MAPK/ERK signaling.

ENPP3's function links it to conditions such as allergy and asthma as its expression on mast cells affects histamine release. Changes in its activity are also noted in certain cancers where its role in signaling pathways can contribute to uncontrolled cell proliferation. In these disease contexts the protein interacts with other signaling molecules like cytokine receptors and oncogenic proteins which can modulate or exacerbate disease progression.

Product protocols

For this product, it's our understanding that no specific protocols are required. You can visit:

Target data

Hydrolase that metabolizes extracellular nucleotides, including ATP, GTP, UTP and CTP (PubMed : 29717535, PubMed : 9344668). Limits mast cells and basophils response during inflammation and during the chronic phases of allergic responses by eliminating extracellular ATP, a signaling molecule activating these cells in an autocrine manner. Metabolizes extracellular ATP in the lumen of the small intestine, and thereby prevents ATP-induced apoptosis of intestinal plasmacytoid dendritic cells (By similarity). Has a broad specificity and can also hydrolyze UDP-GlcNAc into UMP and GlcNAc-1-phosphate and potentially several other intracellular nucleotide sugars, including UDP-GalNAc, CMP-NeuAc, GDP-Fuc, and UDP-GlcA. Thereby, could modulate glycan biosynthesis and protein glycosylation (By similarity). Can hydrolyze extracellular dinucleoside polyphosphates, including the vasoactive adenosine polyphosphates as well (PubMed : 12846830). In addition, displays an alkaline phosphodiesterase activity in vitro (PubMed : 11342463).
See full target information ENPP3

Product promise

We are committed to supporting your work with high-quality reagents, and we're here for you every step of the way. In the unlikely event that one of our products does not perform as expected, you're protected by our Product Promise.
For full details, please see our Terms & Conditions

Please note: All products are 'FOR RESEARCH USE ONLY. NOT FOR USE IN DIAGNOSTIC OR THERAPEUTIC PROCEDURES'.

For licensing inquiries, please contact partnerships@abcam.com