JavaScript is disabled in your browser. Please enable JavaScript to view this website.
AB203586

Anti-Eotaxin 2 antibody

Be the first to review this product! Submit a review

|

(2 Publications)

Rabbit Polyclonal Eotaxin 2 antibody. Suitable for IHC-P and reacts with Mouse samples. Cited in 2 publications. Immunogen corresponding to Synthetic Peptide within Human CCL24 aa 50-100 conjugated to Keyhole Limpet Haemocyanin.

View Alternative Names

MPIF2, SCYA24, CCL24, C-C motif chemokine 24, CK-beta-6, Eosinophil chemotactic protein 2, Myeloid progenitor inhibitory factor 2, Small-inducible cytokine A24, Eotaxin-2, MPIF-2

2 Images
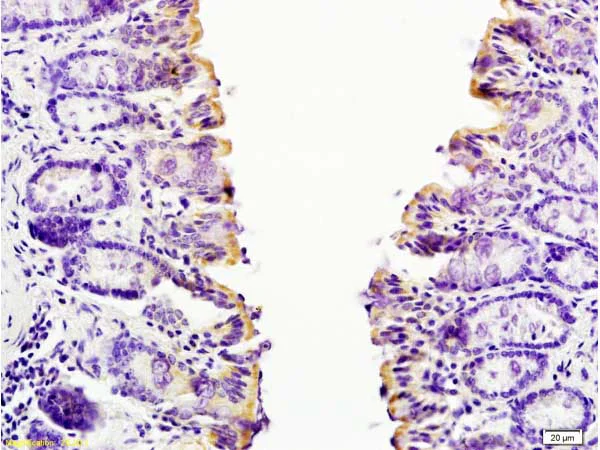
Immunohistochemistry (Formalin/PFA-fixed paraffin-embedded sections) - Anti-Eotaxin 2 antibody (AB203586)
  • IHC-P

Supplier Data

Immunohistochemistry (Formalin/PFA-fixed paraffin-embedded sections) - Anti-Eotaxin 2 antibody (AB203586)

Immunohistochemical analysis of formalin-fixed, paraffin-embedded mouse small intestine tissue labeling Eotaxin 2 with ab203586 at 1/200 dilution, followed by conjugation to the secondary antibody and DAB staining.

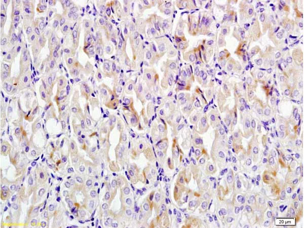
Immunohistochemistry (Formalin/PFA-fixed paraffin-embedded sections) - Anti-Eotaxin 2 antibody (AB203586)
  • IHC-P

Supplier Data

Immunohistochemistry (Formalin/PFA-fixed paraffin-embedded sections) - Anti-Eotaxin 2 antibody (AB203586)

Immunohistochemical analysis of formalin-fixed, paraffin-embedded mouse stomach tissue labeling Eotaxin 2 with ab203586 at 1/200 dilution, followed by conjugation to the secondary antibody and DAB staining.

Key facts

Host species

Rabbit

Clonality

Polyclonal

Isotype

IgG

Carrier free

No

Reacts with

Mouse

Applications

IHC-P

applications

Immunogen

Synthetic Peptide within Human CCL24 aa 50-100 conjugated to Keyhole Limpet Haemocyanin. The exact immunogen used to generate this antibody is proprietary information.

O00175

Reactivity data

{ "title": "Reactivity Data", "filters": { "stats": ["", "Species", "Dilution Info", "Notes"], "tabs": { "all-applications": {"fullname" : "All Applications", "shortname": "All Applications"}, "IHCP" : {"fullname" : "Immunohistochemistry (Formalin/PFA-fixed paraffin-embedded sections)", "shortname":"IHC-P"} }, "product-promise": { "all": "all", "testedAndGuaranteed": "tested", "guaranteed": "expected", "predicted": "predicted", "notRecommended": "not-recommended" } }, "values": { "Human": { "IHCP-species-checked": "predicted", "IHCP-species-dilution-info": "", "IHCP-species-notes": "" }, "Mouse": { "IHCP-species-checked": "testedAndGuaranteed", "IHCP-species-dilution-info": "1/100 - 1/500", "IHCP-species-notes": "<p></p>" }, "Rat": { "IHCP-species-checked": "predicted", "IHCP-species-dilution-info": "", "IHCP-species-notes": "" } } }

Properties and storage information

Form
Liquid
Purification technique
Affinity purification Protein A
Storage buffer
pH: 7.4 Preservative: 0.02% Proclin 300 Constituents: 50% Glycerol (glycerin, glycerine), 48.98% TBS, 1X, 1% BSA
Shipped at conditions
Blue Ice
Appropriate short-term storage duration
1-2 weeks
Appropriate short-term storage conditions
+4°C
Appropriate long-term storage conditions
-20°C
Aliquoting information
Upon delivery aliquot
Storage information
Avoid freeze / thaw cycle

Supplementary information

This supplementary information is collated from multiple sources and compiled automatically.

Eotaxin 2 also known as CCL24 or eotaxin-2 is a chemokine protein with a mass of approximately 10 kDa. It mainly functions as a signaling molecule that recruits specific immune cells to sites of inflammation or tissue damage. This protein is expressed in various tissues with higher levels in the heart lung liver and small intestine. Eotaxin-2 is a member of the CC chemokine family and its expression is often regulated by inflammatory cytokines.
Biological function summary

Eotaxin 2 plays a critical role in the immune response by attracting eosinophils and other immune cells to inflamed or damaged tissues. This attraction is mediated through its interaction with the CCR3 receptor on the surface of target cells. Eotaxin-2 is not part of a larger complex but instead acts as a standalone molecule within the chemokine signaling network. This protein assists in the body's defense by guiding the movement of cells to stimulate immune activity where needed.

Pathways

Eotaxin 2 is involved in the chemokine-mediated signaling pathway that directs the migration of immune cells. Another important pathway associated with eotaxin 2 is the inflammatory response pathway. The coordinated interaction with other chemokines such as eotaxin (CCL11) and MCP-4 (CCL13) is essential to its role in inflammation and healing. These interactions facilitate proper cellular responses to various physiological challenges.

Eotaxin 2 has been implicated in asthma and allergic rhinitis conditions characterized by an overactive immune response. In these disorders its production and release contribute to excessive eosinophil accumulation which can exacerbate symptoms. Eotaxin 2 connects to these diseases primarily through its action on the CCR3 receptor and its interaction with related chemokines such as eotaxin (CCL11) which also play a role in promoting eosinophil recruitment and activation.

Product protocols

For this product, it's our understanding that no specific protocols are required. You can visit:

Target data

Chemotactic for resting T-lymphocytes, and eosinophils (PubMed : 9104803, PubMed : 9365122). Has lower chemotactic activity for neutrophils but none for monocytes and activated lymphocytes (PubMed : 9104803, PubMed : 9365122). Is a strong suppressor of colony formation by a multipotential hematopoietic progenitor cell line (PubMed : 9104803, PubMed : 9365122). Binds to CCR3 (PubMed : 9104803, PubMed : 9365122).
See full target information CCL24

Publications (2)

Recent publications for all applications. Explore the full list and refine your search

Frontiers in endocrinology 14:1266081 PubMed37900150

2023

CRH-R2 signalling modulates feeding and circadian gene expression in hypothalamic mHypoA-2/30 neurons.

Applications

Unspecified application

Species

Unspecified reactive species

Viridiana Alcántara-Alonso,Robert Dallmann,Hendrik Lehnert,Patricia de Gortari,Dimitris K Grammatopoulos

Cell death & disease 11:117 PubMed32051393

2020

Blocking the autocrine regulatory loop of Gankyrin/STAT3/CCL24/CCR3 impairs the progression and pazopanib resistance of clear cell renal cell carcinoma.

Applications

Unspecified application

Species

Unspecified reactive species

Chao Wang,Yuning Wang,Tianyu Hong,Bing Cheng,Sishun Gan,Linbao Chen,Jing Zhang,Li Zuo,Jian Li,Xingang Cui
View all publications

Product promise

We are committed to supporting your work with high-quality reagents, and we're here for you every step of the way. In the unlikely event that one of our products does not perform as expected, you're protected by our Product Promise.
For full details, please see our Terms & Conditions

Please note: All products are 'FOR RESEARCH USE ONLY. NOT FOR USE IN DIAGNOSTIC OR THERAPEUTIC PROCEDURES'.

For licensing inquiries, please contact partnerships@abcam.com