JavaScript is disabled in your browser. Please enable JavaScript to view this website.
AB283866

Anti-EpCAM antibody [RM1016] - BSA and Azide free

Be the first to review this product! Submit a review

|

(0 Publication)

Rabbit Recombinant Multiclonal EPCAM antibody. Carrier free. Suitable for ICC, IP, Flow Cyt, WB, IHC-P, IHC-Fr and reacts with Mouse, Human, Rat samples.

View Alternative Names

CD326, Tacstd1, Epcam, Epithelial cell adhesion molecule, Ep-CAM, Epithelial glycoprotein 314, Protein D5.7A, Tumor-associated calcium signal transducer 1, EGP314

16 Images
Immunohistochemistry (Formalin/PFA-fixed paraffin-embedded sections) - Anti-EpCAM antibody [RM1016] - BSA and Azide free (AB283866)
  • IHC-P

Supplier Data

Immunohistochemistry (Formalin/PFA-fixed paraffin-embedded sections) - Anti-EpCAM antibody [RM1016] - BSA and Azide free (AB283866)

This data was developed using ab282457, the same antibody clone in a different buffer formulation.

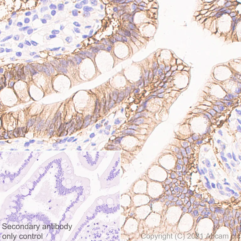
Immunohistochemical analysis of paraffin-embedded human colon tissue labeling EpCAM with ab282457 at 1/4000 (0.124 μg/ml) followed by a ready to use LeicaDS9800 (Bond™ Polymer Refine Detection). Membranous staining on human colon. The section was incubated with ab282457 for 30 mins at room temperature.The immunostaining was performed on a Leica Biosystems BOND® RX instrument. Counterstained with Hematoxylin.

Secondary antibody only control : Secondary antibody is a ready to use LeicaDS9800 (Bond™ Polymer Refine Detection).

Heat mediated antigen retrieval with Tris-EDTA buffer (pH 9.0, epitope retrieval solution2) for 20 mins.

Western blot - Anti-EpCAM antibody [RM1016] - BSA and Azide free (AB283866)
  • WB

Supplier Data

Western blot - Anti-EpCAM antibody [RM1016] - BSA and Azide free (AB283866)

This data was developed using ab282457, the same antibody clone in a different buffer formulation.

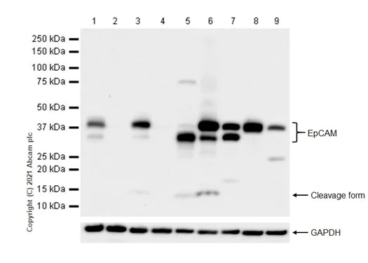
Blocking and diluting buffer and concentration : 5% NFDM/TBST.

Negative control : HeLa (PMID : 31806375), NIH/3T3 (PMID : 23264216).

The MW observed is consistent with the literature : PMID 19136966; PMID 23618806. The band between 12-15kDa has been documented in literature as the cleaved form of EpCAM (PMID : 23409978).

Exposure time : 8 seconds.

All lanes:

Western blot - Anti-EpCAM antibody [RM1016] - BSA and Azide free (ab283866) at 1/1000 dilution

Lane 1:

HCT 116 (Human colorectal carcinoma epithelial cell) whole cell lysate at 20 µg

Lane 2:

HeLa (Human cervix adenocarcinoma epithelial cell) whole cell lysate at 20 µg

Lane 3:

4T1 (Mouse mammary gland carcinoma epithelial cell) whole cell lysate at 20 µg

Lane 4:

NIH/3T3 (Mouse embryonic fibroblast) whole cell lysate at 20 µg

Lane 5:

Human colon lysate at 20 µg

Lane 6:

Mouse colon lysate at 20 µg

Lane 7:

Rat colon lysate at 20 µg

Lane 8:

Mouse kidney lysate at 20 µg

Lane 9:

Rat kidney lysate at 20 µg

Secondary

All lanes:

Western blot - Goat Anti-Rabbit IgG H&L (HRP) (<a href='/en-us/products/secondary-antibodies/goat-rabbit-igg-h-l-hrp-ab97051'>ab97051</a>) at 1/100000 dilution

false

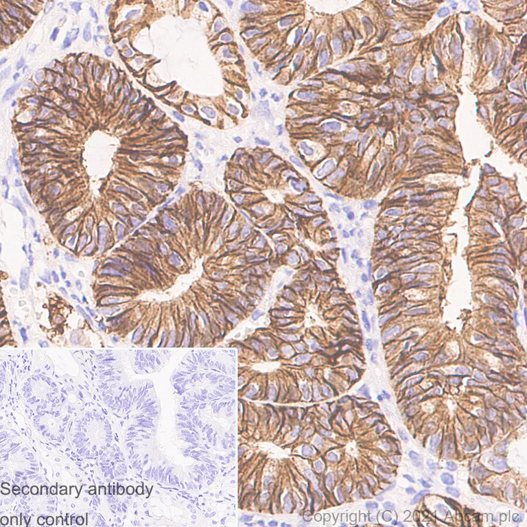
Immunohistochemistry (Formalin/PFA-fixed paraffin-embedded sections) - Anti-EpCAM antibody [RM1016] - BSA and Azide free (AB283866)
  • IHC-P

Supplier Data

Immunohistochemistry (Formalin/PFA-fixed paraffin-embedded sections) - Anti-EpCAM antibody [RM1016] - BSA and Azide free (AB283866)

This data was developed using ab282457, the same antibody clone in a different buffer formulation.

Immunohistochemical analysis of paraffin-embedded human colon carcinoma tissue labeling EpCAM with ab282457 at 1/4000 (0.124 μg/ml) followed by a ready to use LeicaDS9800 (Bond™ Polymer Refine Detection). Membranous staining on human colon carcinoma. The section was incubated with ab282457 for 30 mins at room temperature. The immunostaining was performed on a Leica Biosystems BOND® RX instrument. Counterstained with Hematoxylin.

Secondary antibody only control : Secondary antibody is a ready to use LeicaDS9800 (Bond™ Polymer Refine Detection).

Immunocytochemistry - Anti-EpCAM antibody [RM1016] - BSA and Azide free (AB283866)
  • ICC

Supplier Data

Immunocytochemistry - Anti-EpCAM antibody [RM1016] - BSA and Azide free (AB283866)

This data was developed using ab282457, the same antibody clone in a different buffer formulation.

Immunofluorescent analysis of 4% Paraformaldehyde-fixed, 0.1% Triton X-100 permeabilized HCT 116 and HeLa cells labelling EpCAM with ab282457 at 1/250 (1.976 μg/ml) dilution, followed by ab150081 Goat Anti-Rabbit IgG H&L (Alexa Fluor® 488) preadsorbed antibody at 1/1000 dilution (Green). Confocal image showing membranous staining in HCT 116 cell line.

Negative control : HeLa (PMID : 31806375).

ab195889 Anti-alpha Tubulin mouse monoclonal antibody - Microtubule Marker (Alexa Fluor® 594) was used to counterstain tubulin at 1/200 dilution (Red). The nuclear counterstain was DAPI (Blue).

Secondary antibody only control : Secondary antibody is ab150081 Goat Anti-Rabbit IgG H&L (Alexa Fluor® 488) preadsorbed at 1/1000 dilution.

Immunohistochemistry (Formalin/PFA-fixed paraffin-embedded sections) - Anti-EpCAM antibody [RM1016] - BSA and Azide free (AB283866)
  • IHC-P

Supplier Data

Immunohistochemistry (Formalin/PFA-fixed paraffin-embedded sections) - Anti-EpCAM antibody [RM1016] - BSA and Azide free (AB283866)

This data was developed using ab282457, the same antibody clone in a different buffer formulation.

Immunohistochemical analysis of paraffin-embedded mouse colon tissue labeling EpCAM with ab282457 at 1/4000 (0.124 μg/ml) followed by a ready to use LeicaDS9800 (Bond™ Polymer Refine Detection). Membranous staining on mouse colon. The section was incubated with ab282457 for 30 mins at room temperature.The immunostaining was performed on a Leica Biosystems BOND® RX instrument. Counterstained with Hematoxylin.

Secondary antibody only control : Secondary antibody is a ready to use LeicaDS9800 (Bond™ Polymer Refine Detection).

Heat mediated antigen retrieval with Tris-EDTA buffer (pH 9.0, epitope retrieval solution2) for 20 mins.

Immunocytochemistry - Anti-EpCAM antibody [RM1016] - BSA and Azide free (AB283866)
  • ICC

Supplier Data

Immunocytochemistry - Anti-EpCAM antibody [RM1016] - BSA and Azide free (AB283866)

This data was developed using ab282457, the same antibody clone in a different buffer formulation.

Immunofluorescent analysis of 4% Paraformaldehyde-fixed, 0.1% Triton X-100 permeabilized 4T1 and NIH/3T3 cells labelling EpCAM with ab282457 at 1/250 (1.976 μg/ml) dilution, followed by ab150081 Goat Anti-Rabbit IgG H&L (Alexa Fluor® 488) preadsorbed antibody at 1/1000 dilution (Green). Confocal image showing membranous staining in 4T1 cell line.

Negative control : NIH/3T3 (PMID : 31806375).

ab195889 Anti-alpha Tubulin mouse monoclonal antibody - Microtubule Marker (Alexa Fluor® 594) was used to counterstain tubulin at 1/200 dilution (Red). The nuclear counterstain was DAPI (Blue).

Secondary antibody only control : Secondary antibody is ab150081 Goat Anti-Rabbit IgG H&L (Alexa Fluor® 488) preadsorbed at 1/1000 dilution.

Immunohistochemistry (Formalin/PFA-fixed paraffin-embedded sections) - Anti-EpCAM antibody [RM1016] - BSA and Azide free (AB283866)
  • IHC-P

Supplier Data

Immunohistochemistry (Formalin/PFA-fixed paraffin-embedded sections) - Anti-EpCAM antibody [RM1016] - BSA and Azide free (AB283866)

This data was developed using ab282457, the same antibody clone in a different buffer formulation.

Immunohistochemical analysis of paraffin-embedded rat colon tissue labeling EpCAM with ab282457 at 1/4000 (0.124 μg/ml) followed by a ready to use LeicaDS9800 (Bond™ Polymer Refine Detection). Membranous staining on rat colon. The section was incubated with ab282457 for 30 mins at room temperature. The immunostaining was performed on a Leica Biosystems BOND® RX instrument. Counterstained with Hematoxylin.

Secondary antibody only control : Secondary antibody is a ready to use LeicaDS9800 (Bond™ Polymer Refine Detection).

Heat mediated antigen retrieval with Tris-EDTA buffer (pH 9.0, epitope retrieval solution2) for 20 mins.

Flow Cytometry - Anti-EpCAM antibody [RM1016] - BSA and Azide free (AB283866)
  • Flow Cyt

Supplier Data

Flow Cytometry - Anti-EpCAM antibody [RM1016] - BSA and Azide free (AB283866)

This data was developed using ab282457, the same antibody clone in a different buffer formulation.

Flow cytometric analysis of HeLa (Human cervix adenocarcinoma epithelial cell, Left) / HCT-116 (Human colorectal carcinoma epithelial cell, Right) cells labelling EpCAM with ab282457 at 1/500 dilution (0.1 μg) (Red) compared with a Rabbit monoclonal IgG (ab172730) (Black) isotype control and an unlabelled control (cells without incubation with primary antibody and secondary antibody) (Blue). Goat anti rabbit IgG (Alexa Fluor® 488, ab150077) at 1/2000 dilution was used as the secondary antibody.

Negative control : HeLa. (PMID : 31806375).

Gated on viable cells.

Immunohistochemistry (Formalin/PFA-fixed paraffin-embedded sections) - Anti-EpCAM antibody [RM1016] - BSA and Azide free (AB283866)
  • IHC-P

Supplier Data

Immunohistochemistry (Formalin/PFA-fixed paraffin-embedded sections) - Anti-EpCAM antibody [RM1016] - BSA and Azide free (AB283866)

This data was developed using ab282457, the same antibody clone in a different buffer formulation.

Immunohistochemical analysis of paraffin-embedded mouse colon carcinoma tissue labeling EpCAM with ab282457 at 1/4000 (0.124 μg/ml) followed by a ready to use LeicaDS9800 (Bond™ Polymer Refine Detection). Membranous staining on mouse colon carcinoma. The section was incubated with ab282457 for 30 mins at room temperature. The immunostaining was performed on a Leica Biosystems BOND® RX instrument. Counterstained with Hematoxylin.

Secondary antibody only control : Secondary antibody is a ready to use LeicaDS9800 (Bond™ Polymer Refine Detection).

Flow Cytometry - Anti-EpCAM antibody [RM1016] - BSA and Azide free (AB283866)
  • Flow Cyt

Supplier Data

Flow Cytometry - Anti-EpCAM antibody [RM1016] - BSA and Azide free (AB283866)

This data was developed using ab282457, the same antibody clone in a different buffer formulation.

Flow cytometric analysis of NIH/3T3 (Mouse embryonic fibroblast, Left) / 4T1 (Mouse mammary gland carcinoma epithelial cell, Right) cells labelling EpCAM with ab282457 at 1/50 dilution (1 μg) (Red) compared with a Rabbit monoclonal IgG (ab172730) (Black) isotype control and an unlabelled control (cells without incubation with primary antibody and secondary antibody) (Blue). Goat anti rabbit IgG (Alexa Fluor® 488, ab150077) at 1/2000 dilution was used as the secondary antibody.

Negative control : NIH/3T3 (PMID : 23264216).

Gated on viable cells.

Immunohistochemistry (Formalin/PFA-fixed paraffin-embedded sections) - Anti-EpCAM antibody [RM1016] - BSA and Azide free (AB283866)
  • IHC-P

Supplier Data

Immunohistochemistry (Formalin/PFA-fixed paraffin-embedded sections) - Anti-EpCAM antibody [RM1016] - BSA and Azide free (AB283866)

This data was developed using ab282457, the same antibody clone in a different buffer formulation.

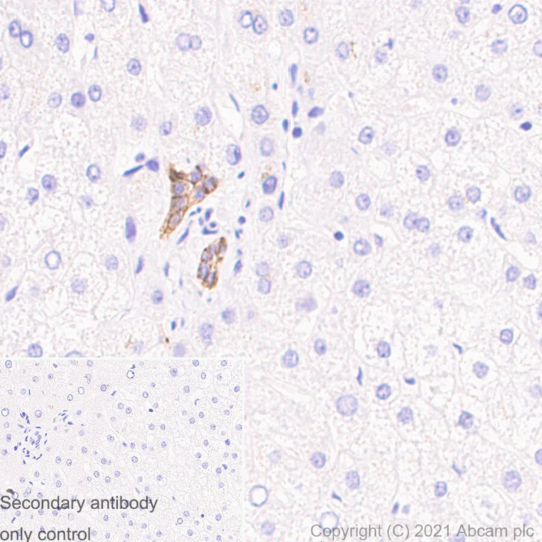
Immunohistochemical analysis of paraffin-embedded human liver tissue labeling EpCAM with ab282457 at 1/4000 (0.124 μg/ml) followed by a ready to use LeicaDS9800 (Bond™ Polymer Refine Detection). Membranous staining on the bile duct in human liver, and no staining on the hepatocytes. The section was incubated with ab282457 for 30 mins at room temperature. The immunostaining was performed on a Leica Biosystems BOND® RX instrument. Counterstained with Hematoxylin.

Secondary antibody only control : Secondary antibody is a ready to use LeicaDS9800 (Bond™ Polymer Refine Detection).

Heat mediated antigen retrieval with Tris-EDTA buffer (pH 9.0, epitope retrieval solution2) for 20 mins.

Immunohistochemistry (Formalin/PFA-fixed paraffin-embedded sections) - Anti-EpCAM antibody [RM1016] - BSA and Azide free (AB283866)
  • IHC-P

Supplier Data

Immunohistochemistry (Formalin/PFA-fixed paraffin-embedded sections) - Anti-EpCAM antibody [RM1016] - BSA and Azide free (AB283866)

This data was developed using ab282457, the same antibody clone in a different buffer formulation.

Immunohistochemical analysis of paraffin-embedded human skeletal muscle tissue labeling EpCAM with ab282457 at 1/4000 (0.124 μg/ml) followed by a ready to use LeicaDS9800 (Bond™ Polymer Refine Detection). Negative control : no staining on human skeletal muscle. The section was incubated with ab282457 for 30 mins at room temperature. The immunostaining was performed on a Leica Biosystems BOND® RX instrument. Counterstained with Hematoxylin.

Secondary antibody only control : Secondary antibody is a ready to use LeicaDS9800 (Bond™ Polymer Refine Detection).

Heat mediated antigen retrieval with Tris-EDTA buffer (pH 9.0, epitope retrieval solution2) for 20 mins.

Immunohistochemistry (Frozen sections) - Anti-EpCAM antibody [RM1016] - BSA and Azide free (AB283866)
  • IHC-Fr

Supplier Data

Immunohistochemistry (Frozen sections) - Anti-EpCAM antibody [RM1016] - BSA and Azide free (AB283866)

This data was developed using ab282457, the same antibody clone in a different buffer formulation.

Immunohistochemical analysis of 4% PFA-fixed, 0.2% Triton X-100 permeabilized frozen rat colon tissue labeling EpCAM with ab282457 at 1/100 (4.94 μg/ml) dilution followed by ab150077 Goat Anti-Rabbit IgG H&L (Alexa Fluor® 488) at 1/1000 dilution (Green). Membranous staining on rat colon is observed. The nuclear counterstain was DAPI (Blue).

Secondary antibody control : Secondary antibody is ab150077 Goat Anti-Rabbit IgG H&L (Alexa Fluor® 488) at 1/1000 dilution.

Heat mediated antigen retrieval using sodium citrate buffer (10mM citrate pH 6.0 + 0.05% Tween-20).

Immunohistochemistry (Frozen sections) - Anti-EpCAM antibody [RM1016] - BSA and Azide free (AB283866)
  • IHC-Fr

Supplier Data

Immunohistochemistry (Frozen sections) - Anti-EpCAM antibody [RM1016] - BSA and Azide free (AB283866)

This data was developed using ab282457, the same antibody clone in a different buffer formulation.

Immunohistochemical analysis of 4% PFA-fixed, 0.2% Triton X-100 permeabilized frozen mouse colon tissue labeling EpCAM with ab282457 at 1/100 (4.94 μg/ml) dilution followed by ab150077 Goat Anti-Rabbit IgG H&L (Alexa Fluor® 488) at 1/1000 dilution (Green). Membranous staining on mouse colon is observed. The nuclear counterstain was DAPI (Blue).

Secondary antibody control : Secondary antibody is ab150077 Goat Anti-Rabbit IgG H&L (Alexa Fluor® 488) at 1/1000 dilution.

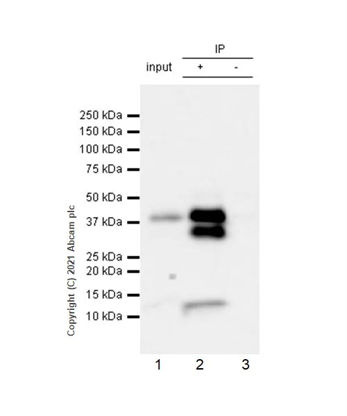
Western blot - Anti-EpCAM antibody [RM1016] - BSA and Azide free (AB283866)
  • WB

Supplier Data

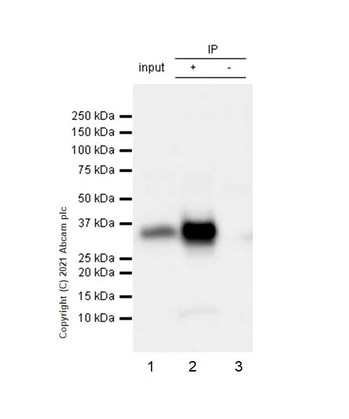
Western blot - Anti-EpCAM antibody [RM1016] - BSA and Azide free (AB283866)

This data was developed using ab282457, the same antibody clone in a different buffer formulation.

EpCAM was immunoprecipitated from 0.35 mg human colon lysate 10 μg with ab282457 at 1/30 dilution (2 μg in 0.35 mg lysates). Western blot was performed on the immunoprecipitate using ab282457 at 1/1000 dilution. VeriBlot for IP secondary antibody(HRP)(ab131366) was used at 1/5000 dilution.

Lane 1 : Human colon lysate 10 μg

Lane 2 : ab282457 IP in human colon lysate

Lane 3 : Rabbit monoclonal IgG (ab172730) instead of ab282457 in human colon lysate

Blocking and dilution buffer and concentration : 5% NFDM/TBST.

Exposure time : 8 seconds.

The MW observed is consistent with the literature : PMID 19136966; PMID 23618806. The band between 12-15kDa has been documented in literature as the cleaved form of EpCAM (PMID : 23409978).

All lanes:

Western blot - Anti-EpCAM antibody [RM1016] - BSA and Azide free (ab283866)

false

Western blot - Anti-EpCAM antibody [RM1016] - BSA and Azide free (AB283866)
  • WB

Supplier Data

Western blot - Anti-EpCAM antibody [RM1016] - BSA and Azide free (AB283866)

This data was developed using ab282457, the same antibody clone in a different buffer formulation.

EpCAM was immunoprecipitated from 0.35 mg 4T1 (Mouse mammary gland carcinoma epithelial cell) whole cell lysate 10 μg with ab282457 at 1/30 dilution (2 μg in 0.35 mg lysates). Western blot was performed on the immunoprecipitate using ab282457 at 1/1000 dilution. VeriBlot for IP secondary antibody(HRP)(ab131366) was used at 1/5000 dilution.

Lane 1 : 4T1 whole cell lysate 10 μg

Lane 2 : ab282457 IP in 4T1 whole cell lysate

Lane 3 : Rabbit monoclonal IgG (ab172730) instead of ab282457 in 4T1 whole cell lysate

Blocking and dilution buffer and concentration : 5% NFDM/TBST.

Exposure time : 8 seconds.

The MW observed is consistent with the literature : PMID 19136966; PMID 23618806. The band between 12-15kDa has been documented in literature as the cleaved form of EpCAM (PMID : 23409978).

All lanes:

Western blot - Anti-EpCAM antibody [RM1016] - BSA and Azide free (ab283866)

false

Key facts

Host species

Rabbit

Clonality

Multiclonal

Clone number

RM1016

Isotype

IgG

Carrier free

Yes

Reacts with

Rat, Mouse, Human

Applications

IP, WB, IHC-Fr, Flow Cyt, ICC, IHC-P

applications

Immunogen

The exact immunogen used to generate this antibody is proprietary information.

Reactivity data

{ "title": "Reactivity Data", "filters": { "stats": ["", "Species", "Dilution Info", "Notes"], "tabs": { "all-applications": {"fullname" : "All Applications", "shortname": "All Applications"}, "ICC" : {"fullname" : "Immunocytochemistry", "shortname":"ICC"}, "IP" : {"fullname" : "Immunoprecipitation", "shortname":"IP"}, "FlowCyt" : {"fullname" : "Flow Cytometry", "shortname":"Flow Cyt"}, "WB" : {"fullname" : "Western blot", "shortname":"WB"}, "IHCP" : {"fullname" : "Immunohistochemistry (Formalin/PFA-fixed paraffin-embedded sections)", "shortname":"IHC-P"}, "IHCFr" : {"fullname" : "Immunohistochemistry (Frozen sections)", "shortname":"IHC-Fr"} }, "product-promise": { "all": "all", "testedAndGuaranteed": "tested", "guaranteed": "expected", "predicted": "predicted", "notRecommended": "not-recommended" } }, "values": { "Human": { "ICC-species-checked": "testedAndGuaranteed", "ICC-species-dilution-info": "", "ICC-species-notes": "<p></p>", "IP-species-checked": "guaranteed", "IP-species-dilution-info": "", "IP-species-notes": "<p></p>", "FlowCyt-species-checked": "testedAndGuaranteed", "FlowCyt-species-dilution-info": "", "FlowCyt-species-notes": "<p></p>", "WB-species-checked": "testedAndGuaranteed", "WB-species-dilution-info": "", "WB-species-notes": "<p></p>", "IHCP-species-checked": "testedAndGuaranteed", "IHCP-species-dilution-info": "", "IHCP-species-notes": "<p></p>", "IHCFr-species-checked": "guaranteed", "IHCFr-species-dilution-info": "", "IHCFr-species-notes": "" }, "Mouse": { "ICC-species-checked": "testedAndGuaranteed", "ICC-species-dilution-info": "", "ICC-species-notes": "<p></p>", "IP-species-checked": "guaranteed", "IP-species-dilution-info": "", "IP-species-notes": "<p></p>", "FlowCyt-species-checked": "testedAndGuaranteed", "FlowCyt-species-dilution-info": "", "FlowCyt-species-notes": "<p></p>", "WB-species-checked": "testedAndGuaranteed", "WB-species-dilution-info": "", "WB-species-notes": "<p></p>", "IHCP-species-checked": "testedAndGuaranteed", "IHCP-species-dilution-info": "", "IHCP-species-notes": "<p></p>", "IHCFr-species-checked": "testedAndGuaranteed", "IHCFr-species-dilution-info": "", "IHCFr-species-notes": "<p></p>" }, "Rat": { "ICC-species-checked": "guaranteed", "ICC-species-dilution-info": "", "ICC-species-notes": "", "IP-species-checked": "guaranteed", "IP-species-dilution-info": "", "IP-species-notes": "<p></p>", "FlowCyt-species-checked": "guaranteed", "FlowCyt-species-dilution-info": "", "FlowCyt-species-notes": "", "WB-species-checked": "testedAndGuaranteed", "WB-species-dilution-info": "", "WB-species-notes": "<p></p>", "IHCP-species-checked": "testedAndGuaranteed", "IHCP-species-dilution-info": "", "IHCP-species-notes": "<p></p>", "IHCFr-species-checked": "guaranteed", "IHCFr-species-dilution-info": "", "IHCFr-species-notes": "" } } }

You may be interested in:

AB264632

Human EpCAM ELISA Kit

0

0 Reviews

View product

We recommend this product because it’s often used in the same experiment or related research.

We advise that you always check the datasheet to ensure it fits your experiments, or contact ourtechnical teamfor help.

Product details

ab283866 is the carrier-free version of ab282457.

What are recombinant multiclonals?
Recombinant multiclonals are a mixture of recombinant antibodies co-expressed from a library of heavy and light chains. They offer several advantages including:

  • - The sensitivity of polyclonal antibodies by recognising multiple epitopes
  • - High batch-to-batch consistency and reproducibility
  • - Improved sensitivity and specificity
  • - Long-term security of supply
  • - Animal-free batch production

View our range of recombinant multiclonal antibodies.

Patented technology
Our RabMAb® technology is a patented hybridoma-based technology for making rabbit monoclonal antibodies. For details on our patents, please refer to RabMAb® patents.

Conjugation ready
Our carrier-free antibodies are typically supplied in a PBS-only formulation, purified and free of BSA, sodium azide and glycerol. This conjugation-ready format is designed for use with fluorochromes, metal isotopes, oligonucleotides, and enzymes, which makes them ideal for antibody labelling, functional and cell-based assays, flow-based assays (e.g. mass cytometry) and Multiplex Imaging applications.

Use our conjugation kits for antibody conjugates that are ready-to-use in as little as 20 minutes with 1 minute hands-on-time and 100% antibody recovery: available for fluorescent dyes, HRP, biotin and gold.

Compatibility
This product is compatible with the Maxpar® Antibody Labeling Kit from Fluidigm, without the need for antibody preparation. Maxpar® is a trademark of Fluidigm Canada Inc.

Properties and storage information

Form
Liquid
Purification technique
Affinity purification Protein A
Storage buffer
pH: 7.2 - 7.4 Constituents: 100% PBS
Shipped at conditions
Blue Ice
Appropriate short-term storage conditions
+4°C
Appropriate long-term storage conditions
+4°C

Supplementary information

This supplementary information is collated from multiple sources and compiled automatically.

EpCAM also known as epithelial cell adhesion molecule is a transmembrane glycoprotein with a molecular weight of around 40 kDa. Alternative names include CD326 and TACSTD1. This protein is expressed on the surface of most epithelial cells and plays a role in cell adhesion. It is involved in maintaining the integrity of epithelial tissues by mediating homotypic cell-cell interactions which are important for the structure and function of tissues.
Biological function summary

EpCAM facilitates signaling pathways that impact cellular processes like proliferation and differentiation. It is not a part of a larger protein complex but interacts directly with other cellular machinery to transmit intracellular signals. EpCAM influences stem cell behavior and is important in tissue homeostasis assisting in both normal regenerative processes and wound healing.

Pathways

EpCAM participates in regulatory mechanisms involving the Wnt/β-catenin signaling pathway which affects gene expression and cell fate decisions. Through its action EpCAM modulates components like E-cadherin which is important for cell adhesion and the maintenance of the epithelial layer. It indirectly influences pathways relating to MYC a transcription factor that regulates cell cycle progression and apoptosis.

EpCAM is associated with various types of cancer including colorectal and breast cancer. Its overexpression often correlates with aggressive cancer phenotypes and poor prognosis. Besides cancers EpCAM mutations can lead to congenital tufting enteropathy a rare condition affecting intestinal epithelial structure and function. Aberrant EpCAM expression affects β-catenin levels impacting cellular pathways linked to tumor progression and epithelial integrity.

Product protocols

For this product, it's our understanding that no specific protocols are required. You can visit:

Target data

May act as a physical homophilic interaction molecule between intestinal epithelial cells (IECs) and intraepithelial lymphocytes (IELs) at the mucosal epithelium for providing immunological barrier as a first line of defense against mucosal infection. Plays a role in embryonic stem cells proliferation and differentiation. Up-regulates the expression of FABP5, MYC and cyclins A and E (By similarity).
See full target information Epcam

Additional targets

Epcam,Epcam

Product promise

We are committed to supporting your work with high-quality reagents, and we're here for you every step of the way. In the unlikely event that one of our products does not perform as expected, you're protected by our Product Promise.
For full details, please see our Terms & Conditions

Associated Products

Select an associated product type
Alternative Version
Primary Antibodies

AB282457

Anti-EpCAM antibody [RM1016]

primary-antibodies

epcam-antibody-rm1016-ab282457

3

(1 reviews)

Please note: All products are 'FOR RESEARCH USE ONLY. NOT FOR USE IN DIAGNOSTIC OR THERAPEUTIC PROCEDURES'.

For licensing inquiries, please contact partnerships@abcam.com