JavaScript is disabled in your browser. Please enable JavaScript to view this website.
AB221552

Anti-EpCAM antibody [EPR20533-63]

5

(4 Reviews)

|

(16 Publications)

Anti-EpCAM antibody [EPR20533-63] (ab221552) is a rabbit monoclonal antibody detecting EpCAM in Western Blot, Flow Cytometry, IP, IHC-P, ICC/IF. Suitable for Mouse.

- Biophysical QC for unrivalled batch-batch consistency

View Alternative Names

CD326, Tacstd1, Epcam, Epithelial cell adhesion molecule, Ep-CAM, Epithelial glycoprotein 314, Protein 289A, Tumor-associated calcium signal transducer 1, EGP314, mEGP314

10 Images
Immunohistochemistry (Formalin/PFA-fixed paraffin-embedded sections) - Anti-EpCAM antibody [EPR20533-63] (AB221552)
  • IHC-P

Supplier Data

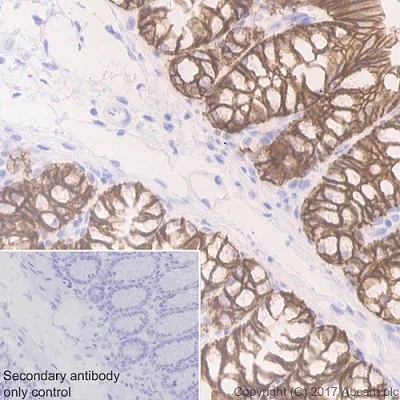
Immunohistochemistry (Formalin/PFA-fixed paraffin-embedded sections) - Anti-EpCAM antibody [EPR20533-63] (AB221552)

Immunohistochemical analysis of paraffin-embedded mouse colon tissue labeling EpCAM with ab221552 at 1/2000 dilution, followed by Goat Anti-Rabbit IgG H&L (HRP) Ready to use. Membranous staining on mouse colon is observed (PMID : 15637741). Counter stained with hematoxylin.

Secondary antibody only control : Used PBS instead of primary antibody, secondary antibody is Goat Anti-Rabbit IgG H&L (HRP) Ready to use.

Perform heat mediated antigen retrieval with Tris/EDTA buffer pH 9.0 before commencing with IHC staining protocol.

Flow Cytometry - Anti-EpCAM antibody [EPR20533-63] (AB221552)
  • Flow Cyt

Supplier Data

Flow Cytometry - Anti-EpCAM antibody [EPR20533-63] (AB221552)

Flow cytometric analysis of 4% paraformaldehyde-fixed 4T1 (mouse mammary gland carcinoma cell line) and NIH/3T3 (mouse embyro fibroblast cell line) cells labeling EpCAM with ab221552 at 1/500 dilution (red) compared with a Rabbit IgG, monoclonal [EPR25A] - Isotype Control (ab172730) (black) and an unlabeled control (cells without incubation with primary antibody and secondary antibody) (blue). Goat Anti-Rabbit IgG H&L (Alexa Fluor® 488) at 1/2000 dilution was used as the secondary antibody.

Flow cytometry was performed with fresh cells without fixation and permeabilization.

Negative control : NIH/3T3 (PMID : 23264216).

Immunocytochemistry/ Immunofluorescence - Anti-EpCAM antibody [EPR20533-63] (AB221552)
  • ICC/IF

Supplier Data

Immunocytochemistry/ Immunofluorescence - Anti-EpCAM antibody [EPR20533-63] (AB221552)

Immunofluorescent analysis of 4% paraformaldehyde-fixed, 0.1% Triton X-100 permeabilized 4T1 (mouse mammary gland carcinoma cell line) and NIH/3T3 (mouse embyro fibroblast cell line) cells labeling EpCAM with ab221552 at 1/100 dilution, followed by Goat Anti-Rabbit IgG H&L (Alexa Fluor® 488) (ab150077) secondary antibody at 1/1000 dilution (green). Confocal image showing Membranous staining on 4T1 cells.

Negative control : NIH/3T3 (PMID : 23264216).

The nuclear counter stain is DAPI (blue). Tubulin is detected with Anti-alpha Tubulin antibody [DM1A] - Microtubule Marker (Alexa Fluor® 594) (ab195889) (red) at 1/200 dilution.

Secondary antibody only control : Used PBS instead of primary antibody, secondary antibody is Goat Anti-Rabbit IgG H&L (Alexa Fluor® 488) (ab150077) secondary antibody at 1/1000 dilution.

Flow Cytometry - Anti-EpCAM antibody [EPR20533-63] (AB221552)
  • Flow Cyt

Unknown

Flow Cytometry - Anti-EpCAM antibody [EPR20533-63] (AB221552)

Flow cytometry overlay histogram showing left M158 positive cells and right negative NIH3T3 cells stained with ab221552 (red line). The cells were incubated in 1x PBS containing 10 % normal goat serum to block non-specific protein-protein interaction followed by the antibody (ab221552) (1x106 in 100 μL at 0.1 μg/ml) for 30 min on ice.

The secondary antibody Goat anti-rabbit IgG H&L (Alexa Fluor ® 488, pre-adsorbed) (ab150081) was used at 1/2000 for 30 min on ice.

Isotype control antibody (black line) was Rabbit IgG (monoclonal) (ab172730) used at the same concentration and conditions as the primary antibody. Unlabelled sample (blue line) was also used as a control.

Acquisition of >5000 events were collected using a 50 mW Blue laser (488nm) and 530/30 bandpass filter.

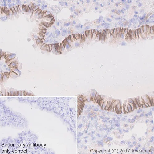
Immunohistochemistry (Formalin/PFA-fixed paraffin-embedded sections) - Anti-EpCAM antibody [EPR20533-63] (AB221552)
  • IHC-P

Supplier Data

Immunohistochemistry (Formalin/PFA-fixed paraffin-embedded sections) - Anti-EpCAM antibody [EPR20533-63] (AB221552)

Immunohistochemical analysis of paraffin-embedded mouse lung tissue labeling EpCAM with ab221552 at 1/2000 dilution, followed by Goat Anti-Rabbit IgG H&L (HRP) Ready to use. Membranous staining on mouse lung is observed (PMID : 15637741). Counter stained with hematoxylin.

Secondary antibody only control : Used PBS instead of primary antibody, secondary antibody is Goat Anti-Rabbit IgG H&L (HRP) Ready to use.

Perform heat mediated antigen retrieval with Tris/EDTA buffer pH 9.0 before commencing with IHC staining protocol.

Immunoprecipitation - Anti-EpCAM antibody [EPR20533-63] (AB221552)
  • IP

Supplier Data

Immunoprecipitation - Anti-EpCAM antibody [EPR20533-63] (AB221552)

EpCAM was immunoprecipitated from 0.35 mg of 4T1 (mouse mammary gland carcinoma cell line) whole cell lysate with ab221552 at 1/30 dilution. Western blot was performed from the immunoprecipitate using ab221552 at 1/1000 dilution. VeriBlot for IP Detection Reagent (HRP) (ab131366), was used for detection at 1/10000 dilution.

Lane 1 : 4T1 (Mouse mammary gland carcinoma) whole cell lysate 10 μg (Input).

Lane 2 : ab221552 IP in 4T1 whole cell lysate .

Lane 3 : Rabbit monoclonal IgG (ab172730) instead of ab221552 in 4T1 whole cell lysate .

Blocking and dilution buffer and concentration : 5% NFDM/TBST.

Exposure time : 30 seconds.

The band between 12-15kDa has been documented in literature as the cleaved form of EpCAM (PMID : 23409978).

All lanes:

Immunoprecipitation - Anti-EpCAM antibody [EPR20533-63] (ab221552)

Predicted band size: 35 kDa

false

Immunoprecipitation - Anti-EpCAM antibody [EPR20533-63] (AB221552)
  • IP

Supplier Data

Immunoprecipitation - Anti-EpCAM antibody [EPR20533-63] (AB221552)

EpCAM was immunoprecipitated from 0.35 mg of mouse kidney lysate with ab221552 at 1/30 dilution. Western blot was performed from the immunoprecipitate using ab221552 at 1/1000 dilution. VeriBlot for IP Detection Reagent (HRP) (ab131366), was used for detection at 1/10000 dilution.

Lane 1 : Mouse kidney lysate 10 μg (Input).

Lane 2 : ab221552 IP in mouse kidney lysate.

Lane 3 : Rabbit monoclonal IgG (ab172730) instead of ab221552 in mouse kidney lysate.

Blocking and dilution buffer and concentration : 5% NFDM/TBST.

Exposure time : 3 seconds.

All lanes:

Immunoprecipitation - Anti-EpCAM antibody [EPR20533-63] (ab221552)

Predicted band size: 35 kDa

false

Western blot - Anti-EpCAM antibody [EPR20533-63] (AB221552)
  • WB

Supplier Data

Western blot - Anti-EpCAM antibody [EPR20533-63] (AB221552)

Blocking/Dilution buffer : 5% NFDM/TBST.

The MW observed is consistent with the literature (PMID 23618806).

The band between 12-15kDa has been documented in literature as the cleaved form of EpCAM (PMID : 23409978).

Negative control : NIH/3T3 (PMID : 23264216).

All lanes:

Western blot - Anti-EpCAM antibody [EPR20533-63] (ab221552) at 1/5000 dilution

Lane 1:

4T1 (mouse mammary gland carcinoma cell line) whole cell lysate at 20 µg

Lane 2:

NIH/3T3 (mouse embyro fibroblast cell line) whole cell lysate at 20 µg

Secondary

All lanes:

Western blot - Goat Anti-Rabbit IgG H&L (HRP) (<a href='/en-us/products/secondary-antibodies/goat-rabbit-igg-h-l-hrp-ab97051'>ab97051</a>) at 1/100000 dilution

Predicted band size: 35 kDa

Observed band size: 12 kDa,39 kDa

true

Exposure time: 10s

Western blot - Anti-EpCAM antibody [EPR20533-63] (AB221552)
  • WB

Supplier Data

Western blot - Anti-EpCAM antibody [EPR20533-63] (AB221552)

Blocking/Dilution buffer : 5% NFDM/TBST.

The MW observed is consistent with the literature (PMID 23409978; PMID 23618806).

Negative control : NIH/3T3 (PMID : 23264216).

All lanes:

Western blot - Anti-EpCAM antibody [EPR20533-63] (ab221552) at 1/5000 dilution

Lane 1:

4T1 (mouse mammary gland carcinoma cell line) whole cell lysate at 20 µg

Lane 2:

NIH/3T3 (mouse embyro fibroblast cell line) whole cell lysate at 20 µg

Secondary

All lanes:

Western blot - Goat Anti-Rabbit IgG H&L (HRP) (<a href='/en-us/products/secondary-antibodies/goat-rabbit-igg-h-l-hrp-ab97051'>ab97051</a>) at 1/100000 dilution

Predicted band size: 35 kDa

Observed band size: 39 kDa

true

Exposure time: 1s

Western blot - Anti-EpCAM antibody [EPR20533-63] (AB221552)
  • WB

Supplier Data

Western blot - Anti-EpCAM antibody [EPR20533-63] (AB221552)

Blocking/Dilution buffer : 5% NFDM/TBST.

Exposure time : Lane 1/2 : 3 seconds; Lane 3 : 10 seconds.

The MW observed is consistent with the literature (PMID 23409978; PMID 23618806).

All lanes:

Western blot - Anti-EpCAM antibody [EPR20533-63] (ab221552) at 1/5000 dilution

Lane 1:

Mouse colon lysate at 20 µg

Lane 2:

Mouse kidney lysate at 20 µg

Lane 3:

Mouse small intestine lysate at 20 µg

Secondary

All lanes:

Western blot - Goat Anti-Rabbit IgG H&L (HRP) (<a href='/en-us/products/secondary-antibodies/goat-rabbit-igg-h-l-hrp-ab97051'>ab97051</a>) at 1/100000 dilution

Predicted band size: 35 kDa

Observed band size: 39 kDa

true

  • 665 Alexa Fluor® 647

    Alexa Fluor® 647 Anti-EpCAM antibody [EPR20533-63]

  • 578 PE

    PE Anti-EpCAM antibody [EPR20533-63]

  • 519 Alexa Fluor® 488

    Alexa Fluor® 488 Anti-EpCAM antibody [EPR20533-63]

  • Carrier free

    Anti-EpCAM antibody [EPR20533-63] - BSA and Azide free

Key facts

Host species

Rabbit

Clonality

Monoclonal

Clone number

EPR20533-63

Isotype

IgG

Carrier free

No

Reacts with

Mouse

Applications

WB, IP, Flow Cyt, ICC/IF, IHC-P

applications

Immunogen

The exact immunogen used to generate this antibody is proprietary information.

Reactivity data

{ "title": "Reactivity Data", "filters": { "stats": ["", "Species", "Dilution Info", "Notes"], "tabs": { "all-applications": {"fullname" : "All Applications", "shortname": "All Applications"}, "IP" : {"fullname" : "Immunoprecipitation", "shortname":"IP"}, "FlowCyt" : {"fullname" : "Flow Cytometry", "shortname":"Flow Cyt"}, "WB" : {"fullname" : "Western blot", "shortname":"WB"}, "ICCIF" : {"fullname" : "Immunocytochemistry/ Immunofluorescence", "shortname":"ICC/IF"}, "IHCP" : {"fullname" : "Immunohistochemistry (Formalin/PFA-fixed paraffin-embedded sections)", "shortname":"IHC-P"} }, "product-promise": { "all": "all", "testedAndGuaranteed": "tested", "guaranteed": "expected", "predicted": "predicted", "notRecommended": "not-recommended" } }, "values": { "Mouse": { "IP-species-checked": "testedAndGuaranteed", "IP-species-dilution-info": "1/30", "IP-species-notes": "<p></p>", "FlowCyt-species-checked": "testedAndGuaranteed", "FlowCyt-species-dilution-info": "1/500", "FlowCyt-species-notes": "<p><a href='/en-us/products/primary-antibodies/rabbit-igg-monoclonal-epr25a-isotype-control-ab172730'>ab172730</a> - Rabbit monoclonal IgG, is suitable for use as an isotype control with this antibody.</p>", "WB-species-checked": "testedAndGuaranteed", "WB-species-dilution-info": "1/5000", "WB-species-notes": "<p></p>", "ICCIF-species-checked": "testedAndGuaranteed", "ICCIF-species-dilution-info": "1/100", "ICCIF-species-notes": "<p></p>", "IHCP-species-checked": "testedAndGuaranteed", "IHCP-species-dilution-info": "1/2000", "IHCP-species-notes": "<p></p>" } } }

Product details

What is this antibody validated in?
Anti-EpCAM antibody [EPR20533-63] (ab221552) is a rabbit recombinant monoclonal antibody and is validated for use in Western Blot (WB), Flow Cytometry (Flow Cyt), Immunoprecipitation (IP), Immunohistochemistry (IHC-P), Immunocytochemistry/immunofluorescence (ICC/IF) in Mouse samples.

What is the molecular weight of EpCAM?
Anti-EpCAM [EPR20533-63] (ab221552) specifically detects a band for EpCAM (UniProt: Q99JW5) at a molecular weight of 35kDa.

Trial sizes available!
Test your antibody or perform pre-screening before committing to a larger quantity. Sold in 10µl. Discover our selection of trial-size antibodies.

Other related products
We have a range of other formats of antibody clone [EPR20533-63] also available for your convenience: ab221552, Carrier free - ab228876, Alexa Fluor® 488 - ab237384, Alexa Fluor® 647 - ab237385, PE - ab237387

Patented technology
Our RabMAb® technology is a patented hybridoma-based technology for making rabbit monoclonal antibodies. For details on our patents, please refer to RabMAb® patents.

What are the advantages of a recombinant monoclonal antibody?
This product is a recombinant monoclonal antibody, which offers several advantages including:

  • - High batch-to-batch consistency and reproducibility
  • - Improved sensitivity and specificity
  • - Long-term security of supply
  • - Animal-free batch production

For more information, read more on recombinant antibodies.

Properties and storage information

Form
Liquid
Purification technique
Affinity purification Protein A
Storage buffer
pH: 7.2 - 7.4 Preservative: 0.01% Sodium azide Constituents: PBS, 40% Glycerol (glycerin, glycerine), 0.05% BSA
Shipped at conditions
Blue Ice
Appropriate short-term storage duration
1-2 weeks
Appropriate short-term storage conditions
+4°C
Appropriate long-term storage conditions
-20°C
Aliquoting information
Upon delivery aliquot
Storage information
Avoid freeze / thaw cycle

Supplementary information

This supplementary information is collated from multiple sources and compiled automatically.

EpCAM also known as epithelial cell adhesion molecule is a transmembrane glycoprotein with a molecular weight of around 40 kDa. Alternative names include CD326 and TACSTD1. This protein is expressed on the surface of most epithelial cells and plays a role in cell adhesion. It is involved in maintaining the integrity of epithelial tissues by mediating homotypic cell-cell interactions which are important for the structure and function of tissues.
Biological function summary

EpCAM facilitates signaling pathways that impact cellular processes like proliferation and differentiation. It is not a part of a larger protein complex but interacts directly with other cellular machinery to transmit intracellular signals. EpCAM influences stem cell behavior and is important in tissue homeostasis assisting in both normal regenerative processes and wound healing.

Pathways

EpCAM participates in regulatory mechanisms involving the Wnt/Β-catenin signaling pathway which affects gene expression and cell fate decisions. Through its action EpCAM modulates components like E-cadherin which is important for cell adhesion and the maintenance of the epithelial layer. It indirectly influences pathways relating to MYC a transcription factor that regulates cell cycle progression and apoptosis.

EpCAM is associated with various types of cancer including colorectal and breast cancer. Its overexpression often correlates with aggressive cancer phenotypes and poor prognosis. Besides cancers EpCAM mutations can lead to congenital tufting enteropathy a rare condition affecting intestinal epithelial structure and function. Aberrant EpCAM expression affects Β-catenin levels impacting cellular pathways linked to tumor progression and epithelial integrity.

Product protocols

For this product, it's our understanding that no specific protocols are required. You can visit:

Target data

May act as a physical homophilic interaction molecule between intestinal epithelial cells (IECs) and intraepithelial lymphocytes (IELs) at the mucosal epithelium for providing immunological barrier as a first line of defense against mucosal infection. Plays a role in embryonic stem cells proliferation and differentiation. Up-regulates the expression of FABP5, MYC and cyclins A and E (By similarity).
See full target information Epcam

Publications (16)

Recent publications for all applications. Explore the full list and refine your search

Frontiers in pharmacology 16:1500157 PubMed40822467

2025

Shenfu injection promotes self-renewal of intestinal stem cells in sepsis-induced intestinal injury via inducing ATF4 expression.

Applications

Unspecified application

Species

Unspecified reactive species

Yunxin Deng,Lingyun Lu,Jinrong Li,Liya Gao,Yihui Wang,Nataša Petrović,Fengyong Yang,You Li,Mei Meng

Oncology letters 29:288 PubMed40264825

2025

Prognostic value of protein expression, tumor morphology and location within the pancreas in pancreatic ductal adenocarcinoma.

Applications

Unspecified application

Species

Unspecified reactive species

Haruto Nishida,Kengo Ando,Ryo Kaimori,Kazuhiro Kawamura,Tsutomu Daa

Frontiers in immunology 15:1466802 PubMed39840066

2025

Restoring natural killer cell activity in lung injury with 1,25-hydroxy vitamin D: a promising therapeutic approach.

Applications

Unspecified application

Species

Unspecified reactive species

Johnny Amer,Ahmad Salhab,Mohammad Abuawad

iScience 27:108503 PubMed38161426

2024

Therapy-induced normal tissue damage promotes breast cancer metastasis.

Applications

Unspecified application

Species

Unspecified reactive species

Douglas W Perkins,Ivana Steiner,Syed Haider,David Robertson,Richard Buus,Lynda O'Leary,Clare M Isacke

Science advances 9:eadi6488 PubMed37967178

2023

Promotion of uterine reconstruction by a tissue-engineered uterus with biomimetic structure and extracellular matrix microenvironment.

Applications

Unspecified application

Species

Unspecified reactive species

Long-Mei Zhao,Lin-Cui Da,Rui Wang,Long Wang,Yan-Lin Jiang,Xiu-Zhen Zhang,Ya-Xing Li,Xiong-Xin Lei,Yu-Ting Song,Chen-Yu Zou,Li-Ping Huang,Wen-Qian Zhang,Qing-Yi Zhang,Qian-Jin Li,Rong Nie,Yi Zhang,Yan Liang,Jesse Li-Ling,Hui-Qi Xie

Respiratory research 24:227 PubMed37741976

2023

CTGF promotes the repair and regeneration of alveoli after acute lung injury by promoting the proliferation of subpopulation of AEC2s.

Applications

Unspecified application

Species

Unspecified reactive species

Jianhui Sun,Huacai Zhang,Di Liu,Wenyi Liu,Juan Du,Dalin Wen,Luoxi Li,Anqiang Zhang,Jianxin Jiang,Ling Zeng

BMC biology 20:287 PubMed36528592

2022

Berberine increases stromal production of Wnt molecules and activates Lgr5 stem cells to promote epithelial restitution in experimental colitis.

Applications

Unspecified application

Species

Unspecified reactive species

Zecheng Luo,Zihao Li,Zheng Liang,Lin Wang,Guanlin He,Dongdi Wang,Lei Shen,Zhengting Wang,Xiuying Ma,Funeng Geng,Haozhong Wang,Wenping Liu,Huijuan Liu,Baojie Li

STAR protocols 4:101946 PubMed36525348

2022

Multiplexed evaluation of mouse wound tissue using oligonucleotide barcoding with single-cell RNA sequencing.

Applications

Unspecified application

Species

Unspecified reactive species

Michael Januszyk,Michelle Griffin,Shamik Mascharak,Heather E Talbott,Kellen Chen,Dominic Henn,Amanda F Spielman,Jennifer B L Parker,Norah E Liang,Asha Cotterell,Nicholas Guardino,Deshka S Foster,Dhananjay Wagh,John Coller,Geoffrey C Gurtner,Derrick C Wan,Michael T Longaker

Open medicine (Warsaw, Poland) 17:1883-1895 PubMed36518116

2022

TET3 governs malignant behaviors and unfavorable prognosis of esophageal squamous cell carcinoma by activating the PI3K/AKT/GSK3β/β-catenin pathway.

Applications

Unspecified application

Species

Unspecified reactive species

Maoling Zhu,Bowen Shi,Chunguang Li,Shuchang Xu

Journal of experimental & clinical cancer research : CR 41:192 PubMed35655220

2022

The Hippo pathway effector TAZ induces intrahepatic cholangiocarcinoma in mice and is ubiquitously activated in the human disease.

Applications

Unspecified application

Species

Unspecified reactive species

Antonio Cigliano,Shanshan Zhang,Silvia Ribback,Sara Steinmann,Marcella Sini,Cindy E Ament,Kirsten Utpatel,Xinhua Song,Jingxiao Wang,Maria G Pilo,Fabian Berger,Haichuan Wang,Junyan Tao,Xiaolei Li,Giovanni M Pes,Serena Mancarella,Gianluigi Giannelli,Frank Dombrowski,Matthias Evert,Diego F Calvisi,Xin Chen,Katja Evert
View all publications

Product promise

We are committed to supporting your work with high-quality reagents, and we're here for you every step of the way. In the unlikely event that one of our products does not perform as expected, you're protected by our Product Promise.
For full details, please see our Terms & Conditions

Please note: All products are 'FOR RESEARCH USE ONLY. NOT FOR USE IN DIAGNOSTIC OR THERAPEUTIC PROCEDURES'.

For licensing inquiries, please contact partnerships@abcam.com