JavaScript is disabled in your browser. Please enable JavaScript to view this website.
AB317148

Anti-Eosinophil derived neurotoxin antibody [HL2166]

Be the first to review this product! Submit a review

|

(0 Publication)

Rabbit Monoclonal Eosinophil derived neurotoxin antibody. Suitable for IHC-P, WB and reacts with Human samples. Immunogen corresponding to Recombinant Fragment Protein within Human RNASE2.

View Alternative Names

EDN, RNS2, RNASE2, Non-secretory ribonuclease, Eosinophil-derived neurotoxin, RNase UpI-2, Ribonuclease 2, Ribonuclease US, RNase 2

3 Images
Immunohistochemistry (Formalin/PFA-fixed paraffin-embedded sections) - Anti-Eosinophil derived neurotoxin antibody [HL2166] (AB317148)
  • IHC-P

Supplier Data

Immunohistochemistry (Formalin/PFA-fixed paraffin-embedded sections) - Anti-Eosinophil derived neurotoxin antibody [HL2166] (AB317148)

ab317148 detects Eosinophil derived neurotoxin protein at cytoplasm by immunohistochemical analysis. Sample : Paraffin-embedded human kidney. Eosinophil derived neurotoxin stained by ab317148 diluted at 1 : 200. Antigen Retrieval : Citrate buffer pH 6.0 15 min.

Western blot - Anti-Eosinophil derived neurotoxin antibody [HL2166] (AB317148)
  • WB

Supplier Data

Western blot - Anti-Eosinophil derived neurotoxin antibody [HL2166] (AB317148)

Untreated (–) and treated (+) THP-1 whole cell extract (30 ug) were separated by 15% SDS-PAGE and the membrane was blotted with ab317148 diluted at 1 : 1000. The HRP-conjugated anti-rabbit IgG antibody was used to detect the primary antibody.

All lanes:

Western blot - Anti-Eosinophil derived neurotoxin antibody [HL2166] (ab317148) at 1/1000 dilution

Lane 1:

Untreated (–) HP-1 whole cell extract at 30 µg

Lane 2:

PNGase F, 2hr treated (+) THP-1 whole cell extract at 30 µg

Secondary

All lanes:

HRP-conjugated anti-rabbit IgG antibody

false

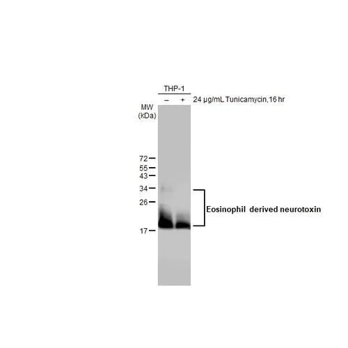
Western blot - Anti-Eosinophil derived neurotoxin antibody [HL2166] (AB317148)
  • WB

Supplier Data

Western blot - Anti-Eosinophil derived neurotoxin antibody [HL2166] (AB317148)

Untreated (–) and treated (+) THP-1 whole cell extracts (30 ug) were separated by 15% SDS-PAGE and the membrane was blotted with ab317148 diluted at 1 : 1000. The HRP-conjugated anti-rabbit IgG antibody was used to detect the primary antibody.

All lanes:

Western blot - Anti-Eosinophil derived neurotoxin antibody [HL2166] (ab317148) at 1/1000 dilution

Lane 1:

Untreated (–) THP-1 whole cell extracts at 30 µg

Lane 2:

24 ug/mL Tunicamycin, 16 hr treated (+) THP-1 whole cell extracts at 30 µg

Secondary

All lanes:

HRP-conjugated anti-rabbit IgG antibody

false

Key facts

Host species

Rabbit

Clonality

Monoclonal

Clone number

HL2166

Isotype

IgG

Carrier free

No

Reacts with

Human

Applications

WB, IHC-P

applications

Immunogen

Recombinant Fragment Protein within Human RNASE2.

P10153

Reactivity data

{ "title": "Reactivity Data", "filters": { "stats": ["", "Species", "Dilution Info", "Notes"], "tabs": { "all-applications": {"fullname" : "All Applications", "shortname": "All Applications"}, "IHCP" : {"fullname" : "Immunohistochemistry (Formalin/PFA-fixed paraffin-embedded sections)", "shortname":"IHC-P"}, "WB" : {"fullname" : "Western blot", "shortname":"WB"} }, "product-promise": { "all": "all", "testedAndGuaranteed": "tested", "guaranteed": "expected", "predicted": "predicted", "notRecommended": "not-recommended" } }, "values": { "Human": { "IHCP-species-checked": "testedAndGuaranteed", "IHCP-species-dilution-info": "1/200", "IHCP-species-notes": "<p></p> Perform heat-mediated antigen retrieval with citrate buffer pH 6 before commencing with IHC staining protocol.", "WB-species-checked": "testedAndGuaranteed", "WB-species-dilution-info": "1/1000", "WB-species-notes": "<p></p>" } } }

Properties and storage information

Form
Liquid
Storage buffer
pH: 7.4 Constituents: PBS
Shipped at conditions
Blue Ice
Appropriate short-term storage duration
1-2 weeks
Appropriate short-term storage conditions
+4°C
Appropriate long-term storage conditions
-20°C
Aliquoting information
Upon delivery aliquot
Storage information
Avoid freeze / thaw cycle

Supplementary information

This supplementary information is collated from multiple sources and compiled automatically.

Ribonuclease A also known as RNase A is a type of ribonuclease enzyme known for its ability to cleave RNA molecules. This enzyme specifically catalyzes the endonucleolytic cleavage of RNA to produce 3'-phosphates and 3'-phosphooligonucleotides terminated by cytidine or uridine. RNase A has a molecular mass of approximately 13.7 kDa and is primarily found in the pancreas of bovines. This protein plays a significant role in RNA metabolism and is often utilized in laboratory research for this purpose.
Biological function summary

Ribonuclease A plays an important role in RNA processing and degradation contributing to the regulation of cellular RNA levels. This enzyme does not operate as part of a larger complex but acts independently to degrade single-stranded RNA. The function of RNase A is essential for maintaining cellular homeostasis by controlling the quantity and quality of the cellular RNA ensuring proper turnover and preventing the accumulation of defective or unnecessary RNA molecules.

Pathways

Ribonuclease A is involved in the RNA degradation pathway which is critical for normal cellular function and gene expression regulation. It collaborates with other nucleases to ensure efficient RNA turnover. RNase A is closely related to proteins like RNase 1 and RNase 5 which also participate in RNA metabolism. Participation of RNase A in this pathway highlights its importance in the regulation of genetic information flow from DNA to RNA.

The malfunction or dysregulation of Ribonuclease A can impact diseases such as cancer and cystic fibrosis. In cancer aberrant RNase A activity can influence RNA levels contributing to unchecked cell proliferation. Moreover RNase A is connected to the inflammation seen in cystic fibrosis via its impact on RNA turnover and immune system signaling. RNase A interactions with proteins such as angiogenin which displays similar enzymatic properties further exemplify its involvement in disease-related pathways.

Product protocols

For this product, it's our understanding that no specific protocols are required. You can visit:

Target data

This is a non-secretory ribonuclease. It is a pyrimidine specific nuclease with a slight preference for U. Cytotoxin and helminthotoxin. Selectively chemotactic for dendritic cells. Possesses a wide variety of biological activities.
See full target information RNASE2

Product promise

We are committed to supporting your work with high-quality reagents, and we're here for you every step of the way. In the unlikely event that one of our products does not perform as expected, you're protected by our Product Promise.
For full details, please see our Terms & Conditions

Please note: All products are 'FOR RESEARCH USE ONLY. NOT FOR USE IN DIAGNOSTIC OR THERAPEUTIC PROCEDURES'.

For licensing inquiries, please contact partnerships@abcam.com