JavaScript is disabled in your browser. Please enable JavaScript to view this website.
AB213500

Anti-EpCAM antibody [EPR20532-222]

  • 20ul selling size
  • RabMAb
  • Recombinant
  • KO Validated
  • What is this?

4

(3 Reviews)

|

(20 Publications)

Anti-EpCAM antibody [EPR20532-222] (ab213500) is a rabbit monoclonal antibody detecting EpCAM in Western Blot, IP, IHC-P, ICC/IF. Suitable for Human, Mouse, Rat.

- KO validated for confirmed specificity
- Biophysical QC for unrivalled batch-batch consistency
- Over 20 publications

View Alternative Names

CD326, GA733-2, M1S2, M4S1, MIC18, TACSTD1, TROP1, EPCAM, Epithelial cell adhesion molecule, Ep-CAM, Adenocarcinoma-associated antigen, Cell surface glycoprotein Trop-1, Epithelial cell surface antigen, Epithelial glycoprotein, Epithelial glycoprotein 314, KS 1/4 antigen, KSA, Major gastrointestinal tumor-associated protein GA733-2, Tumor-associated calcium signal transducer 1, EGP, EGP314, hEGP314

13 Images
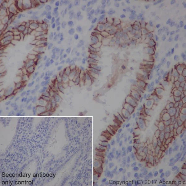
Immunohistochemistry (Formalin/PFA-fixed paraffin-embedded sections) - Anti-EpCAM antibody [EPR20532-222] (AB213500)
  • IHC-P

Supplier Data

Immunohistochemistry (Formalin/PFA-fixed paraffin-embedded sections) - Anti-EpCAM antibody [EPR20532-222] (AB213500)

Immunohistochemical analysis of paraffin-embedded human breast carcinoma tissue labeling EpCAM with ab213500 at 1/16000 dilution, followed by Goat Anti-Rabbit IgG H&L (HRP) (ab214880) Ready to use. Counter stained with Hematoxylin. Secondary antibody only control : Used PBS instead of primary antibody, secondary antibody is Goat Anti-Rabbit IgG H&L (HRP) (ab214880). Perform heat mediated antigen retrieval with Tris/EDTA buffer pH 9.0 before commencing with IHC staining protocol. Positive staining on human breast carcinoma. The section was incubated with ab213500 at 4°C overnight.

Western blot - Anti-EpCAM antibody [EPR20532-222] (AB213500)
  • WB

Lab

Western blot - Anti-EpCAM antibody [EPR20532-222] (AB213500)

Lanes 1 - 3 : Merged signal (red and green). Green - ab213500 observed at 40 kDa. Red - loading control, ab7291 (Mouse anti-Alpha Tubulin [DM1A] observed at 55kDa.

ab213500 was shown to react with EpCAM in A431 wild-type cells in Western blot. Loss of signal was observed when EpCAM knockout sample was used. A431 wild-type and EpCAM knockout cell lysates were subjected to SDS-PAGE. Membranes were blocked in 3% Milk in TBS-T (0.1% Tween®) before incubation with ab213500 and ab7291 (Mouse anti-Alpha Tubulin [DM1A] overnight at 4°C at a 1 in 1000 dilution and a 1 in 20000 dilution respectively. Blots were developed with Goat anti-Rabbit IgG H&L (IRDye® 800CW) preabsorbed (ab216773) and Goat anti-Mouse IgG H&L (IRDye® 680RD) preabsorbed (ab216776) secondary antibodies at 1 in 20000 dilution for 1 hour at room temperature before imaging.

All lanes:

Western blot - Anti-EpCAM antibody [EPR20532-222] (ab213500) at 1/1000 dilution

Lane 1:

Wild-type A431 whole cell lysate at 20 µg

Lane 2:

EPCAM knockout A431 whole cell lysate at 20 µg

Lane 2:

Western blot - Human EPCAM knockout A-431 cell line (<a href='/en-us/products/cell-lines/human-epcam-knockout-a-431-cell-line-ab261902'>ab261902</a>)

Lane 3:

HeLa whole cell lysate at 20 µg

Predicted band size: 35 kDa

Observed band size: 35 kDa

false

Western blot - Anti-EpCAM antibody [EPR20532-222] (AB213500)
  • WB

Supplier Data

Western blot - Anti-EpCAM antibody [EPR20532-222] (AB213500)

Blocking/Dilution buffer : 5% NFDM/TBST.

Exposure time : Lane 1 : 15 seconds; Lane 2 : 3 minutes; Lane 3 : 10 seconds; Lane 4 : 15 seconds.

The MW observed is consistent with the literature : PMID19136966; PMID 23618806.

All lanes:

Western blot - Anti-EpCAM antibody [EPR20532-222] (ab213500) at 1/2000 dilution

Lane 1:

T-47D (Human ductal breast epithelial tumor cell line) whole cell lysate at 20 µg

Lane 2:

SK-OV-3 (Human ovarian cancer cell line) whole cell lysate at 20 µg

Lane 3:

HT-29 (Human colorectal adenocarcinoma cell line) whole cell lysate at 20 µg

Lane 4:

HCT 116 (Human colorectal carcinoma cell line) whole cell lysate at 20 µg

Secondary

All lanes:

Western blot - Goat Anti-Rabbit IgG H&L (HRP) (<a href='/en-us/products/secondary-antibodies/goat-rabbit-igg-h-l-hrp-ab97051'>ab97051</a>) at 1/100000 dilution

Predicted band size: 35 kDa

Observed band size: 36 kDa,40 kDa

false

Western blot - Anti-EpCAM antibody [EPR20532-222] (AB213500)
  • WB

Supplier Data

Western blot - Anti-EpCAM antibody [EPR20532-222] (AB213500)

Blocking/Dilution buffer : 5% NFDM/TBST.

Exposure time : Lane 1/2 : 3 minutes; Lane 3 : 10 seconds; Lane 4 : 15 seconds.

All lanes:

Western blot - Anti-EpCAM antibody [EPR20532-222] (ab213500) at 1/2000 dilution

Lane 1:

Human breast cancer lysate at 20 µg

Lane 2:

4T1 (Mouse mammary gland carcinoma cell line) whole cell lysate at 20 µg

Lane 3:

Human colon lysate at 20 µg

Lane 4:

Mouse small intestine lysate at 20 µg

Secondary

All lanes:

Western blot - Goat Anti-Rabbit IgG H&L (HRP) (<a href='/en-us/products/secondary-antibodies/goat-rabbit-igg-h-l-hrp-ab97051'>ab97051</a>) at 1/100000 dilution

Predicted band size: 35 kDa

Observed band size: 36 kDa,40 kDa

false

Immunohistochemistry (Formalin/PFA-fixed paraffin-embedded sections) - Anti-EpCAM antibody [EPR20532-222] (AB213500)
  • IHC-P

Supplier Data

Immunohistochemistry (Formalin/PFA-fixed paraffin-embedded sections) - Anti-EpCAM antibody [EPR20532-222] (AB213500)

Immunohistochemical analysis of paraffin-embedded human colon tissue labeling EpCAM with ab213500 at 1/16000 dilution, followed by Goat Anti-Rabbit IgG H&L (HRP) (ab97051) at 1/500 dilution.

Membranous staining on human colon is observed [PMID : 15637741].

Counter stained with Hematoxylin.

Secondary antibody only control : Used PBS instead of primary antibody, secondary antibody is Goat Anti-Rabbit IgG H&L (HRP) (ab97051) at 1/500 dilution.

Perform heat mediated antigen retrieval with Tris/EDTA buffer pH 9.0 before commencing with IHC staining protocol.

Immunocytochemistry/ Immunofluorescence - Anti-EpCAM antibody [EPR20532-222] (AB213500)
  • ICC/IF

Supplier Data

Immunocytochemistry/ Immunofluorescence - Anti-EpCAM antibody [EPR20532-222] (AB213500)

Immunofluorescent analysis of 100% methanol-fixed 4T1 (Mouse mammary gland carcinoma cell line) cells labeling EpCAM with ab213500 at 1/100 dilution, followed by Goat anti-rabbit IgG (Alexa Fluor® 488) (ab150077) secondary antibody at 1/1000 dilution (green).

Confocal image showing membranous staining on 4T1 cells.

The nuclear counterstain is DAPI (blue).

Tubulin is detected with ab195889 (Anti-alpha Tubulin antibody [DM1A] - Microtubule Marker (Alexa Fluor® 594)) at 1/200 dilution (red).

Secondary antibody only control : Used PBS instead of primary antibody, secondary antibody is Goat anti-rabbit IgG (Alexa Fluor® 488) (ab150077) at 1/1000 dilution.

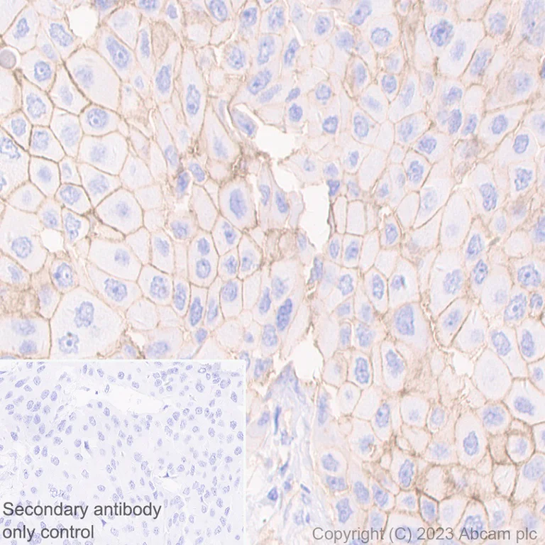
Immunohistochemistry (Formalin/PFA-fixed paraffin-embedded sections) - Anti-EpCAM antibody [EPR20532-222] (AB213500)
  • IHC-P

Supplier Data

Immunohistochemistry (Formalin/PFA-fixed paraffin-embedded sections) - Anti-EpCAM antibody [EPR20532-222] (AB213500)

Immunohistochemical analysis of paraffin-embedded human endometrium cancer tissue labeling EpCAM with ab213500 at 1/16000 dilution, followed by Goat Anti-Rabbit IgG H&L (HRP) (ab97051) at 1/500 dilution.

Membranous staining on tumor cells of human endometrium cancer is observed [PMID : 15637741].

Counter stained with Hematoxylin.

Secondary antibody only control : Used PBS instead of primary antibody, secondary antibody is Goat Anti-Rabbit IgG H&L (HRP) (ab97051) at 1/500 dilution.

Perform heat mediated antigen retrieval with Tris/EDTA buffer pH 9.0 before commencing with IHC staining protocol.

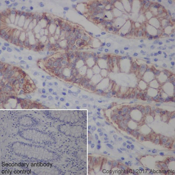
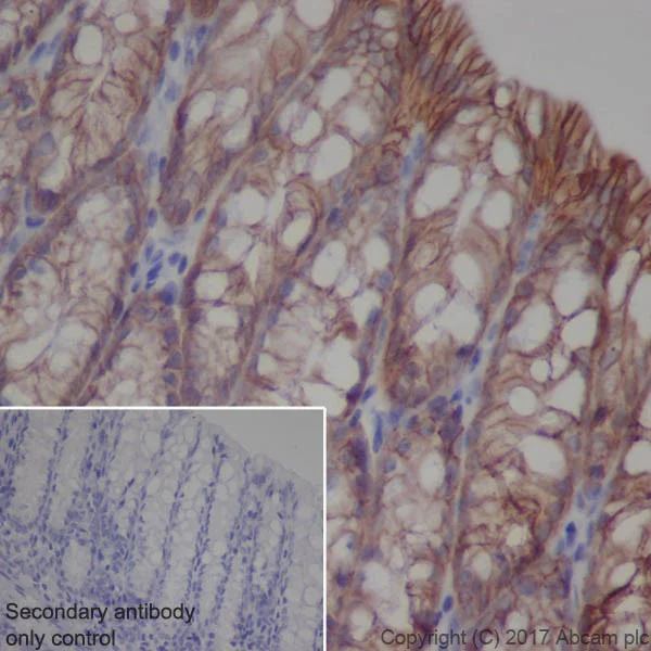
Immunohistochemistry (Formalin/PFA-fixed paraffin-embedded sections) - Anti-EpCAM antibody [EPR20532-222] (AB213500)
  • IHC-P

Unknown

Immunohistochemistry (Formalin/PFA-fixed paraffin-embedded sections) - Anti-EpCAM antibody [EPR20532-222] (AB213500)

Immunohistochemical analysis of paraffin-embedded rat colon tissue labeling EpCAM with ab213500 at 1/16000 dilution, followed by Goat Anti-Rabbit IgG H&L (HRP) (ab97051) at 1/500 dilution.

Membranous staining on rat colon is observed [PMID : 15637741].

Counter stained with Hematoxylin.

Secondary antibody only control : Used PBS instead of primary antibody, secondary antibody is Goat Anti-Rabbit IgG H&L (HRP) (ab97051) at 1/500 dilution.

Perform heat mediated antigen retrieval with Tris/EDTA buffer pH 9.0 before commencing with IHC staining protocol.

Immunocytochemistry/ Immunofluorescence - Anti-EpCAM antibody [EPR20532-222] (AB213500)
  • ICC/IF

Supplier Data

Immunocytochemistry/ Immunofluorescence - Anti-EpCAM antibody [EPR20532-222] (AB213500)

Immunofluorescent analysis of 100% methanol-fixed HCT 116 (Human colorectal carcinoma cell line) cells labeling EpCAM with ab213500 at 1/100 dilution, followed by Goat anti-rabbit IgG (Alexa Fluor® 488) (ab150077) secondary antibody at 1/1000 dilution (green).

Confocal image showing membranous staining on HCT 116 cells.

The nuclear counterstain is DAPI (blue).

Tubulin is detected with ab195889 (Anti-alpha Tubulin antibody [DM1A] - Microtubule Marker (Alexa Fluor® 594)) at 1/200 dilution (red).

Secondary antibody only control : Used PBS instead of primary antibody, secondary antibody is Goat anti-rabbit IgG (Alexa Fluor® 488) (ab150077) at 1/1000 dilution.

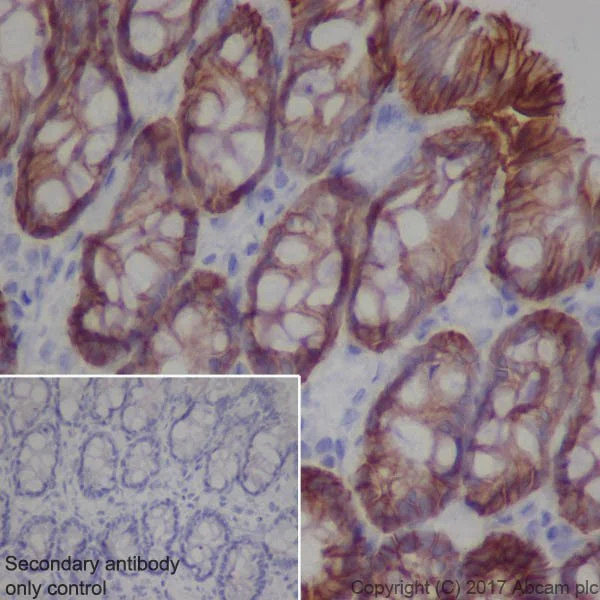
Immunohistochemistry (Formalin/PFA-fixed paraffin-embedded sections) - Anti-EpCAM antibody [EPR20532-222] (AB213500)
  • IHC-P

Supplier Data

Immunohistochemistry (Formalin/PFA-fixed paraffin-embedded sections) - Anti-EpCAM antibody [EPR20532-222] (AB213500)

Immunohistochemical analysis of paraffin-embedded mouse colon tissue labeling EpCAM with ab213500 at 1/16000 dilution, followed by Goat Anti-Rabbit IgG H&L (HRP) (ab97051) at 1/500 dilution.

Membranous staining on mouse colon is observed [PMID : 15637741].

Counter stained with Hematoxylin.

Secondary antibody only control : Used PBS instead of primary antibody, secondary antibody is Goat Anti-Rabbit IgG H&L (HRP) (ab97051) at 1/500 dilution.

Perform heat mediated antigen retrieval with Tris/EDTA buffer pH 9.0 before commencing with IHC staining protocol.

Immunoprecipitation - Anti-EpCAM antibody [EPR20532-222] (AB213500)
  • IP

Supplier Data

Immunoprecipitation - Anti-EpCAM antibody [EPR20532-222] (AB213500)

EpCAM was immunoprecipitated from 0.35 mg of HCT 116 (Human colorectal carcinoma cell line) whole cell lysate with ab213500 at 1/40 dilution.

Western blot was performed from the immunoprecipitate using ab213500 at 1/1000 dilution.

VeriBlot for IP Detection Reagent (HRP) (ab131366), was used for detection at 1/10,000 dilution.

Lane 1 : HCT 116 whole cell lysate 10 μg (Input).

Lane 2 : ab213500 IP in HCT 116 whole cell lysate.

Lane 3 : Rabbit monoclonal IgG (ab172730) instead of ab213500 in HCT 116 whole cell lysate.

Blocking and dilution buffer and concentration : 5% NFDM/TBST.

Exposure time : 30 seconds.

All lanes:

Immunoprecipitation - Anti-EpCAM antibody [EPR20532-222] (ab213500)

Predicted band size: 35 kDa

false

Western blot - Anti-EpCAM antibody [EPR20532-222] (AB213500)
  • WB

Lab

Western blot - Anti-EpCAM antibody [EPR20532-222] (AB213500)

False colour image of Western blot : Anti-EpCAM antibody [EPR20532-222] staining at 1/1000 dilution, shown in green; Mouse anti-Alpha Tubulin [DM1A] (ab7291) loading control staining at 1/20000 dilution, shown in red. In Western blot, ab213500 was shown to bind specifically to EpCAM. A band was observed at 37/45 kDa in wild-type HCT 116 cell lysates with no signal observed at this size in EPCAM knockout cell line ab281596 (knockout cell lysate ab282948). To generate this image, wild-type and EPCAM knockout HCT 116 cell lysates were analysed. First, samples were run on an SDS-PAGE gel then transferred onto a nitrocellulose membrane. Membranes were blocked in 5 % milk in TBS-0.1 % Tween® 20 (TBS-T) before incubation with primary antibodies overnight at 4 °C. Blots were washed four times in TBS-T, incubated with secondary antibodies for 1 h at room temperature, washed again four times then imaged. Secondary antibodies used were Goat anti-Rabbit IgG H&L (IRDye® 800CW) preabsorbed (ab216773) and Goat anti-Mouse IgG H&L (IRDye® 680RD) preabsorbed (ab216776) at 1/20000 dilution.

All lanes:

Western blot - Anti-EpCAM antibody [EPR20532-222] (ab213500) at 1/1000 dilution

Lane 1:

Wild-type HCT 116 cell lysate at 20 µg

Lane 2:

EPCAM knockout HCT 116 cell lysate at 20 µg

Lane 3:

A431 cell lysate at 20 µg

Lane 4:

MCF7 cell lysate at 20 µg

Lane 5:

HeLa cell lysate at 20 µg

Predicted band size: 35 kDa

Observed band size: 37-45 kDa

false

Western blot - Anti-EpCAM antibody [EPR20532-222] (AB213500)
  • WB

Supplier Data

Western blot - Anti-EpCAM antibody [EPR20532-222] (AB213500)

Blocking/Dilution buffer : 5% NFDM/TBST.

All lanes:

Western blot - Anti-EpCAM antibody [EPR20532-222] (ab213500) at 1/1000 dilution

All lanes:

Human fetal kidney lysate at 10 µg

Secondary

All lanes:

Western blot - VeriBlot for IP Detection Reagent (HRP) (<a href='/en-us/products/reagents/veriblot-for-ip-detection-reagent-hrp-ab131366'>ab131366</a>) at 1/4000 dilution

Predicted band size: 35 kDa

Observed band size: 36 kDa,40 kDa

false

Exposure time: 3min

Key facts

Host species

Rabbit

Clonality

Monoclonal

Clone number

EPR20532-222

Isotype

IgG

Carrier free

No

Reacts with

Mouse, Rat, Human

Applications

WB, IP, ICC/IF, IHC-P

applications

Immunogen

The exact immunogen used to generate this antibody is proprietary information.

Reactivity data

{ "title": "Reactivity Data", "filters": { "stats": ["", "Species", "Dilution Info", "Notes"], "tabs": { "all-applications": {"fullname" : "All Applications", "shortname": "All Applications"}, "IP" : {"fullname" : "Immunoprecipitation", "shortname":"IP"}, "WB" : {"fullname" : "Western blot", "shortname":"WB"}, "ICCIF" : {"fullname" : "Immunocytochemistry/ Immunofluorescence", "shortname":"ICC/IF"}, "IHCP" : {"fullname" : "Immunohistochemistry (Formalin/PFA-fixed paraffin-embedded sections)", "shortname":"IHC-P"} }, "product-promise": { "all": "all", "testedAndGuaranteed": "tested", "guaranteed": "expected", "predicted": "predicted", "notRecommended": "not-recommended" } }, "values": { "Human": { "IP-species-checked": "testedAndGuaranteed", "IP-species-dilution-info": "1/40", "IP-species-notes": "<p></p>", "WB-species-checked": "testedAndGuaranteed", "WB-species-dilution-info": "1/1000", "WB-species-notes": "<p></p>", "ICCIF-species-checked": "testedAndGuaranteed", "ICCIF-species-dilution-info": "1/100", "ICCIF-species-notes": "<p></p>", "IHCP-species-checked": "testedAndGuaranteed", "IHCP-species-dilution-info": "1/16000", "IHCP-species-notes": "<p></p> Perform heat-mediated antigen retrieval with Tris/EDTA buffer pH 9.0 before commencing with IHC staining protocol." }, "Mouse": { "IP-species-checked": "guaranteed", "IP-species-dilution-info": "", "IP-species-notes": "", "WB-species-checked": "testedAndGuaranteed", "WB-species-dilution-info": "1/1000", "WB-species-notes": "<p></p>", "ICCIF-species-checked": "testedAndGuaranteed", "ICCIF-species-dilution-info": "1/100", "ICCIF-species-notes": "<p></p>", "IHCP-species-checked": "testedAndGuaranteed", "IHCP-species-dilution-info": "1/16000", "IHCP-species-notes": "<p></p> Perform heat-mediated antigen retrieval with Tris/EDTA buffer pH 9.0 before commencing with IHC staining protocol." }, "Rat": { "IP-species-checked": "guaranteed", "IP-species-dilution-info": "", "IP-species-notes": "", "WB-species-checked": "guaranteed", "WB-species-dilution-info": "", "WB-species-notes": "", "ICCIF-species-checked": "guaranteed", "ICCIF-species-dilution-info": "", "ICCIF-species-notes": "", "IHCP-species-checked": "testedAndGuaranteed", "IHCP-species-dilution-info": "1/16000", "IHCP-species-notes": "<p></p> Perform heat-mediated antigen retrieval with Tris/EDTA buffer pH 9.0 before commencing with IHC staining protocol." } } }

Product details

What is this antibody validated in?
Anti-EpCAM antibody [EPR20532-222] (ab213500) is a rabbit recombinant monoclonal antibody and is validated for use in Western Blot (WB), Immunoprecipitation (IP), Immunohistochemistry (IHC-P), Immunocytochemistry/immunofluorescence (ICC/IF) in Human, Mouse, Rat samples.

What is the molecular weight of EpCAM?
Anti-EpCAM [EPR20532-222] (ab213500) specifically detects a band for EpCAM (UniProt: P16422) at a molecular weight of 35kDa.

Trusted by the scientific community
Anti-EpCAM [EPR20532-222] (ab213500) was first used in a scientific publication in 2017 and has been cited over 20 times in peer-reviewed journals.

Trial sizes available!
Test your antibody or perform pre-screening before committing to a larger quantity. Sold in 10µl. Discover our selection of trial-size antibodies.

Specificity confirmed
The specificity of Anti-EpCAM antibody [EPR20532-222] (ab213500) has been confirmed by Western blot testing in EPCAM Knockout A431 cells.

Other related products
We have a range of other formats of antibody clone [EPR20532-222] also available for your convenience: ab213500, Carrier free - ab232539, ab284588, Alexa Fluor® 488 - ab313667, Alexa Fluor® 555 - ab313668, Alexa Fluor® 647 - ab313669, Biotin - ab314939

Patented technology
Our RabMAb® technology is a patented hybridoma-based technology for making rabbit monoclonal antibodies. For details on our patents, please refer to RabMAb® patents.

What are the advantages of a recombinant monoclonal antibody?
This product is a recombinant monoclonal antibody, which offers several advantages including:

  • - High batch-to-batch consistency and reproducibility
  • - Improved sensitivity and specificity
  • - Long-term security of supply
  • - Animal-free batch production

For more information, read more on recombinant antibodies.

Properties and storage information

Form
Liquid
Purification technique
Affinity purification Protein A
Storage buffer
pH: 7.2 - 7.4 Preservative: 0.01% Sodium azide Constituents: 59% PBS, 40% Glycerol (glycerin, glycerine), 0.05% BSA
Shipped at conditions
Blue Ice
Appropriate short-term storage duration
1-2 weeks
Appropriate short-term storage conditions
+4°C
Appropriate long-term storage conditions
-20°C
Aliquoting information
Upon delivery aliquot
Storage information
Avoid freeze / thaw cycle

Supplementary information

This supplementary information is collated from multiple sources and compiled automatically.

EpCAM also known as epithelial cell adhesion molecule is a transmembrane glycoprotein with a molecular weight of around 40 kDa. Alternative names include CD326 and TACSTD1. This protein is expressed on the surface of most epithelial cells and plays a role in cell adhesion. It is involved in maintaining the integrity of epithelial tissues by mediating homotypic cell-cell interactions which are important for the structure and function of tissues.
Biological function summary

EpCAM facilitates signaling pathways that impact cellular processes like proliferation and differentiation. It is not a part of a larger protein complex but interacts directly with other cellular machinery to transmit intracellular signals. EpCAM influences stem cell behavior and is important in tissue homeostasis assisting in both normal regenerative processes and wound healing.

Pathways

EpCAM participates in regulatory mechanisms involving the Wnt/Β-catenin signaling pathway which affects gene expression and cell fate decisions. Through its action EpCAM modulates components like E-cadherin which is important for cell adhesion and the maintenance of the epithelial layer. It indirectly influences pathways relating to MYC a transcription factor that regulates cell cycle progression and apoptosis.

EpCAM is associated with various types of cancer including colorectal and breast cancer. Its overexpression often correlates with aggressive cancer phenotypes and poor prognosis. Besides cancers EpCAM mutations can lead to congenital tufting enteropathy a rare condition affecting intestinal epithelial structure and function. Aberrant EpCAM expression affects Β-catenin levels impacting cellular pathways linked to tumor progression and epithelial integrity.

Product protocols

For this product, it's our understanding that no specific protocols are required. You can visit:

Target data

May act as a physical homophilic interaction molecule between intestinal epithelial cells (IECs) and intraepithelial lymphocytes (IELs) at the mucosal epithelium for providing immunological barrier as a first line of defense against mucosal infection. Plays a role in embryonic stem cells proliferation and differentiation. Up-regulates the expression of FABP5, MYC and cyclins A and E.
See full target information EPCAM

Publications (20)

Recent publications for all applications. Explore the full list and refine your search

Journal of translational medicine 21:866 PubMed38031089

2023

SIX1 amplification modulates stemness and tumorigenesis in breast cancer.

Applications

Unspecified application

Species

Unspecified reactive species

Liantao Guo,Faminzi Li,Hanqing Liu,Deguang Kong,Chuang Chen,Shengrong Sun

BMC cancer 23:1103 PubMed37957624

2023

Establishment and characterization of a non-gestational choriocarcinoma patient-derived xenograft model.

Applications

Unspecified application

Species

Unspecified reactive species

Yukari Oda,Kaoru Niimi,Kosuke Yoshida,Satoshi Tamauchi,Akira Yokoi,Yuko Yasui,Yuki Nishiko,Mayu Shibata,Yusuke Shimizu,Masato Yoshihara,Yoshiki Ikeda,Nobuhisa Yoshikawa,Kimihiro Nishino,Eiko Yamamoto,Hiroaki Kajiyama

Biomedicines 11: PubMed38001890

2023

HER-2 Expression in Colorectal Cancer and Its Correlation with Immune Cell Infiltration.

Applications

Unspecified application

Species

Unspecified reactive species

Di Yang,Bo Wang,Yinuo Li,Jingyao Zhang,Xuantong Gong,Hao Qin,Yan Wang,Yahui Zhao,Yong Wang

Cancer biology & medicine 20: PubMed37184030

2023

Neutrophils as key regulators of tumor immunity that restrict immune checkpoint blockade in liver cancer.

Applications

Unspecified application

Species

Unspecified reactive species

Mei Feng,Fangyanni Wang,Xinyu Liu,Tingting Hao,Ning Zhang,Mi Deng,Yisheng Pan,Ruirui Kong

Cells 11: PubMed36429040

2022

Label-Free Imaging Analysis of Patient-Derived Cholangiocarcinoma Organoids after Sorafenib Treatment.

Applications

Unspecified application

Species

Unspecified reactive species

Michael Koch,Sandra Nickel,Ruby Lieshout,Susanna M Lissek,Martina Leskova,Luc J W van der Laan,Monique M A Verstegen,Bruno Christ,Francesco Pampaloni

Cell reports 41:111482 PubMed36261019

2022

Dissecting the genetic and microenvironmental factors of gastric tumorigenesis in mice.

Applications

Unspecified application

Species

Unspecified reactive species

Zhenghao Lu,Ailing Zhong,Hongyu Liu,Mengsha Zhang,Xuelan Chen,Xiangyu Pan,Manli Wang,Xintong Deng,Limin Gao,Linyong Zhao,Jian Wang,Yi Yang,Qi Zhang,Baohong Wu,Jianan Zheng,Yigao Wang,Xiaohai Song,Kai Liu,Weihan Zhang,Xiaolong Chen,Kun Yang,Xinzu Chen,YingLan Zhao,Chengjian Zhao,Yuan Wang,Lu Chen,Zongguang Zhou,Jiankun Hu,Yu Liu,Chong Chen

Stem cells translational medicine 11:1089-1102 PubMed36103370

2022

Treatment with Amniotic Fluid Stem Cell Extracellular Vesicles Promotes Fetal Lung Branching and Cell Differentiation at Canalicular and Saccular Stages in Experimental Pulmonary Hypoplasia Secondary to Congenital Diaphragmatic Hernia.

Applications

Unspecified application

Species

Unspecified reactive species

Kasra Khalaj,Rebeca Lopes Figueira,Lina Antounians,Sree Gandhi,Matthew Wales,Louise Montalva,George Biouss,Augusto Zani

Nature communications 13:3882 PubMed35794100

2022

Mitochondrial fission induces immunoescape in solid tumors through decreasing MHC-I surface expression.

Applications

Unspecified application

Species

Unspecified reactive species

Xinyuan Lei,Hsinyu Lin,Jieqi Wang,Zhanpeng Ou,Yi Ruan,Ananthan Sadagopan,Weixiong Chen,Shule Xie,Baisheng Chen,Qunxing Li,Jue Wang,Huayue Lin,Xiaofeng Zhu,Xiaoqing Yuan,Tian Tian,Xiaobin Lv,Sha Fu,Xiaorui Zhu,Jian Zhou,Guokai Pan,Xin Xia,Bakhos A Tannous,Soldano Ferrone,Song Fan,Jinsong Li

American journal of respiratory and critical care medicine 206:476-487 PubMed35671495

2022

Autophagy Is Impaired in Fetal Hypoplastic Lungs and Rescued by Administration of Amniotic Fluid Stem Cell Extracellular Vesicles.

Applications

Unspecified application

Species

Unspecified reactive species

Kasra Khalaj,Lina Antounians,Rebeca Lopes Figueira,Martin Post,Augusto Zani

Cancer medicine 11:4283-4296 PubMed35674129

2022

Capsaicin suppresses hepatocarcinogenesis by inhibiting the stemness of hepatic progenitor cells via SIRT1/SOX2 signaling pathway.

Applications

Unspecified application

Species

Unspecified reactive species

Zhi-Qin Xie,Hong-Xia Li,Xiao-Juan Hou,Mei-Yuan Huang,Ze-Min Zhu,Li-Xin Wei,Cai-Xi Tang
View all publications

Product promise

We are committed to supporting your work with high-quality reagents, and we're here for you every step of the way. In the unlikely event that one of our products does not perform as expected, you're protected by our Product Promise.
For full details, please see our Terms & Conditions

Please note: All products are 'FOR RESEARCH USE ONLY. NOT FOR USE IN DIAGNOSTIC OR THERAPEUTIC PROCEDURES'.

For licensing inquiries, please contact partnerships@abcam.com