JavaScript is disabled in your browser. Please enable JavaScript to view this website.
AB226143

Anti-Eotaxin antibody [EPR5825] - BSA and Azide free

Be the first to review this product! Submit a review

|

(1 Publication)

Rabbit Recombinant Monoclonal Eotaxin antibody. Carrier free. Suitable for IHC-P, WB and reacts with Human, Recombinant fragment - Human samples. Cited in 1 publication.

View Alternative Names

SCYA11, CCL11, Eotaxin, C-C motif chemokine 11, Eosinophil chemotactic protein, Small-inducible cytokine A11

5 Images
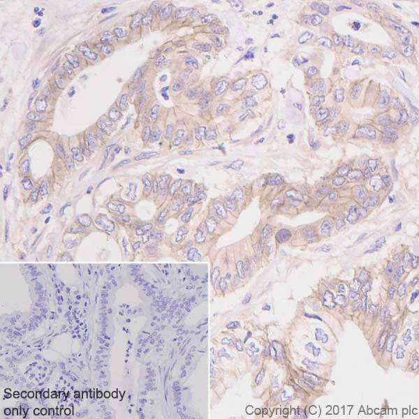
Immunohistochemistry (Formalin/PFA-fixed paraffin-embedded sections) - Anti-Eotaxin antibody [EPR5825] - BSA and Azide free (AB226143)
  • IHC-P

Unknown

Immunohistochemistry (Formalin/PFA-fixed paraffin-embedded sections) - Anti-Eotaxin antibody [EPR5825] - BSA and Azide free (AB226143)

This data was developed using ab133604, the same antibody clone in a different buffer formulation.

Immunohistochemical analysis of paraffin-embedded Human lung tissue labelling Eotaxin with unpurified ab133604 at 1/1000.

Heat mediated antigen retrieval was performed before commencing with IHC staining protocol.

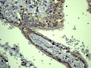
Immunohistochemistry (Formalin/PFA-fixed paraffin-embedded sections) - Anti-Eotaxin antibody [EPR5825] - BSA and Azide free (AB226143)
  • IHC-P

Lab

Immunohistochemistry (Formalin/PFA-fixed paraffin-embedded sections) - Anti-Eotaxin antibody [EPR5825] - BSA and Azide free (AB226143)

This data was developed using ab133604, the same antibody clone in a different buffer formulation.

Immunohistochemistry (Formalin/PFA-fixed paraffin-embedded sections) analysis of human pancreatic carcinoma tissue sections labeling Eotaxin with Purified ab133604 at 1 : 100 dilution (1.21 μg/ml). Heat mediated antigen retrieval was performed using EDTA Buffer, pH9.0. Tissue was counterstained with Hematoxylin. ImmunoHistoProbe one step HRP Polymer (ready to use) secondary antibody was used at 1 : 0 dilution. PBS instead of the primary antibody was used as the negative control.

Western blot - Anti-Eotaxin antibody [EPR5825] - BSA and Azide free (AB226143)
  • WB

Unknown

Western blot - Anti-Eotaxin antibody [EPR5825] - BSA and Azide free (AB226143)

This data was developed using ab133604, the same antibody clone in a different buffer formulation.

All lanes:

Western blot - Anti-Eotaxin antibody [EPR5825] (<a href='/en-us/products/primary-antibodies/eotaxin-antibody-epr5825-ab133604'>ab133604</a>) at 1/1000 dilution

All lanes:

Eotaxin recombinant protein at 0.01 µg

Secondary

All lanes:

Goat anti-Rabbit HRP at 1/2000 dilution

Predicted band size: 11 kDa

Observed band size: 8 kDa

false

Western blot - Anti-Eotaxin antibody [EPR5825] - BSA and Azide free (AB226143)
  • WB

Lab

Western blot - Anti-Eotaxin antibody [EPR5825] - BSA and Azide free (AB226143)

This data was developed using ab133604, the same antibody clone in a different buffer formulation.

Blocking and dilution buffer : 5% NFDM/TBST.

Recombinant protein source : Peprotech Inc. The region it covers : aa24-aa97(8.3kDa). Tag info : N/A.

All lanes:

Western blot - Anti-Eotaxin antibody [EPR5825] (<a href='/en-us/products/primary-antibodies/eotaxin-antibody-epr5825-ab133604'>ab133604</a>) at 1/10000 dilution

All lanes:

Human Eotaxin recombinant protein at 0.015 µg

Secondary

All lanes:

Western blot - Goat Anti-Rabbit IgG H&L (HRP) (<a href='/en-us/products/secondary-antibodies/goat-rabbit-igg-h-l-hrp-ab97051'>ab97051</a>) at 1/20000 dilution

Predicted band size: 11 kDa

Observed band size: 8 kDa

false

OI-RD Scanning - Anti-Eotaxin antibody [EPR5825] - BSA and Azide free (AB226143)
  • OI-RD Scanning

Unknown

OI-RD Scanning - Anti-Eotaxin antibody [EPR5825] - BSA and Azide free (AB226143)

We have systematically measured KD (the equilibrium dissociation constant between the antibody and its antigen), of more than 840 recombinant antibodies to assess not only their individual KD values but also to see the average affinity of antibody. Based on the comparison with published literature values for mouse monoclonal antibodies, Recombinant antibodies appear to be on average 1-2 order of magnitude higher affinity.

Key facts

Host species

Rabbit

Clonality

Monoclonal

Clone number

EPR5825

Isotype

IgG

Carrier free

Yes

Reacts with

Human

Applications

WB, IHC-P

applications

Immunogen

The exact immunogen used to generate this antibody is proprietary information.

Reactivity data

{ "title": "Reactivity Data", "filters": { "stats": ["", "Species", "Dilution Info", "Notes"], "tabs": { "all-applications": {"fullname" : "All Applications", "shortname": "All Applications"}, "IP" : {"fullname" : "Immunoprecipitation", "shortname":"IP"}, "IHCP" : {"fullname" : "Immunohistochemistry (Formalin/PFA-fixed paraffin-embedded sections)", "shortname":"IHC-P"}, "WB" : {"fullname" : "Western blot", "shortname":"WB"} }, "product-promise": { "all": "all", "testedAndGuaranteed": "tested", "guaranteed": "expected", "predicted": "predicted", "notRecommended": "not-recommended" } }, "values": { "Human": { "IP-species-checked": "notRecommended", "IP-species-dilution-info": "", "IP-species-notes": "<p></p>", "IHCP-species-checked": "testedAndGuaranteed", "IHCP-species-dilution-info": "", "IHCP-species-notes": "<p></p>", "WB-species-checked": "guaranteed", "WB-species-dilution-info": "", "WB-species-notes": "" }, "Recombinant fragment - Human": { "IP-species-checked": "notRecommended", "IP-species-dilution-info": "", "IP-species-notes": "", "IHCP-species-checked": "notRecommended", "IHCP-species-dilution-info": "", "IHCP-species-notes": "", "WB-species-checked": "testedAndGuaranteed", "WB-species-dilution-info": "", "WB-species-notes": "<p>Note: tested against Eotaxin recombinant protein</p>" } } }

Product details

ab226143 is the carrier-free version of ab133604.

Species reactivity
Mouse, Rat: We have preliminary internal testing data to indicate this antibody may not react with these species.
Please contact us for more information.

Patented technology
Our RabMAb® technology is a patented hybridoma-based technology for making rabbit monoclonal antibodies. For details on our patents, please refer to RabMAb® patents.

What are the advantages of a recombinant monoclonal antibody?
This product is a recombinant monoclonal antibody, which offers several advantages including:

  • - High batch-to-batch consistency and reproducibility
  • - Improved sensitivity and specificity
  • - Long-term security of supply
  • - Animal-free batch production

For more information, read more on recombinant antibodies.

Conjugation ready
Our carrier-free antibodies are typically supplied in a PBS-only formulation, purified and free of BSA, sodium azide and glycerol. This conjugation-ready format is designed for use with fluorochromes, metal isotopes, oligonucleotides, and enzymes, which makes them ideal for antibody labelling, functional and cell-based assays, flow-based assays (e.g. mass cytometry) and Multiplex Imaging applications.

Use our conjugation kits for antibody conjugates that are ready-to-use in as little as 20 minutes with 1 minute hands-on-time and 100% antibody recovery: available for fluorescent dyes, HRP, biotin and gold.

Compatibility
This product is compatible with the Maxpar® Antibody Labeling Kit from Fluidigm, without the need for antibody preparation. Maxpar® is a trademark of Fluidigm Canada Inc.

Properties and storage information

Form
Liquid
Purification technique
Affinity purification Protein A
Storage buffer
pH: 7.2 - 7.4 Constituents: PBS
Shipped at conditions
Blue Ice
Appropriate short-term storage conditions
+4°C
Appropriate long-term storage conditions
+4°C
Storage information
Do Not Freeze

Supplementary information

This supplementary information is collated from multiple sources and compiled automatically.

Eotaxin also known as CCL11 or eotaxin-1 is a chemokine belonging to the CC chemokine family. This protein has a molecular mass of approximately 8.4 kDa. Eotaxin is mainly expressed in epithelial cells fibroblasts and smooth muscle cells. High levels of expression occur during inflammatory processes where it acts as a chemoattractant guiding eosinophils to sites of inflammation.
Biological function summary

Eotaxin plays an important role in immune response regulation particularly in allergic reactions. It functions by binding to CCR3 a receptor found on eosinophils therefore facilitating their migration. This process includes involvement in the formation of protein complexes that modulate cell signaling. Eotaxin's primary biological role lies in promoting the accumulation of eosinophils which are important for the immune defense against parasitic infections.

Pathways

Eotaxin participates in the MAPK/ERK signaling pathway which influences cell migration and proliferation. Additionally it operates within the NF-kB pathway often regulating inflammation and immune response. In these pathways eotaxin interacts with other proteins like CCR3 and IL-5 contributing to a coordinated response in immune signaling.

Eotaxin is closely linked to allergic asthma and atopic dermatitis. In both these conditions eotaxin-mediated eosinophil recruitment and activation worsen inflammation. Research shows significant eotaxin expression in asthmatic airway tissues. It also connects with proteins like IL-5 which amplify eosinophilic activity leading to exacerbated allergic responses.

Product protocols

For this product, it's our understanding that no specific protocols are required. You can visit:

Target data

In response to the presence of allergens, this protein directly promotes the accumulation of eosinophils, a prominent feature of allergic inflammatory reactions (PubMed : 8597956). Binds to CCR3 (PubMed : 8631813).
See full target information CCL11

Publications (1)

Recent publications for all applications. Explore the full list and refine your search

Nature immunology 25:2152-2165 PubMed39438660

2024

A longitudinal single-cell atlas of anti-tumour necrosis factor treatment in inflammatory bowel disease.

Applications

Unspecified application

Species

Unspecified reactive species

Tom Thomas,Matthias Friedrich,Charlotte Rich-Griffin,Mathilde Pohin,Devika Agarwal,Julia Pakpoor,Carl Lee,Ruchi Tandon,Aniko Rendek,Dominik Aschenbrenner,Ashwin Jainarayanan,Alexandru Voda,Jacqueline H Y Siu,Raphael Sanches-Peres,Eloise Nee,Dharshan Sathananthan,Dylan Kotliar,Peter Todd,Maria Kiourlappou,Lisa Gartner,Nicholas Ilott,Fadi Issa,Joanna Hester,Jason Turner,Saba Nayar,Jonas Mackerodt,Fan Zhang,Anna Jonsson,Michael Brenner,Soumya Raychaudhuri,Ruth Kulicke,Danielle Ramsdell,Nicolas Stransky,Ray Pagliarini,Piotr Bielecki,Noah Spies,Brian Marsden,Stephen Taylor,Allon Wagner,Paul Klenerman,Alissa Walsh,Mark Coles,Luke Jostins-Dean,Fiona M Powrie,Andrew Filer,Simon Travis,Holm H Uhlig,Calliope A Dendrou,Christopher D Buckley
View all publications

Product promise

We are committed to supporting your work with high-quality reagents, and we're here for you every step of the way. In the unlikely event that one of our products does not perform as expected, you're protected by our Product Promise.
For full details, please see our Terms & Conditions

Please note: All products are 'FOR RESEARCH USE ONLY. NOT FOR USE IN DIAGNOSTIC OR THERAPEUTIC PROCEDURES'.

For licensing inquiries, please contact partnerships@abcam.com