JavaScript is disabled in your browser. Please enable JavaScript to view this website.
AB175928

Anti-EPB41L2 antibody [EPR8873(2)]

Be the first to review this product! Submit a review

|

(2 Publications)

Rabbit Recombinant Monoclonal EPB41L2 antibody. Suitable for IHC-P, IP, WB, ICC/IF and reacts with Human, Rat samples. Cited in 2 publications.

View Alternative Names

Band 4.1-like protein 2, Erythrocyte membrane protein band 4.1-like 2, Generally expressed protein 4.1, 4.1G, EPB41L2

4 Images
Immunohistochemistry (Formalin/PFA-fixed paraffin-embedded sections) - Anti-EPB41L2 antibody [EPR8873(2)] (AB175928)
  • IHC-P

Supplier Data

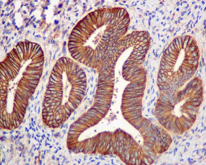
Immunohistochemistry (Formalin/PFA-fixed paraffin-embedded sections) - Anti-EPB41L2 antibody [EPR8873(2)] (AB175928)

Immunohistochemical analysis of paraffin-embedded Human uterus tissue labeling EPB41L2 with ab17928 at 1/50 dilution.

Perform heat mediated antigen retrieval before commencing with IHC staining protocol.

Immunocytochemistry/ Immunofluorescence - Anti-EPB41L2 antibody [EPR8873(2)] (AB175928)
  • ICC/IF

Supplier Data

Immunocytochemistry/ Immunofluorescence - Anti-EPB41L2 antibody [EPR8873(2)] (AB175928)

Immunofluorescent staining of HepG2 cells using labeling EPB41L2 with ab175928 at 1/100 dilution (green). DAPI nuclear staining (blue).

Western blot - Anti-EPB41L2 antibody [EPR8873(2)] (AB175928)
  • WB

Supplier Data

Western blot - Anti-EPB41L2 antibody [EPR8873(2)] (AB175928)

All lanes:

Western blot - Anti-EPB41L2 antibody [EPR8873(2)] (ab175928) at 1/1000 dilution

Lane 1:

C6 cell lysate at 10 µg

Lane 2:

Hela cell lysate at 10 µg

Lane 3:

SH-SY5Y cell lysate at 10 µg

Lane 4:

HepG2 cell lysate at 10 µg

Lane 5:

Fetal brain tissue lysate at 10 µg

Predicted band size: 113 kDa

false

Immunoprecipitation - Anti-EPB41L2 antibody [EPR8873(2)] (AB175928)
  • IP

Supplier Data

Immunoprecipitation - Anti-EPB41L2 antibody [EPR8873(2)] (AB175928)

Western blot analysis on immunoprecipitation pellet from fetal brain lysate using ab175928 at 1/10 dilution

All lanes:

Immunoprecipitation - Anti-EPB41L2 antibody [EPR8873(2)] (ab175928)

Predicted band size: 113 kDa

false

  • Carrier free

    Anti-EPB41L2 antibody [EPR8873(2)] - BSA and Azide free

Key facts

Host species

Rabbit

Clonality

Monoclonal

Clone number

EPR8873(2)

Isotype

IgG

Carrier free

No

Reacts with

Rat, Human

Applications

IHC-P, ICC/IF, WB, IP

applications

Immunogen

The exact immunogen used to generate this antibody is proprietary information.

Reactivity data

{ "title": "Reactivity Data", "filters": { "stats": ["", "Species", "Dilution Info", "Notes"], "tabs": { "all-applications": {"fullname" : "All Applications", "shortname": "All Applications"}, "IHCP" : {"fullname" : "Immunohistochemistry (Formalin/PFA-fixed paraffin-embedded sections)", "shortname":"IHC-P"}, "IP" : {"fullname" : "Immunoprecipitation", "shortname":"IP"}, "FlowCyt" : {"fullname" : "Flow Cytometry", "shortname":"Flow Cyt"}, "WB" : {"fullname" : "Western blot", "shortname":"WB"}, "ICCIF" : {"fullname" : "Immunocytochemistry/ Immunofluorescence", "shortname":"ICC/IF"} }, "product-promise": { "all": "all", "testedAndGuaranteed": "tested", "guaranteed": "expected", "predicted": "predicted", "notRecommended": "not-recommended" } }, "values": { "Human": { "IHCP-species-checked": "testedAndGuaranteed", "IHCP-species-dilution-info": "1/50 - 1/100", "IHCP-species-notes": "<p></p>", "IP-species-checked": "testedAndGuaranteed", "IP-species-dilution-info": "1/10 - 1/100", "IP-species-notes": "<p></p>", "FlowCyt-species-checked": "notRecommended", "FlowCyt-species-dilution-info": "", "FlowCyt-species-notes": "<p></p>", "WB-species-checked": "guaranteed", "WB-species-dilution-info": "", "WB-species-notes": "", "ICCIF-species-checked": "testedAndGuaranteed", "ICCIF-species-dilution-info": "1/100 - 1/250", "ICCIF-species-notes": "<p></p>" }, "Mouse": { "IHCP-species-checked": "predicted", "IHCP-species-dilution-info": "", "IHCP-species-notes": "", "IP-species-checked": "predicted", "IP-species-dilution-info": "", "IP-species-notes": "", "FlowCyt-species-checked": "notRecommended", "FlowCyt-species-dilution-info": "", "FlowCyt-species-notes": "", "WB-species-checked": "predicted", "WB-species-dilution-info": "", "WB-species-notes": "", "ICCIF-species-checked": "predicted", "ICCIF-species-dilution-info": "", "ICCIF-species-notes": "" }, "Rat": { "IHCP-species-checked": "guaranteed", "IHCP-species-dilution-info": "", "IHCP-species-notes": "", "IP-species-checked": "guaranteed", "IP-species-dilution-info": "", "IP-species-notes": "", "FlowCyt-species-checked": "notRecommended", "FlowCyt-species-dilution-info": "", "FlowCyt-species-notes": "<p></p>", "WB-species-checked": "testedAndGuaranteed", "WB-species-dilution-info": "1/1000 - 1/5000", "WB-species-notes": "<p></p>", "ICCIF-species-checked": "guaranteed", "ICCIF-species-dilution-info": "", "ICCIF-species-notes": "" } } }

Product details

Patented technology
Our RabMAb® technology is a patented hybridoma-based technology for making rabbit monoclonal antibodies. For details on our patents, please refer to RabMAb® patents.

What are the advantages of a recombinant monoclonal antibody?
This product is a recombinant monoclonal antibody, which offers several advantages including:

  • - High batch-to-batch consistency and reproducibility
  • - Improved sensitivity and specificity
  • - Long-term security of supply
  • - Animal-free batch production

For more information, read more on recombinant antibodies.

Properties and storage information

Form
Liquid
Purification technique
Affinity purification Protein A
Storage buffer
pH: 7.2 - 7.4 Preservative: 0.01% Sodium azide Constituents: PBS, 50% Tissue culture supernatant, 40% Glycerol (glycerin, glycerine), 0.05% BSA
Shipped at conditions
Blue Ice
Appropriate short-term storage duration
1-2 weeks
Appropriate short-term storage conditions
+4°C
Appropriate long-term storage conditions
-20°C
Aliquoting information
Upon delivery aliquot
Storage information
Avoid freeze / thaw cycle

Supplementary information

This supplementary information is collated from multiple sources and compiled automatically.

EPB41L2 also known as erythrocyte membrane protein band 4.1-like 2 has a mechanical role in stabilizing cell membranes by linking the cytoskeleton to the plasma membrane. This protein weighs approximately 90 kDa. EPB41L2 is widely expressed in various tissues with a notable presence in the brain and nervous system where it impacts neuronal structure and signal transmission. The structural integrity that EPB41L2 provides to cellular membranes aids in maintaining cellular shape and signal transduction.
Biological function summary

EPB41L2 is a critical component of the 4.1 protein family which regulates cytoskeletal architecture and cellular adhesion. This protein interacts with spectrin and actin playing a role in the formation and stability of the spectrin-actin network. Within cells EPB41L2 associates with lipid rafts which are small dynamic cholesterol-enriched domains in the membrane facilitating signal transduction and protein sorting. This positioning suggests its involvement in complex cellular processes requiring membrane organizing capabilities.

Pathways

EPB41L2 plays essential roles in the pathways regulating cytoskeleton rearrangement and cell adhesion. It is particularly implicated in the Rho GTPase signaling pathway where it interacts with proteins such as RhoA influencing cytoskeletal dynamics and cell motility. Additionally EPB41L2 is part of the regulation pathway of cell shape and polarity particularly in neurons affecting interactions with proteins involved in axonal guidance and synaptic function.

EPB41L2 has associations with conditions affecting the nervous system such as neurodevelopmental disorders and certain types of epilepsy. EPB41L2's dysregulation may contribute to altered neuronal connectivity and signal transmission exacerbating these conditions. Additionally EPB41L2 interactions with ankyrin or neurofascin could be disturbed in pathological states leading to instability in neural structures and potentially contributing to disease progression.

Product protocols

For this product, it's our understanding that no specific protocols are required. You can visit:

Target data

Required for dynein-dynactin complex and NUMA1 recruitment at the mitotic cell cortex during anaphase (PubMed : 23870127).
See full target information EPB41L2

Publications (2)

Recent publications for all applications. Explore the full list and refine your search

Cells 12: PubMed37998360

2023

Proximity Interactome Analysis of Super Conserved Receptors Expressed in the Brain Identifies EPB41L2, SLC3A2, and LRBA as Main Partners.

Applications

Unspecified application

Species

Unspecified reactive species

Abeer Kaafarani,Romain Darche-Gabinaud,Xavier Bisteau,Virginie Imbault,Valérie Wittamer,Marc Parmentier,Isabelle Pirson

BMC pulmonary medicine 21:166 PubMed33992085

2021

Long non-coding RNA GATA6-AS1 upregulates GATA6 to regulate the biological behaviors of lung adenocarcinoma cells.

Applications

Unspecified application

Species

Unspecified reactive species

Honggang Kang,Dan Ma,Jing Zhang,Jun Zhao,Mengxiang Yang
View all publications

Product promise

We are committed to supporting your work with high-quality reagents, and we're here for you every step of the way. In the unlikely event that one of our products does not perform as expected, you're protected by our Product Promise.
For full details, please see our Terms & Conditions

Please note: All products are 'FOR RESEARCH USE ONLY. NOT FOR USE IN DIAGNOSTIC OR THERAPEUTIC PROCEDURES'.

For licensing inquiries, please contact partnerships@abcam.com