JavaScript is disabled in your browser. Please enable JavaScript to view this website.
AB181192

Anti-ENT2 antibody [EPR11674]

Be the first to review this product! Submit a review

|

(6 Publications)

Rabbit Recombinant Monoclonal ENT2 antibody. Suitable for WB, ICC/IF, Flow Cyt (Intra), IHC-P and reacts with Human samples. Cited in 6 publications.

View Alternative Names

DER12, ENT2, HNP36, SLC29A2, Equilibrative nucleoside transporter 2, hENT2, 36 kDa nucleolar protein HNP36, Delayed-early response protein 12, Equilibrative nitrobenzylmercaptopurine riboside-insensitive nucleoside transporter, Solute carrier family 29 member 2, Equilibrative NBMPR-insensitive nucleoside transporter

5 Images
Flow Cytometry (Intracellular) - Anti-ENT2 antibody [EPR11674] (AB181192)
  • Flow Cyt (Intra)

Supplier Data

Flow Cytometry (Intracellular) - Anti-ENT2 antibody [EPR11674] (AB181192)

Intracellular flow cytometric analysis of HepG2 cells fixed in 2% paraformaldehyde labeling ENT2 with ab181192 at 1/10 dilution and Goat anti-FITC at 1/150 dilution (pink). Rabbit monoclonal IgG was used as isotype control.

Immunocytochemistry/ Immunofluorescence - Anti-ENT2 antibody [EPR11674] (AB181192)
  • ICC/IF

Supplier Data

Immunocytochemistry/ Immunofluorescence - Anti-ENT2 antibody [EPR11674] (AB181192)

Immunocytochemical analysis of HepG2 cells fixed in 4% paraformaldehyde labeling ENT2 with ab181192 at 1/250 dilution and Goat anti rabbit IgG (Alexa Fluor® 488) 1/200 dilution (green). Counterstained with DAPI (blue).

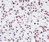
Immunohistochemistry (Formalin/PFA-fixed paraffin-embedded sections) - Anti-ENT2 antibody [EPR11674] (AB181192)
  • IHC-P

Supplier Data

Immunohistochemistry (Formalin/PFA-fixed paraffin-embedded sections) - Anti-ENT2 antibody [EPR11674] (AB181192)

Immunohistochemical analysis of paraffin-embedded human clear cell carcinoma of the kidney tissue labeling ENT2 with ab181192 at 1/250 dilution and counterstained with Hematoxylin.

Perform heat mediated antigen retrieval with EDTA buffer pH 9 before commencing with IHC staining protocol.

Western blot - Anti-ENT2 antibody [EPR11674] (AB181192)
  • WB

Supplier Data

Western blot - Anti-ENT2 antibody [EPR11674] (AB181192)

All lanes:

Western blot - Anti-ENT2 antibody [EPR11674] (ab181192) at 1/1000 dilution

Lane 1:

HepG2 at 20 µg

Lane 2:

K562 at 20 µg

Lane 3:

Jurkat at 20 µg

Lane 4:

SH-SY5Y at 20 µg

Secondary

All lanes:

Goat Anti-Rabbit IgG, (H+L), Peroxidase conjugated

Predicted band size: 50 kDa

Observed band size: 55-60 kDa

false

Western blot - Anti-ENT2 antibody [EPR11674] (AB181192)
  • WB

Supplier Data

Western blot - Anti-ENT2 antibody [EPR11674] (AB181192)

All lanes:

Western blot - Anti-ENT2 antibody [EPR11674] (ab181192) at 1/1000 dilution

All lanes:

Human ENT2 recombinant protein, 10 ng

Secondary

All lanes:

Goat Anti-Rabbit IgG, (H+L), Peroxidase conjugated at 1/1000 dilution

Predicted band size: 50 kDa

false

Key facts

Host species

Rabbit

Clonality

Monoclonal

Clone number

EPR11674

Isotype

IgG

Carrier free

No

Reacts with

Human

Applications

ICC/IF, IHC-P, WB, Flow Cyt (Intra)

applications

Immunogen

The exact immunogen used to generate this antibody is proprietary information.

Specificity

May be unsuitable with mouse in WB.

Reactivity data

{ "title": "Reactivity Data", "filters": { "stats": ["", "Species", "Dilution Info", "Notes"], "tabs": { "all-applications": {"fullname" : "All Applications", "shortname": "All Applications"}, "WB" : {"fullname" : "Western blot", "shortname":"WB"}, "ICCIF" : {"fullname" : "Immunocytochemistry/ Immunofluorescence", "shortname":"ICC/IF"}, "FlowCytIntra" : {"fullname" : "Flow Cytometry (Intracellular)", "shortname":"Flow Cyt (Intra)"}, "IHCP" : {"fullname" : "Immunohistochemistry (Formalin/PFA-fixed paraffin-embedded sections)", "shortname":"IHC-P"} }, "product-promise": { "all": "all", "testedAndGuaranteed": "tested", "guaranteed": "expected", "predicted": "predicted", "notRecommended": "not-recommended" } }, "values": { "Human": { "WB-species-checked": "testedAndGuaranteed", "WB-species-dilution-info": "1/1000 - 1/2000", "WB-species-notes": "<p></p>", "ICCIF-species-checked": "testedAndGuaranteed", "ICCIF-species-dilution-info": "1/100 - 1/250", "ICCIF-species-notes": "<p></p>", "FlowCytIntra-species-checked": "testedAndGuaranteed", "FlowCytIntra-species-dilution-info": "1/10", "FlowCytIntra-species-notes": "<p><a href='/en-us/products/primary-antibodies/rabbit-igg-monoclonal-epr25a-isotype-control-ab172730'>ab172730</a> - Rabbit monoclonal IgG, is suitable for use as an isotype control with this antibody.</p>", "IHCP-species-checked": "testedAndGuaranteed", "IHCP-species-dilution-info": "1/100 - 1/250", "IHCP-species-notes": "<p></p> Perform heat-mediated antigen retrieval with Tris/EDTA buffer pH 9.0 before commencing with IHC staining protocol." }, "Mouse": { "WB-species-checked": "predicted", "WB-species-dilution-info": "", "WB-species-notes": "", "ICCIF-species-checked": "predicted", "ICCIF-species-dilution-info": "", "ICCIF-species-notes": "", "FlowCytIntra-species-checked": "predicted", "FlowCytIntra-species-dilution-info": "", "FlowCytIntra-species-notes": "", "IHCP-species-checked": "predicted", "IHCP-species-dilution-info": "", "IHCP-species-notes": "" }, "Rat": { "WB-species-checked": "predicted", "WB-species-dilution-info": "", "WB-species-notes": "", "ICCIF-species-checked": "predicted", "ICCIF-species-dilution-info": "", "ICCIF-species-notes": "", "FlowCytIntra-species-checked": "predicted", "FlowCytIntra-species-dilution-info": "", "FlowCytIntra-species-notes": "", "IHCP-species-checked": "predicted", "IHCP-species-dilution-info": "", "IHCP-species-notes": "" } } }

Product details

Patented technology
Our RabMAb® technology is a patented hybridoma-based technology for making rabbit monoclonal antibodies. For details on our patents, please refer to RabMAb® patents.

What are the advantages of a recombinant monoclonal antibody?
This product is a recombinant monoclonal antibody, which offers several advantages including:

  • - High batch-to-batch consistency and reproducibility
  • - Improved sensitivity and specificity
  • - Long-term security of supply
  • - Animal-free batch production

For more information, read more on recombinant antibodies.

Properties and storage information

Form
Liquid
Purification technique
Affinity purification Protein A
Storage buffer
Preservative: 0.01% Sodium azide Constituents: PBS, 40% Glycerol (glycerin, glycerine), 0.05% BSA
Shipped at conditions
Blue Ice
Appropriate short-term storage duration
1-2 weeks
Appropriate short-term storage conditions
+4°C
Appropriate long-term storage conditions
-20°C
Aliquoting information
Upon delivery aliquot
Storage information
Avoid freeze / thaw cycle

Supplementary information

This supplementary information is collated from multiple sources and compiled automatically.

ENT2 also known as Equilibrative Nucleoside Transporter 2 facilitates the transport of nucleosides across cellular membranes. It weighs approximately 56 kDa. The transporter is widely expressed in various tissues including the brain heart and placenta. By allowing the movement of nucleosides ENT2 plays a fundamental role in nucleoside salvage an important process for maintaining cellular nucleotide pools especially in energy-demanding tissues.
Biological function summary

ENT2 participates in the regulation of intracellular nucleoside levels which impacts DNA and RNA synthesis. It operates individually and does not form part of a larger protein complex allowing it to specifically affect the transport rates based on cellular requirements. This role supports essential cellular processes like cell growth and division highlighting ENT2 as an important regulator in genomic stability and cellular homeostasis.

Pathways

ENT2 plays major roles in the purine and pyrimidine salvage pathways. These pathways involve essential enzymes that facilitate the recycling of nucleosides for nucleotide synthesis. Related proteins include ENT1 another member of the equilibrative nucleoside transporter family which shares functional similarities in nucleoside transport across membranes and influences the dynamics of these pathways.

Dysfunction of ENT2 links to conditions like myocardial ischemia and neurodegenerative disorders. In these conditions ENT2's role in regulating nucleoside availability directly impacts cellular stress responses. For instance its interaction with nucleoside transport can modulate the extracellular adenosine levels influencing the purinergic signaling pathways. In cardiac tissues altered ENT2 function affects the availability of nucleosides during ischemic events potentially exacerbating tissue damage while in neurodegenerative contexts its regulation of nucleoside levels can impact neuron survival and function potentially involving proteins like adenosine deaminase.

Product protocols

For this product, it's our understanding that no specific protocols are required. You can visit:

Target data

Bidirectional uniporter involved in the facilitative transport of nucleosides and nucleobases, and contributes to maintaining their cellular homeostasis (PubMed : 10722669, PubMed : 12527552, PubMed : 12590919, PubMed : 16214850, PubMed : 21795683, PubMed : 9396714, PubMed : 9478986). Functions as a Na(+)-independent, passive transporter (PubMed : 9478986). Involved in the transport of nucleosides such as inosine, adenosine, uridine, thymidine, cytidine and guanosine (PubMed : 10722669, PubMed : 12527552, PubMed : 12590919, PubMed : 16214850, PubMed : 21795683, PubMed : 9396714, PubMed : 9478986). Also able to transport purine nucleobases (hypoxanthine, adenine, guanine) and pyrimidine nucleobases (thymine, uracil) (PubMed : 16214850, PubMed : 21795683). Involved in nucleoside transport at basolateral membrane of kidney cells, allowing liver absorption of nucleoside metabolites (PubMed : 12527552). Mediates apical nucleoside uptake into Sertoli cells, thereby regulating the transport of nucleosides in testis across the blood-testis-barrier (PubMed : 23639800). Mediates both the influx and efflux of hypoxanthine in skeletal muscle microvascular endothelial cells to control the amount of intracellular hypoxanthine available for xanthine oxidase-mediated ROS production (By similarity).. Isoform 3. Non functional nucleoside transporter protein for adenosine or thymidine transport. Does not express on cell membrane.
See full target information SLC29A2

Publications (6)

Recent publications for all applications. Explore the full list and refine your search

Cell discovery 10:81 PubMed39103336

2024

40 Hz light flickering facilitates the glymphatic flow via adenosine signaling in mice.

Applications

Unspecified application

Species

Unspecified reactive species

Xiaoting Sun,Liliana Dias,Chenlei Peng,Ziyi Zhang,Haoting Ge,Zejun Wang,Jiayi Jin,Manli Jia,Tao Xu,Wei Guo,Wu Zheng,Yan He,Youru Wu,Xiaohong Cai,Paula Agostinho,Jia Qu,Rodrigo A Cunha,Xuzhao Zhou,Ruiliang Bai,Jiang-Fan Chen

Cancer & metabolism 12:11 PubMed38594734

2024

Purine salvage promotes treatment resistance in H3K27M-mutant diffuse midline glioma.

Applications

Unspecified application

Species

Unspecified reactive species

Erik R Peterson,Peter Sajjakulnukit,Andrew J Scott,Caleb Heaslip,Anthony Andren,Kari Wilder-Romans,Weihua Zhou,Sravya Palavalasa,Navyateja Korimerla,Angelica Lin,Alexandra O'Brien,Ayesha Kothari,Zitong Zhao,Li Zhang,Meredith A Morgan,Sriram Venneti,Carl Koschmann,Nada Jabado,Costas A Lyssiotis,Maria G Castro,Daniel R Wahl

The Journal of pharmacy and pharmacology 72:1556-1563 PubMed32743802

2020

e5NT inhibitor protects acute restraint stress-induced depression by regulating nucleoside release in mice.

Applications

Unspecified application

Species

Unspecified reactive species

Ping Liu,Lei Zhu,Limei Zhou,Xinyu Bai

Journal of nuclear cardiology : official publicati : PubMed31741324

2019

Cell proliferation detected using [F]FLT PET/CT as an early marker of abdominal aortic aneurysm.

Applications

Unspecified application

Species

Unspecified reactive species

Richa Gandhi,Christopher Cawthorne,Lucinda J L Craggs,John D Wright,Juozas Domarkas,Ping He,Joanna Koch-Paszkowski,Michael Shires,Andrew F Scarsbrook,Stephen J Archibald,Charalampos Tsoumpas,Marc A Bailey

Scientific reports 7:9439 PubMed28842605

2017

Deficient Insulin-mediated Upregulation of the Equilibrative Nucleoside Transporter 2 Contributes to Chronically Increased Adenosine in Diabetic Glomerulopathy.

Applications

Unspecified application

Species

Unspecified reactive species

Sebastián Alarcón,Wallys Garrido,Génesis Vega,Claudio Cappelli,Raibel Suárez,Carlos Oyarzún,Claudia Quezada,Rody San Martín

Stem cell research 12:400-14 PubMed24380814

2014

Topoisomerase I inhibitor, camptothecin, induces apoptogenic signaling in human embryonic stem cells.

Applications

Unspecified application

Species

Unspecified reactive species

Carolina Paola García,Guillermo Agustín Videla Richardson,Leonardo Romorini,Santiago Gabriel Miriuka,Gustavo Emilio Sevlever,María Elida Scassa
View all publications

Product promise

We are committed to supporting your work with high-quality reagents, and we're here for you every step of the way. In the unlikely event that one of our products does not perform as expected, you're protected by our Product Promise.
For full details, please see our Terms & Conditions

Please note: All products are 'FOR RESEARCH USE ONLY. NOT FOR USE IN DIAGNOSTIC OR THERAPEUTIC PROCEDURES'.

For licensing inquiries, please contact partnerships@abcam.com