JavaScript is disabled in your browser. Please enable JavaScript to view this website.
AB249895

Anti-EPB41L2 antibody [EPR8873(2)] - BSA and Azide free

Be the first to review this product! Submit a review

|

(1 Publication)

Rabbit Recombinant Monoclonal EPB41L2 antibody. Carrier free. Suitable for IHC-P, ICC/IF, IP, WB and reacts with Human, Rat samples. Cited in 1 publication.

View Alternative Names

Band 4.1-like protein 2, Erythrocyte membrane protein band 4.1-like 2, Generally expressed protein 4.1, 4.1G, EPB41L2

4 Images
Immunohistochemistry (Formalin/PFA-fixed paraffin-embedded sections) - Anti-EPB41L2 antibody [EPR8873(2)] - BSA and Azide free (AB249895)
  • IHC-P

Supplier Data

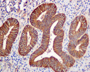
Immunohistochemistry (Formalin/PFA-fixed paraffin-embedded sections) - Anti-EPB41L2 antibody [EPR8873(2)] - BSA and Azide free (AB249895)

This data was developed using ab175928, the same antibody clone in a different buffer formulation.

Immunohistochemical analysis of paraffin-embedded Human uterus tissue labeling EPB41L2 with ab17928 at 1/50 dilution.

Perform heat mediated antigen retrieval before commencing with IHC staining protocol.

Immunocytochemistry/ Immunofluorescence - Anti-EPB41L2 antibody [EPR8873(2)] - BSA and Azide free (AB249895)
  • ICC/IF

Supplier Data

Immunocytochemistry/ Immunofluorescence - Anti-EPB41L2 antibody [EPR8873(2)] - BSA and Azide free (AB249895)

This data was developed using ab175928, the same antibody clone in a different buffer formulation.

Immunofluorescent staining of HepG2 cells using labeling EPB41L2 with ab175928 at 1/100 dilution (green). DAPI nuclear staining (blue).

Western blot - Anti-EPB41L2 antibody [EPR8873(2)] - BSA and Azide free (AB249895)
  • WB

Supplier Data

Western blot - Anti-EPB41L2 antibody [EPR8873(2)] - BSA and Azide free (AB249895)

This data was developed using ab175928, the same antibody clone in a different buffer formulation.

All lanes:

Western blot - Anti-EPB41L2 antibody [EPR8873(2)] (<a href='/en-us/products/primary-antibodies/epb41l2-antibody-epr88732-ab175928'>ab175928</a>) at 1/1000 dilution

Lane 1:

C6 cell lysate at 10 µg

Lane 2:

Hela cell lysate at 10 µg

Lane 3:

SH-SY5Y cell lysate at 10 µg

Lane 4:

HepG2 cell lysate at 10 µg

Lane 5:

Fetal brain tissue lysate at 10 µg

Predicted band size: 113 kDa

false

Immunoprecipitation - Anti-EPB41L2 antibody [EPR8873(2)] - BSA and Azide free (AB249895)
  • IP

Supplier Data

Immunoprecipitation - Anti-EPB41L2 antibody [EPR8873(2)] - BSA and Azide free (AB249895)

This data was developed using ab175928, the same antibody clone in a different buffer formulation.

Western blot analysis on immunoprecipitation pellet from fetal brain lysate using ab175928 at 1/10 dilution

All lanes:

Immunoprecipitation - Anti-EPB41L2 antibody [EPR8873(2)] (<a href='/en-us/products/primary-antibodies/epb41l2-antibody-epr88732-ab175928'>ab175928</a>)

Predicted band size: 113 kDa

false

Key facts

Host species

Rabbit

Clonality

Monoclonal

Clone number

EPR8873(2)

Isotype

IgG

Carrier free

Yes

Reacts with

Rat, Human

Applications

IHC-P, ICC/IF, WB, IP

applications

Immunogen

The exact immunogen used to generate this antibody is proprietary information.

Reactivity data

{ "title": "Reactivity Data", "filters": { "stats": ["", "Species", "Dilution Info", "Notes"], "tabs": { "all-applications": {"fullname" : "All Applications", "shortname": "All Applications"}, "IHCP" : {"fullname" : "Immunohistochemistry (Formalin/PFA-fixed paraffin-embedded sections)", "shortname":"IHC-P"}, "ICCIF" : {"fullname" : "Immunocytochemistry/ Immunofluorescence", "shortname":"ICC/IF"}, "IP" : {"fullname" : "Immunoprecipitation", "shortname":"IP"}, "FlowCyt" : {"fullname" : "Flow Cytometry", "shortname":"Flow Cyt"}, "WB" : {"fullname" : "Western blot", "shortname":"WB"} }, "product-promise": { "all": "all", "testedAndGuaranteed": "tested", "guaranteed": "expected", "predicted": "predicted", "notRecommended": "not-recommended" } }, "values": { "Human": { "IHCP-species-checked": "testedAndGuaranteed", "IHCP-species-dilution-info": "", "IHCP-species-notes": "<p></p>", "ICCIF-species-checked": "testedAndGuaranteed", "ICCIF-species-dilution-info": "", "ICCIF-species-notes": "<p></p>", "IP-species-checked": "testedAndGuaranteed", "IP-species-dilution-info": "", "IP-species-notes": "<p></p>", "FlowCyt-species-checked": "notRecommended", "FlowCyt-species-dilution-info": "", "FlowCyt-species-notes": "<p></p>", "WB-species-checked": "guaranteed", "WB-species-dilution-info": "", "WB-species-notes": "" }, "Mouse": { "IHCP-species-checked": "predicted", "IHCP-species-dilution-info": "", "IHCP-species-notes": "", "ICCIF-species-checked": "predicted", "ICCIF-species-dilution-info": "", "ICCIF-species-notes": "", "IP-species-checked": "predicted", "IP-species-dilution-info": "", "IP-species-notes": "", "FlowCyt-species-checked": "notRecommended", "FlowCyt-species-dilution-info": "", "FlowCyt-species-notes": "", "WB-species-checked": "predicted", "WB-species-dilution-info": "", "WB-species-notes": "" }, "Rat": { "IHCP-species-checked": "guaranteed", "IHCP-species-dilution-info": "", "IHCP-species-notes": "", "ICCIF-species-checked": "guaranteed", "ICCIF-species-dilution-info": "", "ICCIF-species-notes": "", "IP-species-checked": "guaranteed", "IP-species-dilution-info": "", "IP-species-notes": "", "FlowCyt-species-checked": "notRecommended", "FlowCyt-species-dilution-info": "", "FlowCyt-species-notes": "<p></p>", "WB-species-checked": "testedAndGuaranteed", "WB-species-dilution-info": "", "WB-species-notes": "<p></p>" } } }

Product details

ab249895 is the carrier-free version of ab175928.

Conjugation ready
Our carrier-free antibodies are typically supplied in a PBS-only formulation, purified and free of BSA, sodium azide and glycerol. This conjugation-ready format is designed for use with fluorochromes, metal isotopes, oligonucleotides, and enzymes, which makes them ideal for antibody labelling, functional and cell-based assays, flow-based assays (e.g. mass cytometry) and Multiplex Imaging applications.

Use our conjugation kits for antibody conjugates that are ready-to-use in as little as 20 minutes with 1 minute hands-on-time and 100% antibody recovery: available for fluorescent dyes, HRP, biotin and gold.

Compatibility
This product is compatible with the Maxpar® Antibody Labeling Kit from Fluidigm, without the need for antibody preparation. Maxpar® is a trademark of Fluidigm Canada Inc.

Properties and storage information

Form
Liquid
Purification technique
Affinity purification Protein A
Storage buffer
pH: 7.2 - 7.4 Constituents: PBS
Shipped at conditions
Blue Ice
Appropriate short-term storage conditions
+4°C
Appropriate long-term storage conditions
+4°C
Storage information
Do Not Freeze

Supplementary information

This supplementary information is collated from multiple sources and compiled automatically.

EPB41L2 also known as erythrocyte membrane protein band 4.1-like 2 has a mechanical role in stabilizing cell membranes by linking the cytoskeleton to the plasma membrane. This protein weighs approximately 90 kDa. EPB41L2 is widely expressed in various tissues with a notable presence in the brain and nervous system where it impacts neuronal structure and signal transmission. The structural integrity that EPB41L2 provides to cellular membranes aids in maintaining cellular shape and signal transduction.
Biological function summary

EPB41L2 is a critical component of the 4.1 protein family which regulates cytoskeletal architecture and cellular adhesion. This protein interacts with spectrin and actin playing a role in the formation and stability of the spectrin-actin network. Within cells EPB41L2 associates with lipid rafts which are small dynamic cholesterol-enriched domains in the membrane facilitating signal transduction and protein sorting. This positioning suggests its involvement in complex cellular processes requiring membrane organizing capabilities.

Pathways

EPB41L2 plays essential roles in the pathways regulating cytoskeleton rearrangement and cell adhesion. It is particularly implicated in the Rho GTPase signaling pathway where it interacts with proteins such as RhoA influencing cytoskeletal dynamics and cell motility. Additionally EPB41L2 is part of the regulation pathway of cell shape and polarity particularly in neurons affecting interactions with proteins involved in axonal guidance and synaptic function.

EPB41L2 has associations with conditions affecting the nervous system such as neurodevelopmental disorders and certain types of epilepsy. EPB41L2's dysregulation may contribute to altered neuronal connectivity and signal transmission exacerbating these conditions. Additionally EPB41L2 interactions with ankyrin or neurofascin could be disturbed in pathological states leading to instability in neural structures and potentially contributing to disease progression.

Product protocols

For this product, it's our understanding that no specific protocols are required. You can visit:

Target data

Required for dynein-dynactin complex and NUMA1 recruitment at the mitotic cell cortex during anaphase (PubMed : 23870127).
See full target information EPB41L2

Publications (1)

Recent publications for all applications. Explore the full list and refine your search

Frontiers in cell and developmental biology 9:775642 PubMed35004677

2021

HIF-1α Induces HECTD2 Up-Regulation and Aggravates the Malignant Progression of Renal Cell Cancer Repressing miR-320a.

Applications

Unspecified application

Species

Unspecified reactive species

Dong Lv,Taimin Shen,Juncheng Yao,Qi Yang,Ying Xiang,Zhiwei Ma
View all publications

Product promise

We are committed to supporting your work with high-quality reagents, and we're here for you every step of the way. In the unlikely event that one of our products does not perform as expected, you're protected by our Product Promise.
For full details, please see our Terms & Conditions

Please note: All products are 'FOR RESEARCH USE ONLY. NOT FOR USE IN DIAGNOSTIC OR THERAPEUTIC PROCEDURES'.

For licensing inquiries, please contact partnerships@abcam.com