JavaScript is disabled in your browser. Please enable JavaScript to view this website.
AB228876

Anti-EpCAM antibody [EPR20533-63] - BSA and Azide free

5

(1 Review)

|

(1 Publication)

Rabbit Recombinant Monoclonal EPCAM antibody. Carrier free. Suitable for IP, Flow Cyt, WB, ICC/IF, IHC-P and reacts with Mouse samples. Cited in 1 publication.

View Alternative Names

CD326, Tacstd1, Epcam, Epithelial cell adhesion molecule, Ep-CAM, Epithelial glycoprotein 314, Protein 289A, Tumor-associated calcium signal transducer 1, EGP314, mEGP314

6 Images
Immunohistochemistry (Formalin/PFA-fixed paraffin-embedded sections) - Anti-EpCAM antibody [EPR20533-63] - BSA and Azide free (AB228876)
  • IHC-P

Supplier Data

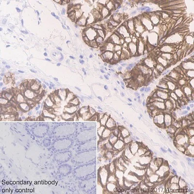
Immunohistochemistry (Formalin/PFA-fixed paraffin-embedded sections) - Anti-EpCAM antibody [EPR20533-63] - BSA and Azide free (AB228876)

Immunohistochemical analysis of paraffin-embedded mouse colon tissue labeling EpCAM with ab221552 at 1/2000 dilution, followed by Goat Anti-Rabbit IgG H&L (HRP) Ready to use. Membranous staining on mouse colon is observed (PMID : 15637741). Counter stained with hematoxylin.

Secondary antibody only control : Used PBS instead of primary antibody, secondary antibody is Goat Anti-Rabbit IgG H&L (HRP) Ready to use.

This data was developed using the same antibody clone in a different buffer formulation containing PBS, BSA, glycerol, and sodium azide (ab221552).

Perform heat mediated antigen retrieval with Tris/EDTA buffer pH 9.0 before commencing with IHC staining protocol.

Flow Cytometry - Anti-EpCAM antibody [EPR20533-63] - BSA and Azide free (AB228876)
  • Flow Cyt

Supplier Data

Flow Cytometry - Anti-EpCAM antibody [EPR20533-63] - BSA and Azide free (AB228876)

Flow cytometric analysis of 4% paraformaldehyde-fixed 4T1 (mouse mammary gland carcinoma cell line) and NIH/3T3 (mouse embyro fibroblast cell line) cells labeling EpCAM with ab221552 at 1/500 dilution (red) compared with a Rabbit IgG, monoclonal [EPR25A] - Isotype Control (ab172730) (black) and an unlabeled control (cells without incubation with primary antibody and secondary antibody) (blue). Goat Anti-Rabbit IgG H&L (Alexa Fluor® 488) at 1/2000 dilution was used as the secondary antibody.

Flow cytometry was performed with fresh cells without fixation and permeabilization.

Negative control : NIH/3T3 (PMID : 23264216).

This data was developed using the same antibody clone in a different buffer formulation containing PBS, BSA, glycerol, and sodium azide (ab221552).

Immunocytochemistry/ Immunofluorescence - Anti-EpCAM antibody [EPR20533-63] - BSA and Azide free (AB228876)
  • ICC/IF

Supplier Data

Immunocytochemistry/ Immunofluorescence - Anti-EpCAM antibody [EPR20533-63] - BSA and Azide free (AB228876)

Immunofluorescent analysis of 4% paraformaldehyde-fixed, 0.1% Triton X-100 permeabilized 4T1 (mouse mammary gland carcinoma cell line) and NIH/3T3 (mouse embyro fibroblast cell line) cells labeling EpCAM with ab221552  at 1/100 dilution, followed by Goat Anti-Rabbit IgG H&L (Alexa Fluor® 488) (ab150077) secondary antibody at 1/1000 dilution (green). Confocal image showing Membranous staining on 4T1 cells.

Negative control : NIH/3T3 (PMID : 23264216).

The nuclear counter stain is DAPI (blue). Tubulin is detected with Anti-alpha Tubulin antibody [DM1A] - Microtubule Marker (Alexa Fluor® 594) (ab195889) (red) at 1/200 dilution.

Secondary antibody only control : Used PBS instead of primary antibody, secondary antibody is Goat Anti-Rabbit IgG H&L (Alexa Fluor® 488) (ab150077) secondary antibody at 1/1000 dilution.

This data was developed using the same antibody clone in a different buffer formulation containing PBS, BSA, glycerol, and sodium azide (ab221552).

Immunohistochemistry (Formalin/PFA-fixed paraffin-embedded sections) - Anti-EpCAM antibody [EPR20533-63] - BSA and Azide free (AB228876)
  • IHC-P

Supplier Data

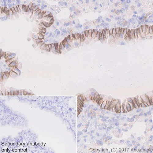
Immunohistochemistry (Formalin/PFA-fixed paraffin-embedded sections) - Anti-EpCAM antibody [EPR20533-63] - BSA and Azide free (AB228876)

Immunohistochemical analysis of paraffin-embedded mouse lung tissue labeling EpCAM with ab221552 at 1/2000 dilution, followed by Goat Anti-Rabbit IgG H&L (HRP) Ready to use. Membranous staining on mouse lung is observed (PMID : 15637741). Counter stained with hematoxylin.

Secondary antibody only control : Used PBS instead of primary antibody, secondary antibody is Goat Anti-Rabbit IgG H&L (HRP) Ready to use.

This data was developed using the same antibody clone in a different buffer formulation containing PBS, BSA, glycerol, and sodium azide (ab221552).

Perform heat mediated antigen retrieval with Tris/EDTA buffer pH 9.0 before commencing with IHC staining protocol.

Immunoprecipitation - Anti-EpCAM antibody [EPR20533-63] - BSA and Azide free (AB228876)
  • IP

Supplier Data

Immunoprecipitation - Anti-EpCAM antibody [EPR20533-63] - BSA and Azide free (AB228876)

EpCAM was immunoprecipitated from 0.35 mg of 4T1 (mouse mammary gland carcinoma cell line) whole cell lysate with ab221552 at 1/30 dilution. Western blot was performed from the immunoprecipitate using ab221552 at 1/1000 dilution. VeriBlot for IP Detection Reagent (HRP) (ab131366), was used for detection at 1/10000 dilution.

Lane 1 : 4T1 (Mouse mammary gland carcinoma) whole cell lysate 10 μg (Input).

Lane 2 : ab221552 IP in 4T1 whole cell lysate .

Lane 3 : Rabbit monoclonal IgG (ab172730) instead of ab221552 in 4T1 whole cell lysate .

Blocking and dilution buffer and concentration : 5% NFDM/TBST.

Exposure time : 30 seconds.

The band between 12-15kDa has been documented in literature as the cleaved form of EpCAM (PMID : 23409978).

This data was developed using the same antibody clone in a different buffer formulation containing PBS, BSA, glycerol, and sodium azide (ab221552).

All lanes:

Immunoprecipitation - Anti-EpCAM antibody [EPR20533-63] (<a href='/en-us/products/primary-antibodies/epcam-antibody-epr20533-63-ab221552'>ab221552</a>)

Predicted band size: 35 kDa

false

Immunoprecipitation - Anti-EpCAM antibody [EPR20533-63] - BSA and Azide free (AB228876)
  • IP

Supplier Data

Immunoprecipitation - Anti-EpCAM antibody [EPR20533-63] - BSA and Azide free (AB228876)

EpCAM was immunoprecipitated from 0.35 mg of mouse kidney lysate with ab221552 at 1/30 dilution. Western blot was performed from the immunoprecipitate using ab221552 at 1/1000 dilution. VeriBlot for IP Detection Reagent (HRP) (ab131366), was used for detection at 1/10000 dilution.

Lane 1 : Mouse kidney lysate 10 μg (Input).

Lane 2 : ab221552 IP in mouse kidney lysate.

Lane 3 : Rabbit monoclonal IgG (ab172730) instead of ab221552 in mouse kidney lysate.

Blocking and dilution buffer and concentration : 5% NFDM/TBST.

Exposure time : 3 seconds.

This data was developed using the same antibody clone in a different buffer formulation containing PBS, BSA, glycerol, and sodium azide (ab221552).

All lanes:

Immunoprecipitation - Anti-EpCAM antibody [EPR20533-63] (<a href='/en-us/products/primary-antibodies/epcam-antibody-epr20533-63-ab221552'>ab221552</a>)

Predicted band size: 35 kDa

false

  • Unconjugated

    Anti-EpCAM antibody [EPR20533-63]

  • 665 Alexa Fluor® 647

    Alexa Fluor® 647 Anti-EpCAM antibody [EPR20533-63]

  • 578 PE

    PE Anti-EpCAM antibody [EPR20533-63]

  • 519 Alexa Fluor® 488

    Alexa Fluor® 488 Anti-EpCAM antibody [EPR20533-63]

Key facts

Host species

Rabbit

Clonality

Monoclonal

Clone number

EPR20533-63

Isotype

IgG

Carrier free

Yes

Reacts with

Mouse

Applications

ICC/IF, IP, Flow Cyt, WB, IHC-P

applications

Immunogen

The exact immunogen used to generate this antibody is proprietary information.

Reactivity data

{ "title": "Reactivity Data", "filters": { "stats": ["", "Species", "Dilution Info", "Notes"], "tabs": { "all-applications": {"fullname" : "All Applications", "shortname": "All Applications"}, "IP" : {"fullname" : "Immunoprecipitation", "shortname":"IP"}, "FlowCyt" : {"fullname" : "Flow Cytometry", "shortname":"Flow Cyt"}, "WB" : {"fullname" : "Western blot", "shortname":"WB"}, "ICCIF" : {"fullname" : "Immunocytochemistry/ Immunofluorescence", "shortname":"ICC/IF"}, "IHCP" : {"fullname" : "Immunohistochemistry (Formalin/PFA-fixed paraffin-embedded sections)", "shortname":"IHC-P"} }, "product-promise": { "all": "all", "testedAndGuaranteed": "tested", "guaranteed": "expected", "predicted": "predicted", "notRecommended": "not-recommended" } }, "values": { "Mouse": { "IP-species-checked": "testedAndGuaranteed", "IP-species-dilution-info": "", "IP-species-notes": "<p></p>", "FlowCyt-species-checked": "testedAndGuaranteed", "FlowCyt-species-dilution-info": "", "FlowCyt-species-notes": "<p><a href='/en-us/products/primary-antibodies/rabbit-igg-monoclonal-epr25a-isotype-control-low-endotoxin-azide-free-ab199376'>ab199376</a> - Rabbit monoclonal IgG (Low endotoxin, Azide free), is suitable for use as an isotype control with this antibody.</p>", "WB-species-checked": "guaranteed", "WB-species-dilution-info": "", "WB-species-notes": "<p></p>", "ICCIF-species-checked": "testedAndGuaranteed", "ICCIF-species-dilution-info": "", "ICCIF-species-notes": "<p></p>", "IHCP-species-checked": "testedAndGuaranteed", "IHCP-species-dilution-info": "", "IHCP-species-notes": "<p></p>" } } }

Product details

ab228876 is the carrier-free version of ab221552.

Patented technology
Our RabMAb® technology is a patented hybridoma-based technology for making rabbit monoclonal antibodies. For details on our patents, please refer to RabMAb® patents.

What are the advantages of a recombinant monoclonal antibody?
This product is a recombinant monoclonal antibody, which offers several advantages including:

  • - High batch-to-batch consistency and reproducibility
  • - Improved sensitivity and specificity
  • - Long-term security of supply
  • - Animal-free batch production

For more information, read more on recombinant antibodies.

Conjugation ready
Our carrier-free antibodies are typically supplied in a PBS-only formulation, purified and free of BSA, sodium azide and glycerol. This conjugation-ready format is designed for use with fluorochromes, metal isotopes, oligonucleotides, and enzymes, which makes them ideal for antibody labelling, functional and cell-based assays, flow-based assays (e.g. mass cytometry) and Multiplex Imaging applications.

Use our conjugation kits for antibody conjugates that are ready-to-use in as little as 20 minutes with 1 minute hands-on-time and 100% antibody recovery: available for fluorescent dyes, HRP, biotin and gold.

Compatibility
This product is compatible with the Maxpar® Antibody Labeling Kit from Fluidigm, without the need for antibody preparation. Maxpar® is a trademark of Fluidigm Canada Inc.

Properties and storage information

Form
Liquid
Purification technique
Affinity purification Protein A
Storage buffer
pH: 7.2 - 7.4 Constituents: PBS
Shipped at conditions
Blue Ice
Appropriate short-term storage conditions
+4°C
Appropriate long-term storage conditions
+4°C
Storage information
Do Not Freeze

Supplementary information

This supplementary information is collated from multiple sources and compiled automatically.

EpCAM also known as epithelial cell adhesion molecule is a transmembrane glycoprotein with a molecular weight of around 40 kDa. Alternative names include CD326 and TACSTD1. This protein is expressed on the surface of most epithelial cells and plays a role in cell adhesion. It is involved in maintaining the integrity of epithelial tissues by mediating homotypic cell-cell interactions which are important for the structure and function of tissues.
Biological function summary

EpCAM facilitates signaling pathways that impact cellular processes like proliferation and differentiation. It is not a part of a larger protein complex but interacts directly with other cellular machinery to transmit intracellular signals. EpCAM influences stem cell behavior and is important in tissue homeostasis assisting in both normal regenerative processes and wound healing.

Pathways

EpCAM participates in regulatory mechanisms involving the Wnt/β-catenin signaling pathway which affects gene expression and cell fate decisions. Through its action EpCAM modulates components like E-cadherin which is important for cell adhesion and the maintenance of the epithelial layer. It indirectly influences pathways relating to MYC a transcription factor that regulates cell cycle progression and apoptosis.

EpCAM is associated with various types of cancer including colorectal and breast cancer. Its overexpression often correlates with aggressive cancer phenotypes and poor prognosis. Besides cancers EpCAM mutations can lead to congenital tufting enteropathy a rare condition affecting intestinal epithelial structure and function. Aberrant EpCAM expression affects β-catenin levels impacting cellular pathways linked to tumor progression and epithelial integrity.

Product protocols

For this product, it's our understanding that no specific protocols are required. You can visit:

Target data

May act as a physical homophilic interaction molecule between intestinal epithelial cells (IECs) and intraepithelial lymphocytes (IELs) at the mucosal epithelium for providing immunological barrier as a first line of defense against mucosal infection. Plays a role in embryonic stem cells proliferation and differentiation. Up-regulates the expression of FABP5, MYC and cyclins A and E (By similarity).
See full target information Epcam

Publications (1)

Recent publications for all applications. Explore the full list and refine your search

Frontiers in cardiovascular medicine 9:1062695 PubMed36568562

2022

Large-conductance Ca-activated K channel β1-subunit maintains the contractile phenotype of vascular smooth muscle cells.

Applications

Unspecified application

Species

Unspecified reactive species

Meili Wang,Shuanglei Li,Hongshan Liu,Mingyuan Liu,Jin Zhang,Yang Wu,Cangsong Xiao,Haixia Huang
View all publications

Product promise

We are committed to supporting your work with high-quality reagents, and we're here for you every step of the way. In the unlikely event that one of our products does not perform as expected, you're protected by our Product Promise.
For full details, please see our Terms & Conditions

Please note: All products are 'FOR RESEARCH USE ONLY. NOT FOR USE IN DIAGNOSTIC OR THERAPEUTIC PROCEDURES'.

For licensing inquiries, please contact partnerships@abcam.com