JavaScript is disabled in your browser. Please enable JavaScript to view this website.
AB239977

Anti-Epac1 antibody [EPR1672] - BSA and Azide free

Be the first to review this product! Submit a review

|

(0 Publication)

Rabbit Recombinant Monoclonal Epac1 antibody. Carrier free. Suitable for IHC-P, WB and reacts with Human samples.

View Alternative Names

CGEF1, EPAC, EPAC1, RAPGEF3, Rap guanine nucleotide exchange factor 3, Exchange factor directly activated by cAMP 1, Exchange protein directly activated by cAMP 1, Rap1 guanine-nucleotide-exchange factor directly activated by cAMP, cAMP-regulated guanine nucleotide exchange factor I, EPAC 1, cAMP-GEFI

1 Images
Immunohistochemistry (Formalin/PFA-fixed paraffin-embedded sections) - Anti-Epac1 antibody [EPR1672] - BSA and Azide free (AB239977)
  • IHC-P

Unknown

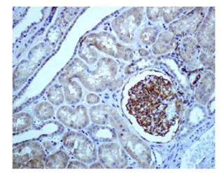
Immunohistochemistry (Formalin/PFA-fixed paraffin-embedded sections) - Anti-Epac1 antibody [EPR1672] - BSA and Azide free (AB239977)

Immunohistochemical analysis of Epac1 in paraffin-embedded Human kidney tissue using ab109415 at 1/50 dilution.

This data was developed using the same antibody clone in a different buffer formulation containing PBS, BSA, glycerol, and sodium azide (ab109415).

Perform heat mediated antigen retrieval with citrate buffer pH 6 before commencing with IHC staining protocol.

Key facts

Host species

Rabbit

Clonality

Monoclonal

Clone number

EPR1672

Isotype

IgG

Carrier free

Yes

Reacts with

Human

Applications

WB, IHC-P

applications

Immunogen

The exact immunogen used to generate this antibody is proprietary information.

Reactivity data

{ "title": "Reactivity Data", "filters": { "stats": ["", "Species", "Dilution Info", "Notes"], "tabs": { "all-applications": {"fullname" : "All Applications", "shortname": "All Applications"}, "IHCP" : {"fullname" : "Immunohistochemistry (Formalin/PFA-fixed paraffin-embedded sections)", "shortname":"IHC-P"}, "FlowCyt" : {"fullname" : "Flow Cytometry", "shortname":"Flow Cyt"}, "WB" : {"fullname" : "Western blot", "shortname":"WB"} }, "product-promise": { "all": "all", "testedAndGuaranteed": "tested", "guaranteed": "expected", "predicted": "predicted", "notRecommended": "not-recommended" } }, "values": { "Human": { "IHCP-species-checked": "testedAndGuaranteed", "IHCP-species-dilution-info": "", "IHCP-species-notes": "<p>Antigen retrieval is recommended.</p> Perform heat-mediated antigen retrieval with citrate buffer pH 6 before commencing with IHC staining protocol.", "FlowCyt-species-checked": "notRecommended", "FlowCyt-species-dilution-info": "", "FlowCyt-species-notes": "<p></p>", "WB-species-checked": "guaranteed", "WB-species-dilution-info": "", "WB-species-notes": "<p></p>" }, "Mouse": { "IHCP-species-checked": "predicted", "IHCP-species-dilution-info": "", "IHCP-species-notes": "", "FlowCyt-species-checked": "notRecommended", "FlowCyt-species-dilution-info": "", "FlowCyt-species-notes": "", "WB-species-checked": "predicted", "WB-species-dilution-info": "", "WB-species-notes": "" }, "Rat": { "IHCP-species-checked": "predicted", "IHCP-species-dilution-info": "", "IHCP-species-notes": "", "FlowCyt-species-checked": "notRecommended", "FlowCyt-species-dilution-info": "", "FlowCyt-species-notes": "", "WB-species-checked": "predicted", "WB-species-dilution-info": "", "WB-species-notes": "" } } }

Product details

ab239977 is the carrier-free version of ab109415.

Patented technology
Our RabMAb® technology is a patented hybridoma-based technology for making rabbit monoclonal antibodies. For details on our patents, please refer to RabMAb® patents.

What are the advantages of a recombinant monoclonal antibody?
This product is a recombinant monoclonal antibody, which offers several advantages including:

  • - High batch-to-batch consistency and reproducibility
  • - Improved sensitivity and specificity
  • - Long-term security of supply
  • - Animal-free batch production

For more information, read more on recombinant antibodies.

Conjugation ready
Our carrier-free antibodies are typically supplied in a PBS-only formulation, purified and free of BSA, sodium azide and glycerol. This conjugation-ready format is designed for use with fluorochromes, metal isotopes, oligonucleotides, and enzymes, which makes them ideal for antibody labelling, functional and cell-based assays, flow-based assays (e.g. mass cytometry) and Multiplex Imaging applications.

Use our conjugation kits for antibody conjugates that are ready-to-use in as little as 20 minutes with 1 minute hands-on-time and 100% antibody recovery: available for fluorescent dyes, HRP, biotin and gold.

Compatibility
This product is compatible with the Maxpar® Antibody Labeling Kit from Fluidigm, without the need for antibody preparation. Maxpar® is a trademark of Fluidigm Canada Inc.

Properties and storage information

Form
Liquid
Purification technique
Affinity purification Protein A
Storage buffer
pH: 7.2 - 7.4 Constituents: PBS
Shipped at conditions
Blue Ice
Appropriate short-term storage conditions
+4°C
Appropriate long-term storage conditions
+4°C
Storage information
Do Not Freeze

Supplementary information

This supplementary information is collated from multiple sources and compiled automatically.

Epac1 also known as Exchange Protein directly Activated by cAMP 1 plays an important role in cellular signaling. It is a guanine nucleotide exchange factor with a molecular mass of about 105 kDa. This protein activates Rap1 and Rap2 small GTPases by promoting the exchange of GDP for GTP. Epac1 is widely expressed in various tissues including the heart brain and immune cells. Its distribution indicates its involvement in multiple physiological processes.
Biological function summary

Epac1 influences cell adhesion proliferation and differentiation. It does not function as a single unit; instead it interacts with other proteins to regulate these cellular processes. Its activity is closely linked with the cAMP signaling pathway where it serves as a mediator of cAMP effects independent of protein kinase A (PKA). The interplay between Epac1 and its associated complexes is essential for proper cellular responses to external stimuli.

Pathways

Epac1 contributes to the cAMP signaling and Ras-related pathways. It functions alongside proteins like Rap1 to relay signals that affect cell adhesion and migration. Within these pathways Epac1 acts as a critical mediator between external signals and intracellular responses. Its interactions with other signaling molecules underline its importance in maintaining cellular functions and responses.

Epac1 has associations with cardiovascular diseases and certain cancers. Its dysregulation can influence heart function linking it with proteins such as PKA and Rap1 in pathological conditions. In cancer altered Epac1 expression may influence tumor growth and metastasis reflecting its involvement with cellular proliferation and migration pathways. Understanding Epac1's role in these conditions can provide insights into potential therapeutic strategies.

Product protocols

For this product, it's our understanding that no specific protocols are required. You can visit:

Target data

Guanine nucleotide exchange factor (GEF) for RAP1A and RAP2A small GTPases that is activated by binding cAMP. Through simultaneous binding of PDE3B to RAPGEF3 and PIK3R6 is assembled in a signaling complex in which it activates the PI3K gamma complex and which is involved in angiogenesis. Plays a role in the modulation of the cAMP-induced dynamic control of endothelial barrier function through a pathway that is independent on Rho-mediated signaling. Required for the actin rearrangement at cell-cell junctions, such as stress fibers and junctional actin.
See full target information RAPGEF3

Product promise

We are committed to supporting your work with high-quality reagents, and we're here for you every step of the way. In the unlikely event that one of our products does not perform as expected, you're protected by our Product Promise.
For full details, please see our Terms & Conditions

Please note: All products are 'FOR RESEARCH USE ONLY. NOT FOR USE IN DIAGNOSTIC OR THERAPEUTIC PROCEDURES'.

For licensing inquiries, please contact partnerships@abcam.com