JavaScript is disabled in your browser. Please enable JavaScript to view this website.
AB247694

Anti-ENTPD5 antibody [EPR3784] - BSA and Azide free

Be the first to review this product! Submit a review

|

(1 Publication)

Rabbit Recombinant Monoclonal ENTPD5 antibody. Carrier free. Suitable for IHC-P, WB and reacts with Human samples. Cited in 1 publication.

View Alternative Names

CD39L4, PCPH, ENTPD5, Nucleoside diphosphate phosphatase ENTPD5, CD39 antigen-like 4, ER-UDPase, Ectonucleoside triphosphate diphosphohydrolase 5, Guanosine-diphosphatase ENTPD5, Inosine diphosphate phosphatase ENTPD5, Nucleoside diphosphatase, Uridine-diphosphatase ENTPD5, NTPDase 5, GDPase ENTPD5, UDPase ENTPD5

3 Images
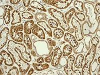
Immunohistochemistry (Formalin/PFA-fixed paraffin-embedded sections) - Anti-ENTPD5 antibody [EPR3784] - BSA and Azide free (AB247694)
  • IHC-P

Unknown

Immunohistochemistry (Formalin/PFA-fixed paraffin-embedded sections) - Anti-ENTPD5 antibody [EPR3784] - BSA and Azide free (AB247694)

This data was developed using ab108603, the same antibody clone in a different buffer formulation.

ab108603, at 1/100 dilution, staining ENTPD5 in paraffin-embedded Human kidney tissue by Immunohistochemistry.

Perform heat mediated antigen retrieval with citrate buffer pH 6 before commencing with IHC staining protocol.

Western blot - Anti-ENTPD5 antibody [EPR3784] - BSA and Azide free (AB247694)
  • WB

Unknown

Western blot - Anti-ENTPD5 antibody [EPR3784] - BSA and Azide free (AB247694)

This data was developed using ab108603, the same antibody clone in a different buffer formulation.

All lanes:

Western blot - Anti-ENTPD5 antibody [EPR3784] (<a href='/en-us/products/primary-antibodies/entpd5-antibody-epr3784-ab108603'>ab108603</a>) at 1/1000 dilution

All lanes:

fetal liver cell lysate at 10 µg

Secondary

All lanes:

HRP labelled goat anti-rabbit at 1/2000 dilution

Predicted band size: 48 kDa

Observed band size: 47 kDa

false

Western blot - Anti-ENTPD5 antibody [EPR3784] - BSA and Azide free (AB247694)
  • WB

Lab

Western blot - Anti-ENTPD5 antibody [EPR3784] - BSA and Azide free (AB247694)

This data was developed using ab108603, the same antibody clone in a different buffer formulation.

Western blot : Rabbit Monoclonal [EPR3784] to ENTPD5 ab108603 staining at 1/1000 dilution, shown in green; Mouse anti GAPDH (ab8245) loading control staining at 1/20,000 dilution, shown in magenta.

A band was observed at 48 kDa in Wild-type A549 cell lysates with no signal observed at this size in ENTPD5 knockout A549 cell line.

To generate this image, samples were run on an SDS-PAGE gel then transferred onto a nitrocellulose membrane. Membranes were blocked in 3pc Milk in TBS-0.1 % Tween® 20 (TBS-T) before incubation with primary antibodies overnight at 4 °C. Blots were washed four times in TBS-T, incubated with secondary antibodies for 1 h at room temperature, washed again four times then imaged.

Secondary antibodies used were Goat anti-Rabbit 800CW & Goat anti-Mouse 680RD at 1/20,000 dilution.

All lanes:

Western blot - Anti-ENTPD5 antibody [EPR3784] (<a href='/en-us/products/primary-antibodies/entpd5-antibody-epr3784-ab108603'>ab108603</a>) at 1/1000 dilution

Lane 1:

Wild-type A549 at 20 µg

Lane 2:

ENTPD5 knockout A549 at 20 µg

Lane 3:

HeLa at 20 µg

Lane 4:

THP-1 at 20 µg

Lane 5:

PC-3 at 20 µg

Secondary

All lanes:

Goat anti-Rabbit 800CW & Goat anti-Mouse 680RD at 1/20000 dilution

Predicted band size: 48 kDa

Observed band size: 48 kDa

false

Key facts

Host species

Rabbit

Clonality

Monoclonal

Clone number

EPR3784

Isotype

IgG

Carrier free

Yes

Reacts with

Human

Applications

WB, IHC-P

applications

Immunogen

The exact immunogen used to generate this antibody is proprietary information.

Reactivity data

{ "title": "Reactivity Data", "filters": { "stats": ["", "Species", "Dilution Info", "Notes"], "tabs": { "all-applications": {"fullname" : "All Applications", "shortname": "All Applications"}, "IHCP" : {"fullname" : "Immunohistochemistry (Formalin/PFA-fixed paraffin-embedded sections)", "shortname":"IHC-P"}, "ICCIF" : {"fullname" : "Immunocytochemistry/ Immunofluorescence", "shortname":"ICC/IF"}, "FlowCyt" : {"fullname" : "Flow Cytometry", "shortname":"Flow Cyt"}, "WB" : {"fullname" : "Western blot", "shortname":"WB"} }, "product-promise": { "all": "all", "testedAndGuaranteed": "tested", "guaranteed": "expected", "predicted": "predicted", "notRecommended": "not-recommended" } }, "values": { "Human": { "IHCP-species-checked": "testedAndGuaranteed", "IHCP-species-dilution-info": "", "IHCP-species-notes": "<p>Antigen retrieval is recommended.</p>", "ICCIF-species-checked": "notRecommended", "ICCIF-species-dilution-info": "", "ICCIF-species-notes": "<p></p>", "FlowCyt-species-checked": "notRecommended", "FlowCyt-species-dilution-info": "", "FlowCyt-species-notes": "<p></p>", "WB-species-checked": "testedAndGuaranteed", "WB-species-dilution-info": "", "WB-species-notes": "<p></p>" }, "Mouse": { "IHCP-species-checked": "predicted", "IHCP-species-dilution-info": "", "IHCP-species-notes": "", "ICCIF-species-checked": "notRecommended", "ICCIF-species-dilution-info": "", "ICCIF-species-notes": "", "FlowCyt-species-checked": "notRecommended", "FlowCyt-species-dilution-info": "", "FlowCyt-species-notes": "", "WB-species-checked": "predicted", "WB-species-dilution-info": "", "WB-species-notes": "" }, "Rat": { "IHCP-species-checked": "predicted", "IHCP-species-dilution-info": "", "IHCP-species-notes": "", "ICCIF-species-checked": "notRecommended", "ICCIF-species-dilution-info": "", "ICCIF-species-notes": "", "FlowCyt-species-checked": "notRecommended", "FlowCyt-species-dilution-info": "", "FlowCyt-species-notes": "", "WB-species-checked": "predicted", "WB-species-dilution-info": "", "WB-species-notes": "" } } }

Product details

ab247694 is the carrier-free version of ab108603.

Patented technology
Our RabMAb® technology is a patented hybridoma-based technology for making rabbit monoclonal antibodies. For details on our patents, please refer to RabMAb® patents.

What are the advantages of a recombinant monoclonal antibody?
This product is a recombinant monoclonal antibody, which offers several advantages including:

  • - High batch-to-batch consistency and reproducibility
  • - Improved sensitivity and specificity
  • - Long-term security of supply
  • - Animal-free batch production

For more information, read more on recombinant antibodies.

Conjugation ready
Our carrier-free antibodies are typically supplied in a PBS-only formulation, purified and free of BSA, sodium azide and glycerol. This conjugation-ready format is designed for use with fluorochromes, metal isotopes, oligonucleotides, and enzymes, which makes them ideal for antibody labelling, functional and cell-based assays, flow-based assays (e.g. mass cytometry) and Multiplex Imaging applications.

Use our conjugation kits for antibody conjugates that are ready-to-use in as little as 20 minutes with 1 minute hands-on-time and 100% antibody recovery: available for fluorescent dyes, HRP, biotin and gold.

Compatibility
This product is compatible with the Maxpar® Antibody Labeling Kit from Fluidigm, without the need for antibody preparation. Maxpar® is a trademark of Fluidigm Canada Inc.

Properties and storage information

Form
Liquid
Purification technique
Affinity purification
Storage buffer
pH: 7.2 - 7.4 Constituents: PBS
Shipped at conditions
Blue Ice
Appropriate short-term storage conditions
+4°C
Appropriate long-term storage conditions
+4°C
Storage information
Do Not Freeze

Supplementary information

This supplementary information is collated from multiple sources and compiled automatically.

ENTPD5 also known as ectonucleoside triphosphate diphosphohydrolase 5 or NTPDase-5 primarily acts as an ER-resident glycoprotein that hydrolyzes nucleoside diphosphates into monophosphates. This enzyme weighs approximately 45 kDa. It is predominantly expressed in liver and pancreas tissues. Functionally ENTPD5 regulates cellular levels of UDP by converting GDP and its role in the re-glycosylation of proteins.
Biological function summary

This enzyme plays a role in protein folding and quality control within the endoplasmic reticulum. ENTPD5 influences the ER-associated degradation (ERAD) pathway which deals with the removal of misfolded proteins. The enzyme does interact with other proteins and complexes including calnexin and calreticulin chaperone systems suggesting its integration in glycan-processing machinery.

Pathways

ENTPD5 integrates into the protein glycosylation and turnover pathways. It links with the AKT/mTOR signaling pathway by regulating the availability of UDP-GlcNAc a substrate for N-glycosylation of proteins. ENTPD5 relates to proteins like AKT and mTOR that are involved in protein synthesis cell growth and survival signaling pathways.

ENTPD5 has an association with cancer notably prostate cancer. The enzyme modulates the Warburg effect linked to the increased reglycosylation of proteins promoting tumor progression. It also connects to diabetes through its role in insulin signaling pathways where aberrant glycoprotein fragments may affect insulin receptor activity. Here ENTPD5 shows a connection to proteins involved in insulin signaling such as the insulin receptor.

Product protocols

For this product, it's our understanding that no specific protocols are required. You can visit:

Target data

Hydrolyzes nucleoside diphosphates with a preference for GDP, IDP and UDP compared to ADP and CDP (PubMed : 10400613, PubMed : 15698960). In the lumen of the endoplasmic reticulum, hydrolyzes UDP that acts as an end-product feedback inhibitor of the UDP-Glc : glycoprotein glucosyltransferases. UMP can be transported back by an UDP-sugar antiporter to the cytosol where it is consumed to regenerate UDP-glucose. Therefore, it positively regulates protein reglucosylation by clearing UDP from the ER lumen and by promoting the regeneration of UDP-glucose. Protein reglucosylation is essential to proper glycoprotein folding and quality control in the ER (By similarity).
See full target information ENTPD5

Publications (1)

Recent publications for all applications. Explore the full list and refine your search

Oncology letters 26:409 PubMed37600337

2023

Renal epithelioid angiomyolipoma: A case report.

Applications

Unspecified application

Species

Unspecified reactive species

Hongyun Li,Xuebei Zhang,Qingli Zhao,Jin Wang,Xiaoqing Yang,Shengliang Huang
View all publications

Product promise

We are committed to supporting your work with high-quality reagents, and we're here for you every step of the way. In the unlikely event that one of our products does not perform as expected, you're protected by our Product Promise.
For full details, please see our Terms & Conditions

Please note: All products are 'FOR RESEARCH USE ONLY. NOT FOR USE IN DIAGNOSTIC OR THERAPEUTIC PROCEDURES'.

For licensing inquiries, please contact partnerships@abcam.com