JavaScript is disabled in your browser. Please enable JavaScript to view this website.
AB213501

Anti-EpCAM antibody [EPR20533-266]

Be the first to review this product! Submit a review

|

(2 Publications)

Rabbit Recombinant Monoclonal EPCAM antibody. Suitable for IP, WB, ICC/IF, IHC-P and reacts with Mouse, Rat samples. Cited in 2 publications.

View Alternative Names

CD326, Tacstd1, Epcam, Epithelial cell adhesion molecule, Ep-CAM, Epithelial glycoprotein 314, Protein 289A, Tumor-associated calcium signal transducer 1, EGP314, mEGP314

7 Images
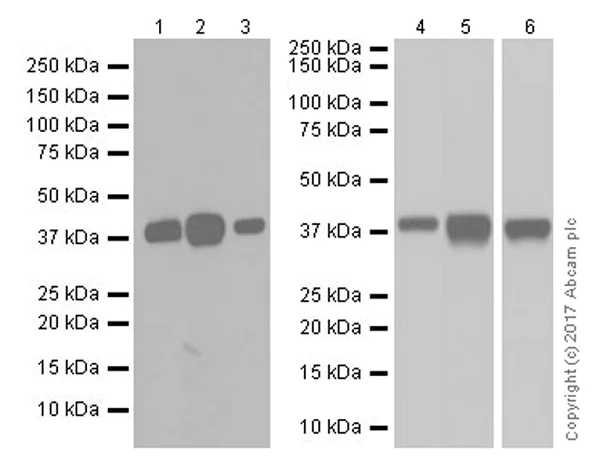
Western blot - Anti-EpCAM antibody [EPR20533-266] (AB213501)
  • WB

Lab

Western blot - Anti-EpCAM antibody [EPR20533-266] (AB213501)

Blocking/Dilution buffer : 5% NFDM/TBST.

Exposure time : Lane 1-3 : 3 minutes; Lane 4/5 : 5 seconds; Lane 6 : 30 seconds.

The MW observed is consistent with the literature (PMID 23409978; PMID 23618806).

Lanes 1 - 3:

Western blot - Anti-EpCAM antibody [EPR20533-266] (ab213501) at 1/1000 dilution

Lanes 4 - 6:

Western blot - Anti-EpCAM antibody [EPR20533-266] (ab213501) at 1/5000 dilution

Lane 1:

Mouse small intestine lysate at 20 µg

Lane 2:

Mouse pancreas lysate at 20 µg

Lane 3:

Rat colon lysate at 20 µg

Lane 4:

Mouse colon lysate at 20 µg

Lane 5:

Mouse kidney lysate at 20 µg

Lane 6:

Rat kidney lysate at 20 µg

Secondary

All lanes:

Western blot - Goat Anti-Rabbit IgG H&L (HRP) (<a href='/en-us/products/secondary-antibodies/goat-rabbit-igg-h-l-hrp-ab97051'>ab97051</a>) at 1/100000 dilution

Predicted band size: 35 kDa

Observed band size: 39 kDa

true

Immunohistochemistry (Formalin/PFA-fixed paraffin-embedded sections) - Anti-EpCAM antibody [EPR20533-266] (AB213501)
  • IHC-P

Lab

Immunohistochemistry (Formalin/PFA-fixed paraffin-embedded sections) - Anti-EpCAM antibody [EPR20533-266] (AB213501)

Immunohistochemical analysis of paraffin-embedded mouse colon tissue labeling EpCAM with ab213501 at 1/2000 dilution, followed by Goat anti-Rabbit IgG H&L (HRP) Ready to use. Membranous staining on mouse colon is observed (PMID : 15637741). Counter stained with hematoxylin.

Secondary antibody only control : Used PBS instead of primary antibody, secondary antibody is Goat anti-Rabbit IgG H&L (HRP) Ready to use.

Perform heat mediated antigen retrieval with Tris/EDTA buffer pH 9.0 before commencing with IHC staining protocol.

Immunocytochemistry/ Immunofluorescence - Anti-EpCAM antibody [EPR20533-266] (AB213501)
  • ICC/IF

Lab

Immunocytochemistry/ Immunofluorescence - Anti-EpCAM antibody [EPR20533-266] (AB213501)

Immunofluorescent analysis of 4% paraformaldehyde-fixed, 0.1% Triton X-100 permeabilized 4T1 (mouse mammary gland carcinoma cell line) and NIH/3T3 (mouse embyro fibroblast cell line) cells labeling EpCAM with ab213501 at 1/100 dilution followed by Goat Anti-Rabbit IgG H&L (Alexa Fluor® 488) (ab150077) secondary antibody at 1/1000 dilution (green). Confocal image showing membranous staining on 4T1 cells.

Negative control : NIH/3T3 (PMID : 23264216).

The nuclear counter stain is DAPI (blue). Tubulin is detected with Anti-alpha Tubulin antibody [DM1A] - Microtubule Marker (Alexa Fluor® 594) (ab195889) (red) at 1/200 dilution.

Secondary antibody only control : Used PBS instead of primary antibody, secondary antibody is Goat Anti-Rabbit IgG H&L (Alexa Fluor® 488) (ab150077) secondary antibody at 1/1000 dilution.

Immunohistochemistry (Formalin/PFA-fixed paraffin-embedded sections) - Anti-EpCAM antibody [EPR20533-266] (AB213501)
  • IHC-P

Lab

Immunohistochemistry (Formalin/PFA-fixed paraffin-embedded sections) - Anti-EpCAM antibody [EPR20533-266] (AB213501)

Immunohistochemical analysis of paraffin-embedded mouse lung tissue labeling EpCAM with ab213501 at 1/2000 dilution, followed by Goat anti-Rabbit IgG H&L (HRP) Ready to use. Membranous staining on mouse lung is observed (PMID : 15637741). Counter stained with hematoxylin.

Secondary antibody only control : Used PBS instead of primary antibody, secondary antibody is Goat anti-Rabbit IgG H&L (HRP) Ready to use.

Perform heat mediated antigen retrieval with Tris/EDTA buffer pH 9.0 before commencing with IHC staining protocol.

Immunohistochemistry (Formalin/PFA-fixed paraffin-embedded sections) - Anti-EpCAM antibody [EPR20533-266] (AB213501)
  • IHC-P

Lab

Immunohistochemistry (Formalin/PFA-fixed paraffin-embedded sections) - Anti-EpCAM antibody [EPR20533-266] (AB213501)

Immunohistochemical analysis of paraffin-embedded rat colon tissue labeling EpCAM with ab213501 at 1/2000 dilution, followed by Goat anti-Rabbit IgG H&L (HRP) Ready to use. Membranous staining on rat colon is observed (PMID : 15637741). Counter stained with hematoxylin.

Secondary antibody only control : Used PBS instead of primary antibody, secondary antibody is Goat anti-Rabbit IgG H&L (HRP) Ready to use.

Perform heat mediated antigen retrieval with Tris/EDTA buffer pH 9.0 before commencing with IHC staining protocol.

Immunoprecipitation - Anti-EpCAM antibody [EPR20533-266] (AB213501)
  • IP

Lab

Immunoprecipitation - Anti-EpCAM antibody [EPR20533-266] (AB213501)

EpCAM was immunoprecipitated from 0.35 mg of 4T1 (mouse mammary gland carcinoma cell line) whole cell lysate with ab213501 at 1/40 dilution. Western blot was performed from the immunoprecipitate using ab213501 at 1/1000 dilution. VeriBlot for IP secondary antibody (HRP) (ab13136), was used as secondary antibody at 1/10000 dilution.

Lane 1 : 4T1 whole cell lysate 10 μg (Input).

Lane 2 : ab213501 IP in 4T1 whole cell lysate.

Lane 3 : Rabbit monoclonal IgG (ab172730) instead of ab213501 in 4T1 whole cell lysate.

Blocking and dilution buffer and concentration : 5% NFDM/TBST.
Exposure time : 3 minutes.

All lanes:

Immunoprecipitation - Anti-EpCAM antibody [EPR20533-266] (ab213501)

Predicted band size: 35 kDa

Observed band size: 39 kDa

false

Western blot - Anti-EpCAM antibody [EPR20533-266] (AB213501)
  • WB

Lab

Western blot - Anti-EpCAM antibody [EPR20533-266] (AB213501)

Blocking/Dilution buffer : 5% NFDM/TBST.

The MW observed is consistent with the literature (PMID 23409978; PMID 23618806).

Negative control :

NIH/3T3 (PMID : 23264216).

All lanes:

Western blot - Anti-EpCAM antibody [EPR20533-266] (ab213501) at 1/5000 dilution

Lane 1:

4T1 (mouse mammary gland carcinoma cell line) whole cell lysate at 20 µg

Lane 2:

NIH/3T3 (mouse embyro fibroblast cell line) whole cell lysate at 20 µg

Secondary

All lanes:

Western blot - Goat Anti-Rabbit IgG H&L (HRP) (<a href='/en-us/products/secondary-antibodies/goat-rabbit-igg-h-l-hrp-ab97051'>ab97051</a>) at 1/100000 dilution

Predicted band size: 35 kDa

Observed band size: 39 kDa

true

Exposure time: 5s

  • Carrier free

    Anti-EpCAM antibody [EPR20533-266] - BSA and Azide free

Key facts

Host species

Rabbit

Clonality

Monoclonal

Clone number

EPR20533-266

Isotype

IgG

Carrier free

No

Reacts with

Mouse, Rat

Applications

ICC/IF, IP, IHC-P, WB

applications

Immunogen

The exact immunogen used to generate this antibody is proprietary information.

Reactivity data

{ "title": "Reactivity Data", "filters": { "stats": ["", "Species", "Dilution Info", "Notes"], "tabs": { "all-applications": {"fullname" : "All Applications", "shortname": "All Applications"}, "IP" : {"fullname" : "Immunoprecipitation", "shortname":"IP"}, "WB" : {"fullname" : "Western blot", "shortname":"WB"}, "ICCIF" : {"fullname" : "Immunocytochemistry/ Immunofluorescence", "shortname":"ICC/IF"}, "IHCP" : {"fullname" : "Immunohistochemistry (Formalin/PFA-fixed paraffin-embedded sections)", "shortname":"IHC-P"} }, "product-promise": { "all": "all", "testedAndGuaranteed": "tested", "guaranteed": "expected", "predicted": "predicted", "notRecommended": "not-recommended" } }, "values": { "Mouse": { "IP-species-checked": "testedAndGuaranteed", "IP-species-dilution-info": "1/40", "IP-species-notes": "<p></p> Perform heat-mediated antigen retrieval with Tris/EDTA buffer pH 9.0 before commencing with IHC staining protocol.", "WB-species-checked": "testedAndGuaranteed", "WB-species-dilution-info": "1/1000", "WB-species-notes": "<p></p> Perform heat-mediated antigen retrieval with Tris/EDTA buffer pH 9.0 before commencing with IHC staining protocol.", "ICCIF-species-checked": "testedAndGuaranteed", "ICCIF-species-dilution-info": "1/100", "ICCIF-species-notes": "<p></p>", "IHCP-species-checked": "testedAndGuaranteed", "IHCP-species-dilution-info": "1/2000", "IHCP-species-notes": "<p></p> Perform heat-mediated antigen retrieval with Tris/EDTA buffer pH 9.0 before commencing with IHC staining protocol." }, "Rat": { "IP-species-checked": "guaranteed", "IP-species-dilution-info": "", "IP-species-notes": "", "WB-species-checked": "testedAndGuaranteed", "WB-species-dilution-info": "1/1000", "WB-species-notes": "<p></p>", "ICCIF-species-checked": "guaranteed", "ICCIF-species-dilution-info": "", "ICCIF-species-notes": "", "IHCP-species-checked": "testedAndGuaranteed", "IHCP-species-dilution-info": "1/2000", "IHCP-species-notes": "<p></p> Perform heat-mediated antigen retrieval with Tris/EDTA buffer pH 9.0 before commencing with IHC staining protocol." } } }

Product details

Patented technology
Our RabMAb® technology is a patented hybridoma-based technology for making rabbit monoclonal antibodies. For details on our patents, please refer to RabMAb® patents.

What are the advantages of a recombinant monoclonal antibody?
This product is a recombinant monoclonal antibody, which offers several advantages including:

  • - High batch-to-batch consistency and reproducibility
  • - Improved sensitivity and specificity
  • - Long-term security of supply
  • - Animal-free batch production

For more information, read more on recombinant antibodies.

Properties and storage information

Form
Liquid
Purification technique
Affinity purification Protein A
Storage buffer
pH: 7.2 - 7.4 Preservative: 0.01% Sodium azide Constituents: PBS, 40% Glycerol (glycerin, glycerine), 0.05% BSA
Shipped at conditions
Blue Ice
Appropriate short-term storage duration
1-2 weeks
Appropriate short-term storage conditions
+4°C
Appropriate long-term storage conditions
-20°C
Aliquoting information
Upon delivery aliquot
Storage information
Avoid freeze / thaw cycle

Supplementary information

This supplementary information is collated from multiple sources and compiled automatically.

EpCAM also known as epithelial cell adhesion molecule is a transmembrane glycoprotein with a molecular weight of around 40 kDa. Alternative names include CD326 and TACSTD1. This protein is expressed on the surface of most epithelial cells and plays a role in cell adhesion. It is involved in maintaining the integrity of epithelial tissues by mediating homotypic cell-cell interactions which are important for the structure and function of tissues.
Biological function summary

EpCAM facilitates signaling pathways that impact cellular processes like proliferation and differentiation. It is not a part of a larger protein complex but interacts directly with other cellular machinery to transmit intracellular signals. EpCAM influences stem cell behavior and is important in tissue homeostasis assisting in both normal regenerative processes and wound healing.

Pathways

EpCAM participates in regulatory mechanisms involving the Wnt/β-catenin signaling pathway which affects gene expression and cell fate decisions. Through its action EpCAM modulates components like E-cadherin which is important for cell adhesion and the maintenance of the epithelial layer. It indirectly influences pathways relating to MYC a transcription factor that regulates cell cycle progression and apoptosis.

EpCAM is associated with various types of cancer including colorectal and breast cancer. Its overexpression often correlates with aggressive cancer phenotypes and poor prognosis. Besides cancers EpCAM mutations can lead to congenital tufting enteropathy a rare condition affecting intestinal epithelial structure and function. Aberrant EpCAM expression affects β-catenin levels impacting cellular pathways linked to tumor progression and epithelial integrity.

Product protocols

For this product, it's our understanding that no specific protocols are required. You can visit:

Target data

May act as a physical homophilic interaction molecule between intestinal epithelial cells (IECs) and intraepithelial lymphocytes (IELs) at the mucosal epithelium for providing immunological barrier as a first line of defense against mucosal infection. Plays a role in embryonic stem cells proliferation and differentiation. Up-regulates the expression of FABP5, MYC and cyclins A and E (By similarity).
See full target information Epcam

Publications (2)

Recent publications for all applications. Explore the full list and refine your search

BMC research notes 18:235 PubMed40426261

2025

Optimization of a thermochemical antibody stripping method for enhanced tyramide signal amplification-based opal multiplex immunohistochemistry in fragile tissues.

Applications

Unspecified application

Species

Unspecified reactive species

Xiaotong Yu,Yan Song,Li Chen,Lixiang Xue,Jianling Yang,Chen Huang

Translational oncology 41:101858 PubMed38242006

2024

mA demethylase ALKBH5 maintains stemness of intrahepatic cholangiocarcinoma by sustaining BUB1B expression and cell proliferation.

Applications

Unspecified application

Species

Unspecified reactive species

Yuan Gao,Miao Yu,Zengyuan Liu,Yi Liu,Zhijun Kong,Chunfu Zhu,Xihu Qin,Yan Li,Liming Tang
View all publications

Product promise

We are committed to supporting your work with high-quality reagents, and we're here for you every step of the way. In the unlikely event that one of our products does not perform as expected, you're protected by our Product Promise.
For full details, please see our Terms & Conditions

Please note: All products are 'FOR RESEARCH USE ONLY. NOT FOR USE IN DIAGNOSTIC OR THERAPEUTIC PROCEDURES'.

For licensing inquiries, please contact partnerships@abcam.com