JavaScript is disabled in your browser. Please enable JavaScript to view this website.
AB324975

Anti-ENT1 antibody [EPR30527-554]

Be the first to review this product! Submit a review

|

(0 Publication)

Rabbit Recombinant Monoclonal ENT1 antibody. Suitable for ICC/IF, IHC-P, WB and reacts with Mouse samples.

View Alternative Names

Ent1, Equilibrative nucleoside transporter 1, mENT1, Equilibrative nitrobenzylmercaptopurine riboside-sensitive nucleoside transporter, Solute carrier family 29 member 1, Equilibrative NBMPR-sensitive nucleoside transporter

7 Images
Immunohistochemistry (Formalin/PFA-fixed paraffin-embedded sections) - Anti-ENT1 antibody [EPR30527-554] (AB324975)
  • IHC-P

Supplier Data

Immunohistochemistry (Formalin/PFA-fixed paraffin-embedded sections) - Anti-ENT1 antibody [EPR30527-554] (AB324975)

Immunohistochemical analysis of paraffin-embedded Mouse spleen tissue labeling ENT1 with ab324975 at 1/1000 (0.52 ug/ml) dilution, followed by a ready to use LeicaDS9800 (Bond™ Polymer Refine Detection).

Positive staining in mouse spleen.
The primary antibody was incubated for 30 mins at room temperature.
The immunostaining was performed on a Leica Biosystems BOND® RX instrument

Counterstained with Hematoxylin.

Secondary antibody only control : Secondary antibody is a ready to use LeicaDS9800 (Bond™ Polymer Refine Detection).

Heat mediated antigen retrieval was performed with Tris-EDTA buffer (pH 9.0, Epitope Retrieval Solution2) for 20 mins

Immunohistochemistry (Formalin/PFA-fixed paraffin-embedded sections) - Anti-ENT1 antibody [EPR30527-554] (AB324975)
  • IHC-P

Supplier Data

Immunohistochemistry (Formalin/PFA-fixed paraffin-embedded sections) - Anti-ENT1 antibody [EPR30527-554] (AB324975)

Immunohistochemical analysis of paraffin-embedded Mouse breast cancer tissue labeling ENT1 with ab324975 at 1/1000 (0.52 ug/ml) dilution, followed by a ready to use LeicaDS9800 (Bond™ Polymer Refine Detection).

Positive staining in mouse breast cacner.
The primary antibody was incubated for 30 mins at room temperature.
The immunostaining was performed on a Leica Biosystems BOND® RX instrument

Counterstained with Hematoxylin.

Secondary antibody only control : Secondary antibody is a ready to use LeicaDS9800 (Bond™ Polymer Refine Detection).

Heat mediated antigen retrieval was performed with Tris-EDTA buffer (pH 9.0, Epitope Retrieval Solution2) for 20 mins

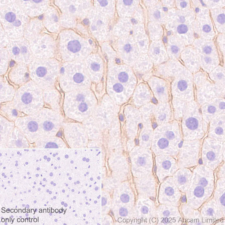
Immunohistochemistry (Formalin/PFA-fixed paraffin-embedded sections) - Anti-ENT1 antibody [EPR30527-554] (AB324975)
  • IHC-P

Supplier Data

Immunohistochemistry (Formalin/PFA-fixed paraffin-embedded sections) - Anti-ENT1 antibody [EPR30527-554] (AB324975)

Immunohistochemical analysis of paraffin-embedded Mouse liver tissue labeling ENT1 with ab324975 at 1/1000 (0.52 ug/ml) dilution, followed by a ready to use LeicaDS9800 (Bond™ Polymer Refine Detection).

Positive staining in mouse liver.
The primary antibody was incubated for 30 mins at room temperature.
The immunostaining was performed on a Leica Biosystems BOND® RX instrument.

Counterstained with Hematoxylin.

Secondary antibody only control : Secondary antibody is a ready to use LeicaDS9800 (Bond™ Polymer Refine Detection).

Heat mediated antigen retrieval was performed with Tris-EDTA buffer (pH 9.0, Epitope Retrieval Solution2) for 20 mins

Immunocytochemistry/ Immunofluorescence - Anti-ENT1 antibody [EPR30527-554] (AB324975)
  • ICC/IF

Supplier Data

Immunocytochemistry/ Immunofluorescence - Anti-ENT1 antibody [EPR30527-554] (AB324975)

Immunofluorescent analysis of 100% methanol-fixed, 0.1% TritonX-100 permeabilized MEF (mouse embryo fibroblast) cells labelling ENT1 with ab324975 at 1/200 (2.6 ug/ml) dilution, followed by ab150081 Goat Anti-Rabbit IgG H&L (Alexa Fluor® 488) preadsorbed antibody at 1/1000 dilution (Green).

Confocal image showing membranous and cytoplasmic staining in MEF cell line (shown in green). The counterstain was observed in magenta. Nuclear DNA was labelled with DAPI (shown in blue). Image was taken with a confocal microscope (Leica-Microsystems, TCS SP8).

ab7291 Anti-alpha Tubulin mouse monoclonal antibody was used to counterstain tubulin at 1/1000 dilution (Magenta). The Nuclear counterstain was DAPI (Blue).

-ve control 1 : ab324975 at 1/200 dilution, followed by ab150120 Goat Anti-Mouse IgG H&L (Alexa Fluor® 594) at 1/1000 dilution.
-ve control 2 : ab7291 at 1/1000 dilution, followed by ab150081 Goat Anti-Rabbit IgG H&L (Alexa Fluor® 488) at 1/1000 dilution.

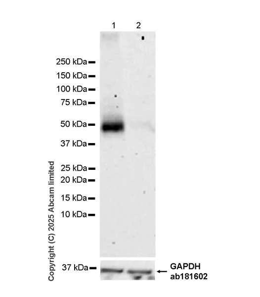
Western blot - Anti-ENT1 antibody [EPR30527-554] (AB324975)
  • WB

Supplier Data

Western blot - Anti-ENT1 antibody [EPR30527-554] (AB324975)

Blocking and diluting buffer and concentration : 5% NFDM/TBST.

In Western blot, Anti-GAPDH antibody [EPR16891] - Loading Control (ab181602) staining at 1/200000 dilution.

All lanes:

Western blot - Anti-ENT1 antibody [EPR30527-554] (ab324975) at 1/1000 dilution

Lane 1:

MEF (mouse embryo fibroblast) transfected with scrambled siRNA control whole cell lysate at 5 µg

Lane 2:

MEF transfected with siRNA specifically targeting SLC29A1 whole cell lysate at 5 µg

Secondary

All lanes:

Western blot at 1/100000 dilution

Observed band size: 50 kDa,36 kDa

false

Exposure time: 180s

Western blot - Anti-ENT1 antibody [EPR30527-554] (AB324975)
  • WB

Supplier Data

Western blot - Anti-ENT1 antibody [EPR30527-554] (AB324975)

Blocking and diluting buffer and concentration : 5% NFDM/TBST.

Low expression : skeletal muscle(PMID : 11027664)

In Western blot, Anti-GAPDH antibody [EPR16891] - Loading Control (ab181602) staining at 1/200000 dilution.

All lanes:

Western blot - Anti-ENT1 antibody [EPR30527-554] (ab324975) at 1/1000 dilution

Lane 1:

Mouse liver tissue lysate at 40 µg

Lane 2:

Mouse skeletal muscle tissue lysate at 40 µg

Lane 3:

Mouse lung tissue lysate at 40 µg

Secondary

All lanes:

Western blot at 1/20000 dilution

Observed band size: 50 kDa,36 kDa

false

Exposure time: 81s

Immunohistochemistry (Formalin/PFA-fixed paraffin-embedded sections) - Anti-ENT1 antibody [EPR30527-554] (AB324975)
  • IHC-P

Supplier Data

Immunohistochemistry (Formalin/PFA-fixed paraffin-embedded sections) - Anti-ENT1 antibody [EPR30527-554] (AB324975)

Immunohistochemical analysis of paraffin-embedded Mouse skeletal muscle tissue labeling ENT1 with ab324975 at 1/1000 (0.52 ug/ml) dilution, followed by a ready to use LeicaDS9800 (Bond™ Polymer Refine Detection).

Low expression tissue : No staining in mouse skeletal muscle.
The primary antibody was incubated for 30 mins at room temperature.
The immunostaining was performed on a Leica Biosystems BOND® RX instrument

Counterstained with Hematoxylin.

Secondary antibody only control : Secondary antibody is a ready to use LeicaDS9800 (Bond™ Polymer Refine Detection).

Heat mediated antigen retrieval was performed with Tris-EDTA buffer (pH 9.0, Epitope Retrieval Solution2) for 20 mins

Key facts

Host species

Rabbit

Clonality

Monoclonal

Clone number

EPR30527-554

Isotype

IgG

Carrier free

No

Reacts with

Mouse

Applications

ICC/IF, WB, IHC-P

applications

Immunogen

The exact immunogen used to generate this antibody is proprietary information.

Reactivity data

{ "title": "Reactivity Data", "filters": { "stats": ["", "Species", "Dilution Info", "Notes"], "tabs": { "all-applications": {"fullname" : "All Applications", "shortname": "All Applications"}, "ICCIF" : {"fullname" : "Immunocytochemistry/ Immunofluorescence", "shortname":"ICC/IF"}, "IHCP" : {"fullname" : "Immunohistochemistry (Formalin/PFA-fixed paraffin-embedded sections)", "shortname":"IHC-P"}, "WB" : {"fullname" : "Western blot", "shortname":"WB"} }, "product-promise": { "all": "all", "testedAndGuaranteed": "tested", "guaranteed": "expected", "predicted": "predicted", "notRecommended": "not-recommended" } }, "values": { "Mouse": { "ICCIF-species-checked": "testedAndGuaranteed", "ICCIF-species-dilution-info": "1/200", "ICCIF-species-notes": "<p></p>", "IHCP-species-checked": "testedAndGuaranteed", "IHCP-species-dilution-info": "1/1000", "IHCP-species-notes": "<p></p> Perform heat-mediated antigen retrieval with Tris/EDTA buffer pH 9.0 before commencing with IHC staining protocol.", "WB-species-checked": "testedAndGuaranteed", "WB-species-dilution-info": "1/1000", "WB-species-notes": "<p></p>" }, "Rat": { "ICCIF-species-checked": "notRecommended", "ICCIF-species-dilution-info": "", "ICCIF-species-notes": "<p></p>", "IHCP-species-checked": "notRecommended", "IHCP-species-dilution-info": "", "IHCP-species-notes": "<p></p>", "WB-species-checked": "notRecommended", "WB-species-dilution-info": "", "WB-species-notes": "<p></p>" } } }

Product details

Patented technology
Our RabMAb® technology is a patented hybridoma-based technology for making rabbit monoclonal antibodies. For details on our patents, please refer to RabMAb® patents.

What are the advantages of a recombinant monoclonal antibody?
This product is a recombinant monoclonal antibody, which offers several advantages including:

  • - High batch-to-batch consistency and reproducibility
  • - Improved sensitivity and specificity
  • - Long-term security of supply
  • - Animal-free batch production

For more information, read more on recombinant antibodies.

Properties and storage information

Form
Liquid
Purification technique
Affinity purification Protein A
Storage buffer
pH: 7.2 - 7.4 Preservative: 0.01% Sodium azide Constituents: PBS, 40% Glycerol (glycerin, glycerine), 0.05% BSA
Shipped at conditions
Blue Ice
Appropriate short-term storage duration
1-2 weeks
Appropriate short-term storage conditions
+4°C
Appropriate long-term storage conditions
-20°C
Aliquoting information
Upon delivery aliquot
Storage information
Avoid freeze / thaw cycle

Product protocols

For this product, it's our understanding that no specific protocols are required. You can visit:

Target data

Uniporter involved in the facilitative transport of nucleosides and nucleobases, and contributes to maintaining their cellular homeostasis (PubMed : 11085929, PubMed : 35790189). Functions as a Na(+)-independent transporter (By similarity). Involved in the transport of nucleosides such as adenosine, guanosine, inosine, uridine, thymidine and cytidine (PubMed : 11085929, PubMed : 23639800, PubMed : 35790189). Also transports purine (hypoxanthine, adenine, guanine) and pyrimidine nucleobases (thymine, uracil) (By similarity). Mediates basolateral nucleoside uptake into Sertoli cells, thereby regulating the transport of nucleosides in testis across the blood-testis-barrier (By similarity). Regulates inosine levels in brown adipocytes tissues (BAT) and extracellular inosine levels, which controls BAT-dependent energy expenditure (PubMed : 35790189).
See full target information Slc29a1

Product promise

We are committed to supporting your work with high-quality reagents, and we're here for you every step of the way. In the unlikely event that one of our products does not perform as expected, you're protected by our Product Promise.
For full details, please see our Terms & Conditions

Please note: All products are 'FOR RESEARCH USE ONLY. NOT FOR USE IN DIAGNOSTIC OR THERAPEUTIC PROCEDURES'.

For licensing inquiries, please contact partnerships@abcam.com