JavaScript is disabled in your browser. Please enable JavaScript to view this website.
AB238562

Anti-Eosinophil derived neurotoxin antibody

5

(5 Reviews)

|

(2 Publications)

Rabbit Polyclonal Eosinophil derived neurotoxin antibody. Suitable for IHC-P and reacts with Human samples. Cited in 2 publications. Immunogen corresponding to Recombinant Full Length Protein corresponding to Human RNASE2.

View Alternative Names

EDN, RNS2, RNASE2, Non-secretory ribonuclease, Eosinophil-derived neurotoxin, RNase UpI-2, Ribonuclease 2, Ribonuclease US, RNase 2

2 Images
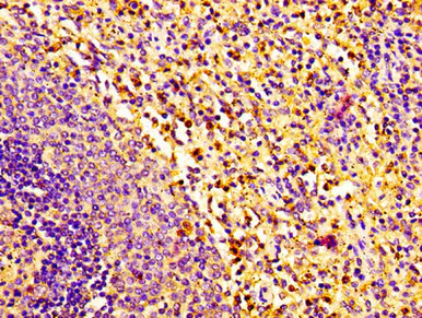
Immunohistochemistry (Formalin/PFA-fixed paraffin-embedded sections) - Anti-Eosinophil derived neurotoxin antibody (AB238562)
  • IHC-P

Supplier Data

Immunohistochemistry (Formalin/PFA-fixed paraffin-embedded sections) - Anti-Eosinophil derived neurotoxin antibody (AB238562)

Paraffin-embedded human spleen tissue stained for Eosinophil derived neurotoxin using ab238562 at 1/100 dilution in immunohistochemical analysis.

After dewaxing and hydration, antigen retrieval was mediated by high pressure in a citrate buffer (pH 6.0). Section was blocked with 10% normal goat serum 30 minutes at RT. Then primary antibody (1% BSA) was incubated at 4°C overnight. The primary is detected by a biotinylated secondary antibody and visualized tissue using an HRP conjugated SP system.

Immunohistochemistry (Formalin/PFA-fixed paraffin-embedded sections) - Anti-Eosinophil derived neurotoxin antibody (AB238562)
  • IHC-P

Supplier Data

Immunohistochemistry (Formalin/PFA-fixed paraffin-embedded sections) - Anti-Eosinophil derived neurotoxin antibody (AB238562)

Paraffin-embedded human kidney tissue stained for Eosinophil derived neurotoxin using ab238562 at 1/100 dilution in immunohistochemical analysis.

Key facts

Host species

Rabbit

Clonality

Polyclonal

Isotype

IgG

Carrier free

No

Reacts with

Human

Applications

IHC-P

applications

Immunogen

Recombinant Full Length Protein corresponding to Human RNASE2.

P10153

Reactivity data

{ "title": "Reactivity Data", "filters": { "stats": ["", "Species", "Dilution Info", "Notes"], "tabs": { "all-applications": {"fullname" : "All Applications", "shortname": "All Applications"}, "IHCP" : {"fullname" : "Immunohistochemistry (Formalin/PFA-fixed paraffin-embedded sections)", "shortname":"IHC-P"} }, "product-promise": { "all": "all", "testedAndGuaranteed": "tested", "guaranteed": "expected", "predicted": "predicted", "notRecommended": "not-recommended" } }, "values": { "Human": { "IHCP-species-checked": "testedAndGuaranteed", "IHCP-species-dilution-info": "1/20 - 1/200", "IHCP-species-notes": "<p></p>" }, "Chimpanzee": { "IHCP-species-checked": "predicted", "IHCP-species-dilution-info": "", "IHCP-species-notes": "" }, "Gorilla": { "IHCP-species-checked": "predicted", "IHCP-species-dilution-info": "", "IHCP-species-notes": "" }, "Orangutan": { "IHCP-species-checked": "predicted", "IHCP-species-dilution-info": "", "IHCP-species-notes": "" } } }

Properties and storage information

Form
Liquid
Purification technique
Affinity purification Protein G
Purification notes
Purity >95%
Storage buffer
pH: 7.4 Preservative: 0.03% Proclin 300 Constituents: PBS, 50% Glycerol (glycerin, glycerine)
Shipped at conditions
Blue Ice
Appropriate short-term storage duration
1-2 weeks
Appropriate short-term storage conditions
+4°C
Appropriate long-term storage conditions
-20°C
Aliquoting information
Upon delivery aliquot
Storage information
Avoid freeze / thaw cycle

Supplementary information

This supplementary information is collated from multiple sources and compiled automatically.

Eosinophil derived neurotoxin also known as EDN or Ribosomal protein S14 is a multifunctional protein with several biological roles. EDN weighs approximately 18 kDa and is predominantly found in eosinophils a type of white blood cell involved in immune response. Beyond eosinophils this protein can exist in tissues where inflammation occurs. EDN performs various mechanical roles including ribonuclease activity which allows it to degrade RNA substrates efficiently. This ribonuclease property contributes to its wide range of biological functions.
Biological function summary

The eosinophil derived neurotoxin performs significant immune modulation roles. EDN modulates immune activity by acting as an attractant for dendritic cells and T-cells all important players in the immune system. Although not part of a larger protein complex EDN interacts with other immune molecules to propagate inflammatory reactions. Its involvement in antiviral activity also indicates EDN possesses the ability to participate in defense against viral infections enhancing immune responses in tissues where viral invasion occurs.

Pathways

Eosinophil derived neurotoxin plays essential roles in immune signaling and inflammatory pathways. In the immune signaling pathway EDN interacts with key proteins such as IL-5 and eotaxin which guide the recruitment and activation of eosinophils. Inflammatory pathways involving EDN include the promotion of inflammation through cytokine release and cell infiltration. Furthermore EDN is related to ribonuclease proteins through its ribonucleolytic activities linking it to enzymatic degradation pathways which impact RNA processing during immune responses.

Eosinophil derived neurotoxin is associated with conditions like asthma and allergic responses where it amplifies inflammation and tissue damage. In asthma EDN interacts with major basic protein and eotaxin compounds critical in exacerbating bronchial inflammation and hyperresponsiveness. In allergic conditions EDN contributes to the immune system's excessive response to allergens often resulting in tissue damage due to prolonged inflammation. These roles underline the importance of EDN as a target for potential therapeutic intervention in allergy and asthma management.

Product protocols

For this product, it's our understanding that no specific protocols are required. You can visit:

Target data

This is a non-secretory ribonuclease. It is a pyrimidine specific nuclease with a slight preference for U. Cytotoxin and helminthotoxin. Selectively chemotactic for dendritic cells. Possesses a wide variety of biological activities.
See full target information RNASE2

Publications (2)

Recent publications for all applications. Explore the full list and refine your search

Oncology research 32:1851-1866 PubMed39574475

2024

Identification of M2 macrophage-related genes for establishing a prognostic model in pancreatic cancer: as key gene.

Applications

Unspecified application

Species

Unspecified reactive species

Zhen Wang,Jun Fu,Saisai Zhu,Haodong Tang,Kui Shi,Jihua Yang,Meng Wang,Mengge Wu,Dunfeng Qi

Biomolecules 12: PubMed36551293

2022

Eosinophils Infiltration in Esophageal Muscularis Propria Induces Achalasia-like Esophageal Motility Disorder in Mice.

Applications

Unspecified application

Species

Unspecified reactive species

Wei Zhao,Bin Wang,Lili Zhang,Hong Jin
View all publications

Product promise

We are committed to supporting your work with high-quality reagents, and we're here for you every step of the way. In the unlikely event that one of our products does not perform as expected, you're protected by our Product Promise.
For full details, please see our Terms & Conditions

Please note: All products are 'FOR RESEARCH USE ONLY. NOT FOR USE IN DIAGNOSTIC OR THERAPEUTIC PROCEDURES'.

For licensing inquiries, please contact partnerships@abcam.com