JavaScript is disabled in your browser. Please enable JavaScript to view this website.
AB212580

Anti-EpCAM antibody [EGP40/1110] - BSA and Azide free

Be the first to review this product! Submit a review

|

(2 Publications)

Mouse Monoclonal EPCAM antibody. Carrier free. Suitable for IHC-P and reacts with Rat, Human samples. Cited in 2 publications. Immunogen corresponding to Recombinant Fragment Protein within Human EPCAM.

View Alternative Names

CD326, GA733-2, M1S2, M4S1, MIC18, TACSTD1, TROP1, EPCAM, Epithelial cell adhesion molecule, Ep-CAM, Adenocarcinoma-associated antigen, Cell surface glycoprotein Trop-1, Epithelial cell surface antigen, Epithelial glycoprotein, Epithelial glycoprotein 314, KS 1/4 antigen, KSA, Major gastrointestinal tumor-associated protein GA733-2, Tumor-associated calcium signal transducer 1, EGP, EGP314, hEGP314

4 Images
Immunohistochemistry (Formalin/PFA-fixed paraffin-embedded sections) - Anti-EpCAM antibody [EGP40/1110] - BSA and Azide free (AB212580)
  • IHC-P

Supplier Data

Immunohistochemistry (Formalin/PFA-fixed paraffin-embedded sections) - Anti-EpCAM antibody [EGP40/1110] - BSA and Azide free (AB212580)

Immunohistochemical analysis of formalin-fixed, paraffin-embedded Rat colon tissue labeling EpCAM with ab212580 at 1 μg/mL.

Immunohistochemistry (Formalin/PFA-fixed paraffin-embedded sections) - Anti-EpCAM antibody [EGP40/1110] - BSA and Azide free (AB212580)
  • IHC-P

Supplier Data

Immunohistochemistry (Formalin/PFA-fixed paraffin-embedded sections) - Anti-EpCAM antibody [EGP40/1110] - BSA and Azide free (AB212580)

Immunohistochemical analysis of formalin-fixed, paraffin-embedded Rat oviduct tissue labeling EpCAM with ab212580 at 1 μg/mL.

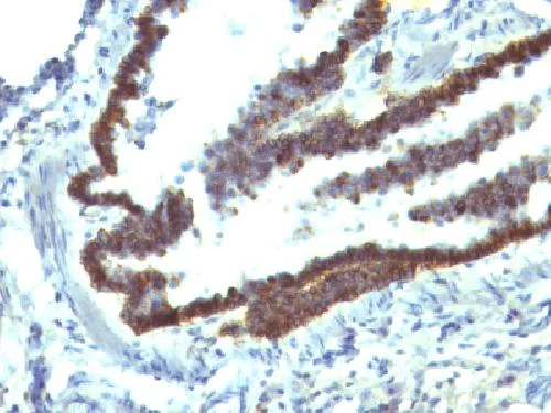
Immunohistochemistry (Formalin/PFA-fixed paraffin-embedded sections) - Anti-EpCAM antibody [EGP40/1110] - BSA and Azide free (AB212580)
  • IHC-P

Supplier Data

Immunohistochemistry (Formalin/PFA-fixed paraffin-embedded sections) - Anti-EpCAM antibody [EGP40/1110] - BSA and Azide free (AB212580)

Immunohistochemical analysis of formalin-fixed, paraffin-embedded Rat lung tissue labeling EpCAM with ab212580 at 1 μg/mL.

Immunohistochemistry (Formalin/PFA-fixed paraffin-embedded sections) - Anti-EpCAM antibody [EGP40/1110] - BSA and Azide free (AB212580)
  • IHC-P

Supplier Data

Immunohistochemistry (Formalin/PFA-fixed paraffin-embedded sections) - Anti-EpCAM antibody [EGP40/1110] - BSA and Azide free (AB212580)

Immunohistochemical analysis of formalin-fixed, paraffin-embedded Human ovarian carcinoma tissue labeling EpCAM with ab212580 at 1 μg/mL.

Key facts

Host species

Mouse

Clonality

Monoclonal

Clone number

EGP40/1110

Isotype

IgG2b

Light chain type

kappa

Carrier free

Yes

Reacts with

Rat, Human

Applications

IHC-P

applications

Immunogen

Recombinant Fragment Protein within Human EPCAM. The exact immunogen used to generate this antibody is proprietary information.

P16422

Reactivity data

{ "title": "Reactivity Data", "filters": { "stats": ["", "Species", "Dilution Info", "Notes"], "tabs": { "all-applications": {"fullname" : "All Applications", "shortname": "All Applications"}, "IHCP" : {"fullname" : "Immunohistochemistry (Formalin/PFA-fixed paraffin-embedded sections)", "shortname":"IHC-P"} }, "product-promise": { "all": "all", "testedAndGuaranteed": "tested", "guaranteed": "expected", "predicted": "predicted", "notRecommended": "not-recommended" } }, "values": { "Human": { "IHCP-species-checked": "testedAndGuaranteed", "IHCP-species-dilution-info": "0.5-1 µg/mL", "IHCP-species-notes": "<p>30 minutes at room temperature.</p> Perform heat-mediated antigen retrieval with citrate buffer pH 6 before commencing with IHC staining protocol." }, "Rat": { "IHCP-species-checked": "testedAndGuaranteed", "IHCP-species-dilution-info": "0.5-1 µg/mL", "IHCP-species-notes": "<p>30 minutes at room temperature.</p> Perform heat-mediated antigen retrieval with citrate buffer pH 6 before commencing with IHC staining protocol." } } }

Properties and storage information

Form
Liquid
Purification technique
Affinity purification Protein A/G
Purification notes
ab212580 is purified from bioreactor concentrate by Protein A/G.
Storage buffer
pH: 7.2 - 7.4 Constituents: PBS
Shipped at conditions
Blue Ice
Appropriate short-term storage duration
1-2 weeks
Appropriate short-term storage conditions
+4°C
Appropriate long-term storage conditions
-20°C
Aliquoting information
Upon delivery aliquot
Storage information
Avoid freeze / thaw cycle

Supplementary information

This supplementary information is collated from multiple sources and compiled automatically.

EpCAM also known as epithelial cell adhesion molecule is a transmembrane glycoprotein with a molecular weight of around 40 kDa. Alternative names include CD326 and TACSTD1. This protein is expressed on the surface of most epithelial cells and plays a role in cell adhesion. It is involved in maintaining the integrity of epithelial tissues by mediating homotypic cell-cell interactions which are important for the structure and function of tissues.
Biological function summary

EpCAM facilitates signaling pathways that impact cellular processes like proliferation and differentiation. It is not a part of a larger protein complex but interacts directly with other cellular machinery to transmit intracellular signals. EpCAM influences stem cell behavior and is important in tissue homeostasis assisting in both normal regenerative processes and wound healing.

Pathways

EpCAM participates in regulatory mechanisms involving the Wnt/β-catenin signaling pathway which affects gene expression and cell fate decisions. Through its action EpCAM modulates components like E-cadherin which is important for cell adhesion and the maintenance of the epithelial layer. It indirectly influences pathways relating to MYC a transcription factor that regulates cell cycle progression and apoptosis.

EpCAM is associated with various types of cancer including colorectal and breast cancer. Its overexpression often correlates with aggressive cancer phenotypes and poor prognosis. Besides cancers EpCAM mutations can lead to congenital tufting enteropathy a rare condition affecting intestinal epithelial structure and function. Aberrant EpCAM expression affects β-catenin levels impacting cellular pathways linked to tumor progression and epithelial integrity.

Product protocols

For this product, it's our understanding that no specific protocols are required. You can visit:

Target data

May act as a physical homophilic interaction molecule between intestinal epithelial cells (IECs) and intraepithelial lymphocytes (IELs) at the mucosal epithelium for providing immunological barrier as a first line of defense against mucosal infection. Plays a role in embryonic stem cells proliferation and differentiation. Up-regulates the expression of FABP5, MYC and cyclins A and E.
See full target information EPCAM

Publications (2)

Recent publications for all applications. Explore the full list and refine your search

Cellular and molecular gastroenterology and hepatology 12:395-425 PubMed33676046

2021

Helicobacter pylori-Induced Rev-erbα Fosters Gastric Bacteria Colonization by Impairing Host Innate and Adaptive Defense.

Applications

Unspecified application

Species

Unspecified reactive species

Fang-Yuan Mao,Yi-Pin Lv,Chuan-Jie Hao,Yong-Sheng Teng,Yu-Gang Liu,Ping Cheng,Shi-Ming Yang,Weisan Chen,Tao Liu,Quan-Ming Zou,Rui Xie,Jing-Yu Xu,Yuan Zhuang

JCI insight 3: PubMed30333307

2018

Analysis of leukocyte transepithelial migration using an in vivo murine colonic loop model.

Applications

Unspecified application

Species

Unspecified reactive species

Sven Flemming,Anny-Claude Luissint,Asma Nusrat,Charles A Parkos
View all publications

Product promise

We are committed to supporting your work with high-quality reagents, and we're here for you every step of the way. In the unlikely event that one of our products does not perform as expected, you're protected by our Product Promise.
For full details, please see our Terms & Conditions

Please note: All products are 'FOR RESEARCH USE ONLY. NOT FOR USE IN DIAGNOSTIC OR THERAPEUTIC PROCEDURES'.

For licensing inquiries, please contact partnerships@abcam.com