JavaScript is disabled in your browser. Please enable JavaScript to view this website.
AB300525

Anti-EPCR/CD201 antibody [EPR25647-5]

Be the first to review this product! Submit a review

|

(0 Publication)

Anti-EPCR/CD201 antibody [EPR25647-5] is a Rabbit Monoclonal antibody that is used in EPCR/CD201 Flow Cytometry, ICC/IF, IP, Western Blot. Suitable for Human samples.

Endothelial Protein C Receptor (EPCR), also known as CD201, plays a significant role in tumor progression by enhancing cell survival, proliferation, and migration. EPCR binds to APC, which then activates PAR-1. This activation leads to anti-inflammatory and cytoprotective effects that can create a favorable environment for tumor cells to thrive. EPCR is overexpressed in several cancers including epithelial cancer and is a ligand for gamma-delta T cells. EPCR promotes breast cancer invasion and 3D growth.

View Alternative Names

CD201, EPCR, PROCR, Endothelial protein C receptor, Activated protein C receptor, Endothelial cell protein C receptor, APC receptor

6 Images
Flow Cytometry - Anti-EPCR/CD201 antibody [EPR25647-5] (AB300525)
  • Flow Cyt

Supplier Data

Flow Cytometry - Anti-EPCR/CD201 antibody [EPR25647-5] (AB300525)

Flow cytometric analysis of Jurkat (human T cell leukemia T lymphocyte, Left) / HUVEC (human umbilical vein endothelial cell, Right) cells labelling EPCR/CD201 with ab300525 at 1/500 dilution (0.1ug) (Red) compared with a Rabbit monoclonal IgG (ab172730) (Black) isotype control and an unlabelled control (cells without incubation with primary antibody and secondary antibody) (Blue). Goat Anti-Rabbit IgG (Alexa Fluor® 488, ab150081) at 1/2000 dilution was used as the secondary antibody. Gated on viable cells.Negative control : Jurkat (PMID : 11703343).

Immunocytochemistry/ Immunofluorescence - Anti-EPCR/CD201 antibody [EPR25647-5] (AB300525)
  • ICC/IF

Supplier Data

Immunocytochemistry/ Immunofluorescence - Anti-EPCR/CD201 antibody [EPR25647-5] (AB300525)

Immunofluorescent analysis of 4% Paraformaldehyde-fixed, 0.1% TritonX-100 permeabilized HUVEC (human umbilical vein endothelial cell) cells labelling EPCR/CD201 with ab300525 at 1/50 (9.8 ug/ml) dilution, followed by ab150081 Goat Anti-Rabbit IgG H&L (Alexa Fluor® 488) preadsorbed antibody at 1/1000 2 ug/ml dilution (Green). Confocal image showing cytoplasmic and membranous staining in HUVEC cell lineNegative control : Jurkat (PMID : 11703343) is observed. ab195889 Anti-alpha Tubulin mouse monoclonal antibody - Microtubule Marker (Alexa Fluor® 594) was used to counterstain tubulin at 1/200 2.5 ug/ml dilution (Red). The Nuclear counterstain was DAPI (Blue). Secondary antibody only control : Secondary antibody is ab150081 Goat Anti-Rabbit IgG H&L (Alexa Fluor® 488) preadsorbed at 1/1000 2 ug/ml dilution.

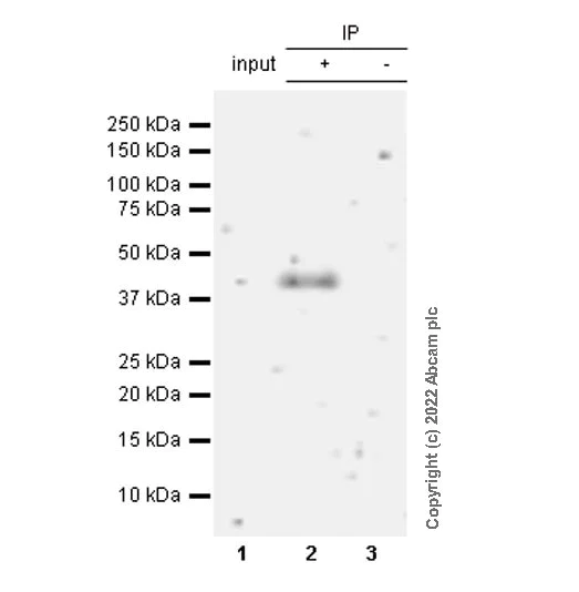
Immunoprecipitation - Anti-EPCR/CD201 antibody [EPR25647-5] (AB300525)
  • IP

Supplier Data

Immunoprecipitation - Anti-EPCR/CD201 antibody [EPR25647-5] (AB300525)

EPCR/CD201 was immunoprecipitated from 0.35 mg HUVEC (human umbilical vein endothelial cell) whole cell lysate 10 ug with ab300525 at 1/30 dilution (2ug in 0.35mg lysates). Western blot was performed on the immunoprecipitate using ab300525 at 1/1000 dilution. VeriBlot for IP secondary antibody (HRP)(ab131366) was used at 1/1000 dilution. Lane 1 : HUVEC (human umbilical vein endothelial cell) whole cell lysate 10 ug Lane 2 : ab300525 IP in HUVEC whole cell lysate Lane 3 : Rabbit monoclonal IgG (ab172730) instead of ab300525 in HUVEC whole cell lysate. Blocking and dilution buffer and concentration : 5% NFDM/TBST. Exposure time : 3 minutes

Lane 1:

Immunoprecipitation - Anti-EPCR/CD201 antibody [EPR25647-5] (ab300525) at 1/30 dilution

Lane 2:

Immunoprecipitation - Anti-EPCR/CD201 antibody [EPR25647-5] (ab300525) at 1/1000 dilution

All lanes:

HUVEC whole cell lysate at 10 µg

Secondary

All lanes:

Immunoprecipitation - VeriBlot for IP Detection Reagent (HRP) (<a href='/en-us/products/reagents/veriblot-for-ip-detection-reagent-hrp-ab131366'>ab131366</a>) at 1/5000 dilution

false

Exposure time: 3min

Western blot - Anti-EPCR/CD201 antibody [EPR25647-5] (AB300525)
  • WB

Supplier Data

Western blot - Anti-EPCR/CD201 antibody [EPR25647-5] (AB300525)

Blocking and diluting buffer and concentration : 5% NFDM/TBST

Negative control : Jurkat (PMID : 7929370)

Exposure time : Lanes 1-4 : 103 seconds; Lanes 5-6 : 3 minutes

All lanes:

Western blot - Anti-EPCR/CD201 antibody [EPR25647-5] (ab300525) at 1/1000 dilution

Lane 1:

HUVEC (human umbilical vein endothelial cell), whole cell lysate at 10 µg

Lane 2:

Ea.Hy926 (human somatic cell hybrid endothelial), whole cell lysate at 10 µg

Lane 3:

RKO (human colon epithelial cell), whole cell lysate at 10 µg

Lane 4:

Jurkat (human T cell leukemia T lymphocyte), whole cell lysate at 10 µg

Lane 5:

Human placenta tissue lysate at 10 µg

Lane 6:

Human lung tissue lysate at 10 µg

Secondary

All lanes:

Western blot - Goat Anti-Rabbit IgG H&L (HRP) (<a href='/en-us/products/secondary-antibodies/goat-rabbit-igg-h-l-hrp-ab97051'>ab97051</a>) at 1/20000 dilution

Predicted band size: 27 kDa

Observed band size: 45 kDa

false

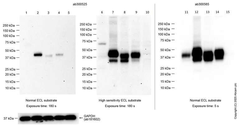
Western blot - Anti-EPCR/CD201 antibody [EPR25647-5] (AB300525)
  • WB

Lab

Western blot - Anti-EPCR/CD201 antibody [EPR25647-5] (AB300525)

Exposure time : ab300525 : 180 seconds; ab300565 : 5 seconds

In Western blot, Anti-GAPDH antibody [EPR16891] - Loading Control (ab181602) staining at 1/1000000 dilution.

The band beneath the target band is supposed to be a soluble form (PMID : 19806250).

ab300525 is less sensitive than ab300565. ab300525 needs a high sensitivity ECL substrate.

Lanes 1-5 & 11-15 use a normal normal ECL substrate.
Lanes 6-10 use a High sensitivity ECL substrate.

Lanes 1 - 15:

Western blot - Anti-EPCR/CD201 antibody [EPR25647-5] (ab300525) at 1/1000 dilution

Lanes 11 - 15:

Western blot - Anti-EPCR/CD201 antibody [EPR25647-49] (<a href='/en-us/products/primary-antibodies/epcr-cd201-antibody-epr25647-49-ab300565'>ab300565</a>) at 1/1000 dilution

Lanes 1, 6 and 11:

Human lung tissue lysate at 20 µg

Lanes 2, 7 and 12:

HUVEC (Human umbilical vein endothelial cell) whole cell lysate at 20 µg

Lanes 3, 8 and 13:

Ea.Hy926 ( human somatic cell hybrid endothelial) whole cell lysate at 20 µg

Lanes 4, 9 and 14:

RKO (human colorectal carcinoma cell) whole cell lysate at 20 µg

Lanes 5, 10 and 15:

Jurkat (Human T cell leukemia cell line from peripheral blood) whole cell lysate at 20 µg

Secondary

All lanes:

Goat Anti-Rabbit IgG (HRP) with minimal cross-reactivity with human IgG at 1/2000 dilution

Observed band size: 45 kDa

false

Western blot - Anti-EPCR/CD201 antibody [EPR25647-5] (AB300525)
  • WB

Supplier Data

Western blot - Anti-EPCR/CD201 antibody [EPR25647-5] (AB300525)

Blocking and diluting buffer and concentration : 5% NFDM/TBST

This blot was developed using a high sensitivity ECL substrate. The high-sensitivity ECL substrate used allows for the detection of proteins in the mid-femtogram range.

All lanes:

Western blot - Anti-EPCR/CD201 antibody [EPR25647-5] (ab300525) at 1/1000 dilution

Lane 1:

Untreated HUVEC whole cell lysate at 10 µg

Lane 2:

HUVEC whole cell lysate treated with Protein Deglycosylation Mix II at 10 µg

Secondary

All lanes:

Western blot - Goat Anti-Rabbit IgG H&L (HRP) (<a href='/en-us/products/secondary-antibodies/goat-rabbit-igg-h-l-hrp-ab97051'>ab97051</a>) at 1/20000 dilution

Predicted band size: 27 kDa

Observed band size: 45 kDa

true

Exposure time: 3min

  • Carrier free

    Anti-EPCR/CD201 antibody [EPR25647-5] - BSA and Azide free

Key facts

Host species

Rabbit

Clonality

Monoclonal

Clone number

EPR25647-5

Isotype

IgG

Carrier free

No

Reacts with

Human

Applications

WB, IP, Flow Cyt, ICC/IF

applications

Immunogen

The exact immunogen used to generate this antibody is proprietary information.

Reactivity data

{ "title": "Reactivity Data", "filters": { "stats": ["", "Species", "Dilution Info", "Notes"], "tabs": { "all-applications": {"fullname" : "All Applications", "shortname": "All Applications"}, "WB" : {"fullname" : "Western blot", "shortname":"WB"}, "IHCP" : {"fullname" : "Immunohistochemistry (Formalin/PFA-fixed paraffin-embedded sections)", "shortname":"IHC-P"}, "ICCIF" : {"fullname" : "Immunocytochemistry/ Immunofluorescence", "shortname":"ICC/IF"}, "FlowCyt" : {"fullname" : "Flow Cytometry", "shortname":"Flow Cyt"}, "IP" : {"fullname" : "Immunoprecipitation", "shortname":"IP"} }, "product-promise": { "all": "all", "testedAndGuaranteed": "tested", "guaranteed": "expected", "predicted": "predicted", "notRecommended": "not-recommended" } }, "values": { "Human": { "WB-species-checked": "testedAndGuaranteed", "WB-species-dilution-info": "1/1000", "WB-species-notes": "<p></p>", "IHCP-species-checked": "notRecommended", "IHCP-species-dilution-info": "", "IHCP-species-notes": "<p></p>", "ICCIF-species-checked": "testedAndGuaranteed", "ICCIF-species-dilution-info": "1/50", "ICCIF-species-notes": "<p></p>", "FlowCyt-species-checked": "testedAndGuaranteed", "FlowCyt-species-dilution-info": "1/500", "FlowCyt-species-notes": "<p></p>", "IP-species-checked": "testedAndGuaranteed", "IP-species-dilution-info": "1/30", "IP-species-notes": "<p></p>" }, "Mouse": { "WB-species-checked": "notRecommended", "WB-species-dilution-info": "1/1000", "WB-species-notes": "<p></p>", "IHCP-species-checked": "notRecommended", "IHCP-species-dilution-info": "", "IHCP-species-notes": "<p></p>", "ICCIF-species-checked": "notRecommended", "ICCIF-species-dilution-info": "", "ICCIF-species-notes": "", "FlowCyt-species-checked": "notRecommended", "FlowCyt-species-dilution-info": "", "FlowCyt-species-notes": "", "IP-species-checked": "notRecommended", "IP-species-dilution-info": "", "IP-species-notes": "" }, "Rat": { "WB-species-checked": "notRecommended", "WB-species-dilution-info": "1/1000", "WB-species-notes": "<p></p>", "IHCP-species-checked": "notRecommended", "IHCP-species-dilution-info": "", "IHCP-species-notes": "<p></p>", "ICCIF-species-checked": "notRecommended", "ICCIF-species-dilution-info": "", "ICCIF-species-notes": "", "FlowCyt-species-checked": "notRecommended", "FlowCyt-species-dilution-info": "", "FlowCyt-species-notes": "", "IP-species-checked": "notRecommended", "IP-species-dilution-info": "", "IP-species-notes": "" } } }

Product details

Patented technology
Our RabMAb® technology is a patented hybridoma-based technology for making rabbit monoclonal antibodies. For details on our patents, please refer to RabMAb® patents.

What are the advantages of a recombinant monoclonal antibody?
This product is a recombinant monoclonal antibody, which offers several advantages including:

  • - High batch-to-batch consistency and reproducibility
  • - Improved sensitivity and specificity
  • - Long-term security of supply
  • - Animal-free batch production

For more information, read more on recombinant antibodies.

Properties and storage information

Form
Liquid
Purification technique
Affinity purification Protein A
Storage buffer
pH: 7.2 - 7.4 Preservative: 0.01% Sodium azide Constituents: PBS, 40% Glycerol (glycerin, glycerine), 0.05% BSA
Shipped at conditions
Blue Ice
Appropriate short-term storage duration
1-2 weeks
Appropriate short-term storage conditions
+4°C
Appropriate long-term storage conditions
-20°C
Aliquoting information
Upon delivery aliquot
Storage information
Avoid freeze / thaw cycle

Supplementary information

This supplementary information is collated from multiple sources and compiled automatically.

EPCR also known as CD201 stands for Endothelial Protein C Receptor. It is a glycoprotein with a molecular mass of approximately 46 kDa. EPCR is expressed mainly on endothelial cells which line the interior surface of blood vessels. This receptor plays a mechanical role in binding to protein C a zymogen that is converted to activated protein C (APC) by thrombin-thrombomodulin complex. By facilitating the activation of protein C EPCR contributes to the regulation of blood coagulation and inflammation processes.
Biological function summary

The EPCR is part of the protein C anticoagulant pathway where it acts as a cofactor. EPCR is vital in enhancing the activation of protein C on the endothelial surface reducing coagulation activity. It interacts closely with thrombomodulin and protein C to form this complex preventing excessive thrombus formation and contributing to vascular integrity. Apart from its anticoagulant role EPCR also modulates inflammatory responses supporting its function as a bridge between coagulation and inflammation.

Pathways

EPCR lies within the protein C anticoagulation pathway and the endothelial signaling pathways. Its primary partner in the anticoagulation pathway is APC which degrades activated factors Va and VIIIa providing a check against coagulation. Additionally EPCR’s interaction with APC and thrombomodulin links this protein to the endothelial signaling pathway where it affects cell survival and inflammation regulation. This interaction is essential to maintain hemostatic balance and control vascular responses to inflammatory stimuli.

EPCR associates with conditions like thrombosis and sepsis. In thrombosis inadequate expression or function of EPCR can lead to uncontrolled blood clotting due to insufficient activation of protein C. Sepsis a severe inflammatory response to infection shows abnormal modulation of the protein C pathway where EPCR's role becomes pivotal. Additionally APC which interacts directly with EPCR is critical in the pathological states of these diseases highlighting the therapeutic potential in targeting EPCR pathway.

Product protocols

For this product, it's our understanding that no specific protocols are required. You can visit:

Target data

Binds activated protein C. Enhances protein C activation by the thrombin-thrombomodulin complex; plays a role in the protein C pathway controlling blood coagulation.
See full target information PROCR

Product promise

We are committed to supporting your work with high-quality reagents, and we're here for you every step of the way. In the unlikely event that one of our products does not perform as expected, you're protected by our Product Promise.
For full details, please see our Terms & Conditions

Please note: All products are 'FOR RESEARCH USE ONLY. NOT FOR USE IN DIAGNOSTIC OR THERAPEUTIC PROCEDURES'.

For licensing inquiries, please contact partnerships@abcam.com