JavaScript is disabled in your browser. Please enable JavaScript to view this website.
AB182023

Anti-ENT1 antibody [SP120]

Be the first to review this product! Submit a review

|

(6 Publications)

Rabbit Recombinant Monoclonal ENT1 antibody. Suitable for ICC, Flow Cyt (Intra), WB, IHC-P and reacts with Human samples. Cited in 6 publications.

View Alternative Names

ENT1, SLC29A1, Equilibrative nucleoside transporter 1, hENT1, Equilibrative nitrobenzylmercaptopurine riboside-sensitive nucleoside transporter, Solute carrier family 29 member 1, Equilibrative NBMPR-sensitive nucleoside transporter, es nucleoside transporter

7 Images
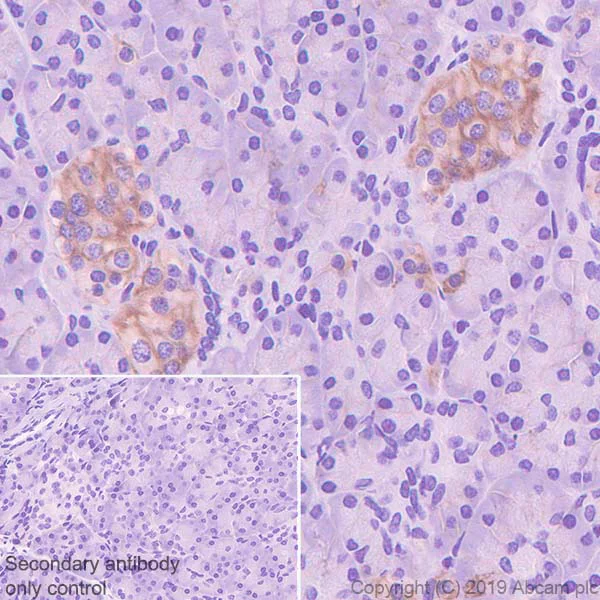
Immunohistochemistry (Formalin/PFA-fixed paraffin-embedded sections) - Anti-ENT1 antibody [SP120] (AB182023)
  • IHC-P

Supplier Data

Immunohistochemistry (Formalin/PFA-fixed paraffin-embedded sections) - Anti-ENT1 antibody [SP120] (AB182023)

Immunohistochemical analysis of formalin-fixed paraffin-embedded Human pancreas tissue labeling ENT1 with ab182023.

Immunohistochemistry (Formalin/PFA-fixed paraffin-embedded sections) - Anti-ENT1 antibody [SP120] (AB182023)
  • IHC-P

Unknown

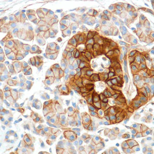
Immunohistochemistry (Formalin/PFA-fixed paraffin-embedded sections) - Anti-ENT1 antibody [SP120] (AB182023)

Immunohistochemistry (Formalin/PFA-fixed paraffin-embedded sections) analysis of Human pancreas tissue sections labeling ENT1 with Purified ab182023 at 1/100 dilution (0.77 µg/ml). Heat mediated antigen retrieval was performed Heat mediated antigen retrieval with Tris-EDTA buffer (pH 9.0, epitope retrieval solution 2) for 20mins. Rabbit specific IHC polymer detection kit HRP/DAB (ab209101) was used as the secondary antibody. Negative control : PBS instead of the primary antibody. Hematoxylin was used as a counterstain.

Immunocytochemistry - Anti-ENT1 antibody [SP120] (AB182023)
  • ICC

Collaborator

Immunocytochemistry - Anti-ENT1 antibody [SP120] (AB182023)

ab182023 was shown to react with SLC29A1 in wild-type HAP1 cells in Immunocytochemistry with loss of signal observed in a SLC29A1 knockout cell line. Wild-type and knockout cells were mixed and pelleted at a 1 : 1 ratio on coverslips. The cells were fixed with 4% paraformaldehyde (15 min) then permeabilized with 0.1% Triton X-100 (10min) and then blocked with . The cells were then incubated with ab182023 at 1/200 dilution overnight at 4°C followed by a further incubation at room temperature for 1h with a goat anti-rabbit secondary antibody to (Alexa Fluor® 555) at 0.5 μg/ml. Acquisition of the green (wild-type), red (antibody staining) and far-red (knockout) channels was performed. Representative grayscale images of the red channel are shown. Wild-type and knockout cells are outlined with yellow and magenta dashed line, respectively. Schematic representation of the mosaic strategy used is shown on the bottom-right panel. Image was acquired with a Zeiss(LSM-880). These data were provided by YCharOS Inc., an open science company with the mission of characterizing commercially available antibody reagents for all human proteins. Abcam and YCharOS are working together to help address the reproducibility crisis by enabling the life science community to better evaluate commercially available antibodies.

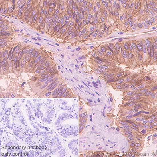
Immunohistochemistry (Formalin/PFA-fixed paraffin-embedded sections) - Anti-ENT1 antibody [SP120] (AB182023)
  • IHC-P

Unknown

Immunohistochemistry (Formalin/PFA-fixed paraffin-embedded sections) - Anti-ENT1 antibody [SP120] (AB182023)

Immunohistochemistry (Formalin/PFA-fixed paraffin-embedded sections) analysis of Human colon carcinoma tissue sections labeling ENT1 with Purified ab182023 at 1/100 dilution (0.77 µg/ml). Heat mediated antigen retrieval was performed Heat mediated antigen retrieval with Tris-EDTA buffer (pH 9.0, epitope retrieval solution 2) for 20mins. Rabbit specific IHC polymer detection kit HRP/DAB (ab209101) was used as the secondary antibody. Negative control : PBS instead of the primary antibody. Hematoxylin was used as a counterstain.

Flow Cytometry (Intracellular) - Anti-ENT1 antibody [SP120] (AB182023)
  • Flow Cyt (Intra)

Unknown

Flow Cytometry (Intracellular) - Anti-ENT1 antibody [SP120] (AB182023)

Flow Cytometry analysis of HepG2 (Human hepatocellular carcinoma epithelial cell) cells labeling ENT1 with purified ab182023 at (red). Cells were fixed with 4% paraformaldehyde and permeabilised with 90% methanol. A Goat anti rabbit IgG (Alexa Fluor® 488, ab150077) was used as the secondary antibody. Isotype control - Rabbit monoclonal IgG (ab172730) / Black. Unlabeled control - Unlabelled cells / blue.

Western blot - Anti-ENT1 antibody [SP120] (AB182023)
  • WB

Collaborator

Western blot - Anti-ENT1 antibody [SP120] (AB182023)

ab182023 was shown to react with SLC29A1 in wild-type HAP1 cells in Western blot with loss of signal observed in a SLC29A1 knockout cell line. Wild-type HAP1 and SLC29A1 knockout cell lysates were subjected to SDS-PAGE. Membranes were blocked in 5% milk in TBST for 1 hr before incubation with ab182023 overnight at 4 °C at a 1/1000 dilution. Blots were incubated with goat anti-rabbit HRP secondary antibodies at 0.2ug/mL before imaging. These data were provided by YCharOS Inc., an open science company with the mission of characterizing commercially available antibody reagents for all human proteins. Abcam and YCharOS are working together to help address the reproducibility crisis by enabling the life science community to better evaluate commercially available antibodies.

All lanes:

Western blot - Anti-ENT1 antibody [SP120] (ab182023) at 1/1000 dilution

Lane 1:

Wild-type HAP1 cell lysate at 20 µg

Lane 2:

SLC29A1 knockout HAP1 cell lysate at 20 µg

Predicted band size: 50 kDa

false

Western blot - Anti-ENT1 antibody [SP120] (AB182023)
  • WB

Lab

Western blot - Anti-ENT1 antibody [SP120] (AB182023)

False colour image of Western blot : Anti-ENT1 antibody [SP120] staining at 1/1000 dilution, shown in green; Mouse anti-GAPDH antibody [6C5] (ab8245) loading control staining at 1/20000 dilution, shown in red. In Western blot, ab182023 was shown to bind specifically to ENT1. A band was observed at 40-60 kDa in wild-type HEK-293T cell lysates with no signal observed at this size in SLC29A1 knockout cell line. To generate this image, wild-type and SLC29A1 knockout HEK-293T cell lysates were analysed. First, samples were run on an SDS-PAGE gel then transferred onto a nitrocellulose membrane. Membranes were blocked in 3 % milk in TBS-0.1 % Tween® 20 (TBS-T) before incubation with primary antibodies overnight at 4 °C. Blots were washed four times in TBS-T, incubated with secondary antibodies for 1 h at room temperature, washed again four times then imaged. Secondary antibodies used were Goat anti-Rabbit IgG H&L 800CW and Goat anti-Mouse IgG H&L 680RD at 1/20000 dilution.

All lanes:

Western blot - Anti-ENT1 antibody [SP120] (ab182023) at 1/1000 dilution

Lane 1:

Wild-type HEK-293T cell lysate at 20 µg

Lane 2:

SLC29A1 knockout HEK-293T cell lysate at 20 µg

Lane 3:

HeLa cell lysate at 20 µg

Lane 4:

HAP1 cell lysate at 20 µg

Lane 5:

HEK-293 cell lysate at 20 µg

Lane 6:

U-87 MG cell lysate at 20 µg

Secondary

Lanes 1 - 6:

Goat anti-Rabbit IgG H&L 800CW at 1/20000 dilution

Lanes 1 - 6:

Goat anti-Mouse IgG H&L 680RD at 1/20000 dilution

Observed band size: 40-60 kDa

false

Key facts

Host species

Rabbit

Clonality

Monoclonal

Clone number

SP120

Isotype

IgG

Carrier free

No

Reacts with

Human

Applications

IHC-P, Flow Cyt (Intra), ICC, WB

applications

Immunogen

The exact immunogen used to generate this antibody is proprietary information.

Reactivity data

{ "title": "Reactivity Data", "filters": { "stats": ["", "Species", "Dilution Info", "Notes"], "tabs": { "all-applications": {"fullname" : "All Applications", "shortname": "All Applications"}, "ICC" : {"fullname" : "Immunocytochemistry", "shortname":"ICC"}, "FlowCytIntra" : {"fullname" : "Flow Cytometry (Intracellular)", "shortname":"Flow Cyt (Intra)"}, "WB" : {"fullname" : "Western blot", "shortname":"WB"}, "IHCP" : {"fullname" : "Immunohistochemistry (Formalin/PFA-fixed paraffin-embedded sections)", "shortname":"IHC-P"} }, "product-promise": { "all": "all", "testedAndGuaranteed": "tested", "guaranteed": "expected", "predicted": "predicted", "notRecommended": "not-recommended" } }, "values": { "Human": { "ICC-species-checked": "testedAndGuaranteed", "ICC-species-dilution-info": "1/200", "ICC-species-notes": "<p></p>", "FlowCytIntra-species-checked": "testedAndGuaranteed", "FlowCytIntra-species-dilution-info": "", "FlowCytIntra-species-notes": "<p></p>", "WB-species-checked": "testedAndGuaranteed", "WB-species-dilution-info": "1/1000", "WB-species-notes": "<p></p>", "IHCP-species-checked": "testedAndGuaranteed", "IHCP-species-dilution-info": "1/100", "IHCP-species-notes": "<p></p> Perform heat-mediated antigen retrieval with Tris/EDTA buffer pH 9.0 before commencing with IHC staining protocol." } } }

Product details

What are the advantages of a recombinant monoclonal antibody?
This product is a recombinant monoclonal antibody, which offers several advantages including:

  • - High batch-to-batch consistency and reproducibility
  • - Improved sensitivity and specificity
  • - Long-term security of supply
  • - Animal-free batch production

For more information, read more on recombinant antibodies.

Properties and storage information

Form
Liquid
Purification technique
Affinity purification Protein A/G
Purification notes
Purified from TCS by protein A/G.
Storage buffer
pH: 7.6 Preservative: 0.1% Sodium azide Constituents: PBS, 1% BSA
Shipped at conditions
Blue Ice
Appropriate short-term storage duration
1-2 weeks
Appropriate short-term storage conditions
+4°C
Appropriate long-term storage conditions
-20°C
Aliquoting information
Upon delivery aliquot
Storage information
Avoid freeze / thaw cycle

Supplementary information

This supplementary information is collated from multiple sources and compiled automatically.

ENT1 also known as Equilibrative Nucleoside Transporter 1 or SLC29A1 is a membrane protein responsible for transporting nucleosides across cell membranes. This protein weighs approximately 55 kDa and is expressed in various tissues including the brain heart and liver. The transport activity of ENT1 plays a fundamental role in maintaining cellular nucleoside levels. The efficient transport mechanisms of ENT1 highlight its significance in regulating the availability of substrates for nucleic acid synthesis.
Biological function summary

This transporter facilitates the uptake and recycling of nucleosides which are essential building blocks for DNA and RNA synthesis. ENT1 mediates the transport of adenosine an important nucleoside involved in multiple cellular functions. It operates as a component of a broader transport system that includes similar proteins like ENT2. This action contributes to cellular processes by controlling nucleoside concentrations impacting cell proliferation and metabolic activities.

Pathways

ENT1 plays a role in the purine salvage pathway and adenosine signaling. It regulates extracellular adenosine levels influencing adenosine receptor-mediated pathways that impact many physiological functions. ENT1 coordinates with proteins such as adenosine kinases to manage the intracellular balance of adenosine therefore integrating into both metabolic and signaling routes. Its role in these pathways affects energy metabolism and supports cellular responses to stress.

ENT1 has been associated with conditions such as cardiovascular diseases and neurological disorders. Altered ENT1 activity can affect adenosine levels leading to variations in blood flow and neurotransmission. In cardiovascular diseases ENT1 modulates adenosine's cardioprotective effects. In neurological contexts dysfunction of ENT1 relates to disorders involving adenosine receptor signaling where its interaction with proteins like ADA (adenosine deaminase) can influence disease progression.

Product protocols

For this product, it's our understanding that no specific protocols are required. You can visit:

Target data

Uniporter involved in the facilitative transport of nucleosides and nucleobases, and contributes to maintaining their cellular homeostasis (PubMed : 10722669, PubMed : 10755314, PubMed : 12527552, PubMed : 14759222, PubMed : 15037197, PubMed : 17379602, PubMed : 21795683, PubMed : 26406980, PubMed : 27995448, PubMed : 35790189, PubMed : 8986748). Functions as a Na(+)-independent transporter (PubMed : 8986748). Involved in the transport of nucleosides such as adenosine, guanosine, inosine, uridine, thymidine and cytidine (PubMed : 10722669, PubMed : 10755314, PubMed : 12527552, PubMed : 14759222, PubMed : 15037197, PubMed : 17379602, PubMed : 26406980, PubMed : 8986748). Also transports purine nucleobases (hypoxanthine, adenine, guanine) and pyrimidine nucleobases (thymine, uracil) (PubMed : 21795683, PubMed : 27995448). Mediates basolateral nucleoside uptake into Sertoli cells, thereby regulating the transport of nucleosides in testis across the blood-testis barrier (By similarity). Regulates inosine levels in brown adipocytes tissues (BAT) and extracellular inosine levels, which controls BAT-dependent energy expenditure (PubMed : 35790189).
See full target information SLC29A1

Publications (6)

Recent publications for all applications. Explore the full list and refine your search

Nature immunology 26:854-865 PubMed40355731

2025

Inhibition of ENT1 relieves intracellular adenosine-mediated T cell suppression in cancer.

Applications

Unspecified application

Species

Unspecified reactive species

Theodore J Sanders,Christopher S Nabel,Margreet Brouwer,Annelise L Hermant,Lucas Chaible,Jean-Philippe Deglasse,Nicolas Rosewick,Angélique Pabois,Wilfried Cathou,Aurore Smets,Michael Deligny,João Marchante,Quentin Dubray,Marie-Claire Letellier,Chiara Martinoli,Reece Marillier,Olivier De Henau,Yvonne McGrath,Matthew G Vander Heiden,Erica Houthuys

Oncology letters 28:370 PubMed38933809

2024

Pancreatic cancer with liver metastasis maintaining complete response with gemcitabine monotherapy: A case report.

Applications

Unspecified application

Species

Unspecified reactive species

Ohara Mayuko,Takazumi Tsunenari,Takahiro Einama,Koki Ichio,Fukumi Konno,Kazuki Kobayashi,Naoto Yonamine,Yasuhiro Takihata,Mikiya Takao,Akiko Nakazawa,Yoshiki Kajiwara,Hideki Ueno,Yoji Kishi

Cell metabolism 36:1504-1520.e9 PubMed38876105

2024

Electron transport chain inhibition increases cellular dependence on purine transport and salvage.

Applications

Unspecified application

Species

Unspecified reactive species

Zheng Wu,Divya Bezwada,Feng Cai,Robert C Harris,Bookyung Ko,Varun Sondhi,Chunxiao Pan,Hieu S Vu,Phong T Nguyen,Brandon Faubert,Ling Cai,Hongli Chen,Misty Martin-Sandoval,Duyen Do,Wen Gu,Yuanyuan Zhang,Yuannyu Zhang,Bailey Brooks,Sherwin Kelekar,Lauren G Zacharias,K Celeste Oaxaca,Joao S Patricio,Thomas P Mathews,Javier Garcia-Bermudez,Min Ni,Ralph J DeBerardinis

Journal of gastroenterology and hepatology 34:1108-1115 PubMed30242888

2018

Orotate phosphoribosyltransferase as a predictor of benefit from S-1 adjuvant chemotherapy for cholangiocarcinoma patients.

Applications

Unspecified application

Species

Unspecified reactive species

Keiichi Akahoshi,Daisuke Ban,Ryo Kuboki,Atsushi Oba,Hiroaki Ono,Yusuke Mitsunori,Atsushi Kudo,Shinji Tanaka,Minoru Tanabe

Molecular imaging and biology 19:540-549 PubMed27798786

2016

Response Monitoring with [F]FLT PET and Diffusion-Weighted MRI After Cytotoxic 5-FU Treatment in an Experimental Rat Model for Colorectal Liver Metastases.

Applications

Unspecified application

Species

Unspecified reactive species

Sandra Heskamp,Linda Heijmen,Danny Gerrits,Janneke D M Molkenboer-Kuenen,Edwin G W Ter Voert,Kathrin Heinzmann,Davina J Honess,Donna-Michelle Smith,John R Griffiths,Sabrina Doblas,Ralph Sinkus,Peter Laverman,Wim J G Oyen,Arend Heerschap,Otto C Boerman

Journal of hepato-biliary-pancreatic sciences 23:480-8 PubMed27247050

2016

Clinical application of the biomarkers for the selection of adjuvant chemotherapy in pancreatic ductal adenocarcinoma.

Applications

Unspecified application

Species

Unspecified reactive species

Atsushi Oba,Daisuke Ban,Susumu Kirimura,Keiichi Akahoshi,Yusuke Mitsunori,Satoshi Matsumura,Takanori Ochiai,Atsushi Kudo,Shinji Tanaka,Tanabe Minoru
View all publications

Product promise

We are committed to supporting your work with high-quality reagents, and we're here for you every step of the way. In the unlikely event that one of our products does not perform as expected, you're protected by our Product Promise.
For full details, please see our Terms & Conditions

Please note: All products are 'FOR RESEARCH USE ONLY. NOT FOR USE IN DIAGNOSTIC OR THERAPEUTIC PROCEDURES'.

For licensing inquiries, please contact partnerships@abcam.com